Microarrays o que so e como funcionam Hill










- Slides: 10
Microarrays - o que são e como funcionam
Hill et al. (2000) 1. Construção de um microarray contendo 18. 791 ORFs de C. elegans = 98% de todas as ORFs do verme. 2. Hibridizados com RNAs extraídos de populações sincrônicas de ovos -> adultos 3. 10. 747 ORFs acenderam em pelo menos um estágio. Isso corresponde a 56% de todas as ORFs. 4. As 8400 ORFs não detectadas estão abaixo do limite de detecção do método.
Conjunto de 55 genes que incluem vit-6 Conjunto de 80 genes que inclui genes relacionados a embriogênese, linhagem germinativa ou ciclo celular Conjunto de 215 genes que são fatores de transcrição, conhecidos ou putativos Conjunto de 104 genes que incluem o gene para colágeno dpy-13
Huang et al. 1. Utilização de um gene híbrido para transformar C. elegans 2. Medir a reação de trans-splicing “in vivo” após mutagenizar a região intergênica 3. Usar Rnase protection assay (RPA) para medir a quantidade de intermediários 4. Descoberta de uma região essencial para que ocorra a inserção de SL 2
Promotor do gene hsp-16 -41 SL 2 Elemento Ur Sinal de poliadenilação
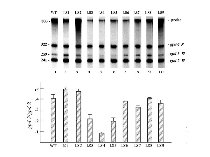
322 n Análise de “linker-scan” 259 n
Xie & Hirsh 1. Utilização do mutante rrs-1 (e 2482) que possui uma deleção de todos os 110 genes de SL 1 -RNA e todos os genes r. RNA 5 S 2. Utilizou o plasmídeo p 31. 21 que contem o fragmento de Bam HI (1 kbp) com a unidade de repetição (SL 1 RNA-5 Sr. RNA) 3. unc-76 (e 911) rrs-1 (e 2482)/unc-61(e 228) dpy-21 (e 428) = genótipo da linhagem injetada com p 31. 21 e p. RF 4 4. Primer extension de um nucleotídeo
Recuperação do fenótipo de rrs-1 com o plasmídeo p 31. 21 Classe I - capazes de recuperar a mutação em baixa concentração de DNA injetado Classe II - capazes de recuperar a mutação em alta mas não em baixa concentração de DNA Classe III - incapazes de recuperar a mutação