Manifestations pulmonaires du VIH et Coinfection TBVIH Pr
Manifestations pulmonaires du VIH et Co-infection TB-VIH Pr Gaspard Kamamfu Université du Burundi Faculté de Médecine Mai 2017
1. Introduction • Le poumon est un des organes les plus touchés par les IO du VIH/SIDA ü Tuberculose pulmonaire isolée ou associée à d’autres localisations ü Pneumopathies bactériennes récidivantes ü Pneumocystose ü Les autres IO ü conclusion
2. Tuberculose et VIH/SIDA • La plus fréquente au Burundi des IO du VIH/SIDA: o 49 à 55% au CHUK (1990, 2004) o 26% (enquête nationale de 2007) • Peut survenir à tous les stades de l’ID ü Stade précoce ü Stade avancé
2. 1. Stade Précoce • Tableau clinique identique à celui de la TB d’un sujet immuno compétent ü Altération de l’état général avec les 3 A ü Toux persistante au-delà de 15 jours ü Fièvre modérée le soir ü Sueurs profuses nocturnes ü Aménorrhée chez la femme ü Douleur thoracique; Dyspnée
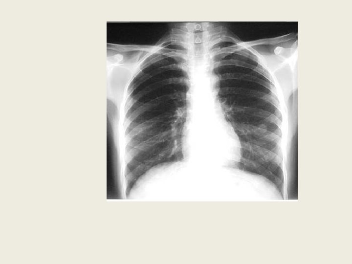
2. 1 Stade précoce(suite) • La radiographie pulmonaire montre : ü Nodules ü Infiltrats ü Cavernes Ø Atteinte préférentielle des lobes supérieurs des poumons
2. 2 Stade avancé de l’ID • Les signes cliniques de la TB sont identiques à ceux du SIDA: penser toujours à recher la TB en cas de découverte d’une ID au VIH • AEG, fièvre à 39 - 40°C • Fréquence élevée des localisations extra pulmonaires: ü Ganglions: aires cervicales, axillaires, abdomen… ü Plèvre, péricarde, péritoine, rate, foie, méninges…
2. 2. Stade avancé( suite) • La bactériologie est souvent négative: recherche répétée et sur prélèvements divers • Intérêt du test Gen. Expert • Mise en culture sur le milieu de Loewen Stein Jansen+++ • Signes radiologiques souvent atypiques: ü Radiographie pulmonaire normale ü Opacités nodulaires ou réticulo nodulaires bilatérales et diffuses
2. 2. Stade avancé(suite) ü Atteinte des lobes inférieurs des poumons par des opacités parenchymateuses ü Rareté des cavernes et lorsque elles sont présentes, elles sont localisées au niveau des bases ü Pleurésies plus fréquentes
2. 2. Stade avancé(suite) • Conduite du diagnostic ü Recherche systématique de signes de la tuberculose pulmonaire et extra pulmonaire o Interrogatoire minutieux o Imagerie thoracique o Echographie abdominale ou transthoracique o Biopsies diverses
2. 2 Stade avancé(suite) • Diagnostic de certitude: mise en évidence des BAAR, confirmation par la culture ou l’anapath • Diagnostic présomptif: faisceaux d’arguments ü Arguments épidémiologiques ü Arguments cliniques ü Arguments radiologiques ü Arguments biologiques ü Arguments thérapeutiques
2. 3. Recrudescence de la TB du fait du VIH • 2317 cas en 1985, 7016 cas en 2012 soit une augmentation de plus de 200% • Pourquoi cette augmentation ü Réactivation endogène ü Risque de rechutes accru ü Contamination exogène Ø Risque annuel de 10% contre 0, 2% en cas de non VIH
2. 3. Conséquences de cette recrudescence • Risque accru de contagiosité de la TB du fait de l’augmentation du nombre de cas • Débordement des structures de soins • Conséquences socio-économiques avec augmentation de l’absentéisme professionnel hospitalisations fréquentes, décès de jeunes dynamiques • Transmission nosocomiale de la TB
2. 4. Traitement de la TB-VIH/SIDA • Schéma court: 2 RHZE 4 RH • Schéma de retraitement en cas de rechute (TPM+ chez un ancien tuberculeux): 2 SRHZE/1 RHZE/5 RHE
2. 4. Traitement de la TB-VIH/SIDA • Faire un dépistage actif de la tuberculose avant de mettre un malade sous ARV: interrogatoire, recherche de BAAR, Rx thorax, échographie abdominale • Traiter en priorité la tuberculose • Ne pas associer la Rifampicine avec la Nevirapine ou les IP
2. 4. Traitement de la TB-VIH/SIDA • Instaurer les ARV une fois la tolérance aux antituberculeux constatée ( ictère, transaminases) • Tenir compte du degré d’immunodépression: ü Moins de 200 CD 4: introduire les ARV à la 3 eme semaine après le début des antituberculeux; surveillance clinique et biologique rapprochées
2. 4. Traitement de la TB-VIH/SIDA ü Entre 200 et 350 CD 4: attendre la fin de la 1ère phase du traitement antituberculeux ü Plus de 350 CD 4: mettre les ARV à la fin du traitement antituberculeux • Si le malade est déjà sous ARV, tenir compte des interférences entre la Rifampicine et certains ARV. Discuter d’un possible échappement thérapeutique et cher pour traiter les autres IO
2. 4. Traitement de la TB-VIH/SIDA • Risque accru de neuropathies périphériques avec l’INH et supplément de Vitamine B 6 • Surveillance rapprochée des malades sous traitement par les ARV et les antituberculeux
2. 4. Traitement de la TB-VIH/SIDA • Chimio prophylaxie à l’INH des malades VIH/SIDA ü L’INH est susceptible de prévenir le passage de l’état de tuberculose infection à celui de tuberculose maladie. Il doit être instaurer après une exclusion d’une tuberculose active ü Son application est dangereuse dans les pays à forte endémicité tuberculeuse dont le Burundi
2. 4. Traitement de la TB-VIH/SIDA • Chimio prophylaxie à l’INH(suite) ü Risque de banalisation des symptômes par le malade ü Promiscuité des malades TPM+( quartiers pauvres et surpeuplés) ü Retard de consultation: manque de moyens financiers, distance, état du malade, qualité du Service d’accueil
2. 4. Traitement de la TB-VIH/SIDA • Chimio prophylaxie à l’INH(suite) ü Retard de diagnostic d’une TPM+ alors que le malade est en monothérapie à l’INH: surpopulation des CDS, ressources humaines insuffisantes, matériel de diagnostic non disponible. . . Résistance à l’INH, un des antituberculeux majeurs du traitement de la tuberculose
3. Pneumopathies bactériennes • Vient en 2ème position en fréquence au CHUK: 30 - 35% • Fréquence accrue avec le degré de déficit immunitaire • Infection des VRS souvent associé • Le Pneumocoque est le germe souvent incriminé: l’antibiothérapie souvent probabiliste doit, a priori , être efficace sur ce germe
3. 1. Clinique • Début brutal avec un point de côté thoracique, une fièvre à 39 - 40°C, des frissons • Une toux productive avec une expectoration jaunâtre ou mucopurulente • Un syndrome de condensation pulmonaire avec submatité, râles crépitants ou sous crépitants localisés dans un foyer pulmonaire • Parfois un syndrome d’épanchement pleural associé
3. 2 Radiologie • Une opacité parenchymateuse systématisée à un lobe avec parfois en son sein un broncho gramme aérien • Une atteinte pluri lobaire • Un épanchement pleural associé
3. 3 Biologie • NFS: ü Hyperleucocytose à polynucléose ü Parfois GB normaux voire abaissés, mais élévation du % des PN • Hémocultures systématiques avant l’antibiothérapie: permet la réalisation de l’antibiogramme et l’ adaptation du traitement
3. 4. Traitement • Antibiothérapie: ü Amoxicilline 500 mg: 2 -3 g en 2 ou 3 prises par jour pendant 8 à 15 jours ü Amoxicilline+ acide Clavulinique: 2 - 3 g/ jour en 2 -3 prises , pendant 8 -15 jours ü Macrolides • Contrôle du foyer infectieux favorisant
4. Pneumocystose • Rare au Burundi( 5 - 7%), survient lorsque les CD 4 < 200/ mm 3 • Antécédents d’infections opportunistes : Tuberculose pulmonaire ou extra pulmonaire, Candidoses, Pneumopathies bactériennes récidivantes… • Diminution de sa fréquence depuis la chimio prophylaxie au Bactrim
4. 1 Clinique • • Toux sèche Fièvre modérée à 38 - 38, 5°C Dyspnée d’effort voire de repos Parfois râles crépitants au niveau des bases pulmonaires
4. 2 Radiologie • Opacités interstitielles des 2/3 inférieurs des poumons+++ • Aspect de poumons blancs au stade avancé • Aspect normal: intérêt du Scanner • Rarement: Pneumothorax, Excavation au niveau des sommets
4. 3. Bronchoscopie avec LBA • Mise en évidence après coloration spécifique( Gomori –Grocott, Giemsa, bleu de toluidine) de kystes ou Trophozoïtes de P. jiroveci
4. 5. Traitement • Bactrim ü en perfusion toutes les 8 heures, à la posologie de 15 mg/kg/Jour de TMP et 75 mg/kg/jour de SMZ ü Comprimé de 160/800 mg en 3 prises ü Si tableau d’insuffisance respiratoire aigue associé: Corticothérapie et Oxygénothérapie ü Durée: 21 jours ü Chimioprophylaxie: Bactrim, 160/800 mg/jour • Iséthionate de pentamidine( Pentacarinat): 4 mg/kg/jour en perfusion
5. Les autres IO • Cryptococcose pulmonaire: le poumon est la 2ème localisation après le cerveau; survient si CD 4< 100/mm 3 • Toxoplasmose: atteinte cérébrale habituellement associée; sérologie de la Toxoplasmose positive; CD 4< 100/mm 3 • Mycobactérioses atypiques: CD 4< 50/mm 3 • Sarcome de Kaposi broncho pulmonaire
6. Conclusion • Fréquence élevée des complications pulmonaires au cours du VIH/SIDA • Penser toujours à la TB pulmonaire ou extra pulmonaire en cas de symptomatologie pulmonaire ou générale trainante • La TB sous Schéma court évolue favorablement, mais les rechutes sont fréquentes
- Slides: 38