M Milagros Miln Rodrguez Servicio Radiodiagnstico Sara Comellas





- Slides: 5
Mª Milagros Milán Rodríguez (Servicio Radiodiagnóstico) Sara Comellas Cruzado(Servicio Radiodiagnóstico) Miguel Domínguez Meléndez (Servicio Traumatología) María Leo Barahona (Servicio Radiodiagnóstico) CONTEXTO CLÍNICO õMujer de 41 años. õAP: PTI tras embarazo y posible LES. õMC: torsión de tobillo izquierdo con dolor intenso en antepie e incapacidad posterior para la carga. õEF: õdolor a palpación de la región interna del antepie izquierdo. õdolor a las maniobras de rotación y cizallamiento. õHematoma plantar. õExploración vasculonerviosa distal normal. õRx tobillo y antepie.
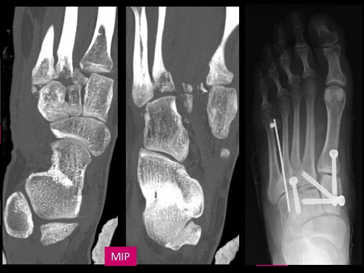
En lala. Radiografía un de fractura-luxación de Ante En estos Radiografía datossimple, clínicos simple, ¿cuál y estaes es Radiografía unsignosugestivo simple del deantepie fractura-luxación ¿cuál es nuestro de. Lisfranc? : diagnóstico? : a. a. “Fleck sign”. Fractura “Fleck sign”. de escafoides. b. b. Diástasis >2 mm C 1 Fractura-luxación Diástasis >2 mmentre de Lisfranc. C 1 yy. M 2. c. c. En Rx bordes lateral de mal Fractura En Rxoblícua, de extremo bordesproximal lateralyymedial de medial 2º-3º-4º de. M 3 MTT. malalineadoscon conlos losbordesde de. C 3. d. d. En Rx aplanamiento Fractura En Rxlateral, de cuboides. aplanamientodel delarcoplantar. e. e. Todas son ciertas. B y C son Todas sonciertas. Rx simple AP
NORMAL EN CARGA LISFRANC NORMAL
CORONAL MIP CORONAL A LA ART. CUNEOMETATARSIAN VR A
CONCLUSIONES õ õ õ õ Ligamento de Lisfranc (C 1 -M 2): soporte más potente. Incidencia: 1/55. 000 personas (<1% de todas las fx). Varones (2: 1). Clasificación: Myerson et al. Hasta 20% pasan desapercibidas. Rx: AP, lateral y oblicua 30º. Carga. TC: coronal a la art. cuneometatarsiana õ detección lesiones sutiles o desapercibidas en Rx. õ valoración de fragmentos y su desplazamiento. õ Tto: õ Conservador: no fracturas, no desplazamiento. õ Qx: reducción y fijación con agujas. BIBLIOGRAFÍA 1. Siddiqui NA, Galizia MS, Almusa E, Omar IM. Evaluation of the Tarsometatarsal Joint Using Conventional Radiography, CT, and MR Imaging. Radio. Graphics 2014; 34: 514– 531. 2. Watson TS, Shurnas PS, Denker J. Treatment of Lisfranc Joint Injury: Current Concepts. Journal of the American Academy of Orthopaedic Surgeons, December 2010; Vol 18, No 12. 3. Montejo Rodrigo E, Pastor Ausin E, Ereño Ealo MJ, Sancho Garaizábal B, Carrascoso J, Armendariz Tellitu K. Fracturaluxación de Lisfranc. Aportación del TCMD. Presentación electrónica educativa, Seram 2012.