MEDECINE NUCLEAIRE Plan n Dfinition et principes de















































































































































- Slides: 143
MEDECINE NUCLEAIRE
Plan n Définition et principes de base Définition n Principes de base n Installation n n Applications cliniques Imagerie n Radiothérapie métabolique n
Définition n La médecine nucléaire est une spécialité médicale utilisant des sources radioactives non scellées (gaz, liquides) à des fins diagnostiques ou thérapeutiques.
Principes de base n Radioactivité n Détection n Principes de l’examen
Radioactivité n Définition: n Propriété d'un noyau* atomique instable de se transformer spontanément en noyaux d'une autre espèce chimique, avec émission de rayonnement*. (α, β, γ)
Détection n n C’est la détection du rayonnement émis qui permet la réalisation d’image et de courbe de comptage. Photon γ: Principal rayonnement utilisé en MN pour de la détection externe. n Faible interaction avec la matière n
Appareils de détection n Gamma camera Cristal n Photomultiplicateur n Electronique n n Principes de fonctionnement:
Principes de l’examen: n n n En fonction de l’organe ciblé, on administre au patient(le plus souvent par injection) un médicament radioactif spécifique du métabolisme ciblé On respecte un délais de fixation (fonction du métabolisme) On réalise les images du patient grâce à la radioactivité.
Les Traceurs n Spécifique du métabolisme ciblé: n n Organe(thyroïde, foie, cerveau…) Tumeur Fonction: perfusion Radiopharmaceutique: n n n C’est un médicament sur lequel on a « greffé » un atome radioactif pour réaliser l’image de sa bio distribution Faiblement radioactif Préparé dans un environnement spécifique le laboratoire « chaud »
Le Labo Chaud: n n Lieu de préparation des radio pharmaceutiques Contraintes réglementaires de radioprotection Aspiration n Enceinte plombée (sorbonne) n
Salle d’injection
Salle d’attente
Cameras
Applications Cliniques n Imagerie Planaire n Tomographie monophotonique n Tomographie par émission de positron n n Traitement Radiothérapie métabolique n Synoviorthèses n
Imagerie Os n Thyroïde n Cœur n Poumon n Rein n Cerveau n Tumeur n Système lymphatique n
La scintigraphie osseuse
Généralités 1 : Histologie n Cellules osseuses différenciées n n ostéoblastes ostéocytes Substance Interstitielle n n Matrice organique : tropocollagène, substance fondamentale, H 2 O + ions Substance minérale : cristaux hydroxyapatite, phosphate de calcium, amorphe
Généralité 2 n La matrice est constituée en deux temps : n n Production de collagène par les ostéoblastes pour former le tissu ostéoïde Dépôts de cristaux d’hydroxyapatites à 15 J pour former le front de calcification Les ostéoblastes finissent par être englobés dans le tissu ostéoïde et deviennent des ostéocytes qui assurent la minéralisation du tissu ostéoïde Les ostéoclastes creusent des encoches à la surface du tissu osseux
Généralité 3: le traceur n n n Le traceur le plus utilisé est le HMDP-TC 99 m Fixation au niveau du front de calcification sur les cristaux d’hydroxyapatites : zone d’ostéogenèse active Rôle déterminant du débit sanguin et de la perméabilité capillaire sur la fixation ( traceur est éliminé par les capillaires par diffusion passive)
Scintigraphie normale adulte
Scintigraphie normale enfant
Scintigraphie normale enfant 1 mois
Répartition du Technétium libre Erreur de préparation du produit Absence de marquage par HMDP 95 % de Tc libre
Variante de la normale Signe du pointillé costal
Artefact Après lavage Contamination urinaire de la branche ischio pubienne gauche
Contamination à la peau Clichés centrés en face antérieure Suspicion de lésion de L 5 Diagnostic final : Contamination à la peau Coupes tomographiques
Tumeur mammaire calcifiée ADP Tumeur
Atteinte osseuse disséminée
Lésion ostéolytique du col fémoral droit (tumeur à cellules géantes)
Lésions ostéolytiques
Lésion ostéolytique
Lésions ostéolytiques et ostéocondensantes Homme de 20 ans suivi pour mélanome Lésions ostéolytiques Lésions ostéocondensantes
Fracture du tiers inférieur du tibia gauche Enfant de 8 ans avec douleur du genou gauche depuis plusieurs jours Précoce 10 min. Tardif : face ant. Tardif : face post.
Fracture du calcanéum Homme 23 ans, traumatisme sur le talon G au surf Radiographie : doute sur l’astragale
Micro-fracture du calcanéum G Temps précoce Temps tardif
Epine calcanéenne inférieure Confirmée par la radiographie
Calcification du tendon d’Achille
Fracture du sacrum Aspect typique en H
Algodystrophie de l’épaule D Temps précoce Syndrome main-épaule débutant
Ostéochondrite de hanche G Face antérieure Enfant de 4 ans avec de la hanche
Ostéomyélite débutante de jambe gauche chez un enfant de 5 ans Précoce face antérieure Tardif
Ostéomyélite du tibia G Fillette de 8 ans Clinique : œdème de la cheville fièvre et frisson Syndrome inflammatoire biologique 10 min. face antérieure
Clichés tardifs OSTEOMYELITE DU TIERS INFERIEUR DU TIBIA GAUCHE
Paget de l’humérus gauche
Paget du tibia droit
Périostite
Périostite du tibia G
Fibrodysplasie osseuse Femme de 30 ans
Arthrite de prothèse de genou G MDP 3 heures LK 24 heures
MDP 3 heures LK 24 heures
Spondylodiscite lombaire
Spondylolisthésis L 4 -L 5
La Thyroïde
L’anatomie de la thyroïde face antérieure Cartilage thyroïde Pyramide de Lalouette Veine jugulaire interne Carotide primitive Trachée
L’anatomie de la thyroïde Coupe transversale Muscle sterno-cleïdo-mastoïdien Trachée V. J. Interne Oesophage Carotide Iive
Ectopies thyroïdiennes Linguale Intra-linguale sub-linguale Kyste thyréoglosse Pré-pharyngée Position normale intra-trachéale sub-sternale
Drainage lymphatique de la thyroïde Ganglions jugulaires Ganglions pré-trachéaux Ganglions sus claviculaires Ganglions latéro-trachéaux
Un organe palpable
La scintigraphie thyroïdienne
Rôle de la thyroïde n Sécrétion des hormones thyroïdiennes : n n T 3 : tri-iodo-thyronine T 4 : tétra-iodo-thyronine ou thyroxine Synthèse à partir de l’iodure puisé dans la circulation et de thyroglobuline, qui sert de matrice de synthèse. L’iode est apporté par l’alimentation (50 à 100 µg/jour), il est absorbé sous forme de iodure au niveau de l’intestin grêle.
Action tissulaire des hormones n Sur la croissance Potentialise GH n Indispensable à l’ossification n Indispensable à la maturation des organes n n Effets sur le système nerveux SN central : maturation et connexions entre les organes (si athyréose = crétinisme) n SN Autonome : potentialise les effets des catécholamines (tachycardie, débit systolique augmenté) n
Effets métaboliques des hormones n n n Augmente la thermogenèse et la consommation en O 2 (Hyperthyroïdie = thermophobie, hypothyroïdie = frilosité) Augmente la synthèse protéique (effet sur la croissance) Augmente la synthèse et la dégradation des lipides (hyperthyroïdie = hypocholestérolémie et hypothyroïdie = hypercholestérolémie) Augmente la synthèse glucidique (Hyperglycémie) Augmente le métabolisme de l’eau et des électrolytes (Hypothyroïdie = œdème)
Régulation hormonale Hypothalamus TRH Ante-hypophyse TSH T 3, T 4 Thyroïde
Les radio traceurs
Sémiologie scintigraphique Thyroïde normale n Goitre n Scintigraphie hétérogène n Nodule froid n Nodule chaud n Scintigraphie blanche n
Scintigraphie normale
Scintigraphie normale
Principaux diagnostics évoqués devant un goitre homogène En euthyroïdie : goitre simple diffus (carence iodée, pubertaire …) n En hyperthyroïdie : Basedow, hyperthyroïdie à l’iode n
Goitre homogène
Basedow
Basedow
Principaux diagnostics évoqués devant un goitre hétérogène Goitre multi hétéro nodulaire toxique ou non toxique n Goitre ancien remanié n Hashimoto n
Goitre multi nodulaire toxique
Goitre multi nodulaire toxique
Principaux diagnostics évoqués devant un nodule chaud Ectopie, agénésie n Reliquat tissulaire post-chirurgie, post -radiothérapie n Adénome toxique ou pré-toxique n Métastase fixante d’un cancer thyroïdien n
Nodule chaud
Nodule chaud
Principaux diagnostics évoqués devant un nodule froid Tumeur bénigne : adénome, hématocèle, kyste n Tumeur maligne : cancer thyroïdien n Compression extrinsèque n Thyroïdite subaiguë en phase de guérison n Thyroïdite lymphocytaire chronique n
Nodule froid
Nodule froid
Nodule froid
Principaux diagnostics évoqués devant une scintigraphie blanche Contamination iodée iatrogène (médicament iodée, produit de contraste …) n Ectopie thyroïdienne n Thyroïdite subaiguë n Thyrotoxicose factice n Sécrétion ectopique d’hormones thyroïdiennes (goitre ovarien, métastases) n
Scintigraphie blanche
Scintigraphie cardiaque
n n La distribution du traceur reflete la perfusion myocardique au moment de l’injection Thalium 201 / Tc 99 (mibi myowiew)
n n Injection au cours d’une épreuve d’effort Injection au repos
Permet de dépister les ischémies d’effort n Les séquelles de nécrose n n Évaluation de la gravité
n Acquisition tomographique Représentation spatiale de la distribution du traceur n 3 plans de coupes n
n 1 image de vrai positif
Ventriculographie isotopique n n Permet d’étudier la fraction d’éjection ventriculaire gauche Appréciation de la cinétique du ventricule gauche
Scintigraphie Rénale n Néphrogramme isotopique Étude de la captation et de l’excrétion urinaire d’un traceur (mag 3 DTPA) n Dépistage et suivis des néphropathie obstructive n Détermination de la fonction séparée des reins n Recherche d’HTA réno-vasculaire n
DMSA Traceur à accumulation tubulaire n Détection des pyélonéphrites n Fonction séparée n Lésions morphologiques n
Scintigraphie cérébrale Images tomographiques n Traceur: reflète la perfusion cérébrale au moment de l’injection. n Indications principales : n Bilan de démence(alzheimer) n Epilepsie n
Scintigraphie pulmonaire n Étude de la ventilation n Étude de la perfusion n Quantification
Indication n Recherche d’embolie pulmonaire n Bilan préopératoire (quantification)
n Image ep
Scintigraphie par émission de positrons TEP/PET SCAN
n Définition n Rappels physiques n Applications n Cas cliniques
TEP n Appareil de scintigraphie permettant: n n la détection de positrons La répartition spatiale du radiopharmaceutique marqué avec un isotope émetteur de positrons.
Rappels Physiques n Principe d’annihilation n détection
Annihilation
Détection
Applications cliniques n FDG (seule radio pharmaceutique de routine utilisé en France) n n n Fluoro-Dopa FNa Fluoro Thymidine C 11 Méthionine Rb 82, O 15, N 13, Ga 68, Ne 19. .
FDG n Analogue du 2 -déoxyglucose marqué au F 18 n n Pénètre dans la cellule cancéreuse de manière analogue au glucose. Phosphorylé en 6 par l’hexokinase en fluoro -2 -DG-6 -phosphate qui n’est ni métabolisé ni déphosphorylé (accumulation intra tumorale)
En pratique: n n n Patient à jeun de 12 h Euglycémie Injection de 10 à 15 MCi de FDG Attente de une heure en box plombé(fixation) 25 à 45 min d’examen selon le protocole
CAS CLINIQUES
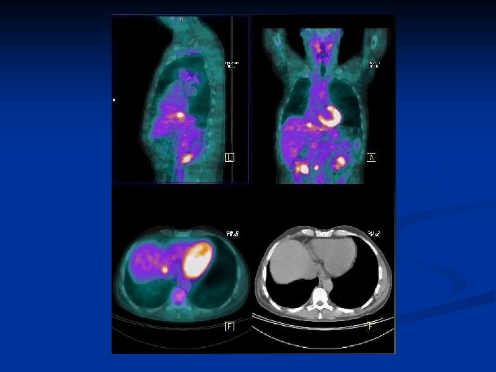
Cancer pulmonaire n n n Homme 48 ans Carcinome épidermoide LSD traité par radiothérapie + chirurgie Image douteuse au niveau hépatique et rénale
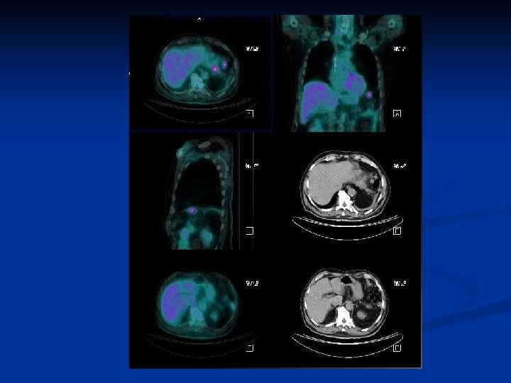
Cas n° 2 n n Homme 80 ans Cancer colique Réascention des ACE en cours de surveillance Bilan radio standard: négatif
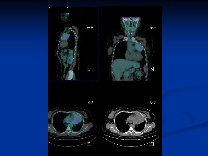
Cas clinique n° 3 (cancer du sein) n n n Femme 66 ans Lombalgies +++ Scintigraphie osseuse douteuse IRM – Réascention CA 15 -3
n Patiente soulagée par chimiothérapie
Cas clinique n° 4 (Primitif inconnu) n Femme 43 ans n Métastase cutanée d’un adénocarcinome
Radiothérapie métabolique
Principes n Dépôt d’énergie dans la matière: n Fonction du type de rayonnement (TEL) n Médecine nucléaire: β-
n Lésion Moléculaire (Protéine, ADN, Lipide) n Par effets directs/Indirects(radiolyse H 2 O: Radicaux libres) n Pas de réparation: effet cellulaire létal n Réparation n fautive: Létale Mort cellulaire programmée (apoptose) Non létale
Produits: I 131: cancer thyroidien/hyperthyroidie n Quadramet*/Métastron: métastases osseuses. n Zevalin: Lymphomes n Lipiocis: hépatocarcinomes n Synoviortheses n
Traitements des hyperthyroïdies n Indications : n Adénome toxique n n Goitre multi-hétéro-nodulaire toxique Maladie de Basedow Méthode : Administration d’une dose d’iode 131, qui se fixe au niveau de la thyroïde. Le rayonnement β de l’iode 131 de forte énergie provoque des lésions cellulaires, donc diminue l’hyperthyroïdie.
Cancer thyroidiens
Métastases osseuses