Microscopic findings Microscopic findings Low cellularity Small mature
















- Slides: 16
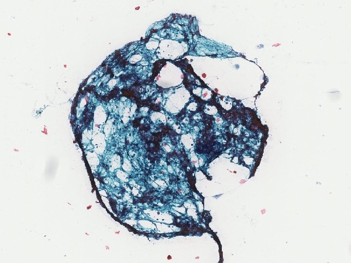
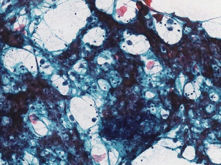
• Microscopic findings
• Microscopic findings • Low cellularity • Small mature lymphocytes • Large atypical cells • Scattered, single, dyscohesive • Pleomorphic • Mononucleated, multinucleated (horseshoe-shaped, ring-shaped, Reed-Sternberg-like cell) • Prominent nucleoli • Abundant cytoplasm
• Differential diagnosis 1. Anaplastic large cell lymphoma 2. Hodgkin lymphoma 3. Poorly differentiated metastatic carcinoma 4. Malignant melanoma
Malignant melanoma • Known as “the great mimicker” – broad variety of cytomorphologic features • Round or polygonal • Mirror-image binucleated and multinucleated cells – frequently seen • Nuclei – eccentrically located • One prominent nucleolus or several nucleoli • Abundant cytoplasm and well-defined cell border • Fine, granular melanin pigment in the cytoplasm
Metastatic poorly-differentiated carcinoma • Large, irregular cluster with irregular borders or loss of cohesiveness • High N/C ratio • Large, pleomorphic nuclei and prominent nucleoli Urothelial ca. Endometrial ca.
Hodgkin lymphoma • Bimodal age incidence : 20 -30 yrs, >50 yrs • LAP (Cervical LAP-60%) : m/c symptoms • Systemic Sx. (B Sx. , itching): relatively common • Background of lymphocytes, plasma cells, eosinophils, and histiocytes • Classic Reed-Sternberg cell • Hodgkin cell • Lacunar cell, popcorn cell
Anaplastic large cell lymphoma • Rare in elderly but frequently in children and young adult (peak in first 3 decades) • B Sx. : common (75%) • Varying proportion of hallmark cells : large cells with pleomorphic nuclei; round to horseshoe-shaped, ring-shaped; multinucleation; abundant eosinophilic cytoplasm with perinuclear halo; Reed-Sternberg-like cells
• Diagnosis • 29/M • Mesenteric lymph node : Anaplastic large cell lymphoma
• Further evaluation • Excision biopsy • Immunohistochemical staining • Anaplastic large cell lymphoma: CD 30 (+), CD 15 (-), CD 45 (+), EMA (+/-), ALK (+), keratin (-), EBV (-) • Hodgkin’s lymphoma: CD 30 (+), CD 15 (+), CD 45 (-), EMA (-), ALK (-), EBV (+) • Melanoma: S-100 (+), HMB-45 (+) • Carcinoma: EMA (+), keratin (+)