MALOCLUSIONES CLASE III CLASE III Segn la clasificacin
























































































- Slides: 88
MALOCLUSIONES CLASE III
CLASE III Según la clasificación de Angle, se caracterizan por una posición mesial de la arcada dentaria inferior con respecto a la superior. hay una relación anómala de los incisivos con mordida cruzada anterior o en casos mas ligeros, es de borde a borde.
Para los ortodoncista, las displasias mas difíciles de tratar son las clases III, ya sea tanto desde el punto de vista terapéutico como en el aspecto pronostico
La motivación principal de los pacientes jóvenes a pedir ayuda al ortodoncista es esencialmente de carácter estético. En un alto porcentaje de casos, es necesario un tratamiento combinado ortodontico-quirurgico.
CLASE III DE ANGLE • encontramos la parte inferior adelantada respecto a la superior, creándose normalmente una mordida cruzada a nivel de incisivos, aunque también puede existir una mordida borde. Tanto el molar inferior como el canino están adelantados respecto a la posición clase I. Puede ser de origen inferior (adelantamiento de la mandíbula inferior), superior (retrusión del maxilar superior) o mixto.
CLASIFICACION DE LAS MALOCULSIONES CLASE III Clase III verdaderas Clase III falsas o pseudoprogenicas Mordida cruzada anterior
Clase III VERDADERAS Corresponde a una displasia ósea. La mandíbula es grande y el maxilar pequeño y la desproporción de la base ósea es el origen topográfico de la mal oclusión.
maloclusión de carácter esquelético caracterizada por la desarmonía anteroposterior del tamaño y /o de la relación de las bases maxilar y mandibular de forma simple maxilar pequeño o mandíbula grande o combinada maxilar pequeño y mandíbula grande ortodoncistas guiar a sus pacientes hacia un plan de tratamiento quirúrgico
CLASE III FALSAS Se caracterizan por un adelantamiento funcional de la mandibula en el cierre oclusal. En este caso la retro inclinación de los incisivos superiores y la proclinacion de los inferiores interfieren en el contacto oclusal fisiológico, y fuerzan los cóndilos a mesializarse para lograr establecer la oclusión máxima.
Posición adelantada de la mandíbula por una interferencia oclusal temprana que obliga a la musculatura a desviar el patrón de cierre mandibular. Posición funcional
MORDIDA CRUZADA ANTERIOR La anomalia esta circunscrita a la oclusion invertida de los incisivos por linguoversion de la corona de los superiores con labioversion de los inferiores
WOOD SIDE TRES TIPOS DE CLASE III 1. DENTALES 3. NEUROMU SCULARES 2. ESQUELÉTI CA
1. DENTALES La arcada dentaria inferior esta excesivamente en protrusión, o la inf en retrusion , pero condicionan una mordida cruzada anterior de origen dentario, las bases esqueléticas están bien relacionadas.
2. esqueléticas El maxilar superior es pequeño, la mandíbula grande o existe una combinación de ambos factores. Es una verdadera displasia ósea.
3. neuromusculares La mandíbula esta en posición adelantada y forzada por una interferencia oclusal que obliga a la musculatura a desviar el patrón de cierre mandibular. Hay una desviación funcional en que la oclusión habitual responde a una mesializacion postural del hueso mandibular.
ETIOLOGIA DE LAS MALOCLUSIONES CLASE III Hereditarias Patron oclusal y dentario Papel de la lengua Hiperplasia mandibular
hereditarias Raza oriental (hipoplasia del tercio medio facial) provoca un alto porcentaje de clases III aprox. 6% Porcentajes muy altos en escandinavos Muy bajos en la poblacion negra
Patrón oclusal y dentario desviaciones en el patrón eruptivo son causa de mordida cruzada anterior, que puede ser el inicio de una mal oclusión completa de clase III. la erupción de los incisivos permanentes en posición lingual provoca a menudo la oclusión cruzada.
lengua FRANKEL importancia del factor lingual en la patogénesis de las clase III. Una lengua baja y aplanada situada sobre la arcada mandibular es considerada un factor genético local en las clases III
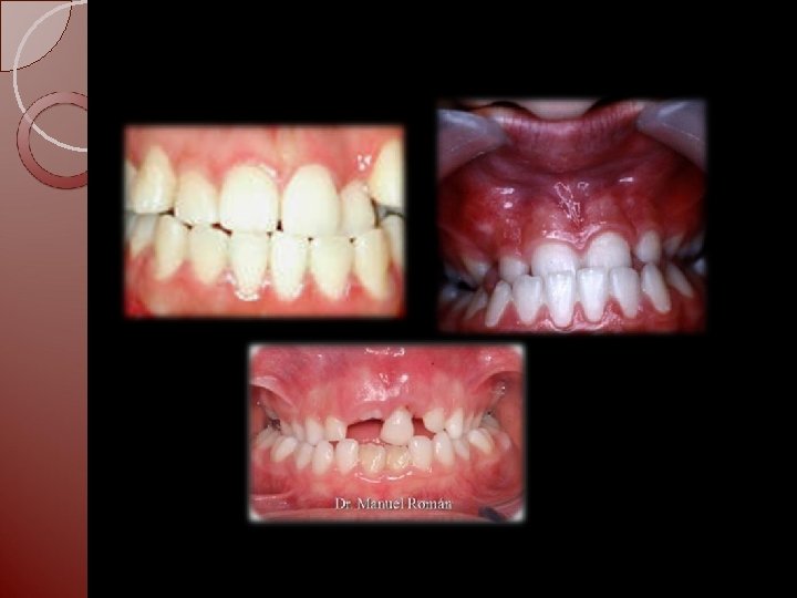
CARACTERISTICAS DENTALES DE LAS MALOCLUSIONES CLASE III Mesializacion de la arcada inferior Relación interincisal alterada Mordida cruzada anterior (overjet negativo) Mordida borde Mordida cruzada posterior bilateral Dtes inferiores retroinclinados y sup retroinclinados
CARACTERISTICAS FACIALES DE LAS MALOCLUSIONES CLASE III Aplanamiento de la región suborbitaria Comisuras caídas Perfil concavo debido a la retrusion maxilar o al prognatismo mandibular Mentón prominente Tercio inferior aumentado Angulo nasolabial cerrado y mentolabial abierto
VALORACION INTRAORAL
POSICION DE LOS INCISIVOS La posición de los incisivos en la plano sagital puede orientar a la hora de valorar las posibilidades compensatoria clase III. si se observa un resalte negativo, los incisivos sup en vestibuloversion y los inf. en linguoversion, el pronostico será desfavorable
Si los incisivos sup se encuentran en linguoversion, y los inf en vestibuloversion, esto va a permitir mediante el movimiento vestibular de los incisivos superiores y lingual de los inferiores, la reducción del resalte negativo, lo que producirá una compensación sagital
Relaciones intermaxilares En oclusion de maxima interdigitacion se analiza la cuantia de la mesioclusion relacionando la posicion de la cupide mesiovestibular del molarr superior con el surco del molar inf. Tambien se comprueba la relacion canina
En las clases III los molares y caninos superiores ocluyen por distal y la cuantia de la mesioclusion marca la gravedad de la maloclusion junto con el grado negativo de resalte interincisivo
SITUACION TRANSVERSAL Las mordidas cruzadas de los segmentos bucales son muy frecuentes en las clases III debido a dos circunstancias causales que en ocasiones coinciden en la misma mal oclusión: 1. la desviación y mesializacion funcional de la mandíbula condiciona que la arcada inf resulte mas ancha transversalmente por estar adelantada con respecto a su antagonista
2. La presencia de una legua baja, que descansa sobre la parte interna de la apófisis alveolar inf, provoca una dilatación de la arcada dentaria inf, a la vez la falta de soporte lingual en la bóveda palatina propicia el colapso de la arcada superior por la presión de la musculatura del buccinador
Debe enfocarse desde la edad y la mordida cruzada uni o bilateral. En relacion con la edad, la correccion de la misma debe hacerse lo mas precozmente posible, para evitar el crecimiento asimetrico de la mandibula o de la cavidad glenoidea, originado por la posicion funcional lateral de la mandibula.
• En caso de mordida cruzada posterial bilateral. , la expansion maxilar conlleva a una disminucion del tamaño del maxilar en el sentido sagital, lo que llevaria a clase III. • Finalizando el crecimiento, si persiste una mordida cruzada posterior unilateral, podra aparecer una compensacion hemimaxilar o bien una asimetria facial de origen mandibular, lo que complica el pronostico
SITUACION VERTICAL A nivel incisal la relación vertical varia ampliamente según los casos. Es preciso distinguir dentro de los seudoprognatismos, los casos en que existe un sobrecierre mandibular con gran aumento de la sobremordida. Es una sobremordida funcional por que los condilos se han desplazado hacia adelante y han girado hacia delante y arriba dejando un acolapamiento vertical excesivo a nivel dentario
SITUACION SAGITAL Puede encontrarse retrognatismo sup. Unido a mandibula normal, un maxilar sup. Normal unido a un prognatismo mandibular y un retrognatismo maxilar unido a prognatismo
DISCREPANCIA VOLUMETRICA ◦ Dos tipos de problemas volumétricos están presentes: ◦ El exceso y la falta de espacio , por ser el tamaño de la dentición una variable continua que afecta a todas las denticiones. Pero la discrepancia volumétrica se manifiesta en estas mal oclusiones según la arcada dentaria.
1. arcada inferior: por ser un arc amplio, es frecuente la existencia de diastemas y raro apiñamiento ; la presencia de grandes espacios interproximales es signo de mal pronostico por corresponder a prognatismos graves
2. ARCADA SUPERIOR: esta muchas veces comprimida transversal y sagitalmente, por lo que el apiñamiento es un hallazgo común afectando sobre todo a los caninos permanentes como y ultimas piezas que hacen erupción. El apiñamiento aquí es secundario a la compresión transversal y sagital del maxilar superior.
VALORACION ESQUELETICA DE LAS MALOCLUSIONES CLASE III Debe apreciarse si la clase III se debe , sagitalmente, A una mandíbula prognatica con un maxilar normal. A una mandíbula normal con una retrusion del maxilar sup O una combinación de ambas
Transversalmente, las diferencias existentes entre el hueso basal y el alveolar serán las que se orientaran al profesional, al indicarle la posibilidad de compresión o expansión de los maxilares
Numerosos autores señalan que la aplicación de las fuerzas ortopedicas a travez de la mascara facial, lamentonera y los sistemas de traccion maxilar origina un incremento en la dimension vertical, producto de una rotacion mandibular en direccion posteroinferior. El mismo efecto ha sido reportado despues de utilizar regulador RF-3 de Frankel
DATOS CEFALOMETRICOS DE LAS MALOCLUSIONES CLASE III En este tipo de pacientes se encuentra: Base craneal anterior corta y base craneal post larga Maxilar corto y retrusivo, SNA disminuido ANB negativo Angulo gonial obtuso Tercio inf aumentado
• • • Esqueleticamente, la clase III susceptible de tto ortodontico-qx, se caracteriza por: Oclusion molar y canica de clase III de angle Deflexion craneal mayor de 29º Base craneal anterior corta Porion a vertical pterigoidea menor de 39 mm Cuello condilar largo
• • Angulo condilo-mandibular obtuso Eje facial mayor de 90º Convexidad negativa Perfil concavo Angulo ANB negativo Protrusion del incisivo sup Retrusion del inciscivo unf
Clasificación cefalometrica HOGEMAN Y SANBORN: 1. maxilar normal y mandíbula en protrusión. 2. maxilar en retrusion y mandíbula normal. 3. maxilar y mandíbula normal. 4. maxilar en retrusion y mandíbula en protrusión
ROKOSI: 1. CLASE III por relación dento alveolar anómala. 2. CLASE III por base mandibular larga. 3. CLASE III por maxilar corto. 4. CLASE III por mandíbula grande y maxilar pequeño. 5. CLASE III por interferencia oclusal (seudo o falsa)
Diagnostico diferencial Antes de plantear las posibilidades terapéuticas de las clases III, es pertinente considerar el diagnostico diferencial entre distintos tipos. El tto correctivo puede ser conservador (ortodontico u ortopédico) o QX.
MORDIDA CRUZADA SIMPLE En muchas ocasiones , la relación oclusal invertida es un sencillo problema de mal posición dentario individual. No hay afectación funcional y el resto de la dentición , mantiene una normal interdigitacion oclusal. Cualquier aparato capaz de desplazar la corona hacia labial puede aplicarse para corregir lo que es una mordida cruzada simple, de fácil tto y favorable pronostico
seudoprogenie Es un grado mas avanzado de la oclusión invertida es la mal oclusión funcional, donde toda la mandíbula esta desplazada de la posición fisiológica y mesializada en el momento de contacto oclusal.
Lo que en un principio era una mordida cruzada simple, se ha transformado en una maloclusion que alcanza a todo el grupo incisivo y afecta al equilibrio del conjunto estomatognatico. El pronostico es favorable, pero el tto es mas complicado que el caso anterior
Clase III esqueletica Frente a las clases III dentoalveolares, locales o generales, es preciso identificar y diferenciar las clases III esqueléticas donde la relación antero posterior de las bases Oseas es el origen primitivo de la anomalía.
No hay mesializacion funcional de la mandíbula y coincide de la relación céntrica cóndilofosa de con la oclusión habitual: la dentición esta en oclusión céntrica. El análisis intraoral muestra, desde una gran desviación oclusal con grave resalte negativo, hasta la relación borde a borde
Tanto en un caso como en otro se observa la adaptación dentaria con lingualizacion de los incisivos inf y labialización de los sup. Pero al examen de la posición reciproca de las bases Oseas desvela la prominencia de la base mandibular y el retrognatismo de la base maxilar sup.
El pronostico de estas clases es sombrío porque cualquier acción terapéutica debe dirigirse al estimulo o inhibición del crecimiento de los maxilares donde radica la anomalía. El efecto ortopédico es limitado dependiendo de la edad del pte y la intensidad de la mal oclusión, por la dificultad de influir extensamente con nuestra aparatologia actual sobre el crecimiento de las bases Oseas apicales.
CLSE III QUIRURGICA La distribución se podría establecer clasifica do las clases III esqueléticas, por la intensidad de la displasia osea, en ligeras, medias y graves, correspondería, en sentido estricto, la calificación de clase III grave a lo que habitualmente se conoce como clase III quirúrgica.
En las clases III quirúrgica el resalte negativo esta muy aumentado con gran prominencia de la arcada inferior que desborda a la sup. Sin embargo, la mordida cruzada bilateral no suele ir acompañada de apiñamiento sup. En la arcada inf se observa o bien un apiñamiento, con retro inclinación de los incisivos inf y disminución del resalte oclusal, o buen la presencia de diastemas y aumento notable del resalte negativo
Objetivos terapéuticos Los objetivos generales de la corrección de las clases III están vinculados a las previsibles consecuencias derivadas de una mordida cruzada anterior: 1. DESEQUILIBRIO DE LAS FUERZAD MASTICATORIAS: La oclusión invertida de los incisivos altera la dinámica mandibular bloqueando los movimientos de lateralidad. La disfunción oclusal repercute en la musculatura y ATM potenciando las disfunciones y lesiones histicas de la atm.
2. disfunción masticatoria y fonatoria: la restricción de la movilidad mandibular afecta también a otras funciones estomatognaticas tan importantes como la masticaciones y la fonación.
3. estética facial y dentaria: la prominencia de la mandíbula y el retrognatismo maxilar crean un perfil cóncavo, la deformidad va acompañada de cierta agresividad del gesto facial con una movilidad forzada y adaptada a la oclusión invertida. el tto ortodontico de clase III será sobre todo, de carácter rehabilitador de la función estomatognatica seriamente mermada en la mayoría de los casos, y tendrá como puntos específicos de acción terapéutica los siguientes objetivos:
Corrección del resalte negativo. Corrección de la relación intermaxilar de clase III Corrección de la mordida cruzada posterior. Alineamiento dentario.
APARATOLOGIA ORTODONTICA Y ORTOPEDICA Los aparatos ortopédicos son de aplicación exclusiva en clases III esqueléticas, donde el control desarrollo del maxilar sup. Y de la mandíbula constituye el fundamento terapéutico
Aparatos aplicados para la corrección ortodonciaortopedia: Plano deslizante Elásticos intermaxilare s. Mentonera Placa removible de progenie. Mascara facial.
Plano deslizante. Para la intercepción temprana de mordidas cruzadas anteriores que afectan a una o dos piezas se aplica un plano de acrílico a una o dos piezas modela sobre los incisivos inf. Queda cementado a los dientes mandibulares durante dias o semanas y su efecto es muy rápido por interferir en el contacto incisal y obligar el incisivo sup a deslizarse hacia vestibular.
Solo se aplica en casos incipientes de mordida cruzada, sobre incisivos que aun no han completado la erupcio, pero en los que se observa una tendencia a inclinarse hacia lingual y entrar en oclusión invertida
PLACA DE PROGENIE Dentro de los aparatos removibles bimaxilares se emplean habitualmente bien los aparatos funcionales (tipo activador, frankel, bimler) o las placas removibles activas.
La placa sup de progenie consta de cuatro partes 1. ganchos de sujeción. 2. plano posterior de mordida consistente en un bloque de acrílico adaptado al espacio libre queda cuando contactan los bordes incisales 3. arco de progenie inserto en el acrílico de la bóveda palatina y que cubre la cara vestibular de los incisivos inf. 4. resortes digitales adaptados a la cara lingual de los incisivos sup para inclinar la corona hacia labial y corregir la oclusión invertida
ELASTICOS INTERMAXILARES Dentro de la aparatologia multibandas para el control radicular se usan gomsa intermaxilares para el tto: 1. clases III dentoalveolares con protrusión de la arcada inf y retrusion de la sup. 2. clases III esqueleticas en que se compensa la relación basal con extracción de piezas.
mentonera Aparato extraoral que descansa sobre el mentón y esta unida por medio de elásticos a un soporte occipital. Su uso fue inicialmente para el tto de las luxaciones mandibulares (fox 1803) KINGSELEY EN 1878 lo aplico para el tto de prognatismo mandibular. Angle postergo su aplicación sustituyéndolo por los aparatos fijos y las gomas intermaxilares de clase III tal como hoy se aplican.
MASCARA FACIAL Partiendo de la misma idea que la mentonera pero en sentido inverso. OPPENHEIM describio un aparato que permitía ejercer una tracción anterior del maxilar sup, añadiendo unos vástagos al apoyo mentoniano, se insertan unos elásticos que hacen tracción desde los molares y ejercen una firme acción de protrusión sobre la arcada maxilar
Tipos de tto según la naturaleza de la maoclusion 1. seudoprognatismo por interferencia dentaria con mesializacion funcional de la mandibula pueden ser tratados a cualquier edad. El objetivo correctivo incluye la lingualizacion de los incisivos inf y labialización de los incisivos sup. Este tto puede ser realizado por medio de placas activas, planos inclinados. Tanto de denticion mixta como en permanente.
CLASE III DENTOALVEOLARES: en las que hay un grado mas acentuado de maloclusion que en el caso anterior, pero sigue siendo un problema dentario, hay desviacion funcional de la mandibula y desplazamiento conjunto de ambas arcadas dentarias. El tto correctivo esta dirigido a movilizar ambas arcadas, lo que exigira un aparato de accion bimaxilar: aparato multibracketts de control radicular con elasticos intermaxilaes de clase III o aparatos funcionales (activador de clase III)
3. CLASE III ESQUELETICA: en las que la displasia osea preside el cuadro maloclusivo. Hay prognatismo mandibular y/o retrognatismo maxilar. El tto sera de carácter ortopedico y solo aplicable a ptes en face activa de crecimiento; en el adulto cx ortognatica es el unico tto.
TIPOS DE TTO SEGÚN LA EDAD Tto en denticion temporal. La mordida cruzada se puede corregir con placas activas o aparatos funcionales. Se aconseja aplicar mentonera si se sospecha el inicio de una displasia para ayudar a recuperar su posicion de equilibrio de la mandibula
Tto en denticion mixta: La salida de los incisivos permanentes es el momento oportuno para tratar la maloclusion incipiente con el fin de evitar la mordida cruzada y las consecuencias dismorficas que su presencia supone
1. en el momento en que estan haciendo erupcion los incisivos sup, un plano de mordida puede servir de guia para adelantar la posicion de los dientes maxilares y favorecer un resalte positivo 2. cuando uno o varios incisivos han hecho erupcion y entran en oclusion cruzada, una placa activa con resorte lingual para liabilizar el incisivo sip.
3. si la erupcion de los incisivos sup provoca una resecion gingival inf, el tto evitara la labializacion de los incisivos inf en la maniobra del cruze de la oclusion.
4. ante mordidas cruzads anteriores que afectan todo el frente incisivo con compenente funcional y esqueletico, el objetivo del tto es saltar la oclusion , lo que se realiza con placa removible o aparato funcional.
TTO EN DENTICION PERMANENTE: posibilidades de tto Dx: retrognatismo mandibular : traccion anterior del maxilar. Prognatismo mandibular mas pronunciado: mentonera para inhibir el crecimiento anomalo Problema alveolodentario: aparatos bimaxilares (aparatos fijos con elasticos intermaxilares o aparatologia funcional. )
Tto quirurgico- ortodontico Ha hecho posible afrontar problemas maloclusivos con intensa deformidad facial imposible de mejorar por medio de la terapeutica mecanica y el desplazamiento dentario.
El ortodoncista puede a traves del tto QX, resolver disarmonias esqueleticas no susidiarias del intento correctivo mecanico o multiplicar la mejoria facial de ptes adultos en los que nada se puee hacer para potencias y guiar un desarrollo maxilar ya extinguido.
TTO QX DE LAS MALOCLUSIONES CLASE III en pacientes jovenes con tendencia al prognatismo debe intervenirse a tiempo para asi poder interceptar o mejor, controlar el crecimiento madibular desfavorable y al mismo tiempo estimilar el crecimiento del maxilar superior
En pcientes adultos la terapia ortodontica sera solo una sola fase preparatoria y consecuandial a la intervencion de cx ortognatica necesaria para el reposicionamiento de las bases oseas.
El tto ortodontico prequirurgico en las clase III dentoesqueleticas bussca eliminar o reducir las llamadas compensaciones dentales, debido a la malformacion esqueletica a obtener el alineamiento de los dientes de ambas arcadas, sea en al plano sagital con en el vertical, contemporaenamente a una compatibilirad de las arcadas sobre el plano transversal
El tto prequirurgico consiste en restablecer la relacion normal de los dtes incisivos con sus respectivas bases esqueleticas de soporte
El trazado cefalometico se realiza para evaluar los mov dentales deseados con relacion al apiñamiento presente y a los desplazamientos que las bases oseas tendrena despues de la ejecucion del tto qx
Terminada la fase qx el pte regresa de nuevo al ortodoncista, quien remueve los arcos utilizados en eesta fase, controla las bandas y los aparatos fijos, si es necesario ejecuta reparaciones por los daños provocados durante el cursoo de la intervencion quirurgica realizada.