Mieloma mltiple y otras discrasias de clulas plasmticas

































































































































- Slides: 129
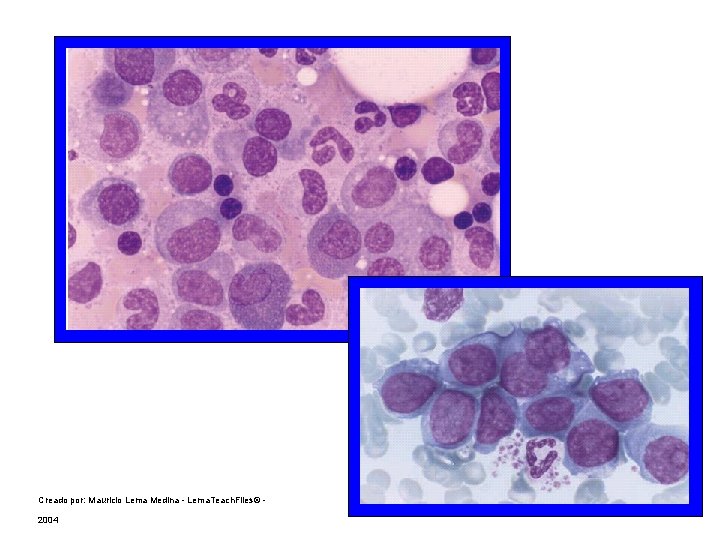
Mieloma múltiple y otras discrasias de células plasmáticas Paraproteinemias Creado por: Mauricio Lema Medina - Lema. Teach. Files© 2004
Lema. Teach. Files© 2009
Definición de una paraproteina Una inmunoglobulina o cadena liviana producida por la proliferación CLONAL de células plasmáticas o linfocitos B (Sinónimos: Banda M, pico M, banda monoclonal, pico monoclonal, proteina monoclonal) Creado por: Mauricio Lema Medina - Lema. Teach. Files© 2004
Identificación de paraproteinas • Electroforesis de proteinas séricas • Inmunofijación • Electroforesis de proteinas en la orina Creado por: Mauricio Lema Medina - Lema. Teach. Files© 2004
Creado por: Mauricio Lema Medina - Lema. Teach. Files© 2004
Entidades con paraproteinas - las 3 principales • Gammapatía monoclonal de significancia incierta (MGUS – por su sigla en inglés) • Mieloma múltiple • Macroglobulinemia de Waldenstrom Creado por: Mauricio Lema Medina - Lema. Teach. Files© 2004
Mieloma Múltiple Creado por: Mauricio Lema Medina - Lema. Teach. Files© 2004
Mieloma Múltiple Neoplasia de células plasmáticas Efectos Tumorales Lesiones óseas Falla medular Plasmocitoma Paraprotinemia Falla renal Hiperviscosidad Amiloidosis Inmunosupresión Creado por: Mauricio Lema Medina - Lema. Teach. Files© 2004
Creado por: Mauricio Lema Medina - Lema. Teach. Files© 2004
Mieloma Múltiple • Incidencia – 3 -6/100, 000 – Edad mediana 60: M=F: Negros : Blancos 2: 1 • Causa – Desconocida • Presentación – Dolor óseo 60% Anemia 15% Renal 10% Azar 10% Otros 5%. • Diagnosis – 2 de (a) paraproteina (b) lesiones óseas (c) Infiltrado plasmocitario en la medula ósea Creado por: Mauricio Lema Medina - Lema. Teach. Files© 2004
Mieloma Múltiple • Diagnóstico y Estadificación – Electroforesis de proteinas plasmáticas, orina – Inmunoglobulinas cuantitativas – Calcio – Hemograma – Creatinina – Serie ósea (Cráneo, columna, húmeros, fémures y pelvis) – Médula ósea
Criterios diagnósticos de Mieloma Múltiple Criterios Mayores Plasmocitoma en biopsia Plasmocitosis medular (> 30%) Componente M: Ig. G > 3. 5 g/d. L, Ig. A > 2 g/d. L, > 1 g/d. L en la orina Criterios Menores 1. Plasmocitosis en la médula (10%-30%) 2. Componente M presente pero de menor magnitud 3. Lesiones óseas líticas 4. Inmunoglobulinas normales reducidas (< 50%) El diagnóstico de mieloma requiere de un criterio mayor y un criterio menor o 3 criterios menores con la presencia del 1 y 2 en paciente con síntomas y enfermedad progresiva Creado por: Mauricio Lema Medina - Lema. Teach. Files© 2004
Estadificación de Mieloma Múltiple – Salmon Durie Estadío Descripción I 1. Bajo nivel de proteinas M: Ig. G < 5 gramos/d. L, Ig. A < 3 gramos/d. L, Proteinas de Bence Jones en 24 horas < 4 gramos/d. L 2. Lesiones óseas líticas ausentes o solitarias 3. Niveles normales de hemoglobina, Calcio, Inmunoglobulina (no M) II Intermedio entre I y III Cualquiera de las siguientes: 1. Alto nivel de proteinas M: Ig. G > 7 gramos/d. L, Ig. A > 5 gramos/d. L, Proteinas de Bence Jones en 24 horas > 12 gramos/d. L. 2. Múltiples lesiones líticas. 3. Hemoglobina < 8. 5 gramos/d. L, Calcio sérico > 12 mg/d. L A Creatinina sérica < de 2 mg/d. L B Creatinina sérica > de 2 mg/d. L Creado por: Mauricio Lema Medina - Lema. Teach. Files© 2004
Índice Pronóstico Internacional • Bajo riesgo: – Albúmina > 3. 5 gr/d. L – Beta 2 microglobulina ≤ 3. 5 mg/d. L • Riego intermedio. . . • Alto riesgo: – Beta 2 microglobulina ≥ 5. 5 mg/d. L
MIELOMA MÚLTIPLE Frecuencia 1% de las neoplasias Presentación Dolor óseo, anemia, fracturas patológicas, hipercalcemia Inmunofenotip o Marcadores Kappa, Lambda. Pico monoclonal M Pronóstico No es curable. Sobrevida mediana varía según estadío al diagnóstico y respuesta al tratamiento Tratamiento óptimo Bortezomib + Melfalán + Prednisona o Talidomida + Melfalán + Prednisona o Lenalidomida + Melfalán + Prednisona o Auto. Trasplante autólogo Parte del tratamiento inicial Trasplante alogénico No está indicado Creado por: Mauricio Lema Medina - Lema. Teach. Files© 2010
Mieloma Múltiple - Terapia • Atacar la neoplasia – quimio, trasplante • Preservar los huesos – bifosfonatos • Tratar los problemas: – huesos, anemia, infección, riñón, sangrado, hiperviscosidad • Prognosis: – Incurable: Sobrevida mediana 30 meses Creado por: Mauricio Lema Medina - Lema. Teach. Files© 2004
Tratamiento Mieloma Múltiple • Menor de 65 años – Inducción • Bortezomib + Dexametasona • x 3 -6 meses – Consolidación • Melfalán altas dosis con TAMO – Terapia ósea • Bisfosfonatos: Ácido zoledrónico
Tratamiento Mieloma Múltiple • Mayor de 65 años – Bortezomib + Melfalán + Prednisona – Talidomida + Melfalán + Prednisona – Lenalidomida + Melfalán + Prednisona – Terapia ósea • Bisfosfonatos: Ácido zoledrónico
El riñón y el mieloma múltiple • Obstrucción de los túbulos por las cadenas livianas • Daño de las células tubulares por las cadenas livianas • Depósitos de cadenas livianas • Amiloidosis • Hipercalcemia Creado por: Mauricio Lema Medina - Lema. Teach. Files© 2004
Cuándo sospechar una paraproteinemia? • Falla medular • Fracturas patológicas • Hipercalcemia • Dolor óseo • Falla renal • Linfomas plasmocitoides • Sindrome de hiperviscosidad Creado por: Mauricio Lema Medina - Lema. Teach. Files© 2004
Gammapatía monoclonal de significancia incierta (MGUS) • Paraproteina estable a concentraciones bajas • No asociada a falla medular • No causa inmunosupresión • No asociada a lesiones óseas • Recuento de plasmocitos en la médula ósea es normal Creado por: Mauricio Lema Medina - Lema. Teach. Files© 2004
Qué hacer si una paraproteina es detectada? • Manejo expectante si: – El paciente es asintomático – No hay linfadenopatía – No hay esplenomegalia – Hemograma normal – Función renal normal – Calcio sérico normal – No elevada paraproteinemia • Diagnóstico provisional de MGUS – Reevalúe en unos meses Creado por: Mauricio Lema Medina - Lema. Teach. Files© 2004
Leucemias Creado por: Mauricio Lema Medina - Lema. Teach. Files© 2004
Leucemias Creado por: Mauricio Lema Medina - Lema. Teach. Files© 2004
Leucemias Crónicas • Significado de la terminología • Patología de la leucemia linfocítica crónica • Características clínicas de la LLC • Patología de la leucemia mieloide crónica • Características clínicas de la LMC • Casos clínicos Creado por: Mauricio Lema Medina - Lema. Teach. Files© 2004
Qué son las leucemias? • Cánceres de los leucocitos o sus precursores • Acumulación de las células malignas en la médula ósea • La leucocitosis puede ocurrir (o no) Creado por: Mauricio Lema Medina - Lema. Teach. Files© 2004
Tipos de Leucemias Linfocítica Aguda Crónica no maduración más allá de blastos LLA LLC LMA LMC To. B Mieloide Granulocitos, monocitos, eritrocitos, plaquetas Creado por: Mauricio Lema Medina - Lema. Teach. Files© 2004
Las Leucemias • Leucemia linfoide crónica (CLL/LLC) • Leucemia mieloide crónica (CML, CGL/LMC) • Leucemia mieloide aguda (AML/LMA) • Leucemia linfoide aguda (ALL/LLA) Creado por: Mauricio Lema Medina - Lema. Teach. Files© 2004
EL RECUENTO DE LEUCOCITOS EN LEUCEMIAS Recuento de Diferencial Glóbulos Blancos Aguda Bajo, Normal o Alto Crónica Alto Si recuento alto, predominan las formas inmaduras (blastos). Si normal o bajo, el recuento de blastos puede ser muy bajo Predminan las células de apariencia madura – blastos constituyen menos del 10% Creado por: Mauricio Lema Medina - Lema. Teach. Files© 2004
Leucemia Mieloide Crónica
1998 1996 1990 1985 1984 1973 1960 1951 1880 1845 1846 RLK Virchow John Hughes Bennett CR l B la de a ib o rs in ue ve at oq re Im Bl L : AB L CM la ce du n in e L ad AB ed R- rm s BC fe ne en to ra el d ón 22 ci a ip cr en m es – so D cr mo b o Cr de n ió 2 q ac a 2 ic m a ( tif so hi en o lp Id rom ade C il Ph ) e d llo e s ro s d la ar o e es od d D ét ón as m nci las íne ti lu u cé nga sade l n ció ica tif ia en m Id uce le
1998 ico st nó ag di ivo er e v im nt Pr acie p en n ió ac oc sl an Tr ; 22 9 o tiv ra ife ol ek pr sh lo e ie m M Da - o iv ct R le BC se a o as ue in oq k Bl e la d L AB l de R n BC ió n ac ió ic s tif fu en de Id n ge BL -A 1996 1990 1985 1984 1973 1960 1951 1880 1845 1846
Paul Ehrlich 1998 1996 1990 1985 1984 1973 1960 1951 1880 1845 1846 CR l B la de a ib o rs in ue ve at oq re Im Bl L : AB L CM la ce du n in e L ad AB ed R- rm s BC fe ne en to ra el d ón 22 ci a ip cr en m es – so D cr mo b o Cr de n ió 2 q ac a 2 ic m a ( tif so hi en o lp Id rom ade C il Ph os ) od ét m de las as llo de íne rro n gu sa ció an De e tin as s d lul de n ió ac ic ia tif em en uc Id le la cé Goldman JM, Daley GO (2007). Chronic Myeloid Leukemia – A Brief History.
Fase Crónica 1998 1996 1990 1985 1984 1973 1960 1951 1880 1845 1846 CR l B la de a ib o rs in ue ve at oq re Im Bl L : AB L CM la ce du n in e L ad AB ed R- rm s BC fe ne en to ra el d ón 22 ci a ip cr en m es – so D cr mo b o Cr de n ió 2 q ac a 2 ic m a ( tif so hi en o lp Id rom ade C il Ph os ) od ét m de las as llo de íne rro n gu sa ció an De e tin as s d lul cé de n ió ac ic ia tif em en uc Id le la
Fase Blástica 1998 1996 1990 1985 1984 1973 1960 1951 1880 1845 1846 CR l B la de a ib o rs in ue ve at oq re Im Bl L : AB L CM la ce du n in e L ad AB ed R- rm s BC fe ne en to ra el d ón 22 ci a ip cr en m es – so D cr mo b o Cr de n ió 2 q ac a 2 ic m a ( tif so hi en o lp Id rom ade C il Ph os ) od ét m de las as llo de íne rro n gu sa ció an De e tin as s d lul cé de n ió ac ic ia tif em en uc Id le la
Leucemia Mieloide Crónica: CML Caracterización nosológica Anatomía patológica - Autopsia Fase crónica § Esplenomegalia masiva § Pocos años § Sangre blanca § Esplenomegalia masiva § Leucocitosis § No anemia, no trombocitopenia Crisis blástica § Últimos meses de vida § Supervivencia de 2 -4 años § Indistinguible de una leucemia aguda § Letal en 100% § Fiebre, anemia, sangrado
Fase crónica Leucocitosis < 15% Blastos < 20% Basófilos < 30% Blastos + Promielocitos Plaquetas > 100. 000/mm 3 Fase acelerada Blastos 15 -30%, >20% de basófilos, >30% de Blastos + Promielocitos en sangre periférica o médula ósea Recuento de plaquetas <100. 000/mm 3 (no relacionado con la terapia). Crisis blástica >30% de blastos Compromiso extramedular
neutrófilo basófilo mielocitos metamielocitos Creado por: Mauricio Lema Medina - Lema. Teach. Files© 2004
F. Crónica
F. Blástica
Hitos en el tratamiento de la CML Arthur Conan Doyle Lancet 1882 1998 1985 1984 1982 1981 1979 1975 1956 1946 1865 1895 un e d CR so B u ra er nt im co Pr KI T L AB o ic st nó ro p l ce a di ok Ín e S d a re iú x ro id te an co pl ei as en Tr log a H a za ad ta en os g M itro n ico n sé Ar
Hitos en el tratamiento de la CML Arthur Conan Doyle Lancet 1882 1998 1985 1984 1982 1981 1979 1975 1956 1946 1865 1895 un e d CR so B u ra er nt im co Pr KI T L AB o ic st nó ro p l ce a di ok Ín e S d a re iú x ro id te an co pl ei as en Tr log a H a za ad ta en os g M itro n ico n sé Ar
Hitos en el tratamiento de la CML Del arsénico al imatinib no e nt la o sp ad ra n ot io Al lac re lfa a ón er rf te In te an co pl ei as en Tr ng si fá ul s Bu n ió ac te di an Ra niz io n un e d CR so B u ra er nt im co Pr KI T L AB o ic st nó ro p l ce a di ok Ín e S d te an co pl ei as en Tr log a a re xiú o dr Hi da na e og itr an az t os M co ni sé Ar Quimioterapia 1998 1985 1984 1982 1981 1979 1975 1956 1946 1865 1895
Hitos en el tratamiento de la CML Mostaza Nitrogenada § Disminución de los leucocitos § Mejoría de los síntomas constitucionales § Disminución de la esplenomegalia § Efecto transitorio 1865 1895 1946 1956 1975 1979 1981 1982 1984 1985 1998 a re iú ic st da na e og itr un e d CR so B u ra er nt im co Pr KI T L AB o x ro an az nó ro p l ce a di ok Ín e S d id t os te an co pl ei as en Tr log a H M co ni sé Ar
Hitos en el tratamiento de la CML no lfa a ón e nt la o sp ad ra n ot io Al lac re n er fá rf te l su In Bu n ió ac te di an Ra niz io 1865 1895 1946 1956 1975 1979 1981 1982 1984 1985 1998
Respuesta hematológica completa CHR Normalización del hemograma Ausencia de actividad tumoral
Citostáticos Quimioterapia en CML Busulfán Hidroxiúrea No cambio en la Historia Natural Progresión inexorable a crisis blástica y fallecimiento Beneficio sintomático Mejoría de la esplenomegalia Disminución de la leucocitosis Mejoría del cuadro constitucional Beneficio en la supervivencia Modesto incremento en la supervivencia (1 -2 años).
1998 1996 1990 1985 1984 1973 1960 1951 1880 1845 1846 CR l B la de a ib o rs in ue ve at oq re Im Bl L : AB L CM la ce du n in e L ad AB ed R- rm s BC fe ne en to ra el d ón 22 ci a ip cr en m es – so D r o bc rom C e d llo e s ro s d la ar o e es od d D ét ón as m ci las ne tin élu guí c n e sa n d ió ac ic ia tif em en uc Id le la de n -) ció 2 q ica a (2 tif som ia en o ph Id om del Cr hila P Goldman JM, Daley GO. Chronic Myeloid Leukemia – A Brief History.
1998 n ció ca slo 2 2 9; o tiv ra ife ol ek pr sh lo e ie m M Da - o tic ós o gn iv ia e v d nt er ie im ac Pr n p e an Tr o iv ct R le BC se a o as ue in oq k Bl e la d L AB l de R n BC ió n ac ió ic s tif fu en de Id n ge BL -A 1996 1990 1985 1984 1973 1960 1951 1880 1845 1846 Janet Rowley
1998 n ció ca slo 2 2 9; o tiv ra ife ol ek pr sh lo e ie m M Da - o tic ós o gn iv ia e v d nt er ie im ac Pr n p e an Tr o iv ct R le BC se a o as ue in oq k Bl e la d L AB l de R n BC ió n ac ió ic s tif fu en de Id n ge BL -A 1996 1990 1985 1984 1973 1960 1951 1880 1845 1846
Cromosoma 22 Cromosoma 9
Cromosoma 22 Cromosoma 9
Ph+ Cromosoma 9
Ph+ BCR-ABL Cromosoma 9
Hitos en el tratamiento de la CML fa al no e nt la sp do ra na ot io Al lac re n ró rfe te In n lfá su te an co pl ei as en Tr ing s Bu n ió ac te di an Ra niz io al ico de co ei en og t ós un e d CR so B u ra er nt im co Pr I TK BL A e nt on pr ce di l Ín ka So a pl as a re iú x ro id Tr H a za ad ta en os g M itro n co ni sé Ar Los 80’s 1998 1985 1984 1982 1981 1979 1975 1956 1946 1865 1895
Gratwohl A, Hermans J, Niederwieser D, et al. Bone marrow transplantation for chronic myeloid leukemia long-term results. Bone Marrow Transplant 1993;
SUPERVIVENCIA DESPUES DE ALOTRASPLANTE
The Italian Cooperative Study Group on Chronic Myeloid Leukemia. Long-term follow-up of the Italian trial of interferon-alpha versus conventional chemotherapy in chronic myeloid leukemia. Blood 1998; 92: 1541– 8.
Respuesta citogenética completa CCy. R Desaparición del Ph+ del cariotipo
The Italian Cooperative Study Group on Chronic Myeloid Leukemia. Long-term follow -up of the Italian trial of interferon-alpha versus conventional chemotherapy in chronic myeloid leukemia. Blood 1998; 92: 1541– 8.
Hitos en el tratamiento de la CML Índice pronóstico de Sokal § 0. 0116 x(edad-43. 4); 0. 0345 x (tamaño del bazo por debajo del reborde costal en centímetros-7. 51); 0. 188 x((Recuento de plaquetas en #/u. L /700) 2 – 0. 563); 0. 0887 x (Recuento de mieloblastos en %-2. 1). § El riesgo se calcula con el exponencial de la suma de los factores. § Se considera un puntaje de Sokal de bajo riesgo el < 0. 8 y de alto riesgo el >= 0. 8. 1865 1895 1946 1956 1975 1979 1981 1982 1984 1985 1998 de un e d CR so B u ra er nt im co Pr I TK BL A ico t ós on pr ce di l Ín ka So te an co pl ei as en Tr log a a re iú x ro id H a za ad ta en os g M itro n co ni sé Ar
Busulfán
T. Biológica Los 80‘s en CML Interferón Alotrasplante Índices de riesgo Respuesta citogenética Retos Morbimortalidad asociada al alotrasplante Relativa escasez de donantes Efectos adversos del interferón Beneficio en supervivencia Curación posible con alotrasplante Incremento en la supervivencia mediana con interferón (6 años) Caracterización del riesgo Modesto incremento en la supervivencia (1 -2 años) Evolución del concepto de respuesta: CHR y CCy. R
o iv ct R le BC se a o as ue in oq k Bl e la d L AB en lg de L n AB ció Rica BC tif ón en si Id e fu d n ió ac oc sl an Tr ; 22 9 o tiv ra ife ol ek pr sh lo e ie m M Da - o tic ós o gn iv ia e v d nt er ie im ac Pr n p e 1998 1996 1990 1985 1984 1973 1960 1951 1880 1845 1846
BCR-ABL
BCR-ABL
BCR-ABL Efector: Proliferación
BCR/ABL RAS, fosfatidilinositol 3 -kinasa y AKT, y STAT-5 ). Proliferación Leucocitosis Esplenomegalia Inestabilidad Genómica +8, iso-17 q y un segundo Ph Fase crónica Fase acelerada Crisis blástica p 53, p 16, RB, MYC, EV 11
Hitos en la biología de la CML o iv ct R le BC se a o as ue in oq k Bl e la d L AB l de R n BC ió n ac ió ic s tif fu en de Id n ge BL -A n ió ac oc sl an Tr ; 22 9 o tiv ra ife ol ek pr sh lo e ie m M Da - o tic ós o gn iv ia e v d nt er ie im ac Pr n p e CR l B la de a ib o rs in ue ve at oq re Im Bl L : AB ML C la e uc nd en L i ad AB d R- me BC fer es en ton ra el d ón 22 ci a ip cr en m es – so D cr mo b o Cr de n ió 2 q ac a 2 ic m a ( tif so hi en o lp Id rom ade C il Ph ) e d llo e s ro s d la ar o e es od d D ét ón as m ci las ne tin élu guí c n e sa n d ió ac ic ia tif em en uc Id le la Goldman JM, Daley GO (2007). Chronic Myeloid Leukemia – A Brief History. 1998 1996 1990 1985 1984 1973 1960 1951 1880 1845 1846 Leucemia Transferencia mediada por retrovirus del gen BCR-ABL al sistema hematopoyético murino Daley
Goldman JM. How I treat chronic myeloid leukemia in the imatinib era Blood 110: 2828 -2837, 2007
BL -A CR l B L: de o CM ue la oq sa Bl ver nib re ati Im 1998 1996 1990 1985 1984 1973 1960 1951 1880 1845 1846 N N H N O N N H 1998 1996 1990 1985 1984 1973 1960 1951 1880 1845 1846 Imatinib N BL -A CR l B L: de o CM ue la oq sa Bl ver nib re ati Im la ce du n in e L ad AB ed R- rm s BC fe ne en to ra el d ón 22 ci a ip cr en m es – so D cr mo b o Cr de n ió 2 q ac a 2 ic m a ( tif so hi en o lp Id rom ade C il Ph ) e d llo e s ro s d la ar o e es od d D ét ón as m ci las ne tin élu guí c n e sa n d ió ac ic ia tif em en uc Id le la
BL -A CR l B L: de o CM ue la oq sa Bl ver nib re ati Im 1998 1996 1990 1985 1984 1973 1960 1951 1880 1845 1846 Brian Druker BL -A CR l B L: de o CM ue la oq sa Bl ver nib re ati Im la ce du n in e L ad AB ed R- rm s BC fe ne en to ra el d ón 22 ci a ip cr en m es – so D cr mo b o Cr de n ió 2 q ac a 2 ic m a ( tif so hi en o lp Id rom ade C il Ph ) e d llo e s ro s d la ar o e es od d D ét ón as m ci las ne tin élu guí c n e sa n d ió ac ic ia tif em en uc Id le la
IRIS Trial
IRIS Trial
IRIS Trial
IRIS Trial
Respuesta molecular mayor MMR Disminución de >3 logs en los trascriptos de bcr-abl por PCR
TASAS DE RESPUESTA MOLECULAR EN EL IRIS- 7 AÑOS La tasa de respuesta molecular mayor y la profundidad de la respuesta molecular aumentan con el tiempo.
NIVELES DE BCR-ABL EN LA ESCALA DE REPORTE INTERNACIONAL (IS)
SIRVE DE ALGO IR MAS ALLA DE FRECUENCIA UNA RCy. C? DE RECAIDA DESPUES DE CCy. R
SUPERVIVENCIA LIBRE DE PROGRESION DESPUES DE AUMENTO DE LA DOSIS SEGUN TIPO DE FALLA
Terapia dirigida TKI contra bcr-abl Imatinib Retos No es curativa Emergencia de la resistencia al imatinib - mutaciones Beneficio en supervivencia 90% de supervivencia libre de progresión a 7 años Supervivencia mediana estimada: 20 -30 años Respuesta Molecular A mayor supresión del bcr-abl mayor control de la enfermedad
TKIs anti bcr-abl de 2ª generación En falla o intolerancia a imatinib Nilotinib Dasatinib § Mucho más potente que el imatinib § También inhibe otras TK – ie, src § No inhibe el PDGFR § Útil en crisis blásticas § Efectos adversos – dosis inicial § Mielosupresión – 20% § Mielosupresión – 50% § Incremento enzimas hepáticas § Derrame pleural – 6% § Incremento en lipasas / amilasas § Menores efectos con atenuación de la dosis § No eficaz en la mutación T 315 I § Estudios en primera línea en curso
Supervivencia de CML en fase temprana Year Imatinib 1990 -2000 1982 -1989 1975 -1981 1965 -1975 Proportion Surviving 1. 0 0. 8 90% 0. 6 Total 276 960 365 132 123 Dead 14 357 266 127 122 0. 4 0. 2 0. 0 0 3 6 9 Years From Referral University of Texas M. D. Anderson Cancer Center Database 1965 -2005 12 15
en - 2 2 9; de ivo ct L le AB se Ro C ue a B oq as Bl kin la en lg de L n AB ció Rica BC tif ón en si Id e fu d n ció ca slo an Tr ivo t ra ife ol pr k lo he ie es m M Da ico st nó ag di ivo er e v im nt Pr acie p BL -A CR l B L: de o CM ue la oq sa Bl ver nib re ati Im la e uc nd en L i ad AB d R- me BC fer es en ton ra – cr lb 2 de a 2 n ció som rip o sc om De Cr en cé de la de n -) ció 2 q ica a (2 tif som ia en o ph Id rom del C ila Ph os od ét m de las as llo de íne rro n gu sa ció an De e tin as s d lul n ció ica tif ia en m Id uce le no e nt la sp do ra na ot io Al lac re fa al ico ne ge sin e nt za ni io e nt n ró fe er t In a pl as Tr n n ció fá l su Bu a di Ra al ico I de co ei en og t ós TK un de BL o us R-A er BC im a Pr ntr co e nt on pr ce di l Ín ka So a pl as Tr a re xiú o dr Hi za da ta na os ge M itro n ico n sé Ar Goldman JM, Daley GO (2007). Chronic Myeloid Leukemia – A Brief History. 1998 1985 1984 1982 1981 1979 1975 1956 1946 1865 1895 1998 1996 1990 1985 1984 1973 1960 1880 1951 1845 1846
Conclusiones CML – Un triunfo en evolución 2010 Dasatinib y Nilotinib (En falla / intolerancia a imatinib) ? Nuevos TKIs en 1ª línea (Dasatinib / Nilotinib / Bosutinib) 2004 1998 Supervivencia mediana (estimada): 25 años (Imatinib) 1985 Supervivencia mediana: 6 años (Interferón) Curación con alotrasplante de médula ósea Supervivencia mediana: 3 -5 años (Busulfán / Hidroxiúrea). 1975 1845 Supervivencia mediana: 2 -4 años
From: Mauricio Lema Sent: 08 October 2009 14: 48 To: Goldman, John M Subject: With your help (unbeknownst to you) Dear Dr. Goldman From Medellín, Colombia, I greet you Dr. Goldman. Some time ago, I had the honor of meeting you when you came to my hometown. We met again, briefly, after you QUASHED Kantarjian somewhere in Europe (Paris, I believe). I was asked to give a lecture on the History of CML. I read your chapter (co-written with Daley) in your "Myeloproliferative Disorders", and I deemed it exactly what I needed for the task. I am sending you the slides created (with a hefty use of cut & paste). You are fully acknowledged, as it should be. Thank you, again, for your help… Atentamente, Mauricio Lema To: Mauricio Lema Sent: Thu, October 8, 2009 9: 59: 46 AM Subject: RE: With your help (unbeknownst to you) Very nice talk. If you want to pursue the topic furthere is an excellent history of CML published by Colin Geary in the British Journal of Haematology in 2000. My best wishes John Goldman
LEUCEMIA MIELOIDE CRÓNICA Frecuencia 0. 5% de las neoplasias Presentació Esplenomegalia, hiperviscosidad, incidental n en un hemograma Citogenética Cromosoma Philadelphia positivo t(9; 22), bcr-abl expresado Pronóstico Posiblemente se cura con trasplante alogénico. No se sabe si se cura o no con imatinib Tratamiento Citoreducción con diferentes agentes. óptimo Posteriormente considerar trasplante alogénico, imatinib o interferon + citarabina Trasplante autólogo Trasplante alogénico No está indicado Como parte del tratamiento inicial si es posible Creado por: Mauricio Lema Medina - Lema. Teach. Files© 2004
Leucemias Aguda • Acumulación de blastos en la medula ósea Creado por: Mauricio Lema Medina - Lema. Teach. Files© 2004
Significado de leucemia aguda en adultos • Una urgencias hematológica • Usualmente fatal en semanas o meses sin quimioterapia • Alta mortalidad por el tratamiento o por la enfermedad • Interconsulta a hematología si se sospecha leucemia aguda Creado por: Mauricio Lema Medina - Lema. Teach. Files© 2004
LMA vs LMC • Extendido de sangre periférica Mieloides LMC LMA normal blastos q q promielocitos q metamielocitos q bandas q neutrofilos q # q Creado por: Mauricio Lema Medina - Lema. Teach. Files© 2004
Clasificacion de Leucemias Agudas LLA LMA • Niños • > Adultos • M > F • Curación en el 70% en niños • Curable en 30% • Curación en adultos <30% Creado por: Mauricio Lema Medina - Lema. Teach. Files© 2004
Principios de Leucemogénesis • Multiples pasos • La células neoplasica es una células madre multipotencial o precursor mieloide temprano • Disregulación del crecimiento y diferenciación celular • Proliferación de un clon maligno en estadío temprano y con bloqueo en la maduración Creado por: Mauricio Lema Medina - Lema. Teach. Files© 2004
Causas de leucemia aguda • Idiopatica (la mayoría) • Enfermedades hematológicas de base • Drogas y químicos • Radiación ionizante • Virus • Factores hereditarios y genéticos Creado por: Mauricio Lema Medina - Lema. Teach. Files© 2004
Lema. Teach. Files© 2009
Manifestaciones Clínicas • Síntomas debido a: – Falla medular – Infiltración tisular – Leucostasis – Síntomas constitucionales – Otros (CID) • Duración corta de síntomas Creado por: Mauricio Lema Medina - Lema. Teach. Files© 2004
Falla medular • neutropenia: – Infecciones y sepsis • anemia: – Fatiga, palidez • trombocitopenia: – Sangrado Creado por: Mauricio Lema Medina - Lema. Teach. Files© 2004
Infiltración de tejidos y órganos • Bazo, hígado y GL agrandados • Hipertrofia gingival • Dolor óseo • Otros órganos: CNS, piel, testiculo Creado por: Mauricio Lema Medina - Lema. Teach. Files© 2004
Leucostasis • Acumulación de blastos en la microcirculación afectando la microcirculación • Pulmones: hipoxemia, infiltrados pulmonares • SNC: stroke • WBC > 50 x 109/L Creado por: Mauricio Lema Medina - Lema. Teach. Files© 2004
Síntomas Constitucionales • Fiebre y sudoración (Común) • Pérdida de peso (menos común) Creado por: Mauricio Lema Medina - Lema. Teach. Files© 2004
Características de laboratorio • WBC usualmente elevado pero puede ser normal o bajo • Blastos en sangre periférica • Anemia normocítica • Trombocitopenia • CID • > 20% de blastos en MO Creado por: Mauricio Lema Medina - Lema. Teach. Files© 2004
Médula Ósea en Leucemia Aguda • Necesaria para el diagnóstico • Útil para determinar el tipo • Útil para el pronóstico Creado por: Mauricio Lema Medina - Lema. Teach. Files© 2004
Distinción de LMA de LLA • Microscopía de luz – LMA: Auer, gránulos citoplásmicos – LLA: no Auer rods ni granulos. • Tinciones especiales (cytochemistry) • Citometría de flujo Creado por: Mauricio Lema Medina - Lema. Teach. Files© 2004
LMA Creado por: Mauricio Lema Medina - Lema. Teach. Files© 2004
Bastones de Auer en LMA Creado por: Mauricio Lema Medina - Lema. Teach. Files© 2004
LLA Creado por: Mauricio Lema Medina - Lema. Teach. Files© 2004
TINCIONES INMUNOHISTOQUÍMICA FRECUENTEMENTE UTILIZADAS EN LEUCEMIAS Nombre de la tinción Tipo de Leucemia Mieloperoxidasa (MPO) Células Mielomonocíticas Sudán Negro B (SBB) Células Mielomonocíticas Esterasa de cloroacetato (SE) Esterasa alpha naftilbutirato (NSE) Células Granulocíticas y sus blastos Células Monocíticas PAS en bloques Linfoblastos, eritroblastos PAS en parches Células Mieloides Td. T La mayoría de los linfoblastos, algunos mieloblastos Fosfatasa ácida resistente Leucemia de Células Vellosas a tartrato Fosfatasa alcalina leucocitaria Baja en leucemia mieloide crónica Creado por: Mauricio Lema Medina - Lema. Teach. Files© 2004
CORRELACIÓN DE LA INMUNOHISTOQUÍMICA Y EL INMUNOFENOTIPO DE LEUCEMIAS AGUDAS Clasificación del FAB Inmunohistoquímica Inmunofenotipo M 0 MPO-, SBB-, SE-, NSE- CD 13, CD 33, HLA DR, ic. MPO, Td. T+/- M 1 MPO+, SBB+, SE+, NSE- CD 13, CD 33, HLA DR, ic. MPO M 2 MPO+, SBB+, SE+, NSE- CD 13, CD 33, HLA DR, ic. MPO M 3 MPO+, SBB+, SE+, NSE- CD 13, CD 33, ic. MPO M 4 MPO+, SBB+, SE+, NSE+ CD 13, CD 33, HLA DR, ic. MPO, CD 14 M 5 MPO+/-, SBB+, SE-, NSE+ CD 13, CD 33, HLA DR, ic. MPO, CD 14 M 6 MPO+, SBB+, PAS+ CD 13+/-, CD 33+/-, ic. MPO, Glicoforina M 7 MPO-, SBB+/-, PAS+ CD 33, CD 41, CD 61, ic. MPO L 1, L 2 MPO-, SBB-, PAS+ CD 19, CD 10+/-, s. Ig- L 3 MPO-, SBB-, PAS+ Creado por: Mauricio Lema Medina - Lema. Teach. Files© - LLA de células T MPO-, SBB-, PAS+ 2004 CD 19, s. Ig+, Kappa o Lamda CD 3+/-, ic. CD 3+
Tratamiento de las leucemias El tratamiento es dictado por: • Tipo (LMA vs LLA) • Edad • Intención curativa vs paliativa Creado por: Mauricio Lema Medina - Lema. Teach. Files© 2004
Principios de tratamiento • Quimioterapia de combinación – El primer objetivo es remisión completa – Tratamiento subsiguiente es para evitar recaidas • Terapia médica de soporte – Transfusiones, antibióticos, nutrición • Apoyo psicosocial – Paciente y familia Creado por: Mauricio Lema Medina - Lema. Teach. Files© 2004
Leucemia mieloide aguda 7 + 3 x 1 -2 Citarabina + Idarrubicina No Remisión completa Rescate Hi. DAC x 2 Altas dosis de citarabina Donante Alotrasplante de médula ósea No donante Hi. DAC x 2 Altas dosis de citarabina Lema. Teach. Files© -
Trasplante de Médula Ósea • Permite el “rescate” de terapia por lo demás demasiado tóxica • Ventaja adicional del efecto injerto contra leucemia en trasplantes alogéneicos • El trasplante alogénico es más eficaz pero más tóxico Creado por: Mauricio Lema Medina - Lema. Teach. Files© 2004
Categorías Pronósticas en LMA Creado por: Mauricio Lema Medina - Lema. Teach. Files© 2004
Creado por: Mauricio Lema Medina - Lema. Teach. Files© 2004
Dastague N, Payen C, Lafage-Pochitaloff M, et al. Prognostic significance of karyotype in de novo adult acute myeloid leukemia. The BGMT group. Leukemia 1995; 9: 1491– 8. Creado por: Mauricio Lema Medina - Lema. Teach. Files© 2004
Slovak ML, Kopecky KJ, Cassileth PA, et al. Karyotypic analysis predicts outcome of preremission and postremission therapy in adult acute myeloid leukemia: a Southwest Oncology Group/Eastern Cooperative Oncology Group study. Creado Blood. 2000; 96: 4075 -4083. por: Mauricio Lema Medina - Lema. Teach. Files© 2004
LMA < 55 años Donante + Donante - Inducción 7 + 3 + / - Hi. DAC x 1 Alotrasplante Hi. DAC x 4 Autotrasplante Creado por: Mauricio Lema Medina - Lema. Teach. Files© 2004
LMA > 55 años Inducción con Citarabina Daunorubicina – Idarubicina - Mitoxantrona 55 – 69 años + / - Hi. DAC x 1 Autotrasplante > 69 años Hi. DAC x 1 -2 (1. 5 g/m 2 cada 12 h x 6 días ) Hi. DAC x 1 -2 (1. 5 g/m 2 cada 12 h x 6 dosis ) Creado por: Mauricio Lema Medina - Lema. Teach. Files© 2004
Eficacia del alotrasplante de CMH por grupo de riesgo en LMA • Riesgo bajo: – Alotrasplante no incrementa la sobrevida comparada con quimioterapia consolidativa – t(8: 21), inv 16 • No ventajas con el alotrasplante – APL • Alotrasplante inferior a quimioterapia Creado por: Mauricio Lema Medina - Lema. Teach. Files© 2004
Eficacia del alotrasplante de CMH por grupo de riesgo en LMA • Riesgo estándar: – El MRC M 10 mostró un incremento en la sobrevida libre de enfermedad en los pacientes con riesgo estándar tratados con alotrasplante, pero no incremento en la sobrevida global. – Recomendaciones de alotrasplante no claramente definidas en este grupo Creado por: Mauricio Lema Medina - Lema. Teach. Files© 2004
Eficacia del alotrasplante de CMH por grupo de riesgo en LMA • Riesgo alto: – El MRC M 10 mostró un incremento en la sobrevida libre de enfermedad en los pacientes con riesgo estándar tratados con alotrasplante con un incremento en la sobrevida – La quimioterapia consolidativa y el trasplante autólogo son generalmente poco eficaces en este grupo de pacientes Creado por: Mauricio Lema Medina - Lema. Teach. Files© 2004
Citogenética Conocida / < 55 años Donante + Quimioterapia de inducción Riesgo Bajo Riesgo estándar Riesgo Alto Quimioterapia . . . Alo. TCMH Creado por: Mauricio Lema Medina - Lema. Teach. Files© 2004
Pronóstico LMA adulto Edad <60 >60 CR 75% 50% DFS 30% 5% Creado por: Mauricio Lema Medina - Lema. Teach. Files© 2004
LEUCEMIA MIELOIDE AGUDA Frecuencia 1% de las neoplasias Presentación Fiebre, equimosis, petequias, palidez, fatiga y sangrado espontáneo Inmunofenotip o MPO positiva, CD 33 positiva, CD 13 positiva Pronóstico Curable en un 30% de los casos. Pronóstico depende de la citogenética Tratamiento óptimo Quimioterapia de inducción con 7+3 seguida por trasplante autólogo si tiene donante histocompatible. Quimioterapia con 7+3 seguida por quimioterapia con citarabina de altas dosis x 4 seguida por recolección de células madres hematopoyéticas en primera remisión Trasplante autólogo Posiblemente eficaz luego de segunda remisión en casos seleccionados Trasplante alogénico Como parte del tratamiento Creado inicial o luego de- Lema. Teach. Files© primerapor: Mauricio Lema Medina recaida cuando es posible 2004
4 mensajes: • Leucemia aguda = Demasiados blastos en la médula ósea • 2 categorías principales: LMA vs LLA • Urgencia hematológica • Pronóstico pobre en adultos pero bueno en niños Creado por: Mauricio Lema Medina - Lema. Teach. Files© 2004