Lymphoma Farjah Hassan Al Gahtani Assistant Professor Consultant



































































- Slides: 67
Lymphoma Farjah Hassan Al. Gahtani Assistant Professor, Consultant Hematology Director of Transfusion Medicine and Blood Bank
Overview • • • Concepts, classification, biology Epidemiology Clinical presentation Diagnosis Staging Three important types of lymphoma
Conceptualizing lymphoma • neoplasms of lymphoid origin, typically causing lymphadenopathy • leukemia vs lymphoma • lymphomas as clonal expansions of cells at certain developmental stages
ALL CLL Lymphomas MM naïv e B-lymphocytes Lymphoid progenitor AML Hematopoietic stem cell Myeloid progenitor Plasma cells T-lymphocytes Myeloproliferative disorders Neutrophils Eosinophils Basophils Monocytes Platelets Red cells
B-cell development CLL stem cell lymphoid progenitor mature naive B-cell germinal center B-cell MM progenitor-B ALL memory B-cell pre-B immature B-cell DLBCL, FL, HL plasma cell
Classification Biologically rational classification Clinically useful classification Diseases that have distinct • morphology • immunophenotype • genetic features • clinical features Diseases that have distinct • clinical features • natural history • prognosis • treatment
Lymphoma classification (2001 WHO) • B-cell neoplasms – precursor – mature • T-cell & NK-cell neoplasms – precursor – mature • Hodgkin lymphoma Non. Hodgkin Lymphomas
A practical way to think of lymphoma Category Non. Hodgkin lymphoma Survival of untreated patients Curability To treat or not to treat Generally defer Rx if asymptomat ic Treat Indolent Years Generally not curable Aggressive Months Curable in some Very aggressive Weeks Curable in some Treat All types Variable – months to years Curable in most Treat
Mechanisms of lymphomagenesis • • Genetic alterations Infection Antigen stimulation Immunosuppression
Epidemiology of lymphomas • 5 th most frequently diagnosed cancer in both sexes • males > females • incidence – NHL increasing – Hodgkin lymphoma stable
Incidence of lymphomas in comparison with other cancers in Canada
Age distribution of new NHL cases in Canada
Age distribution of new Hodgkin lymphoma cases in Canada
Risk factors for NHL • • • immunosuppression or immunodeficiency connective tissue disease family history of lymphoma infectious agents ionizing radiation
Clinical manifestations • Variable • severity: asymptomatic to extremely ill • time course: evolution over weeks, months, or years • Systemic manifestations • fever, night sweats, weight loss, anorexia, pruritis • Local manifestations • lymphadenopathy, splenomegaly most common • any tissue potentially can be infiltrated
Other complications of lymphoma • • bone marrow failure (infiltration) CNS infiltration immune hemolysis or thrombocytopenia compression of structures (eg spinal cord, ureters) • pleural/pericardial effusions, ascites
Diagnosis requires an adequate biopsy • Diagnosis should be biopsy-proven before treatment is initiated • Need enough tissue to assess cells and architecture – open bx vs core needle bx vs FNA
Staging of lymphoma Stage III Stage IV A: absence of B symptoms B: fever, night sweats, weight loss
Three common lymphomas • Follicular lymphoma • Diffuse large B-cell lymphoma • Hodgkin lymphoma
Relative frequencies of different lymphomas Non-Hodgkin Lymphomas Hodgkin lymphom a NHL Diffuse large B-cell Follicular Other NHL ~85% of NHL are Blineage
Follicular lymphoma • most common type of “indolent” lymphoma • usually widespread at presentation • often asymptomatic • not curable (some exceptions) • associated with BCL-2 gene rearrangement [t(14; 18)] • cell of origin: germinal center B-cell
• defer treatment if asymptomatic (“watchand-wait”) • several chemotherapy options if symptomatic • median survival: years • despite “indolent” label, morbidity and mortality can be considerable • transformation to aggressive lymphoma can occur
Diffuse large B-cell lymphoma • most common type of “aggressive” lymphoma • usually symptomatic • extranodal involvement is common • cell of origin: germinal center B-cell • treatment should be offered • curable in ~ 40%
Hodgkin lymphoma Thomas Hodgkin (1798 -1866)
Epidemiology • ~ 20 000 new cases in North America and Europe every year – Annual incidence 2. 7/100 000 per year – Annual mortality only 0. 5/100 000 per year – North American lifetime risk – 1/250 to 1/300 • Young adults – 90% in adults 16 -65 – Median Age 35 • Slight male predominance • Much less frequent in eastern Asian populations
Associated (etiological? ) factors • • • EBV infection smaller family size higher socio-economic status caucasian > non-caucasian possible genetic predisposition other: HIV? occupation? herbicides?
• The EBV Association – 3 x increased risk Hodgkins with serologically confirmed infectious mononucleosis – EBV genomes detected in ~ 1/3 of Hodgkin lymphoma tissues (developed countries) • Highest proportion mixed cellularity – Population study showed high pre-diagnostic titres of EBV in patients later diagnosed with Hodgkin’s – ? causative – especially in younger patients
Pathology • B cell neoplasm – Unique due to the relative paucity of clonal malignant cells in a background of reactive inflammatory cells • 2 distinct entities – Nodular Lymphocyte predominant HL • L&H cell “popcorn cell” – Classical HL • Reed Sternberg cell • 4 subtypes
Classical Hodgkin Lymphoma
Hodgkin lymphoma • cell of origin: germinal centre B-cell • Reed-Sternberg cells (or RS variants) in the affected tissues • most cells in affected lymph node are polyclonal reactive lymphoid cells, not neoplastic cells
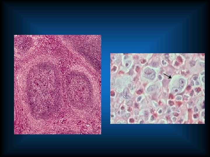
Reed-Sternberg cell
Reed Sternberg Cell • “owl’s eye” • 2 nuclear lobes with large inclusion like nucleoli (eosinophilic) • Clear halo around nucleolus (chromatin condensed to nuclear membrane) • Abundant cytoplasm – Lymphocytic and Histiocytic Cell • “popcorn cell” • Polylobated nucleus • Lack of prominent eosinophilic nucleoli • Lack of halo
RS cell and variants classic RS cell lacunar cell popcorn cell (mixed cellularity) (nodular sclerosis) (lymphocyte predominance)
A possible model of pathogenesis transforming event(s) EBV? loss of apoptosis cytokines germinal centre B cell RS cell inflammatory response
Nodular Lymphocyte Predominant Hodgkin’s Lymphoma • 5 -10% of patients • “popcorn cell” – Positive for CD 45 – express B-cell associated antigens CD 19, CD 20, CD 22, CD 79 a, EMA – lack CD 15 and CD 30 • • Background of primarily B lymphocytes +/- histiocytes Commonly presents early stage (~80%) 4: 1 M: F slightly higher risk of development of NHL (2% to 5%) – Usually DLBCL • Some treatment differences compared with classical Hodgkin’s
Classical Hodgkin’s Lymphoma • • Nodular Sclerosis Mixed Cellularity Lymphocyte-depleted Lymphocyte-rich • CD 15 and CD 30 positive +/- CD 20
Nodular Sclerosis • partially nodular pattern with fibrous bands separating the nodules – lacunar type RS cells - multilobated nuclei and small nucleoli with abundant pale cytoplasm that retracts in formalin-fixed sections producing an empty space • 40%-70% of patients • Commonly present early stage (~70%) – Often confined above the diaphragm • Slight female predominance • Commonly adolescents and young adults
Mixed Cellularity • Classic RS cells common – Background of lymphocytes, eosinophils, plasma cells and histiocytes • 30%-50% of patients • More commonly presents with advanced stage disease, B symptoms • Pediatric and older patients
• Lymphocyte-depleted – Classic RS cells with hypocellular fibrotic or reticular background – Presents more commonly in older patients – Commonly advanced stage • Less common involvement of peripheral nodes and mediastinum • Lymphocye-rich – Similar to NLPHL but has classical immunophenotype
Clinical Presentation • Painless lymphadenopathy – Contiguous spread between lymphoid regions – Usually begins supra diaphragmatically • Regional sub diaphragmatic disease < 10% • Symptoms associated with compressive effect – *mediastinal mass – Abdominal/inguinal • “B symptoms” – Wt loss > 10% over 6 months – Persistent fever >38. 2 – Drenching night sweats • Puritis
• Weird and wonderful… – Alcohol induced pain – Nephrotic syndrome • paraneoplastic secondary to lymphokines – Dermatologic • ichthyosis, acrokeratosis (Bazex syndrome), urticaria, erythema multiforme, erythema nodosum, necrotizing lesions, hyperpigmentation, and skin infiltration
• Neurologic – cerebellar degeneration, chorea, neuromyotonia, limbic encephalitis, subacute sensory neuronopathy, subacute lower motor neuronopathy, and the stiff man syndrome • Cholestatic liver disease • Hypercalcemia
Modified Ann Arbour Staging System • I – Single lymph node region (I) – or one extralymphatic site (IE) • II – Two or more lymph node regions, same side of the diaphragm (II) – or local extralymphatic extension plus one or more lymph node regions same side of the diaphragm (IIE)
• III – Lymph node regions on both sides of the diaphragm (III) – Which may be accompanied by local extralymphatic extension (IIIE) • IV – Diffuse involvement of one or more extralymphatic organs or sites
• A = no B symptoms • B = atleast one of – Unexplained weight loss > 10% during preceding 6 months – Recurrent unexplained fever > 38 – Recurrent night sweats • Bulky disease – Single mass > 10 cm largest diameter
Staging Evaluation • Pathology Review • History looking for B symptoms or other symptoms suggesting systemic disease • Physical for lymphadenopathy and organomegaly • CBC and ESR • Cr, ALP, LDH, bili, Ca, AST, albumin, SPEP • CXR – PA and lat • CT neck, thorax, abdomen and pelvis
• Bone marrow aspirate and biopsy if – B symptoms – WBC < 4 – Hgb <120 (women) 130 (men) – Platelets < 125 • ENT examination if – Stage IA or IIA disease with upper cervical lymph node involvement (supra-hyoid)
• Limited Stage Disease – Stage IA or IIA with no bulky disease • Advanced Stage – Any stage with B symptoms or bulky disease – Stage III and IV
Treatment • Goal is to maximize cure rates with minimum long term treatment toxicity
Limited Stage Disease • 30% of presenting cases • Expected long term disease control > 90% • Traditionally treated with radiotherapy – Second malignancies – Premature cardiovascular disease • Late 1990’s 3 studies of combined abbreviated ABVD and radiotherapy
Brief ABVD Chemotherapy followed by irradiation for limited stage HL Milan Vancouver GHSG # of patients 114 170 204 Median follow up (months) 38 42 22 Months of ABVD 4 2 2 RT field IF or EF EF DFS % 94 96 96 OS % 100 97 98 Bonfante et al. Proc Amer Soc Clin Oncol. 2001; 20: 281 a (abstract 1120). Klasa et al. Annal Oncol. 1996; 7(Suppl 3): 21 (abstract 67). . Tesch et al Blood. 1998: 485 a
• Randomized Comparison of ABVD Chemotherapy With a Strategy That Includes Radiation Therapy in Patients With Limited-Stage Hodgkin’s Lymphoma: National Cancer Institute of Canada Clinical Trials Group and the Eastern Cooperative Oncology Group – Meyer et al. Journal of Clinical Oncology, Vol 23, No 21 (July 20), 2005: pp. 4634 -4642
• 399 patients • Median follow up 4. 2 years – Interim analysis – planned 12 yr follow up • • Age > 16 yrs Previously untreated Primary end point overall survival ~85%-90% patients received assigned protocol
• Limited Stage – ABVD X 4 cycles alone if CR after 2 cycles – ABVD X 2 + IFRT if < CR after 2 cycles
Advanced Stage Disease • High cure rates observed with multiagent chemotherapy for 30 years – Initially MOPP – disease free survival 50% • Sterility • Premature menopause • Leukomogenic
• 1992 - CALGB – RCT MOPP vs ABVD/MOPP alternating vs ABVD – 361 Stage III and IV patients – stratified according to age, stage, previous radiation, histologic features, and performance status – Examined response rates, disease free survival and overall survival Canellos et al, NEJM; Volume 327: 1478 -1484
MOPP/ABVD CR 67% 83% 82% *significant difference between MOPP alone and ABVD containing regimens DFS 50% 65% 61% *significant difference between MOPP alone and ABVD containing regimens OS 66% 75% 73% No significant difference Canellos et al, NEJM; Volume 327: 1478 -1484
Newer Regimens • Stanford V – Weekly chemotherapy for 12 weeks with post radiation for bulk (> 5 cm) – 6. 9 yr follow up • Freedom form progression – 91% • Overall survival – 95% – RCT Stanford V vs ABVD ongoing
• BEACOPP – Bleomycin, etoposide, doxyrubicin, cyclophosphamide, vincristine, prednisone and procarbazine – ***infertility, premature meonopause, higher rate of hematologic toxicity, increased rate second malignancy • German Hodgkin Study Group HD 9 trial – – RCT – 1195 patients COPP/ABVD+RT BEACOPP (dose esc) +RT BEACOPP + RT
Relapsed Disease • Auto BMT – 2 RCT’s – Linch et al Lancet 1993 341: 1051 -1054 – Schmitz et al Lancet 2002 359: 2065 -2071
Treatment and Prognosis Stage Treatment I, II ABVD x 4 & radiation III, IV ABVD x 6 Failurefree survival 70 -80% Overall 5 year survival 80 -90% 60 -70% 70 -80%
Long term complications of treatment • infertility – MOPP > ABVD; males > females – sperm banking should be discussed – premature menopause • secondary malignancy – skin, AML, lung, MDS, NHL, thyroid, breast. . . • cardiac disease
Thanks