Mikroskopi Vaginose Vaginit Specialeuddannelsen 2008 Fluor vaginalis Vaginose














































- Slides: 46
Mikroskopi: Vaginose - Vaginit Specialeuddannelsen 2008
Fluor vaginalis ► Vaginose § Bakteriel vaginose (gardnerella, mobiluncus m. m) =BV § Candida ► Vaginitis § § ► Candida Trikomonas Coli Andre Cervicitis § § § Gonorré Klamydia Mykoplasma
Flour vaginalis ► Non infektiøse § Fysiologisk § Atrofi § Allergi § Fremmedlegemer § Neoplasi ► Urinvejsinfektioner ► Herpes ► Syfilis
Hvordan udføres wet-smear? ► Vatpind fugtes med fysiologisk saltvand ► Dyppes i vaginal-sekret/cervix-sekret ► Afsættes på objektglas i to dråber saltvand ► Det ene præparat tilsættes en dråbe KOH(10 -30%) ► Dækglas på ► Mikroskopi i fasekontrast (400 x)
Den normale vaginalflora 108 -109 Lactobaciller 100% 104 -106 Corynebakterier 75% 104 -106 Staph. albus 10 -90% 104 -105 Streptococcer gr B 10 -35% 102 -105 Gardnerella vaginalis 10 -20% 108 -109 Peptococ, Peptostreptococ, Bacteroides Gærceller (Candida) 70 -90% 102 -105 10 -25%
Lis 35 år. ► Lis henvender sig pga. ildelugtende udflåd. Det er specielt slemt de sidste dage i menstruationen. Hun er ikke plaget af andre symptomer. ► Hvad drejer det sig om? ► Hvordan stilles diagnosen? ► Hvad er behandlingen?
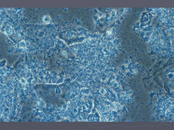
Bakteriel vaginose = BV ► Diagnose (Amsels kriterier) § Tyndtflydende homogen konsistens af flour § Positiv amintest (KOH) § Clue-cells ved mikroskopi § p. H>4, 5 i vaginalsekretet ► 3 ud af 4 kriterier skal være opfyldt
Bakteriel vaginose = BV ► Behandlingmål: § Hos den ikke-gravide kvinde er målet at fjerne symptomerne. § Hos den gravide kvinde tillige at reducere risikoen for evt. graviditets- og fødselskomplikationer. § Før intrauterine indgreb (kirurgisk abort, spiraloplægning) er målet at forhindre infektion efter indgrebet.
Bakteriel vaginose = BV ► Behandling § Systemiske behandlinger: ►Metronidazol (Flagyl): § 2 g dag 1 og dag 3, § 500 mg x 2 i 7 dage § 2 g på én gang ►Clindamycin (Dalacin): § 300 mg x 2 i 7 dage
Bakteriel vaginose ► Behandling § Lokale behandlinger: ► Clindamycin vaginal creme (Dalacin), 100 mg dgl. i 7 dage. ► Metronidazol vagitorier 500 mg x 2 i 5 dage ► Metronidazol vaginal creme (Zidovalgel) dgl. i 5 dage. ► Behandling af gravide: § Ingen risiko for fosteret ved systemisk behandling med metronidazol. § Systemisk og lokal behandling med clindamycin i 1. trimester frarådes. ► NB: ingen dokumentation for partnerbehandling!
Anna 28 år ► Anna kommer da hun er meget generet af kløe og brænden i vulva/vagina. Hun oplyser at hun ofte har det midt i menstruationscyklus, men efterhånden kan det også komme på andre tidspunkter. Nu er det så generende, at hun ønsker at få det behandlet. ► Hvad fejler Anna? ► Hvordan stilles diagnosen? ► Hvad er behandlingen?
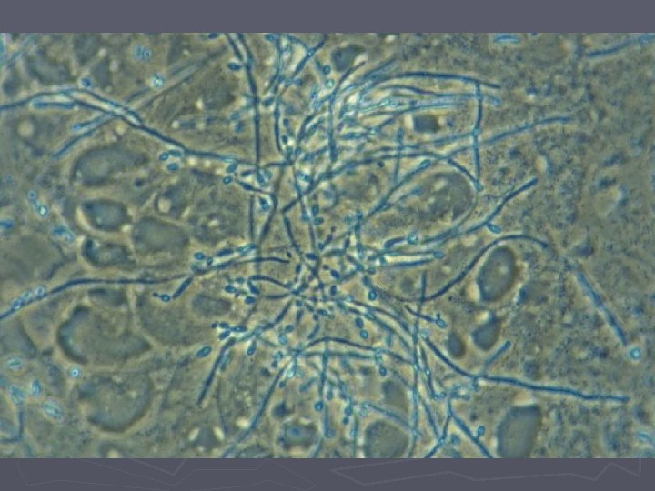
Candida ► Næsthyppigste vaginale infektion ► 80% er Candida albicans ► Asymptomatiske tilfælde ses (vaginose) ► Oftest dog gener med kløe og svie (vaginitis) ► Ved mikroskopi ses sporer og hyfer (KOHpræparatet) ► 10% er Candida glabrata som kun danner sporer.
Candida ► Behandling: § sporadisk candida infektion: ► Lokalbehandling med canesten, brentan og lignende ► Systemisk behandling med éngangsdosis diflucan eller sporanox, evt. suppl. med svampedræbende creme lokalt. § recidiverende candida infektion: ► Systemisk og/eller lokalbehandling én gang månedligt i mindst 6 måneder. ► Skift fra diflucan til sporanox (candida glabrata) ► Dobbeltdosis systemisk behandling ► Evt. resistensbestemmelse på klinisk mikrobiologisk afdeling. § Der er ingen indikation for partner behandling. § Gravide: ► Det anbefales, at der udelukkende anvendes lokalbehandling
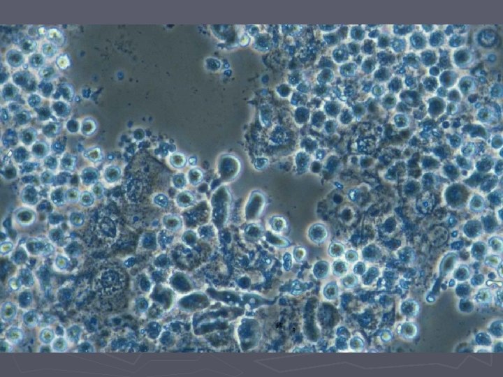
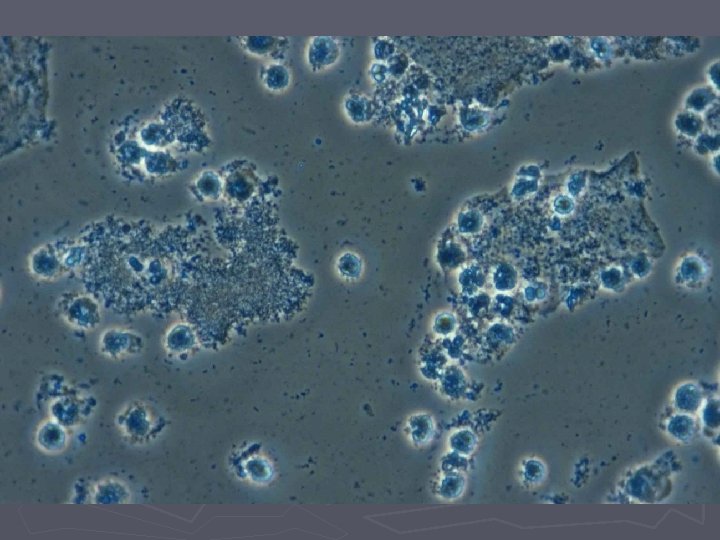
Trikomonas ► Sjælden i almen praksis ► Diagnosen: § Forekommer aldrig saprofytært § Giver ildelugtende grønligt fluor vaginalis § Giver svie, kløe og dyspareuni § Røde irriterede slimhinder (inflammation) § Rigeligt fluor ved GU § Typiske flagellater og mange leukocytter ved wet-smear § Positiv amintest
Trikomonas ► Behandling: § Metronidazol 2 g som éngangsdosis § Metronidazol 2 g dag 1 og dag 3 § Metronidazol 250 mg x 3 i 7 dage ► NB! Altid partnerbehandling
Susanne 32 år ► Susanne henvender sig 4 måneder efter fødsel pga. voldsomt udflåd. Udflådet er grønligt, lugter ikke, der er lidt svie i vulva/vagina, men ellers ingen symptomer. ► Hvad drejer det sig om? ► Hvad er behandlingen?