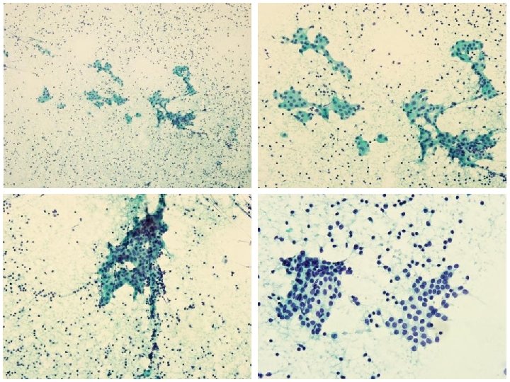
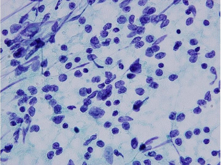
Microscopic Findings Moderate cellularity A few nests of































- Slides: 31
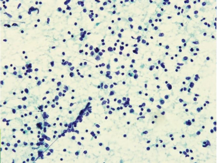
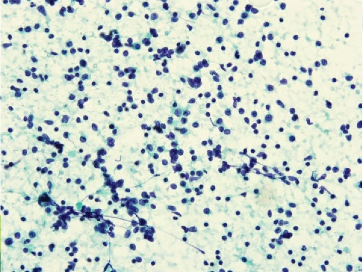
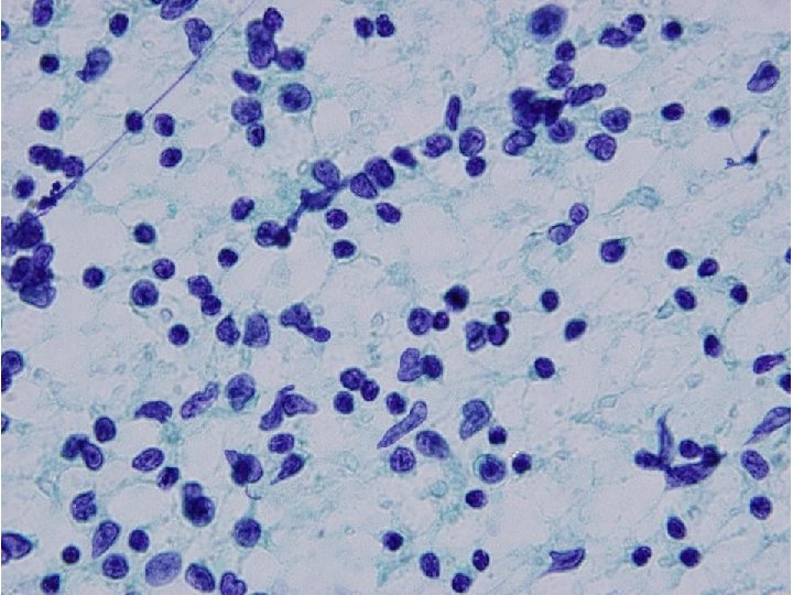
Microscopic Findings ▪ Moderate cellularity ▪ A few nests of follicular epithelial cells with oncocytic feature ▪ Mixed lymphoid population composed predominantly of intermediate sized lymphoid cells with interspersed small, round lymphocytes. ▪ The intermediate-sized cells displayed a moderate amount of cytoplasm, slightly irregular nuclei with moderately dispersed chromatin, and inconspicuous-to-absent nucleoli.
Differential Diagnosis ▪ Malignant lymphoma ▪ Chronic lymphocytic thyroiditis (Hashimoto’s thyroiditis) ▪ Acute thyroiditis ▪ Subacute thyroiditis ▪ Reidel’s thyroiditis ▪ Hürthle cell neoplasm
Differential Diagnosis Acute thyroiditis Subacute thyroiditis Abundant neutrophils Hypocellular Histiocytes Multinucleated giant cells Necrotic debris Loose clusters of epithelioid histiocytes (granulomas) Few follicular cells with reparative change Mixed chronic inflammation Scant follicular cells with reactive changes
Differential Diagnosis Reidel’s thyroiditis Hashimoto’s thyroiditis Hypocellular Cellular aspirate Collagenous fibrous tissue Abundant mixed lymphocytes and plasma cells and the entire range of transforming lymphocytes Bland spindle cells Lymphohistiocytic aggregates with tingible body macrophages Mild chronic inflammation Follicular cells with oncocytic features (Hürthle cells) and variable nuclear atypia Absent follicular cells
Differential Diagnosis ▪ Lack of tingible body macrophages ▪ Admixture of small lymphocytes and centrocyte-like cells ▪ Monomorphic population of dispersed lymphoid cells Malignant lymphoma ▪ Small lymphocytes admixed with immunoblasts and plasma cells Low grade lymphoma
Differential Diagnosis ▪ Chronic lymphocytic leukemia (CLL) / Small lymphocytic lymphoma (SLL) ▪ Mantle cell lymphoma ▪ Follicular lymphoma ▪ Marginal zone lymphoma
Differential Diagnosis CLL/SLL Mantle cell lymphoma Monomorphous population of small, round lymphocytes with nuclei that have a checkerboard pattern of clumped chromatin Monomorphous population of small to intermediate cells with nuclear membrane irregularities and indentations, fine nuclear chromatin, inconspicuous nucleoli and scant cytoplasm Prolymphocytes and paraimmunoblasts scattered in the background
Differential Diagnosis CLL/SLL Mantle cell lymphoma Monomorphous population of small, round lymphocytes with nuclei that have a checkerboard pattern of clumped chromatin Monomorphous population of small to intermediate cells with nuclear membrane irregularities and indentations, fine nuclear chromatin, inconspicuous nucleoli and scant cytoplasm Prolymphocytes and paraimmunoblasts scattered in the background
Differential Diagnosis CLL/SLL Mantle cell lymphoma Monomorphous population of small, round lymphocytes with nuclei that have a checkerboard pattern of clumped chromatin Monomorphous population of small to intermediate cells with nuclear membrane irregularities and indentations, fine nuclear chromatin, inconspicuous nucleoli and scant cytoplasm Prolymphocytes and paraimmunoblasts scattered in the background
Differential Diagnosis CLL/SLL Mantle cell lymphoma Monomorphous population of small, round lymphocytes with nuclei that have a checkerboard pattern of clumped chromatin Monomorphous population of small to intermediate cells with nuclear membrane irregularities and indentations, fine nuclear chromatin, inconspicuous nucleoli and scant cytoplasm Prolymphocytes and paraimmunoblasts scattered in the background
Differential Diagnosis CLL/SLL Mantle cell lymphoma Monomorphous population of small, round lymphocytes with nuclei that have a checkerboard pattern of clumped chromatin Monomorphous population of small to intermediate cells with nuclear membrane irregularities and indentations, fine nuclear chromatin, inconspicuous nucleoli and scant cytoplasm Prolymphocytes and paraimmunoblasts scattered in the background
Differential Diagnosis Follicular lymphoma Marginal zone lymphoma Mixture of small, irregular lymphocytes and larger cells Heterogenous population of monocytoid cells, small cleaved cells, large non cleaved cells and plasma cells Lymphocytes: only slightly larger than normal lymphocytes with nuclei showing irregular contours and inconspicuous nucleoli Monocytoid cells: intermediate size with moderate to abundant amounts of pale cytoplasm Larger cells: centroblasts characterized by Tingible body macrophages in some cases sharply demarcated basophilic cytoplasm and round, non-cleaved nuclei with finely granular chromatin and 2 to 3 peripheral nucleoli
Differential Diagnosis Follicular lymphoma Marginal zone lymphoma Mixture of small, irregular lymphocytes and larger cells Heterogenous population of monocytoid cells, small cleaved cells, large non cleaved cells and plasma cells Lymphocytes: only slightly larger than normal lymphocytes with nuclei showing irregular contours and inconspicuous nucleoli Monocytoid cells: intermediate size with moderate to abundant amounts of pale cytoplasm Larger cells: centroblasts characterized by Tingible body macrophages in some cases sharply demarcated basophilic cytoplasm and round, non-cleaved nuclei with finely granular chromatin and 2 to 3 peripheral nucleoli
Differential Diagnosis Follicular lymphoma Marginal zone lymphoma Mixture of small, irregular lymphocytes and larger cells Heterogenous population of monocytoid cells, small cleaved cells, large non cleaved cells and plasma cells Lymphocytes: only slightly larger than normal lymphocytes with nuclei showing irregular contours and inconspicuous nucleoli Monocytoid cells: intermediate size with moderate to abundant amounts of pale cytoplasm Larger cells: centroblasts characterized by Tingible body macrophages in some cases sharply demarcated basophilic cytoplasm and round, non-cleaved nuclei with finely granular chromatin and 2 to 3 peripheral nucleoli
Differential Diagnosis Mantle cell lymphoma Monomorphous CLL/SLL Follicular lymphoma Marginal zone lymphoma Heterogenous
Diagnosis Thyroid gland, left lobe, aspiration cytology; Malignant lymphoma, MALT lymphoma.