Making Procedures Safer Central Line Insertion Paul Currier


























- Slides: 26
Making Procedures Safe(r) Central Line Insertion Paul Currier, MD, MPH MGH Pulmonary & Critical Care Unit Associate Program Director for Procedures and Critical Care Education, DOM Instructor in Medicine, Harvard Medical School
Financial Disclosures: None
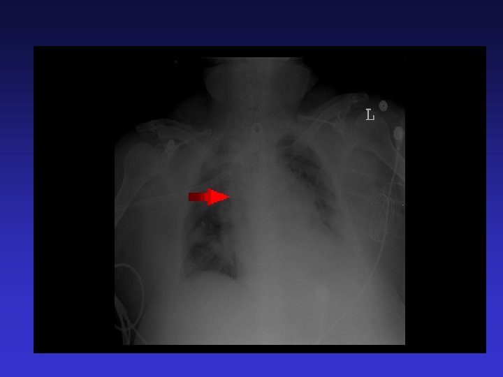
Central Venous Access Complications Puncture of Artery Collapsed Lung Air in Vessel Abnormal Heart Rhythm Infection Blood Clot Death
Safety Interventions…… Policy Education Procedure Modifications – structural and forcing functions
Proven Policy Interventions Hand Washing Full Barrier Precautions Chlorhexidine Avoiding Femoral Site Removing Unnecessary Catheters
How to Teach Procedures? 1. Classic Mentoring: Watch Someone, try it on a patient 2. Instructional Videos 3. Simulation 4. Animal Models
Mentoring Model Dependent on Individual Variation Dependent on Clinical Opportunity High Risk Learning
Impact of Videos on Procedural Training • 210 Medical Residents • NEJM Videos on Arterial Catheter & Central Line Placement • Pre-test, procedure, post-test
Improving Residents’ Knowledge of Medical Procedures Using a Video-Based Curriculum: A Randomized Trial Baseline scores on knowledge tests low: – 58 % arterial lines – 62 % central lines
Improving Residents’ Knowledge of Medical Procedures Using a Video-Based Curriculum: A Randomized Trial Small but significant increase with videos: – 58 % arterial lines 70% (p<0. 0001) – 62 % central lines 66% (p=0. 01)
A Definition of Simulation Healthcare simulation is an educational and training method (tool) that creates real world experiences allowing learners to acquire knowledge and skills in an observed risk free environment to improve care and promote safety. Simulation occurs in concert with other teaching modalities to enhance safe, efficient, competent care. As created by the MGH Simulation Task Force. Some slides based on presentations by MGH Simulation Task Force members to the MGH Trustees Education Subcommittee, the MGH Council on Technology Adoption and Innovative Process Promotion (CTAIPP); and the Partners GME 2010 Task Force
Why Simulation in Healthcare? What is the Added Value Over the Status Quo? • Patient Safety: Practice Without Risk – Early exposure and competence • Education On-Demand: Standardization of Curriculum – Mitigate time and chance • Efficiency in a New Era: Acceleration of the Expertise Curve – A new paradigm
Emotionality of the Experience is the Difference Circumplex Model of Emotion: Russell and Feldman Barrett, 1999
Central Venous Catheter Insertion
Post Central Line Simulation Surveys Rate your confidence in being able to place a central line prior to this session? 1 2 3 4 5 6 No confidence 7 8 9 Extremely confident Rate your confidence in being able to place a central line after this session? 1 2 3 4 5 6 No confidence 7 8 9 Extremely confident Rate the ability of this training session to teach central line placement: 1 Poor 2 3 4 5 6 7 8. 1 9 Excellent Rate the realism of this simulation: 1 Not realistic 2 3 4 5 6 7. 2 8 Extremely Realistic 9
Resident Commentary “Great program! All interns should do this before the MICU, even after a few lines” “Small group training was perfect!”
16 Surgical Residents Randomized to VR Training or Control Until Expert Criteria Met VR Residents: 29% Faster, Errors 6 X Less Likely to Occur Non-VR Trained Residents: 5 X More Likely to Injure the GB or Burn Non-target Tissue
Suturing