MALFORMATIONS CEREBRALES Dr TLILIGRAIESS K Master Neuroradiologie Sousse
MALFORMATIONS CEREBRALES Dr TLILI-GRAIESS K. Master Neuroradiologie Sousse Avril 2008
• Malformations <<< Perturbation de la morphogenèse normale • Leur reconnaissance et leur identification revient à l’imagerie >>> conseil génétique • Leur classification et anatomie exige une connaissance de la morphogenèse normale • IRM: Place de plus en plus prépondérante dans l’exploration du SNC • Echographie: Fœtus, nouveau-né et nourrisson Débrouillage+++ • TDM: relais dans ce même but
IRM - SEQUENCES • • • T 1 de préférence en IR T 2 et flair : signal – Problème de l’immaturité du cerveau : nouveau né/nourrisson – Attendre la maturité de la SB, SAUF urgence Acquisition 3 D – Utile à la reconstruction – Finesse des coupes (1 mm) Injection de PDC : – Évaluation de la vascularisation (secteur veineux) Exploration médullaire : – Anomalies des viscères pelviens TDM utile dans les malformations de la face et de la base du crâne
Étage sus tentoriel • Anomalies de la ligne médiane – Encéphalo-méningocele – Holoprosencéphalies – Agénésies commissurales • Anomalies hémisphériques – Dysplasie focales, polymicrogyries, hémi ou quadrimégalencéphalie. – Hétérotopies. – Anomalies d’origine destructive • Espaces péri-cérébraux et vaisseaux.
Étage sous tentoriel • Malformations kystiques – complexe Dandy Walker • Malformations sans lésions kystiques – Agénésie vermienne – Hypoplasies – Malformations de Chiari
Rappel morphologique • • Formation du tube neural Diverticulation du tube neural Structures commissurales Histogenèse cérébrale
Formation du tube neural Entre J 21 et J 25 Ectoderme dorsal/ Notochorde Plaque N/ Gouttière N/ Tube N Cellules des berges >>>crêtes neurales • Fermeture du TN – Débute charnière cranio-vertébrale – En avant >> lame terminale , extrémité antérieure du V 3 – En arrière >> métamères lombaires – Fermé, TN se recouvre de méninge primitive – Cavité du TN: cavité épendymaire ou ventriculaire – Mésenchyme autour: – Canal vertébral – Boite crânienne Méningoencéphalocele Chiari III
Diverticulation du TN • 4ème semaine: TN antérieur>>> 3 vésicules • 5ème semaine: – Diverticules olfactifs – hémisphères cérébraux – Diverticules optiques – cupules et nerfs optiques – Diverticules otiques – éléments vestibulocérébelleux >>>>>5 vésicules – – – Télancéphale (olfactif) Diencéphale (endocrinien) Mésencéphale (optique) Métencéphale (stato-acoustique) myélencéphale
Holoprosencéphalie alobaire • Vésicule cérébrale unique, non segmentée en lobes avec ventricule unique • Absence de bulbe olfactif • Absence de massif facial médian: induit la diverticulation • Nerf et cupule optique impairs • Absence ou insuffisance hypophysaire avec fusion thalamique (absence d’hypothalamus) • Fusion thalamique inconstante • Malformation rare : 1 NNé / 20. 000 • Défaut de clivage médian du cerveau avec : >Cyclopisme >>>> fentes palatines et/ou labiales >Microcéphalie >>>>hypothélorisme oculaire
Holoprosencéphalie lobaire • Lobes cérébraux bien développés mais sans septum • Plancher ventriculaire commun • Face normale • Forme mineure: Dysplasie septo-optique de De Morsier: atrophie optique, ventricule unique et insuffisance hypophysaire. Holoprosencéphalie intermédiaire • Ventricule unique • Développement imparfait des lobes cérébraux
Histogenèse cérébrale • Élaboration de tissu cérébral – zone germinale – 1 er temps : • Cellules astrocytaires ou radiaires >> prolongements cytoplasmiques entre surface épendymaire et surface externe du TN – 2ème temps : • Cellules neuro-ectodermiques migrent de DD en DH le long des fibres radiaires • Près des ventricules >>> NCG et structures tectales • Migration/couche >>>les plus externes = les plus récentes Stock de neurones, constitué à mi-gestation Développement/ Connexions (axones et dendrites) Croissance tangentielle du cortex >> Plicature et formation des circonvolutions.
Migration terminée – cerveau lisse Accroissement ultérieur en volume et en surface (> 22 sem. ) Multiplication des arborisations & synapses Multiplication des éléments de support métabolique et fonctionnel : glie (oligodedrocytes) Multiplication des synapses, astrocytes, oligodendrocytes se poursuit, 2ème moitié de la grossesse>>>>après la naissance: 350 g à la naissance>>>>>1 Kg 400 chez l’adulte.
Structures commissurales • Faisceaux de fibres >>> communication entre structures associatives bilatérales • Principale structure ou grande commissure télencéphalique – Ensemble corps calleux – fornix – Communication des hémisphères centraux – Développement à partir de la lame terminale • Épaississement >>> bourrelet • Développement d’avant en arrière – À distance de la fissure choroïdienne : CC – Au niveau de sa berge supérieure : Fornix – Amincissement de la portion d’hémisphère entre CC et fornix >>>feuillets du septum
Structures commissurales Autres commissures – – C. blanche antérieure C. blanche postérieure C. Habénulaire : au dessus de l’infundibulum pinéal C Grise : adhésion inter-thalamique sans échange de fibres
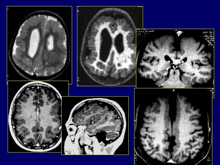
AGENESIE COMMISSURALES • Formes communes : – Agénésie complète : CA, CC, CH – Agénésie partielle : simple, particulière. – Formes kystiques • Formes plus rares
AGENESIE COMPLETE • Absence de tous les éléments de la plaque commissurale : – CA – CC – CH – 33 % des agénésies, la plus typique (100 cas) • VL séparés de la ligne médiane • Scissure inter hémisphérique arrivant au toit du V 3 expansion du toit sur un coté jusqu’à la voûte
• Absence de gyrus cingulaire : sillons à trajet radiaire vers la paroi ventriculaire • VL limité en médial par une lame de SB – Niveau thalamique : du cortex septal à la fimbria fornix longitudinal – Plus haut : lame épaissie contenant les fibres calleuses bande de Probst • Aspect particulier en cornes de bœuf des VL Empreinte des bandes de Probst sur les VL • Aspect particulier des cornes temporales.
AGENESIE COMPLETE • Anomalies associées : – Hétérotopie 5/33 – Cérébelleuse 3/33 : • agénésie vermienne, • malformation DW – Visuelles 7/33 : • Colobome, microphtalmie • Nystagmus congénital – Défects facial et crâniens 8/33 : • Fente labiale • Encéphalocéle – Autres : hypophyse (2), rachis (2), cœur (2), extrémités (2) – Clinique : épilepsie et RPM 18/33, 2 N uniquement. Raybaud et Girard, International pediatric radiology Post – Graduate course, Paris Mai 2001
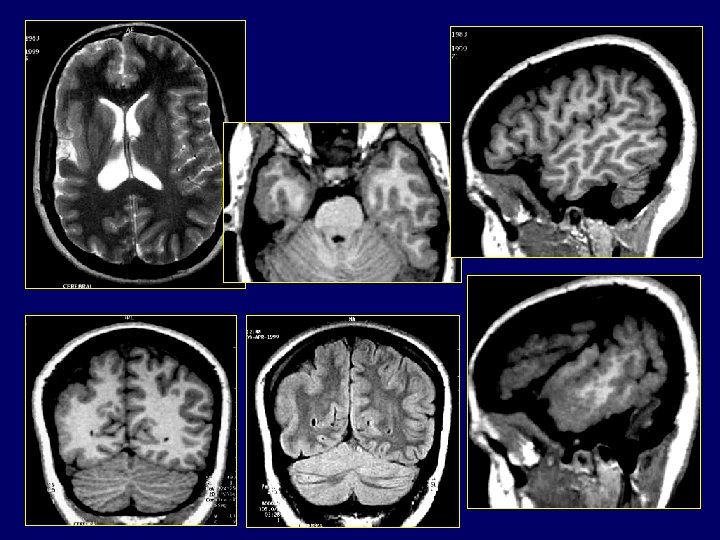
AGENESIE PARTIELLE • 30 % des agénésies • Agénésie partielle simple : – Partie manquante (POST) – Reste normal – Même aspect que pour les formes complètes • Agénésie particulière : – – Épaisseur normale Partie postérieure effilée Commissure courte Cerveau de morphologie normale Mêmes types de lésions associées et même fréquence (2 N) Raybaud et Girard, International pediatric radiology Post – Graduate course, Paris Mai 2001
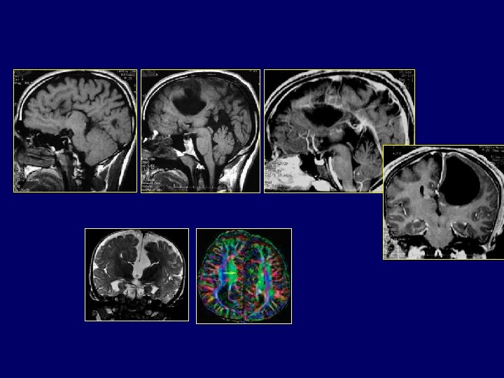
FORMES KYSTIQUES • Forme habituelle : – ESA normaux – Maximum : expansion dorsale du toit du V 3 • Formes kystiques : – 13 % Kystes non communiquant avec les ventricules souvent multiloculaires – CA présente, le reste manquant totalement ou en partie – Aspect du cerveau difficile à analyser de part la distorsion crée par le kyste – Cortex bordant le kyste est dysplasique – hétérotopie fréquente • Clinique : macrocéphalie isolée, parfois dans un syndrome d’AICARDI
FORMES RARES • Nécessitent une analyse morphologique et anatomique très précise • Agénésie : – CA (3 %) évidente en sagittal – CC (11 % ) • complète 3 % : CH existe au dessus du toit du V 3 • Partielle 8 % : processus destructif incriminé – CH (6 %) : diagnostic de cavum pellucidum persistant Cependant l’absence de fornix et de CH interposés entre CC et toit du V 3 permet le diagnostic.
Lipome médian ne signifie pas agénésie CC mais, trop volumineux, il empêche son développement.
DYSPLASIE SEPTO OPTIQUE & SEPTO COMMISSURALE • Dysplasie septo-optique : syndrome de De Morsier – Septum pellucidum : lié dans son développement au système commissural – Chevauchement entre dysplasie septo-optique et agénésies commissurales • Sur 17 DSO 5 agénésies totale (1) ou partielles (4) • Sur 99 agénésies commissurales 12 % troubles visuels (25 % agénésie complète) 9 % troubles endocriens
• Septum entièrement absent • Fornix non accollé au CC, chemine au dessous, sur le toit du V 3 • 1/2 atrophie optique: petit chiasma, coupes sagittales (confirmée/ ophtalmo) Aspect Typique
AGENESIES ASOCIEES: 5/17 DSO • 4 Agénésies partielles du CC: 3 splenium, 1 genou • 1 Agénésie septo-commissurale complète – – Agénésie commissurale Absence de la lamina septa Bord interne du VL fermé / toile choroidienne Kyste inter hémisphérique en continuité avec le VL
Troubles de l’histogenèse • Anomalies de croissance d’un encéphale primordial normalement constitué. • Diagnostic morphologique : IRM >>> TDM – Anomalies de volume – Microencéphalie – Macroencéphalie – Megalencéphalie centrale – Anomalies de la gyration – Anomalies de la migration cellulaire – Lésions destructives du parenchyme
Malformations du développement cortical • Fréquence de découverte a augmenté avec l’avènement de l’IRM • 10 % des épilepsies réfractaires chez l’enfant • Mutations chromosomiques et syndromes divers • 3 catégories sur la base des étapes du développement : – Prolifération cellulaire germinale – Migration neuronale – Organisation corticale
Malformations du développement cortical • Nette augmentation : épilepsies classées cryptogéniques • Incluent de très nombreuses anomalies et lésions : – Agyrie – pachygyries – Polymicrogyries (focale, diffuse…) – Schizencéphalie – Anomalies mineures de la gyration – Hétérotopies neuronales (sus épendymaires, sous corticale…) – Dysplasie corticale focale – Lésions de la STB – DNET – Hamartome hypothalamique classification BARKOVITCH 2001 (AJNR 2001): Révision de celle 1996(Neuropediatrics)
• Proliferation cellulaire, dans la matrice germinale. • Formation de la préplaque. Differenciation neurogliale et migration radiaire (astrocytes et neuroblaste), vers la préplaque. • Organisation corticale et synaptogénèse, production de fibres et dessin cortical.
Toute anomalie durant le processus de formation du cortex peut entraîner une MDC • Proliferation insuffisante: microlissencephalie. • Mauvaise differenciation neurogliale: dysplasie corticale focale, sclérose tubéreuse de Bourneville. • Migration anormale: types divers d’hétérotopies de substance grise (lissencephalies incluses). • Une organisation anormale pourrait expliquer la forme usuelle de micropolygyrie. • Un défaut focal de prolifération, ou une lésion locale, pourraient expliquer la schizencephalie.
Malformations liées à une anomalie de La migration neuronale Lissencéphalie / arrêt de la migration neuronale avec cortex à 4 couches Aspect IRM caractéristique : – – – – Surface cérébrale lisse: absence totale de sillons SB réduite et cortex épais avec absence d’inter digitations CC petit Vallée sylvienne ouverte et verticalisée (immature) Calcifications possibles Cervelet normal Lissencéphalie liée à l’X , bande d’hétérotopie chez la fille. Pachygyrie: Lissencéphalie incomplète où seuls les principaux sillons présents. Anomalies diffuses ou localisées Agyrie : Lissencéphalie complète
Malformations liées à une anomalie de La migration neuronale • Héterotopies Aspects typiques ( différencier de la STB, gliose): – Signal: substance grise. – Forme: nodulaire, laminaire, “cortical infolding”. – Distribution: isolées/multiples/diffuses, uni- or bilatérales, symétriques ou pas; topographie lobaire. – Localisation: périventriculaire, sous-corticale, transcérébrale.
Classification: - nodulaire (dispersées, diffuses) périventriculaires; nodulaires sous-corticales; laminaires sous-corticales (en bande); lissencéphalies (agyrie-pachygyrie).
Hétérotopie nodulaire • Bilatérales et diffuses: X-linked, lethal chez le mâle (FLN 1). • Cortex réduit.
Hétérotopies nodulaires sous-corticales • Volumineux amas de SG • Continus avec le cortex, • Ventricule localement dilaté Substance blanche et LCR mêlés.
MAUVAISE DIFFERENTIATION NEURO-GLIALE • Dysplasie corticale focale (DCF) – Épilepsie focale sévère – Désorganisation de l’achitecture corticale avec cytomégalie des neurones et des cellules gliales: Balloon cells – Touche cortex et SB sous corticale avec limite floue avec cortex adjacent. – Même pattern histologique : DCF/ hémi et quadrimegalencéphalie.
DCF – Aspects IRM • Volume–signal–morphologie : polymorphisme ++ – Fonction des anomalies cellulaires et myéliniques. • Élément le plus constant : jonction SB – SG floue mal définie, bien corrélée à l’ histologie. • Habituellement : – Gyrus large + sillons irréguliers + anomalie de signal du cortex à la SB puis surface ventriculaire (radiaire) – Parfois hypersignal dans SB (anomalie de la myéline)
STB
MDC – Sclérose Tubéreuse de Bourneville • Maladie AD à pénétrance variable, à taux élevé de mutations spontanées 2 mutations géniques identifiées : • • Chr 9 TSC 1 Chr 6 TSC 2 Phénotypes cliniques TSC 2 plus sévère Clinique : – Spasme en flexion – crises partielles – Retard mental ± sévère : intellectuellement normal – Aucune crise épileptique : aucun handicap mental
• Tubers – hamartomes corticaux – – Nombre, siège, taille Facteurs prédictifs du développemental Nombre élevé épilepsie précoce retard mental ++ Relation inverse age à la première anse + N tubers • Îlots sur sillons, • Gyral Core tubers Gyral Core : impression de gyrus vide (centre hypo. T 1 et hyper DP) • Lignes de migration hétérotopie neuronales avec dys ou hypo myélinisation • Nodules SE tubers ( hétérotopie) TDM >> IRM dans leur détection
Hémi-mégalencéphalies • Étiologies et aspects très variés. Peuvent se voir dans : – – – Hémi-hypertrophie homolatérale Syndrome Proteus Hypomelanose d’Ito NF type I STB – – – Zônes pachygyriques Polymicrogyries Hétéretopies Balloon cells Astrogliose de la SB • Associent de façon variable
Hémimegalencéphalie aspects en IRM • Diagnostic facile en IRM – Ventricule homolatéral large, à cornes étirées – Cortex épais à gyrus larges et sillons courts – Jonction SB – SG floue – Souvent hypersignal de la SB
Syndrome Walker-Warburg Lissencéphalie type II ou Cobble stone lissencephaly • Aspect en apparence lisse du cerveau : ondulations complexes du ruban cortical (cortex verruqueux) masquées par des méninges épaisses. • Fait partie d’un groupe de maladies comportant – désordres musculaires – anomalies oculaires – malformations cérébrales • Associe : hypoplasie vermienne – polymicrogyries cérébelleuses.
Malformations II à une organisation anormale du cortex • Polymicrogyries – – Neurones arrivés au cortex mais se plaçant de façon anormale Typiquement existe un excès de plissement Histologie : désorganisation des 6 couches Sévérité du tableau clinique, fonction de l’étendue de l’atteinte : focale, multifocale ou diffuse – uni ou bilatérale – symétrique ou asymétrique. – Localisation la plus commune : vallées sylviennes – IRM: Circonvolutions petites et nombreuses , en apparence fusionnées : aspect pseudo-pachygyrique – Intérêt des acquisitions volumiques
MALFORMATION OPERCULAIRES • Développement anormal de la scissure de sylvius et de l’opercule fronto-pariétal • IRM : identification aisée de cette entité – Insula exposée – Scissure large, verticale – Sillon central large et trop postérieur – Cortex – dysplasique, poly-microgyrique # aspect du cerveau fœtal à 20 – 24 semaines (défaut de phénomène d’opérculisation)
• Cortex épais, lisse pseudo-pachygyrique au niveau de l’insula et de l’opércule • Parfois hétérotopie et/ou agénésie septale associées
Malformations II à une organisation anormale du cortex • Schizencéphalie – Fente couverte de SG : épendyme – couverture piale corticale – Résultat de facteurs génétiques et acquis (agression lors du 2ème trimestre) – – Unilatérale ou bilatérale (60 %) Fente à lèvres fermées ou ouvertes Fente frontale ou pariétale dans 80 % des cas Absence de septum pellicidum associée
• Complexe polymicrogyries – Schizencéphalies Aucune schizencéphalie sans polymicrogyrie • Polymicrogyries : MDC suite à une anomalie ou agression de la fin de la période de migration et de la phase précoce de l’organisation corticale • Formes particulières : péri-sylviennes bilatérales • Infection à CMV • Problèmes vasculaires de la • Nombreuses causes génétiques et environnementales
Ulégyrie
DEVELOPPEMENT FOSSE POSTERIEURE • • • 5 Semaines : Courbure pontique + – cervelet primordial: bande de tissu – Recouvre progressivement la fosse rhomboïde : toit du V 4 – Lobe antérieur vermis/lobe postérieur/H. cérébelleux 10 semaines : principales fissures vermiennes 25 semaines : disposition définitive de la fosse postérieure 30 semaines : myelinisation pédoncules et SB cervelet cortex définitif constitué vers 1ère année de vie
DEVELOPPEMENT FOSSE POSTERIEURE • IRM : analyse morphologie méthodique • Vermis : forme, volume, déplacement, lobules & fissures, plan sagittal • Hémisphère : volume, symétrie, forme, tissus, plan frontal, lobules et fissures correspondants • Signal : SB – SG et noyaux dentelés
Malformations fosse postérieure complexe Dandy Walker • Hémisphères cérébelleux incomplètement formés >>>Vermis partiellement agénésique • Toile choroïdienne non perforée >> Hydrocéphalie sus jacente >>>>Malformation Dandy Walker • Toile choroïdienne perforée >>Absence d’hydrocéphalie >>>>Malformation Dandy Walker variant • Toile choroïdienne mal ouverte + cervelet normal >>Poche sus et rétro-cérébelleux: Poche de Blake
Malformations fosse postérieure complexe Dandy Walker Malformations kystiques : historiquement les plus connues ne résument pas la pathologie malformative Malformation de DW : • Élargissement de la fosse postérieure • Déplacement vers le haut des sinus latéraux, de la tente et du torcular • Dilatation kystique du V 4 • Hypoplasie ou agénésie vermienne +/compléte Diagnostic prénatal facile +++ explique la de la fréquence • L'IRM permet d'authentifier ce reliquat vermien, d'apprécier sa rotation sous la poussée du V 4 dilaté, d'étudier le retentissement de cette dilatation sur le tronc cérébral et la perméabilité de l'aqueduc de Sylvius
• DW variant : – Agénésie partielle ou hypoplasie – Dilatation kystique du V 4 – Absence d’élargissement de la fosse postérieure – Élément important +++. Nature des malformations cérébelleuses et des anomalies sus tentorielles associées. • Méga grande citerne : – Fosse postérieure élargie, liquidienne – Normalité du vermis / HC / pont – Diagnostic différentiel : KA rétro ou sous cérébelleux mais peu d’implications pronostiques ou pratiques
MALFORMATIONS DE LA FOSSE POSTERIEURE • Agénésie vermienne partielle sans poche liquidienne Signes caractéristiques en IRM : • Lobe postérieur absent • Lobe antérieur petit et dysplasique • Fissures vermiennes mal identifiables • HC anormalement accolées en frontal • Pédoncules cérébelleux étirés « signe molaire » • V 4 déformé / absence de vermis inférieur – globuleux, bord postérieur bi concave « signe ombrelle »
• Rhombencephalo-synapsis – Malformation rare – Fusion des HC et absence de vermis – Signes associées : • Fusion noyaux dentelés, pédoncules cérébelleux, thalamus • Absence de septum pellucidum • Anomalies du système limbique • Hydrocéphalie – Diagnostic prénatal possible • Autres malformations non kystiques Dysplasies : Diffuses avec souvent atteinte sus tentorielle : Walker-Warburg ou lissencephalie type 2 Infection à CMV (tropisme du CMV pour les cellules en prolifération) Focales : Hétérotopis, dysplasie focale, anomalie de la foliation Lhermite. Duclos
Hypertrophie anarchique des folia cérébelleuses Extension vers le haut à travers le foramen tentoriel Zones linéaires de substance blanche normale. Maladie de. Lhermitte-Duclos.
CONCLUSION • IRM offre la meilleure cartographie lésionnelle qui précisera la séquence malformative de façon la plus adéquate >>>> Conséquences sur le pronostic et le conseil génétique • IRM fœtale prend de plus en plus de place pour affiner un diagnostic ou une suspicion échographique • Séquences T 1, en IR ou en acquisitions 3 D les plus informatives sur le système commissural et les malformations du développement cortical. Importance des acquisitions volumiques : – Reconstructions multi-planaires – Finesse des détails morphologiques
- Slides: 64