Menenjit Prof Dr Reat zaras Menenjit l l



























![Menenjitte Emprik Tedavi Klinik Durum Muhtemel Patojen Toplum Kökenli S. pneumoniae N. meningitidis [Listeria] Menenjitte Emprik Tedavi Klinik Durum Muhtemel Patojen Toplum Kökenli S. pneumoniae N. meningitidis [Listeria]](https://slidetodoc.com/presentation_image/039f41fa21752252d22e6e9627b30ca2/image-28.jpg)























- Slides: 51
Menenjit Prof. Dr. Reşat Özaras
Menenjit l l l Yüksek morbidite/mortalite Akut, subakut ya da kronik Klinik: tutulan anatomik bölge/patojen/konak yanıtı SSS’nin enflamasyon ve ödeme duyarlılığı Erken tedavi başlamanın önemi
Akut SSS Enfeksiyonları 1. 2. 3. 4. 5. 6. Bakteriyel menenjit Meningoensefalit Beyin absesi Subdural ampiyem Epidural abse Septik venöz sinüs tromboflebiti
Akut Menenjit Sendromlu Hastaya Yaklaşım 1. Akut SSS enfeksiyonunun farkına varmak 2. Uygun antibiyoterapiyi hemen başlamak 3. Etkeni hızla tanıyarak tedaviyi gözden geçirmek 4. Komplikasyonların farkında olmak /tanımak/ yönetmek
Akut Menenjitli Hastaya Yaklaşım l Hastaya 30 dk içinde tedavi başlanmalıdır!
Akut Menenjit Sendromlu Hastaya Yaklaşım 30 dk içinde karar verme Klinik değerlendirme Hastanın geliş şekli Akut (1 gün-1 hafta) Subakut (1 hafta-1 ay) Kronik (> 1 ay ) Öykü ve muayeneden ipuçları Hastanın genel durumu Hastanın immün durumu
Bakteriyel Menenjit l İnsidens: 3/100, 000 l Ateş, meningeal irritasyon bulguları > %85 Diğer – Kraniyal s paralizisi/fokal bulgu %10 -20 – Nöbet %25 -30 – Papillödem < %1 l
Oluşum mekanizmaları – Hematojen – Komşuluk – Anatomik defekt • konjenital • travmatik • cerrahi – Intranöral yollar
BOS Renk/berraklık-bulanıklık l Hücre sayımı/dağılımı l Biyokimya (protein, glukoz) l Boyama (Gram, EZN, çini mürekkebi) l Kültürler l +/- Antijen tarama l
Boya ile inceleme l Gram: %60 -90 (tedavi başlanmış hastada %40 -60) l (Gram ile yoğun m. o. : kötü prognoz)
Antijen Tarama S. pneumoniae, N. meningitidis, Hib ve GBS; +%50 -100 (özellikle antibiyotik öncesi önemli) l C. neoformans; + %90 -95 l (Rutin değil) l
Bakteriyel –Viral menenjit Bakteriyel etiyolojiyi düşündürenler: l BOS glukozu < 34 mg/dl l BOS: Serum glukoz oranı< 0. 23 l BOS proteini > 220 mg/dl l BOS lökosit sayısı> 2000/mm 3 l BOS nötrofil sayısı > 1180 /mm 3
LP Kontrendikasyonlar Mutlak: Relative: Deri enf. Papillödem, fokal nörolojik bulgu, Kitle lezyonu kuşkusu Spinal kord tümörü Spinal epidural abse Kanama diyatezi, düşük trombosit
BT Gereğinden fazla kullanılmaktadır tedavide gecikmeye yolaçmakta, maliyeti artırmaktadır l Akut menenjitte katkısı sınırllıdır l Fokal enfeksiyonlara gerekir l
SSS Penetrasyonu İyi Penetrasyon Penisilinler 3. ve 4. k sefalosp. Kloramfenikol Rifampisin Ko-trimoksazol Kötü Penetrasyon 1. ve 2. k sefalosp. Klindamisin AMG Tetrasiklinler Makrolidler
Yaşa Göre Sık Etkenler Yaş 0 -4 hafta 4 -12 hafta 3 ay -18 yaş 18 -50 yaş >50 yaş Sık Etkenler Streptococcus agalactiae, Escherichia coli, Listeria monocytogenes, Klebsiella pneumoniae, Enterococcus spp. , Salmonella spp. S. agalactiae, E. coli, L. monocytogenes, Haemophilus influenzae, Streptococcus pneumoniae, Neisseria meningitidis H. influenzae, N. meningitidis, S. pneumoniae, N. meningitidis, L. monocytogenes, aerobik gram-negatif basiller
Altta Yatan Hastalığa Göre Sık Etkenler Altta Yatan Hastalık İmmün yetmezlik Kafa Tabanı Kırığı Kafa travması; SSS cerrahisi BOS şantı Sık Etkenler S. pneumoniae, N. meningitidis, L. monocytogenes, aerobik gram-negatif basiller (P. aeruginosa dahil) S. pneumoniae, H. influenzae, group A βhemolitik streptokok Staphylococcus aureus, Staphylococcus epidermidis, aerobik gram-negatif basiller (P. aeruginosa dahil) S. epidermidis, S. aureus, aerobik gramnegatif basiller (P. aeruginosa dahil), P. acnes
Listeria monocytogenes Gram pozitif basil l Bulaşma : Kontamine süt ve süt ürünleri l Klinik : Ateş ve başağrısı (2 -10 gün) l Meningiyal irritasyon işaretleri olguların %40’ında saptanmaz l Bilinç bulanıklığı ile başvuru sık l Nöbetler (%25) l
Listeria monocytogenes Hemokültür pozitifliği : %75 l BOS : %25 lenfositik pleositoz l BOS kültürü pozitifliği : %40 -80 l l Tedavi : 3. k sefalosporinler etkisiz Ampisilin (12 g/g)±Gentamisin l Penisiline allerjik : TMP-SMX l Tedavi süresi : 3 hafta l
Menenjitte Emprik Tedavi Klinik Durum Muhtemel Patojen Toplum Kökenli S. pneumoniae N. meningitidis [Listeria] [H. influenzae] +Dekort amp 4 x 8 mg, 4 gün süreyle Tedavi Seftriakson 2 x 2 gram + Ampisilin 6 x 2 gram
Toplum Kökenli Bakteriyel Menenjitte Kötü Prognostik Faktörler Hipotansiyon, bilinç değişikliği, nöbet ile başvurma l Antibiyotik tedavisinde geç kalma, kötü prognozla ilişkili l Aronin et al, Ann Intern Med 1998; 129: 862
Subakut/kronik menenjit Birkaç hafta veya ay içinde gelişir l Baş ağrısı, ateş, ense sertliği, şuurda değişme belirtileri l Fokal nörolojik bulgular daha sık l Spesifik tedavi gerektirir l Tanı zordur l
Subakut/kronik menenjit l İnfeksiyonlar: – Tüberküloz – Spiroket hastalıkları(sifiliz, Lyme hastalığı) – Bruselloz – Mantar menenjitleri • Cryptococcus neoformans, Aspergillus, Candida Toxoplasmosis,
Tuberküloz l l Yavaş seyirli Temas, PPD(+)’liği, immün baskılanma Prodrom 2 -4 hafta Menenjit, vaskülit , yer kaplayan lezyon (tüberkülom) belirtileri görülür – – Ateş Bilinç değişikliği Hemipleji, parapleji Göz sinirleri tutulumu
BOS BULGULARI ETKEN NÖTROFİL (/MM 3) HÜCRE TİPİ GLUKOZ(MG/DL) PROTEİN(MG/DL Viral 50– 1000 Mononükleer >45 <200 Bakteriyel 1000– 5000 Nötrofilik <40 100– 500 Tuberküloz 50– 300 <45 50– 300 Mononükleer
Ensefalit
Herpes Ensefaliti Akut ensefalitlerin en sık ve fatal olanı l Trigeminal gangliyonda latent l İmmundüşkünlerde reaktivasyon l Temporal korteks ve limbik sistemi tutar l immündüşkün hastalarda aktif mükokutanöz HSV infeksiyonu l
Herpes Ensefaliti Yüksek ateş (% 89) l Baş ağrısı (% 78) l Bilinç değişlikliği/uykuya eğilim(% 96) l Kişlilik değişikliklikleri(% 61) l Epileptik nöbetler l Disfazi l Hemiparezi l Papilla ödemi l
HSVE’de tanı l l l Ø BOS’da 10 -2000/mm 3 hücre sayısı(lenfosit) Proteinde artış(7 -750) Normal/hafif düşmüş glikoz, sıklıkla eritrosit BOS da PCR yüksek özgüllük ve duyarlılığı BOS da HSV antikorları 2. haftadan sonra artar Tipik EEG bulguları 8 saatte bir 10 -15 mg/kg asiklovir(14 -21 gün)
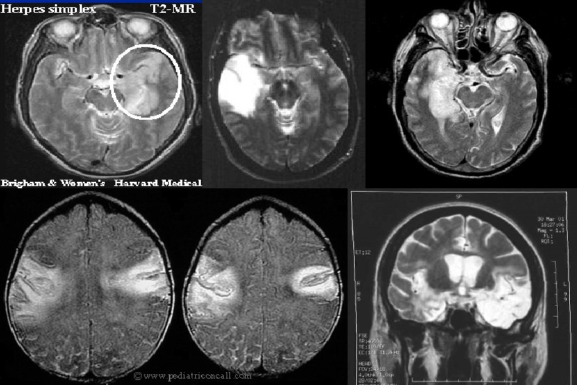
HSVE’de MR İnferior temporal loblardaki hiperintens alanlar l Frontal ve pariyetal lobları da tutabilir l Bilateral temporal lob tutulumunun tanıda patognomonik olduğu bildirilmiş. l Lezyonlar ödem ve hemorajik enfarkt içerebilir l Erken dönemde MR bulguları normal olabilmektedir l
Enfeksiyona benzer kliniği olan tablolar l l l İlaçlara bağlı aseptik menenjit Primer veya metastatik MSS maligniteleri (menenjitis karsinomatoza) MSS vasküliti SLE serebrit Subaraknoid kanamalar Embolik veya trombotik inmeler
Menenjitis karsinomatoza AML / ALL l HL / NHL l Primer MSS lenfoması l Melanom l Meme / Bronş kanseri l
İlaçlara bağlı aseptik menenjit NSAI l OKT 3 l ATG l TMP-SMX l Azatiopurin l
b 30 yaşında erkek, KML(+) allogenik KIT hastası Ateş, baş ağrısı, bilinç bulanıklığı, motor defisit ?
37 yaşında erkek hasta Baş ağrısı, uyuklama hali, yer ve zaman oryantasyon bozuklugu bilinç bulanıklığı ?
33 yaşında bayan hasta HIV (+) Baş ağrısı, uykuya meyil, yürüyememe ?
55 yaşında bayan hasta Ateş, bel ağrısı, hareket kısıtlılığı D 10 -11 seviyesinde Tbc spondilodiskit (1)
) 75 yaşında bayan hasta KLL (+) Ateş, bulantı, kusma, baş ağrısı, bel ağrısı hareket kısıtlılığı L 3 -4 seviyesinde piyojenik spondilodiskit( Salmonella enteritidis)
43 yaşında bayan hasta Baş ağrısı, epileptik nöbet bilinç bulanıklığı ?
47 yaşında bayan hasta Boyuna künt travma sonrasında boyun ağrısı, ateş C 6 -7 seviyesinde Brusella spondilodiskiti