Malign Asitte Palyasyon Dr Trkmen ifti HTF Radyoloji























- Slides: 23
Malign Asitte Palyasyon Dr. Türkmen Çiftçi HÜTF Radyoloji AD
Malign Asit � Tanım: Peritoneal kavitede kanser kaynaklı anormal sıvı toplanması. � En sık sebepler meme, akciğer, over, mide, pankreas, kolon kanseri ve mezotelyomadır (Becker et al. 2006). � Yüksek volümde asit sıvısı abdominal basıncı artırır ve nefes darlığı, şişkinlik, bulantı, iştahsızlık, asit reflü, hareket kaybı , alt ekstremite ödemi ve fiziksel görünümden dolayı moral bozukluğu gibi semptomlara yol açar. � Malign asit gelişimi sonrası ortalama yaşam süresi 1 -4 aydır. Palyatif tedavi alan hastalarda yaşam süresi uzayabilir (Courtney et al. 2008). � Medikal tedavi (diüretik, tuz kısıtlaması) yararsızdır.
Malign Asitte Palyasyon � Yüksek volümlü parasentez � Tünelli peritoneal kateter � Peritoneal port-kateter � Peritoneovenöz şant › Perkütan drenaj kateteri (sınırlı endikasyon)
Parasentez � Semptomatik hastada ilk seçenek. � Bir defada 3 -4 litre sıvı alınabilir. Eksudatif nitelikte olduğu için hipovolemi ve böbrek yetmezliği riski daha az. 3 -4 litre için plazma ya da albümine gerek yok. � Sık tekrarlayan parasentez ile protein kaybı görülebilir. � Kanama parametreleri konusunda çok rijid davranmaya gerek yok.
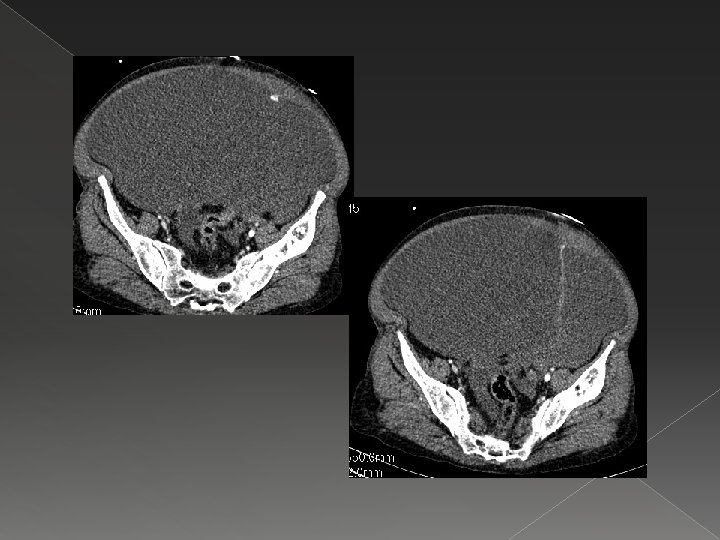
Parasentez Skater Centesis Catheter
Tünelli Peritoneal Kateter � Literatüre göre 1 ay içerisinde 2 -3 defa yüksek volümlü parasentez ihtiyacı olması durumunda refrakter malign asit varlığından söz edilir. � Refrakter malign asit varlığında ilk seçenek olarak tünelli peritoneal kateter düşünülmelidir. � Kateterden kemoterapötik ajan verilebilir. � Tünel enfeksiyonu ve peritonit geç komplikasyonlardır. � İşlem sırasında 1 gr. İv sefazolin sodyum
Tünelli Peritoneal Kateter Medcomp peritoneal kateter
Tünelli Peritoneal Kateter � Tıkanma: transkateter t-PA � Malpozisyon: Floroskopi altında revizyon � Çıkma: Trakt iyileşmesini takiben yeni kateter � Basit tünel enfeksiyonu: İV antibiyotik � Ciddi tünel enfeksiyonu: kateterin çıkartılması ve antibiyotik � Peritonit: Pigtail drenaj kateteri
Peritoneal Port � Tünelli peritoneal kateterin alternatifidir. � Kozmetik olarak daha uygundur. � Tıkanma, malpozisyon, kink gibi katetere bağlı komplikasyonlar daha fazladır. � Fibrin kılıf oluşumu ciddi dezavantajıdır. (t-PA) � Barsak perforasyonu, port cebi enfeksiyonu ve peritonit geç komplikasyonlardır. � Over kanserinde intraperitoneal kemoterapi için terapötik kullanımı da vardır.
Peritoneal Port Angiodynamics Bard
Peritoneovenöz şant � Hem malign hem benign sirotik refrakter asitte ve plevral efüzyonda alternatif yöntem. � Şant oklüzyonu, enfeksiyon, koagülopati (DİC), derin ven trombozu, sıvı yüklenmesi, hava embolisi ve tümör hücrelerinin disseminasyonu önemli komplikasyonlarıdır. � Malign hücre negatif olan hastalarda şant daha iyi ve uzun süre çalışır.
Peritoneovenöz şant Denver Ascites Shunt
Kaynaklar � O’Neill MJ, Weissleder R, Gervais DA, Hahn PF, Mueller PR. Tunneled peritoneal catheter placement under sonographic and fluoroscopic guidance in the palliative treatment of malignant ascites. AJR 2001 � Akinci D, Erol B, Ciftci T, Akhan O. Radiologically placed tunneled catheter in palliation of malignant ascites. Eur J Radiol 2010 � Savin MA, Kirsch MJ, Romano WJ, et al. Peritoneal ports for treatment of intractable ascites. J Vasc Interv Radiol 2005. � Ozkan O, Akinci D, Göçmen R, et al. Percutaneous placement of peritoneal portcatheter in patients with malignant ascites. Cardiovasc Interv Radiol 2007 � Park JS, Won JY, Park SI, Park SJ, Lee DY. Percutaneous peritoneovenous shunt creation for the treatment of benign and malignant refractory ascites. J Vasc Interv Radiol 2001
Teşekkür ederim