MASSES MEDIASTINALES 1 CIRCONSTANCES DE DECOUVERTE 1 1

























- Slides: 25
MASSES MEDIASTINALES
1. CIRCONSTANCES DE DECOUVERTE 1. 1. Découverte fortuite - Evoque la bénignité, n’exclut pas la malignité. - TDM suffit habituellement au diagnostic. 1. 2. Tumeurs symptomatiques - Syndrome médiastinal : cave supérieur, respiratoire (trachée), paralysie récurrentielle gauche avec dysphonie, dysphagie. - Syndrome extra-thoracique : gynécomastie, myasthénie, syndrome paranéoplasique, ADP périphériques, modification des marqueurs tumoraux.
2. TECHNIQUES D’IMAGERIE 2. 1. Radiographie thoracique - Modification des lignes médiastinales. - 3 compartiments : antérieur (en avant de la ligne face antérieure de la trachée-bord postérieur du cœur), moyen (en avant de la ligne passant 1 cm en avant des corps vertébraux), postérieur. - Division verticale supérieure (au-dessus du bord supérieur de l’aorte horizontale), moyen (audessous du plan de la carène), inférieur.
2. 2. TDM - Reconnaissance de la nature vasculaire d’une masse médiastinale. - Détection de petites tumeurs (supérieure au cliché rx thoracique). - Localisation des tumeurs : 8 compartiments. - Reconnaissance du contenu de la tumeur : hypervascularisation (goitre, thymome, adénome parathyroïdien, paragangliome, …) calcifications inconstantes (goitre, ADP, thymome, tumeurs nerveuses, …), liquidiennes (kystes dérivés de l’intestin primitif, lymphangiome, thymome), graisseuse (lipome, liposarcome).
- Recherche de signes de malignité : lésion mal - limitée, densification de la graisse. Bilan préopératoire. Guidage d’une biopsie.
2. 3. IRM - Performances voisines de celle de la TDM pour le diagnostic positif et étiologique ; méconnaissance des calcifications. - Avantage pour le bilan préthérapeutique (mais TDM volumique). - Angio-MR pour le bilan des masses d’origine vasculaire.
2. 4. Echographie - Transcutanée, transœsophagienne. - Rôle minime pour les masses médiastinales.
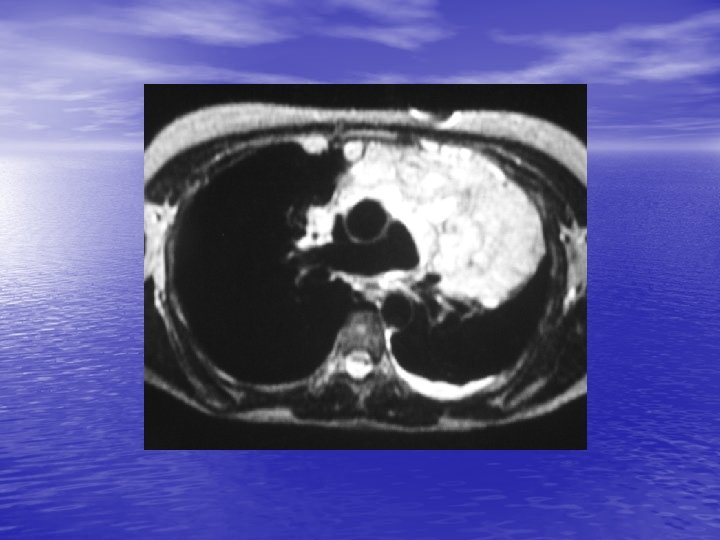
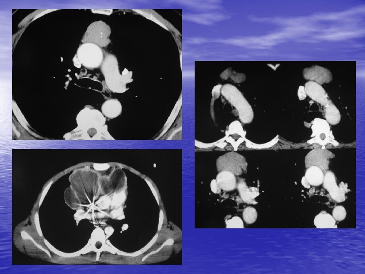
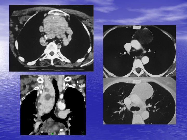
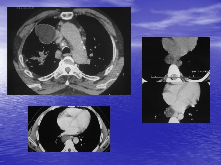
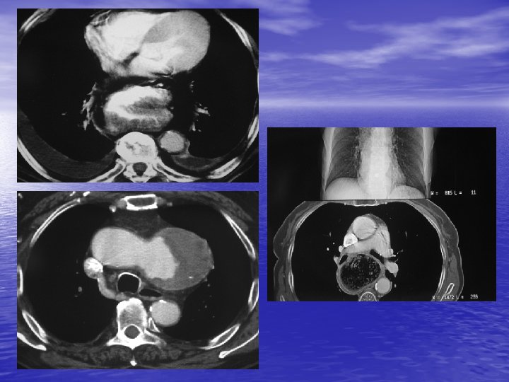
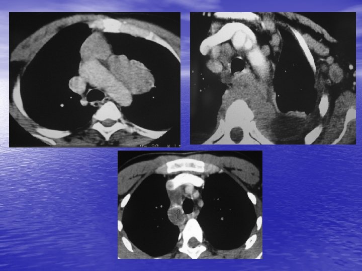
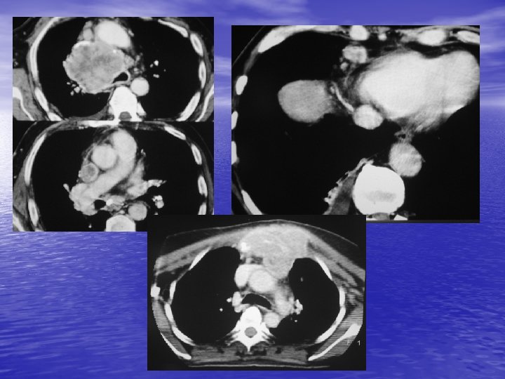
3. MASSES DU MEDIASTIN ANTERIEUR 3. 1. Tumeurs thymiques - Environ 50 % des masses non ganglionnaires et vasculaires. - Tumeurs les plus fréquentes du médiastin antérieur. - 50 % asymptomatiques, myasthénie. - Bénin ou malin : souvent pas de différenciation par l’imagerie.
3. 2. Autres tumeurs - Tumeurs germinales (tératome, carcinome embryonnaire). - Adénome parathyroïdien. - Lymphangiome kystique. - Kyste pleuro-péricardique. - Goitre plongeant. - Pseudo tumeur graisseuse (par hernie diaphragmatique antérieure), vasculaire (anévrysme de l’aorte ascendante ++), cardiaque.
4. MASSES DU MEDIASTIN MOYEN 4. 1. Kyste bronchogénique - 10 % des tumeurs du médiastin. - Bourgeon aberrant détaché de l’ébauche trachéo - -bronchique. Diagnostic fortuit. Rond ou ovale, parfois paroi calcifiée. Densité parfois élevée (lait calcique).
4. 2. Autres tumeurs - Kyste gastroentérique. - Lymphangiome kystique. - Hernie hiatale. - Méga œsophage. - Lésions aortiques : anévrysme de la portion horizontale, malformations.
5. MASSE DU MEDIASTIN POSTERIEUR 5. 1. Tumeurs neurogènes - Tumeur des nerfs périphériques (schwannome, neurofibrome), des ganglions sympathiques (ganglioneurome, neuroblastome), paraganglionnaires (chémodectome). - ++ gouttières costo-vertébrales, parfois calcifications, lésions osseuses associées évocatrices (trou de conjugaison élargi). - Rôle ++ de l’I. R. M. pour le bilan (recherche de prolongement intra-rachidien).
5. 2. Autres tumeurs - Méningocèle. - Kyste neuroentérique. - Hématopoïèse extra-médullaire.
6. ADENOPATHIES MEDIASTINALES - Etiologie n° 1 des masses du médiastin. - Bénigne ou maligne. - Sarcoïdose : caractère symétrique. - Lymphome malin (Hodgkin, LMNH : caractère asymétrique). - Métastases : ++ cancer bronchique. - Surtout médiastin moyen.