MASTER DI II LIVELLO IN TERAPIA INTENSIVA DELLETA




























- Slides: 28
MASTER DI II LIVELLO IN TERAPIA INTENSIVA DELL’ETA’ PEDIATRICA Direttore Prof. Paola Papoff Candidato: Dr. ssa Alessandra Montemaggi 15/12/2017
Il “rientro” di una bronchiolite severa
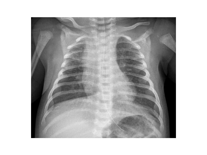
GIULIA 25 giorni 30/01 tosse secca, rinostruzione, apiressia 31/01 peggioramento della dinamica respiratoria, tosse, rifiuto ad alimentarsi Valutazione in PS: Sat. O 2 90% in aa FR 70 rpm rientramenti sottocostali, crepitii FC 170 bpm TR 2” non segni di precarico Esami ematici: PCR 1, 17 mg/dl, GB 10530/mmc (55%L, 33%N), elettroliti, AST, ALT, gamma. GT, glicemia nella norma EGA coagulato Nessun fattore di rischio II gravidanza normodecorsa Parto vaginale spontaneo EG 40+2 IA 9 -10 PN 2800 gr Peso attuale 4 Kg Una sorella di 4 anni con IVAS per bronchiolite severa: - prematurità - broncodisplasia - cardiopatie congenite - malattie neuromuscolari - immunodeficit
Ricovero in Pediatria 31/01 ore 19. 00 O 2 terapia 2 L/min con nasocannule + idratazione ev Sat. O 2 99% FR 65 rpm FC 170 bpm broncospasmo, prolungamento fase espiratoria, rientramenti giugulo e sottocostali Tp: ampicillina, broncodilatatori, corticosteroidi sistemici Ore 21. 00 Peggioramento dinamica respiratoria HFNC Fi. O 2 35% 6 L/min Sat. O 2 95% FR 52 rpm FC 142 bpm Assume 40 ml di latte a biberon P/F 382
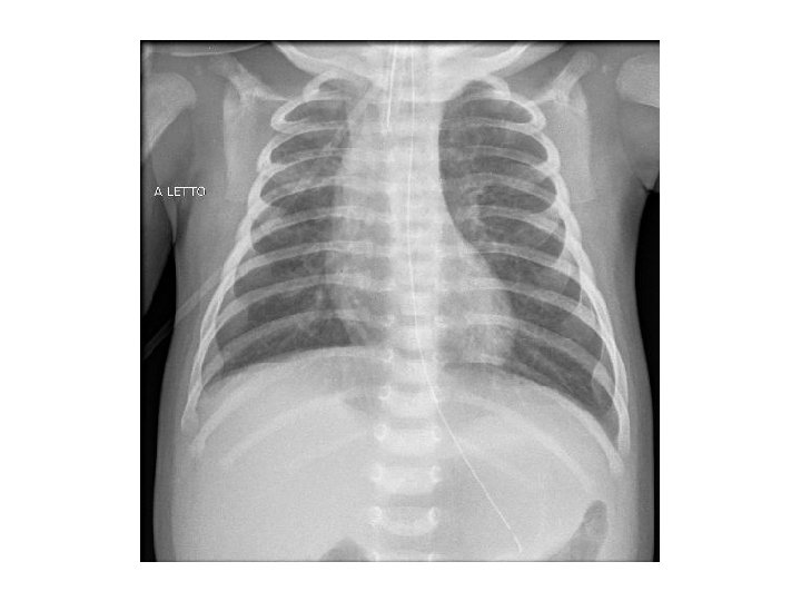
01/02 Ore 09. 20 Arresto respiratorio desaturazione e bradicardia Ventilata con Ambu per 3 -4 minuti e successivamente con va e vieni rapida normalizzazione FC Rianimatori: riprendere HFNC 7 L/min 40% Fi. O 2, mette SNG Sat. O 2 90 -92% FR 48 rpm FC 160 bpm Rientramenti al giugulo e sottocostali
Ricovero in TIN Breve tentativo in NIPPV fallito Intubata SIMV PIP 24 cm. H 2 O PEEP 5, 5 cm. H 2 O FR 30 Ti 0, 4 10 L/min Fi. O 2 45% Sedazione: clonidina, fentanest, midazolam Terapia : Ampicillina, gentamicina, claritromicina Aerosol salina 3% + adrenalina CVC: NPT
Ricovero in TIN 02/02 Ore 12. 00 Intubata SIMV PIP 24 cm. H 2 O PEEP 5, 5 cm. H 2 O FR 60 Ti 0, 4 Fi. O 2 45% 10 L/min
Ricovero in TIN 2/02 HFOV Fi. O 2 40% 20 L/min Hz 11, 5 Ti 0, 33 ΔP 26 MAP 13, 5 Terapia : Ampicillina, gentamicina , claritromicina Aerosol salina 3% + adrenalina Teofillina Betametasone per os
Papoff P, Moretti C, Cangiano G, et al. Incidence and predisposing factors for severe disease in previously healthy term infants experiencing their first episode of bronchiolitis. Acta Paediatr. 2011 Jul; 100(7): e 17 -23.
“All infants in the ventilated group were younger than 3 months and 50% younger than 1 month. ” Papoff P, Moretti C, Cangiano G, et al. Incidence and predisposing factors for severe disease in previously healthy term infants experiencing their first episode of bronchiolitis. Acta Paediatr. 2011 Jul; 100(7): e 17 -23.
BRONCHIOLITE Definizione americana: un episodio di wheezing associato a segni di infezione virale in bambini < 24 mesi Definizione europea e australiana: patologia respiratoria con dispnea, tachipnea, rientramenti intercostali, crepitii e sibili in bambini < 12 mesi DIAGNOSI CLINICA Infezione stagionale: Ottobre – Aprile Eziologia: RSV (41 -83%), altri virus rhinovirus, metapneumovirus, coronavirus, bocavirus, influenza virus, adenovirus, parainfluenzae virus Criteri di OSPEDALIZZAZIONE: - Condizioni generali scadenti, ridotta alimentazione (intake 50 -75% dell’abituale), letargia, disidratazione - distress respiratorio moderato/severo (RR > 70 rpm, lavoro respiratorio (WOB) - apnea - cianosi - ipossiemia Sat. O 2 < 90 -92% in aa +/- ipercapnia - supporto parentale
BRONCHIOLITE Criteri di SEVERITA’ – non ci sono definizioni condivise - Aumento persistente WOB in valutazioni ripetute (ogni 15 minuti) - Ipossiemia (Sp. O 2 < 95%) - Apnea - Acute respiratory failure Fattori di rischio per severità e ricovero in PICU: - Età < 3 mesi - Prematurità - Malattia polmonare cronica - Cardiopatie congenite - Immunodeficienze - Malattie neuromuscolari - Sovrainfezioni batteriche PEWS score
Trattamento di supporto pulizia del naso, ossigenoterapia, fluidi Broncodilatatori: Non efficaci (strong recommendation) – possibile trial Adrenalina: benefici nell'immediato, ma non modifica la durata di malattia Soluzione salina ipertonica: non raccomandata (weak recommendation) risultati conflittuali in diversi trial Corticosteroidi sistemici: non efficaci (strong recommendation) Antibiotici: no di routine, sì nel sospetto di sovrainfezione batterica rh. DNase surfactante
21% NON ventilati Ricoveri in PICU 510% Fattori predittivi per ricovero in PICU: - età <2 mesi - precedenti accessi in PS - retrazioni toraciche moderate/severe - inadeguato intake di fluidi - infezione da VRS 79% ventilati 17% ventilazione invasiva Fattori predittivi per fallimento della NIV: - prematurità - polmonite - coinfezione batterica Oakley E, Chong V, Borland M, et al. Intensive care unit admissions and ventilation support in infants with bronchiolitis. Emerg Med Australas. 2017 Aug; 29(4): 421 -428 Betters KA, Gillespie SE, Miller J, Kotzbauer D, Hebbar KB. High flow nasal cannula use outside of the ICU; factors associated with failure. Pediatr Pulmonol. 2017 Jun; 52(6): 806 -812
Ricovero in TIN 05/02 SIMV 06/02 estubata IMV con Ram cannule 07/02 respiro spontaneo in aa PCR per RSV su TN POSITIVA PCR per Bordetella pertussis su TF NEGATIVA PCR virus influenzali, adenovirus, rhinovirus NEGATIVA Colturale su BAL NEGATIVO Esami ematici nei limiti della norma, PCR negativizzata
07/02
TPSV 07/02 Ore 4. 00 1° episodio Diving reflex inefficace Adenosina 0, 1 mg/Kg (2 boli) inefficace Adenosina 0, 2 mg/Kg cardioversione Ore 17. 00 2° episodio Diving reflex efficace Ore 22. 00 3° episodio Adenosina 0, 1 mg/Kg inefficace Adenosina 0, 1 mg/Kg (2° bolo) cardioversione Inizia terapia con Flecainide 2 mg/Kg 8 H 08/02 Ore 22. 30 4° episodio Adenosina 0, 1 mg/Kg (3 boli) inefficace Adenosina 0, 1 mg/Kg (4° bolo) cardioversione
Ritmo sinusale FC 145 bpm, PR 0, 12”, QRS 0, 06”. Onda delta, meglio visualizzabile nelle derivazioni precordiali
ECOCARDIOGRAFIA: Buona funzione biventricolare con efflussi liberi; forame ovale pervio con shunt sinistro-destro
TPSV - La TPSV è la tachiaritmia più frequente nell’infanzia in associazione o meno con una cardiopatia congenita - Prevalenza 2 -3/1000 (picco <1 anno e 6 -7 anni) - Diagnosi con ECG che mostra una tachicardia a complessi stretti - FC variabile da 220 -280 o 180 -240 bpm, in base all’età e al meccanismo aritmogenico - Alta probabilità di recidiva nei successivi 10 anni dopo il primo episodio
TSV – tachicardia sopra ventricolare Si riconoscono diversi meccanismi alla base della TSV I meccanismi da rientro sono responsabili dell’ 86% dei casi in età pediatrica (TRAV 80% < 1 aa) - 10 -20% dei casi pre-eccitazione ventricolare (PR breve, onda delta, alterazioni della ripolarizzazione) - 9 -32% dei casi associazione con cardiopatie congenite (anomalia di Ebstein, ventricolo unico, trasposizione dei grandi vasi, DIV, cardiomiopatie)
TPSV TERAPIA NON FARMACOLOGICA: - Manovre vagali (trattenere il respiro, Valsalva, ghiaccio sul viso) aumento del tono parasimpatico che può bloccare la conduzione attraverso il nodo AV e terminare la SVT - Cardioversione elettrica sincronizzata pazienti emodinamicamente instabili – 1 J/kg max 2 J/kg TERAPIA FARMACOLOGICA in ACUTO: - ADENOSINA: I linea nei pazienti emodinamicamente stabili. Blocco transitorio della trasmissione attraverso il nodo AV. Azione rapida, emivita 10 sec ( somministrare rapidamente più vicino possibile al cuore) 0. 1 mg/kg (max 6 mg) seguito da flush SF 5 -10 ml, dosi successive 0. 2– 0. 3 mg/kg (max 12 mg) - ESMOLOLO: beta bloccante beta 1 selettivo (efficace dopo 2 -10 min, durata d’azione 10 -30 min) - PROCAINAMIDE: blocca i canali del Na (allunga periodo refrattario nodo SA)
TERAPIA FARMACOLOGICA CRONICA: - DIGOSSINA: scarso effetto proaritmico. Controindicata nel WPW – predispone ad aritmie fatali - FLECAINIDE: antiaritmico classe IC, agisce sui canali del Na riducendo la velocità di conduzione. Cautela nei pz con cardiopatia congenita - PROPAFENONE: classe Ic + proprietà beta-bloccanti - PROPRANOLOLO e NADOLOLO: beta bloccanti NON selettivi. Cautela nei pazienti con asma severa ( broncospasmo) e con disfunzione ventricolate - SOTALOLO - AMIODARONE La terapia dipende dall’esperienza del centro e deve essere adattata alle caratteristiche del paziente I casi refrattari o recidivanti necessitano generalmente di una terapia antiaritmica combinata Raramente in età pediatrica si rende necessario il ricorso a tecniche ablative
Correlazione fra bronchiolite e SVT? Armstrong DS, Menahem S. Cardiac arrhythmias as a manifestation of acquired heart disease in association with paediatric respiratory syncitial virus infection. J Paediatr Child Health. 1993 Aug; 29(4): 309 -11. The association between RSV infection and abnormalities of cardiac rhythm is uncommon, and apart from the cases seen at this institution, a literature search revealed only three additional case reports
… Outcome MARZO 2017 GIUGNO 2017 SETTEMBR E 2017 OTTOBRE 2017 recidiva di TPSV risolta con diving reflex. Inserisce in terapia Nadololo + flecainide broncospasmo risolto con salbutamolo. Inizia tp di fondo con montelukast e beclometasone broncospasmo risolto con salbutamolo. ECG Holter nella norma Broncospasmo Ricoverata in pediatra, inizia HFNC, terapia con salbutamolo e flebocortid. Il giorno seguente scadimento condizioni generali. EGA (p. H 7, 14, PCO 2 75 p. O 2 82 P/F 84) ricovero in PICU intubata e ventilata con iniziali alti supporti pressori per 3 giorni. SOSPESO NADOLOLO VRS, virus influenzali e parainfluenzali, coronavirus, rhinovirus NEGATIVI. Colturale su BAL negativo. Esami ematici nei limiti.
BIBLIOGRAFIA Papoff P, Moretti C, Cangiano G, et al. Incidence and predisposing factors for severe disease in previously healthy term infants experiencing their first episode of bronchiolitis. Acta Paediatr. 2011 Jul; 100(7): e 17 -23. Balaguer M, Alejandre C, Vila D, Esteban E, Carrasco JL, Cambra FJ, Jordan I. Bronchiolitis Score of Sant Joan de Déu: BROSJOD Score, validation and usefulness. Pediatr Pulmonol. 2017 Apr; 52(4): 533 -539 Oakley E, Chong V, Borland M, et al. Intensive care unit admissions and ventilation support in infants with bronchiolitis. Emerg Med Australas. 2017 Aug; 29(4): 421 -428 Betters KA, Gillespie SE, Miller J, Kotzbauer D, Hebbar KB. High flow nasal cannula use outside of the ICU; factors associated with failure. Pediatr Pulmonol. 2017 Jun; 52(6): 806 -812 Coletti KD, Bagdure DN, Walker LK, Remy KE, Custer JW. High-Flow Nasal Cannula Utilization in Pediatric Critical Care. Respir Care. 2017 Aug; 62(8): 1023 -1029. Baraldi E, Lanari M, Manzoni P, et al. Inter-society consensus document on treatment and prevention of bronchiolitis in newborns and infants. Ital J Pediatr. 2014 Oct 24; 40: 65 Ralston SL, Lieberthal AS, Meissner HC, et al. ; American Academy of Pediatrics. Clinical practice guideline: the diagnosis, management, and prevention of bronchiolitis. Pediatrics. 2014 Nov; 134(5): e 1474 -502. Bronzetti G, Mariucci E, Cervi E, D'Angelo C, Corzani A, Brighenti M, Bonvicini M. [Supraventricular tachycardia in children]. G Ital Cardiol (Rome). 2013 Sep; 14(9): 597 -612 Richardson C, Silver ES. Management of Supraventricular Tachycardia in Infants. Paediatr Drugs. 2017 Dec; 19(6): 539551 Kulig J, Koplan BA. Wolff-Parkinson-White syndrome and accessory pathways. Circulation. 2010 Oct 12; 122(15): e 480 -3. Bronchiolitis in children: diagnosis and management NICE guideline, June 2015 Advanced Lfe Support Linee Guida ERC 2015