Mamma Screening en Diagnostiek Dr Monique D Dorrius















































- Slides: 47
Mamma Screening en Diagnostiek Dr. Monique D. Dorrius AIOS Radiologie, Universitair Medisch Centrum Groningen
Nederland Meest voorkomende vorm van kanker bij vrouwen. n Prevalentie: 95. 000 vrouwen n Incidentie: n 14. 000 vrouwen diagnose invasief mammacarcinoom n 1. 900 vrouwen in situ carcinoom n Kans op mammacarcinoom: 12 -13% n Sterftecijfer per 100. 000: 3. 200 n IKA NKR CBS Doodsoorzakenstatistiek
Risicofactor Relatief risico Toegenomen leeftijd (> 45 vs < 25) >10 Mutaties in BRCA 1 en 2 6 -8 Geografische regio (N-Amerika en N-Europa vs Verre Oosten, Afrika, ZAmerika) 5 -10 Mammongrafische hoge densiteit 4 -6 Atypische benigne afwijkingen 4 -5 Bestraling voorgeschiedenis voor 40 jaar bij bv Non-Hodgkin 3 -20 Mammacarcinoom of DCIS in voorgeschiedenis 2 ->4 Late leeftijd eerste kind (> 35 vs < 20 jaar) 2 Hoge botdichtheid postmenopauzaal 2 -3. 5 Nullipariteit <2 Hormonale substitutie therapie > 10 jaar 1. 4 -3 Late menopauze, na 54 jaar ≤ 2 Alcoholgebruik, risico dosisafh, 2 -6 consumpties per dag vs geen alcoholgebruik 1. 2 -1. 5 Orale anticonceptie recent gebruik 1. 2 -2. 4 Vroege menarche voor 11 jaar 1 -3 Lichamelijke inspanning 5 x per week vs inactief 0. 85 Overgewicht premenopauzaal, BMI> 35 0. 7
TNM systeem n T: n n n N: n n n de grootte van de tumor en de verspreiding naar de huid of de borstwand onder de borst. Waarde 0 -4 Verspreiding naar de lymfeklieren, de vaststelling of de aangetaste lymfeklieren aan elkaar of andere structuren onder de arm Waarde: 0 -3 M: n n Uitzaaiingen naar andere delen van het lichaam Waarde: 0 -1
Stadia van mammacarcinoom ahv TNM classificatie n n Stadium 0 Stadium I n Stadium II A en B n n Stadium III A en B n n n Stadium IV Ductaal carcinoom in situ Tumor < 2 cm, geen verspreiding buiten de borst Tumor > 2 cm en/of verspreid naar de lymfeklieren Tumor > 5 cm en/of verspreid naar de lymfeklieren of huid, borstwand. Tumor elke afmeting met uitzaaiingen naar andere organen.
Gemiddelde overlevingspercentage (5 jaar na de diagnose) n n n n Stadium 0 Stadium II A Stadium II B Stadium III A Stadium III B Stadium IV n n n n 100% 92% 81% 67% 54% 20% .
Mamma Screening
Borstonderzoek als screening n Periodiek borstzelfonderzoek geen betere prognose n zelfgevoelde knobbel neemt sensitiviteit mammogram toe, maar de specificiteit neemt af. n n Klinisch borstonderzoek lage sensitiviteit n hoge percentage foutpositieven (bij hoogrisico vrouwen is het aantal iets gunstiger n niet kosteneffectief n
Screening mbv mammografie bevolkingsonderzoek (BOB) 50 -75 jr n Screening van de algemene populatie vanaf 50 jaar mbv mammografie resulteert in mortaliteitsreductie bij voldoende kosteneffectiviteit bij vrouwen. n 1/3 toegeschreven aan de adjuvante systemnische therapie
Screening buiten BOB n n Overwogen bij relatief risico (RR)≥ 4 Screening is zeker geïndiceerd bij: n n BRCA 1 of 2 mutaties en ander hoogpenetrante genen Thoraxbestraling in voorgeschiedenis: n n n Radiotherapie ≤ 40 ste : als BRCA 1 / 2 muataties Radiotherapie > 40 ste : instroom in BOB Atypische benigne mamma-afwijkingen Doorgemaakte mammacarcinoom of DCIS RR 2 -4 bij een matig of sterk belaste familieanamnese screening voorafgaand aan BOB geadviseerd.
Familieanamnese n n Voorkomen van mammacarcinoom en andere tumoren in dezelfde tak van de familie (ovariacarcinoom, tubacarcinoom en prostaatcarcinoom. ) De hoogte van het risico wordt ingeschat aan de hand van het aantal n n n 1 e graads: vader, moeder, dochter, zoon, broer, zus 2 e graads: grootouders, kleinkinderen, ooms en tantes en kinderen van broers en zussen en halfbroers en halfzusters 3 e graads: overgrootouers, achterkleinkinderen, oudoom en oudtante, neven en nichten
Hoe te screenen? n Screening bij een matig verhoogd risico (RR 2 -3): n n n Screening bij een sterk verhoogd risico (RR 3 -4): n n n Vanaf 40 -50 jaar, jaarlijks MG aan te vragen door huisarts Vanaf 50 -75 jaar deelname aan BOB Vanaf 35 -60 jaar, jaarlijks MG en klinisch borstonderzoek Vanaf 60 -75 jaar deelname aan BOB Screening bij BRCA 1 of 2 mutatie of 50% kans op (RR 6 -8) n n n Co door polikliniek erfelijke/familiare tumoren Vanaf 25 -60 jaar, jaarlijks MRI Vanaf 30 -75 jaar, jaarlijks mammografie Vanaf 25 -60 jaar, jaarlijks klinisch borstonderzoek Afh van beoordeelbaarheid MG vanaf 60 -75 jaar tweejaarlijks MG
Dosismetrie n n Digitale mammografie Gemiddelde weefseldosis per mammografie is n n n Dosis per onderzoek is gemiddeld ongeveer 3 x 1. 66 m. Gy n n sterk afhankelijk van de dikte van de borst en bedraagt ongeveer 1. 66 m. Gy bij een standaardopname van 6 cm Dit getal kent per individu een grote spreiding, de dosis kan oplopen 2. 12 m. Gy per onderzoek bij vrouwen die een grotere borstdikte en veel klierweefsel hebben. Glandulaire doses worden continue gecontroleerd door het LRCB
Stralingsgeïnduceerde mammacarcinoom (1) n De kans op een door straling geïnduceerd carcinoom is zeer klein en kan niet worden berekend. n Het lifetime risico om een stralingsgeïnduceerde mammacarcinoom is afhankelijk van de startleeftijd n n Voor een vrouw 50 -75 jaar, die deelneemt aan het BOB wordt geschat op 1. 6 per 100. 000 vrouwen. Voor een vrouw tussen 25 -30 jaar is het bijna 2 x zo groot
Stralingsgeïnduceerde mammacarcinoom (2) n Blootstelling aan lage dosis ioniserende straling geeft een 1. 3 x verhoogde kans op tumorinductie bij BRCA mutatiedraagsters vs niet-blootgestelde leeftijdsgenoten n Dit geld vooral voor de jonge leeftijdsgroepen Daarom een startleeftijd < 30 jaar niet aangeraden Het is niet terecht om bij vrouwen < 50 jaar op basis van stralingsangst af te wijken van een termijn van 1 jaar tussen de screeningsrondes, omdat daardoor het aantal intervalcarcinomen onevenredig zal toenemen.
Mammodiagnostiek
Overzicht mammadiagnostiek n n n Mammografie (2 D/3 D) Echo MRI n n n Vergrotingsopname mammogram 6 maanden follow-up Invasieve procedures n n n Echogeleide cytologische puncties Echogeleide histologische biopten Stereotactisch biopten Draadlocalisaties MRI-geleide biopten
Mammografie
Indicaties mammogram Screenings patiënten verhoogd risico borstkanker n Screening via bevolkingsonderzoek Nederland (>50 jaar) n Palpabele laesie n Tepeluitvloed/intrekking n FU na mammacarcinoom n
Mammogram n n Craniocaudale opname Mediolaterale opname
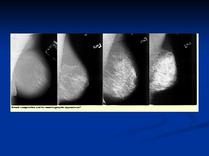
Beoordeling mammogram Mamma Densiteit De mamma bestaat vrijwel volledig uit vetweefsel (<25% klierweefsel) n Er zijn verspreid velden fibroglandulair weefsel (25 -50%) n Heterogeen verspreide velden fibroglandulair weefsel (51 -75%) n Zeer dens klierweefsel (> 75% glandular) n
Beoordeling mammogram Afwijkingen n Massa n Vorm, begrenzing, spiculated Architectuurverstoring n Focale asymmetrie n Calcificaties n
Archictectuurverstoring
Asymmetrie
Microcalcificaties
BIRADS n n n ↔ 0: onbeoordeelbaar 1: geen afwijkingen 2: benigne 3: waarschijnlijk benigne n Kans op maligne < 2% 4: waarschijnlijk maligne n Kans op maligne 2 -95% 5: zeer verdacht voor maligniteit n Kans op maligne >95% Work-up aanvullend ond. geen work-up biopsie of 6 mnd FU biopsie
BIRADS 1
BIRADS 2
BIRADS 3
BIRADS 4
BIRADS 5
Mammogram Afwijking mammogram BIRADS 2, 3, 4, 5 - Vergrotingsopname MG - Echo met evt: cytologische punctie histologisch biopt - Stereotactisch biopt - FU 6 mnd mammogram/echo - (MRI) Geen afwijking mammogram BIRADS 1, 2 Geen FU Mammogram onbeoordeelbaar BIRADS 0 - Oude beelden - Evt. gerichte echo bij palpabele laesie - Evt. MRI bij zeer dense klierweefsel
Screening met MRI n Het toevoegen van MRI aan mammografie voor screening van hoogrisico vouwen leidt tot een hogere sensitiviteit voor mammacarcinoom. Dient gereserveerd te blijven voor vrouwen met sterk verhoogd risico, mn BRCA 1 /2 mutaties n Onvlodoende draagvlak voor vrouwen met verhoogd risico zonder genmutatie n
Beoordeling MRI n n Morfologie n Vorm n Afgrensbaarheid n Verdeling contrastmiddel Kinetiek
Voorbeeld 1 : MIP
Voorbeeld 1 : MIP kleurcodering
Voorbeeld 1 : volume
Voorbeeld 1 : kinetiek
Voorbeeld 1: subtractiebeelden en T 1 vetsuppressie
Voorbeeld 1: curve
Voorbeeld 2
Voorbeeld 3
Conclusies
Bedankt voor jullie aandacht