MALADIE ULCREUSE GASTRODUODNALE Maladie ulcereuse gastroduodnale IIntroduction et






















































- Slides: 54
MALADIE ULCÉREUSE GASTRODUODÉNALE
Maladie ulcereuse gastro-duodénale I)Introduction et définition: Affection plurifactorielle et chronique évoluant spontanément par poussées. Caractérisée par la présence d’un cratère ulcéreux, lésion anatomopathologique symptomatique ou asymptomatique susceptible de se compliquer d’hemorragie, de sténose ou de perforation. Sur le plan anatomo-pathologique, l’ulcere chronique est une perte de substance profonde arrondie ou ovalaire, à bords nets, recouverte d’une fausse membrane jaunatre, amputant la musculeuse qui est transformée en bloc scléreux.
Maladie ulcéreuse gastro-duodénale II)Epidemiologie: � En France, une étude réalisée en 1987 montre que le coût global de la maladie ulcéreuse est de 3, 5 milliards de Frs par an, incluant les consultations, les explorations diagnostiques, les traitements médicamenteux, les hospitalisations pour complications et la perte de jours de travail.
Maladie ulcéreuse gastro-duodénale � L ’incidence annuelle de l ’ulcère peptique duodénal et gastrique aux Etats-Unis est de 1, 8 %, soit 500 000 nouveaux cas par an. On dénombre 4 millions de rechute ulcéreuse par an.
Maladie ulcéreuse gastro-duodénale � La mortalité par maladie ulcéreuse augmente après l ’âge de 65 ans. Celle-ci est liée aux complications ulcéreuses, hémorragies essentiellement, et touche un groupe de patients ayant une ou plusieurs autre(s) pathologies(s), telle qu’une maladie cardiovasculaire ou un cancer évolutif.
Maladie ulcéreuse gastro-duodénale • Les hospitalisations pour ulcère hémorragique ont augmenté parallèlement à l ’usage des AINS. Les prescriptions d ’AINS ont triplé entre 1975 et 1985. Pendant cette période, le nombre d ’hospitalisations pour ulcère hémorragique a diminué duodénal, alors qu ’il est en augmentation pour l ’ulcère gastrique.
Maladie ulcéreuse gastro-duodénale � La prévalence de la maladie ulcéreuse a diminué chez les hommes, et augmenté chez les femmes. Ceci pourrait être en rapport avec le recul du tabagisme au cours deux dernières décennies chez l ’homme. Chez les femmes, le phénomène inverse est à rattacher à l ’augmentation du tabagisme et la consommation des AINS.
Maladie ulcéreuse gastro-duodénale III)Physiopathologie de la MUGD: L'ulcère duodénal ou gastrique résulte d'un déséquilibre en un point précis de la muqueuse, entre : � des facteurs d'agression (sécrétions acide et peptique, Helicobacter pylori, les AINS, les acides biliaires, ischémie, hypoxie, tabac et alcool) � et des facteurs de défense (mucus, épithélium de surface, vascularisation muqueuse, faculté de la muqueuse à s'opposer à la rétrodiffusion des ions H+ et prostaglandines).
Maladie ulcéreuse gastro-duodénale � pour l'ulcère duodénal, le facteur dominant est l'agression chlorhydro-peptique alors que dans l'ulcère gastrique c'est l'altération de la muqueuse gastrique.
Maladie ulcéreuse gastro-duodénale Ce déséquilibre résulte de l'intrication de différents facteurs génétiques et d'environnement qui sont: -l'infection à H. pylori, qui est présente dans 85 % des cas d'ulcère gastrique et dans 95 % des cas d'ulcère duodénal, contre 30 % dans la population générale. Un sujet infecté sur six développe un ulcère duodénal. - la prise d'AINS et d'aspirine. - le tabac.
Maladie ulcéreuse gastro-duodénale HP et maladie ulcéreuse: 1)Épidémiologie de H. pylori: � les deux tiers de la population mondiale sont infectés par H. pylori. � Dans Les pays en voie de développement, où la majorité des sujets est infestée dès � l’enfance (80 %) et reste infectée toute la vie. � Dans les pays développés la prévalence de l’infection augmente proportionnellement à l’âge durant la vie adulte.
Maladie ulcéreuse gastro-duodénale � Actuellement, dans les pays industrialisés, on considère que 20 % de la population de moins de 40 ans et 50 % de celle de plus de 60 ans est colonisée par H. pylori. � La prévalence de l’infection à H. pylori était estimée à plus de 90 % pour les ulcères duodénaux et 70 % pour les ulcères gastriques.
Épidémiologie de l’infection à hp dans le monde
Maladie ulcéreuse gastro-duodénale HP et maladie ulcéreuse 2)modes de contamination: Les principaux facteurs de risque sont le bas niveau socioéconomique, un environnement surpeuplé, les conditions précaires de vie dans l’enfance et la vie en Communauté. � Comment s’infecte-t-on ? -par voie fécale ou orale (salive ou liquide gastrique par les vomissements) �
Maladie ulcéreuse gastro-duodénale HP et maladie ulcéreuse 3)Pouvoir pathogène de H. pylori: est une bactérie à Gram négatif ayant un aspect hélicoïdal in vivo voir coccoïde (forme de résistance). En 1994, l'OMS a classé HP dans le groupe des agents cancérogènes de classe I (les plus dangereux). � HP vit à la surface de la muqueuse gastrique. �
Représentation schématique d’Helicobacter pylori.
Helicobacter pylori
Maladie ulcéreuse gastro-duodénale � Helicobacter pylori est une bactérie spiralée adaptée à la vie en milieu gastrique, caractérisé par son extrême acidité. Elle prolifère à la surface de l’épithélium gastrique — sans coloniser la muqueuse—, au sein du mucus qui lui offre une protection naturelle contre l’acidité des sucs gastriques
Maladie ulcéreuse gastro-duodénale � Par ailleurs, grâce à l’action d’une enzyme, l’uréase, elle dégrade l’urée présente dans l’estomac pour produire de l’ammoniaque et du bicarbonate, substances basiques qui neutralisent l’acidité dans son environnement immédiat. � HP entraîne une inflammation aiguë puis chronique des muqueuses gastriques et parfois duodénales.
Maladie ulcéreuse gastro-duodénale
Maladie ulcéreuse gastro-duodénale
Maladie ulcéreuse gastro-duodénale 4)Diagnostiquer l’infection à H. pylori: Technique invasive par la réalisation de biopsies gastriques (anatomie pathologique, culture qui permet de tester la sensibilité aux ATB, test rapide à l’uréase, PCR) Techniques non invasives (sérologie, test respiratoire à l’urée 13 C, recherche d’antigènes dans les selles).
Maladie ulcéreuse gastro-duodénale � Le contrôle d’éradication doit être effectué au plus tôt quatre semaines après la fin du traitement antibiotique, en respectant un délai minimal de deux semaines après traitement anti sécrétoire.
Maladie ulcéreuse gastro-duodénale Les autres facteurs d’agression: L’agression chlorhydropeptique: Dans la maladie ulcéreuse gastrique, la sécrétion acide est normale ou diminuée à l'exception de la localisation pré pylorique où elle se rapproche de celle observée chez les ulcéreux duodénaux. La diminution de la sécrétion acide dans les ulcères proximaux s'explique par l'extension de la gastrite chronique à la partie acido-sécrétrice de l'estomac.
Maladie ulcéreuse gastro-duodénale Dans la maladie ulcéreuse duodénale : la capacité sécrétoire acide est en moyenne plus élevée que chez les sujets normaux. Toutefois on estime que seuls 25 à 30 % des ulcéreux duodénaux sont hypersécréteurs. L'augmentation de la capacité sécrétoire acide peut être héréditaire ou acquise (tabagisme, hypergastrinémie) et est liée à une augmentation de la masse cellulaire pariétale.
Maladie ulcéreuse gastro-duodénale La sécrétion peptique: La pepsine peut créer des lésions muqueuses ou majorer les effets délétères de l’acide. Les anti-inflammatoires non stéroïdiens (AINS) et stéroïdiens le risque de développer un ulcère gastrique est significativement augmenté par la prise d'AINS. En outre, ces médicaments multiplient par 3 le risque d'hémorragie et de perforation des ulcères gastroduodénaux. Les facteurs de risque sont : l'âge supérieur à 60 ans, les antécédents ulcéreux, l'association AINS-corticoïdes ou de plusieurs AINS.
Maladie ulcéreuse gastro-duodénale Les corticoïdes n'induisent pas d'ulcère gastrique mais semblent ralentir le processus de cicatrisation et peuvent masquer les symptômes d'une complication ulcéreuse, notamment d'une perforation. Les substances toxiques: Ilexiste une relation entre la consommation de tabac et le risque d'ulcère. Les fumeurs sont plus nombreux dans la population ulcéreuse que dans la population générale. Les mécanismes susceptibles d'expliquer cette relation sont multiples :
Maladie ulcéreuse gastro-duodénale chez les fumeurs, la concentration salivaire du facteur de croissance épidermique est diminuée. la masse cellulaire pariétale et la capacité sécrétoire gastrique acide sont augmentées. la sécrétion de bicarbonates par la muqueuse duodénale et le pancréas en réponse à l'acidification du duodénum est en moyenne moindre.
Maladie ulcéreuse gastro-duodénale � Facteurs (mécanismes) de défense: Les mécanismes principaux mis en ouvre par la muqueuse du duodénum pour s'opposer à la pénétration des ions H+ sont : � le mucus riche en bicarbonates, contenant aussi des phospholipides � l'épithélium qui sécrète glycoprotéines, lipides et bicarbonates � L'apport d'oxygène et de bicarbonates est assuré directement sous l'épithélium par les capillaires sanguins.
Maladie ulcéreuse gastro-duodénale � � Réponse immune. Capacité de régénération des cellules de la muqueuse. Stimulation des phospholipides de surface. Glycocalyx abondant.
Maladie ulcéreuse gastro-duodénale Circonstances diagnostic de la maladie ulcéreuse: 1)formes symptomatiques a)Non compliquée: Syndrome ulcéreux: – Douleurs épigastriques typiques lorsqu' ’elles sont rythmées par les repas et ressenties dans un délai de 30 minutes à 3 heures après le repas. – Douleurs à types de brûlures parfois irradiant en arrière : • Calmées par l ’ingestion d ’aliments ; • Calmées par l ’absorption d ’anti-acides , • Calmées en cas de vomissements , • Survenant après chaque repas.
Maladie ulcéreuse gastro-duodénale • Habituellement, il n ’y a pas d ’atteinte de l ’état général. Cependant le sujet peut parfois restreindre son alimentation par peur de la douleur. � symptômes accompagnateur: s nausées, ballonnements , vomissements, troubles intestinaux.
Maladie ulcéreuse gastro-duodénale b)Formes compliquées: � Hemorragie digestive: hematemese, melena � Perforation � Sténose 2)formes asymptomatiques � Découverte fortuite endoscopique pour autres motifs: dyspepsie, RGO , bilan anémie.
Maladie ulcéreuse gastro-duodénale Évolution: � Sédation spontanée après quelques semaines de crises, sans que cela signifie cicatrisation de l ’ulcère. Il n ’existe pas toujours de parallèle entre ulcère et douleurs. � Chronicisation et le sujet continue à souffrir. -- Complications.
Maladie ulcéreuse gastro-duodénale Diagnostic endoscopique: Les ulcères siègent le plus souvent près des jonctions de muqueuses. : jonction oesogastriques, jonction corps antre et jonction gastroduodénale. Dans le cas de l ’ulcère duodénal, on peut retrouver un ulcère rond, banal, typique, régulier. Parfois, l ’ulcère du bulbe duodénal est irrégulier, lorsqu ’il y a eu une évolution et des cicatrisations successives. L ’ulcère linéaire représente en générale un très vieil ulcère.
Maladie ulcéreuse gastro-duodénale Diagnostic endoscopique: Lorsque l ’ulcère siège au niveau du deuxième duodénum ou plus bas, ceci peut-être en rapport avec une sécrétion acide importante, il faut donc recher un syndrome de Zollinger. Ellison. Dans le cadre de l ’ulcère gastrique, il n ’y a pas de critère endoscopique formel de bénignité. L ’endoscopie permettra de réaliser des biopsies avec un minimum de 6 biopsies sur la berge de l ’ulcère gastrique.
Diagnostic endoscopique(3)
Diagnostic endoscopique(4)
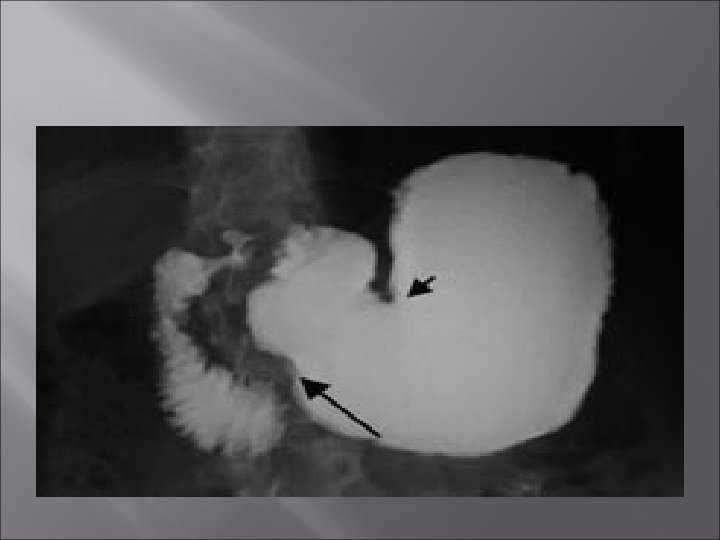
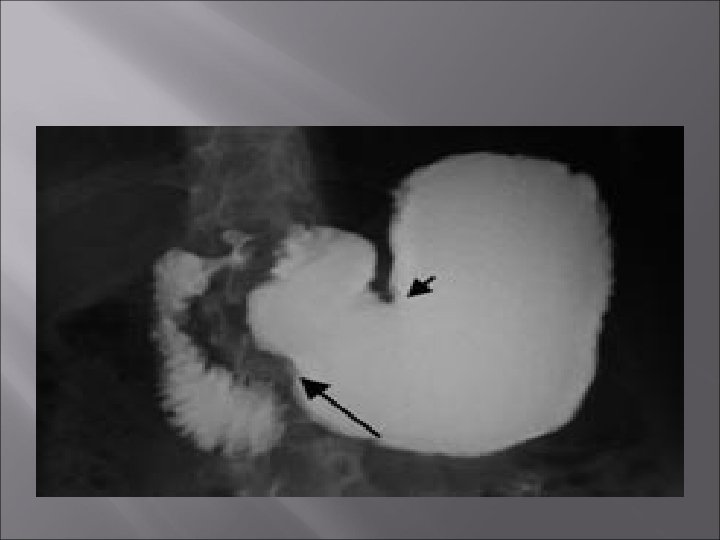
Maladie ulcéreuse gastro-duodénale Diagnostic radiologique (togd) Examens radiologiques : le profil peut montrer un ulcère en spicule ou en forme de niche avec fixité de l ’image sur plusieurs clichés, pour différencier du péristaltisme gastrique sur les clichés de profil (images d ’addition). Sur les clichés de face, ou pourra retrouver une image en cocarde. Les examens radiologiques peuvent être intéressants en cas de complications, type sténose pylorique, ou parfois en cas d ’ulcère diverticulaire.
Maladie ulcéreuse gastro-duodénale �Étude fonctionnelle des sécrétions acide et de la gastrine: �Celles-ci n ’ont pas de valeur à titre individuel, mais seulement sur le plan statistique, avec une hypochlorydrie dans l ’ulcère duodénal, mais il existe un chevauchement important avec la population normale. �Des études fonctionnelles peuvent être réalisées lorsque l ’on recherche un syndrome de Zollinger-Ellison avec une sécrétion acide de base et un débit acide stimulé très élevé et une gastrinémie à des taux très élevés.
Maladie ulcéreuse gastro-duodénale Diagnostic différentiel � a) La dyspepsie non ulcéreuse. � b) Les ulcères qui ne sont pas d ’origine acidopeptique : au niveau gastrique : adénocarcinome de l ’estomac, sarcome de Kaposi, lymphome, pancréas aberrant, syphilis, candidose. Au niveau duodénum : maladie de Crohn, carcinome pancréatique, lithiase biliaire, cancer du pancréas, cancer de l ’estomac. �
Maladie ulcéreuse gastro-duodénale � � Le traitement. Bases pharmacologiques: � Le principe du traitement de l ’ulcère gastroduodénal est de diminuer les facteurs d ’agression et/ou augmenter les facteurs de défense pour obtenir une cicatrisation de l ’ulcère peptique.
Maladie ulcéreuse gastro-duodénale � Le traitement actuel de l ’ulcère repose sur l ’inhibition sécrétoire, et plus rarement sur d ’autres mécanismes. � a) Médicaments neutralisant ou inhibant la sécrétion acide. �Antagonistes des récepteurs H 2 à l ’histamine (anti H 2), inhibiteurs de la pompe à protons : H+, K+ ATPase (IPP). �Prostaglandine de type E, �Antiacide à forte dose -
Maladie ulcéreuse gastro-duodénale b) Médicaments d ’actions différentes -Sucralphate -Sel de Bismuth -Les prostaglandines
Maladie ulcéreuse gastro-duodénale � 2. Les médicaments. � a) Les antagonistes des récepteurs H 2 de l ’histamine : 20 mg de FAMOTIDINE, 150 mg de RANITIDINE, 800 mg de CIMETIDINE. � b) Les inhibiteurs de la pompe à protons : OMEPRAZOLE PANTOPRAZOLE. Les IPP provoquent une inhibition sécrétoire acide plus prolongée que les anti-H 2 Les IPP inhibent la sécrétion acide stimulée par le repas et élèvent le p. H gastrique plus nettement que les anti-H 2.
Maladie ulcéreuse gastro-duodénale � � En l’absence d’infection par HP: Traitement IPP seul (omeprazole…)
Maladie ulcéreuse gastro-duodénale En cas d’infection par HP: Schéma thérapeutique pour éradiquer Hélicobacter pylori. � La trithérapie: � L ’association d ’un antisécrétoire de type anti-H 2 ou plus souvent IPP avec deux antibiotiques a donnée d ’excellents résultats jusqu ’à 90 % d ’éradication quand l ’antibiothérapie est suffisamment prolongée de 12 à 14 jours
Maladie ulcéreuse gastro-duodénale � L ’association d ’antibiotiques et celle d ’AMOXICILLINE à un NITRONIMIDAZOLE ou d ’AMOXICILLINE et de CLARITHROMYCINE.
Maladie ulcéreuse gastro-duodénale � Traitement chirurgical. L ’un des buts de la chirurgie de l ’ulcère est de diminuer la sécrétion gastrique d ’origine vagale. � Différents types d ’intervention peuvent être proposés. � La vagotomie hypersélective qui sélectionne les fibres vagales sécrétoires à destinée corporéofundique. La vagotomie tronculaire avec pyloroplastie. La vagotomie tronculaire avec antrectomie. Ces dernières peuvent être associées à des séquelles fonctionnelles telles que le dumping syndrome. � Les résections gastriques diminuent ou annulent la sécrétion gastrique acide : gastrectomie partielle avec anastomose gastroduodénale (Bilroth 1) ou avec anastomose gastrojéjunale (Bilroth 2). �
Maladie ulcéreuse gastro-duodénale
Maladie ulcéreuse gastro-duodénale