MANAGEMENT OF LIVER ABSCESS Joint Hospital Surgical Grand

MANAGEMENT OF LIVER ABSCESS Joint Hospital Surgical Grand Round Carmen C. W. Chu Department of Surgery, Pamela Youde Nethersole Eastern Hospital

F/53 Philipino Newly diagnosed Ca sigmoid PET-CT : solitary liver metastasis at segment IV/V For laparoscopic anterior resection + RFA Intraop: Multiple liver abscess Anchovy sauce like pus

Introduction Severe disease with 80 -100% mortality if untreated Infection of liver parenchyma Infiltration by inflammation and pus formation

Types of liver abscess Bacterial -80% Tuberculosis Amoebic – 10% Fungal

Etiology Biliary Portal Traumatic Arterial Cryptogenic

Changing trends … ↑incidence 13 to 20/100, 000 hospital admissions Improved imaging techniques Aetiology: Portal pyaemia due to appendicitis used to be the commonest cause ↑Biliary causes ↓ Overall mortality 6 -14% ↑ Resistant strains and fungal infection ↑antibiotics use Barakate et al. Ann Surg. 1996

Microbiology Gram- Negative Aerobes Gram Positive Aerobes Klebsiella Streptococcus Milleri Escherichia Coli Staphylococcus Aureus Pseudomonas Aeruginosa Enterococcus spp. Proteus Gram-Negative Anaerobes Gram-Positive Anaerobes Bacteroides Clostridium Fusobacterium Peptostreptococcus

Klebsiella pneumoniae liver abscess Polymicrobi al Cryptogenic non invasive Monomicrobial Cryptogenic invasive Monomicrobial Metastatic infection Rare Frequent DM 10 -25% 15% 70% Biliary/ GI Pathology 95% 0. 6% nil Mortality 31 -41% <0. 5% 11% Braiteh. International Journal of Infectious Diseases 2005

Principles of Treatment Antibiotics >6 weeks Drainage of pus Treatment of underlying pathology

Principles of Treatment Surgical drainage is the mainstay of treatment in preimaging and pre-antibiotics era Mc. Fadzean reported success with percutaneous drainage in 1953 Percutaneous drainage by interventional radiology is effective in 75 -90% Mc. Fadzean et al Br J Surg 1953 Giorgio et al. Radiology 1995

Percutaneous Catheter Percutaneous Needle Drainage (PCD) aspiration (PNA) Adv Disadv Continuous drainage Especially when reaccumulation is rapid Catheter related complications Can treat multiple abscesses in same setting Avoids catheter related complications Repeated aspiration required

Percutaneous Catheter Drainage or intermittent needle aspiration?

Percutaneous Catheter Drainage (PCD) vs Percutaneous needle aspiration (PNA) Rajak (1998) Yu (2004) Zerem (2007) Sample Size 25 vs 25 32 vs 32 30 vs 30 Size of liver abscess 336 vs 222 ml 6. 15 vs 5. 55 cm 7. 4 vs 7. 4 cm Overall efficacy 100% vs 60% 84% vs 97% 100% vs 67% Rajak et al. AJR 1998 Yu et al. Hepatology 2004 Zerem et al AJR 2007

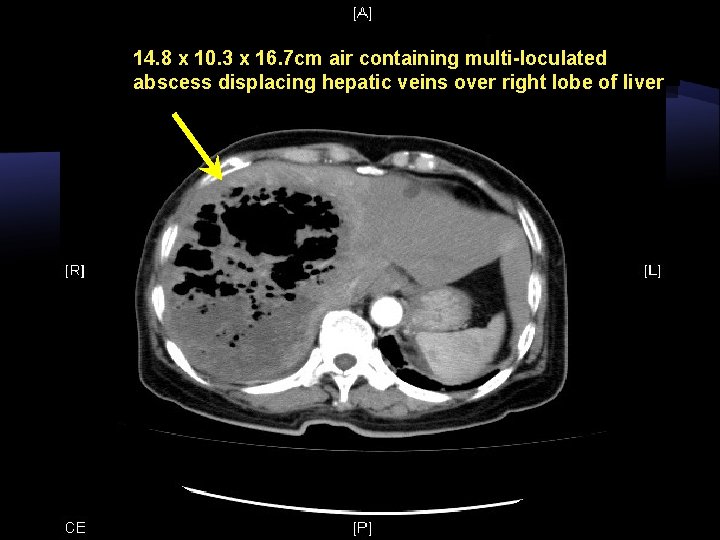
F/73 Poorly controlled DM Admitted for fever, deranged LFT USG: Gas containing liver abscess

14. 8 x 10. 3 x 16. 7 cm air containing multi-loculated abscess displacing hepatic veins over right lobe of liver

CT on D 7 after drainage Right lobe liver abscess remained static in size

3 days after second catheter drainage

Indications for surgery Present with rupture/peritonitis Failure of non-operative treatment Anatomatically not accessible Complications of percutaneous drainage Treatment of primary pathology Tan et al. Annals of Surgery 2005

Conclusion Pyogenic liver abscess remained a significant pathology and is potentially life threatening Majority caused by bacterial infection Amoeba, fungal and tuberculosis Percutaneous drainage with antibiotics remained first line of treatment and is effective in up to 90% of selected cases Surgery is indicated in selected cases
- Slides: 19