Lymph Node Involvement in Ovarian Serous Tumors of















































- Slides: 47
Lymph Node Involvement in Ovarian Serous Tumors of Low Malignant Potential (Borderline Tumors) pathology, prognosis, and proposed classification Mc. Kenney, Jesse K. MD; Balzer, Bonnie L. MD, Ph. D; Longacre, Teri A. MD American Journal of Surgical Pathology. 30(5): 614 -624, May 2006 Intern: 簡世杰
Serous borderline Tumours(SBT) ¡ Histological criteria for the diagnosis of serous borderline tumours. (WHO) 1. Epithelial hyperplasia in the form of stratification , tufting, cribriform and micropapilary arrangements Atypia (usually mild to moderate) Detached cell clusters Variable and usually minimal mitotic activity Absence of destructive stromal invasion 2. 3. 4. 5.
Introduction ¡ Ovarian serous tumors of low malignant potential (S -LMP) may be associated with lymph node involvement (LNI) in 21% to 29% of patients who undergo a formal lymph node sampling at the initial staging surgery Gynecol Oncol. 1991; 42: 124 -130 Am J Surg Pathol. 2005; 29: 707 -723
Purpose ¡ ¡ ¡ Evaluate the specific histologic patterns of nodal involvement Criteria for classifying LNI into prognostic groups (Although criteria have been proposed for invasive and noninvasive implants in the peritoneum and outcome data have been linked to these subtypes. ) nodal involvement by S-LMP may in some cases arise independent of the ovarian tumor via neoplastic transformation from preexisting endosalpingiosis. Am J Surg Pathol. 2000 the definition and the relative prognostic and therapeutic implications?
Materials and Methods ¡ ¡ ¡ Database:Stanford University Medical Center Division of Surgical Pathology or the Stanford Pathology Consultation Service from the years 1958 to 1998 Patient Numbers:approximately 540 S-LMP. 74 patients who underwent a surgical staging procedure that included retrieval of lymph node. Classification:according to the current World Health Organization criteria into two types: typical S-LMP (serous borderline tumor) and S-LMP with micropapillary features (serous borderline tumor with micropapillary features). Lyon, France: IARCPress; 2003
Materials and Methods ¡ ¡ ¡ ¡ Stage:the International Federation of Gynecology and Obstetrics system Statistical analysis:Fisher exact test Significance leve was set at P<0. 05 All tumors with micropapillary or cribriform features were classified on the basis of the modified Burks criteria The presence of stromal microinvasion was determined using the criteria of Bell and Scully Ovarian autoimplants were not classified as stromal invasion. Extra-ovarian epithelial implants were classified as invasive, noninvasive, or indeterminate
Materials and Methods ¡ ¡ 1. 2. 3. 4. 5. 6. 7. Lymph nodes were classified as positive or negative based on the presence or absence of involvement by SLMP The positive lymph nodes were further evaluated for the following features: Architectural pattern and degree of cytologic atypia Mitotic figures Presence of tumor in sinuses or parenchyma Greatest linear dimension of epithelial aggregates without intervening lymphoid tissue (nodular aggregate) Number of foci involved in an individual lymph node Stroma reaction Extranodal extension
Materials and Methods ¡ Four morphologic patterns were identified: 1. Individual cells, cell clusters, and simple papillae Intraglandular aggregates Cell with prominent cytoplasmic eosinophilia(“eosinophilic cells”) Micropapillary (criteria provided by Bell et al) 2. 3. 4.
Materials and Methods ¡ 1. 2. 3. 4. disease status was defined as follows Dead of disease(DOD):patient died as a result of persistent, progressive, or recurrent serous disease Alive with disease (AWD):patient alive with clinical and/or radiographic evidence of persistent, progressive, or recurrent serous disease at last follow-up visit Dead of intercurrent disease (DID), patient died of an unrelated cause with no clinical or radiographic evidence of persistent, progressive or recurrent serous disease No evidence of disease (NED):no clinical or radiographic evidence of persistent, progressive, or recurrent serous disease at last follow-up visit
Result no LNI or endosalpingiosis only No significant different between 2 groups
Follow-up Status for S-LMP Patients With and Without Lymph Node Involvement (LNI)
Result Follow- up ¡ ¡ ¡ An additional 10 patients developed recurrent disease (5 with LNI and 5 without LNI) with an interval from initial surgery to recurrence ranging from 7 to 158 months (mean, 49 months; median, 35. 5 months). Five of the patients with recurrent disease were alive with disease at last follow-up. One patient with stage IV disease and axillary lymph node involvement had persistent, but otherwise stable, disease at 11 months of follow-up.
Result ¡ 1. 2. 3. 4. ¡ Anatomic site of lymph node(total=31) in pelvic (18; 58%) mesenteric/omental (9; 29%) paraaortic (8; 26%) supradiaphragmatic (2; 6%) There was no correlation between anatomic site of involvement and overall or disease-free survival.
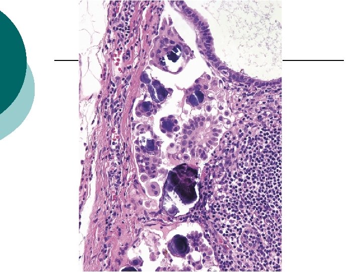
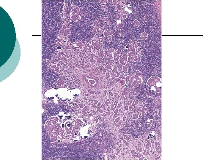
Cytologic & Histologic Patterns 1. 2. 3. Cytologic patterns Mild cytologic atypia most cases Moderate cytologic atypia 9 cases Mitotic figures 7 cases(4/7 combined with moderate atypia) Individual cells, clusters of cells, and simple papillae individual cells, clusters of cells, and simple papillae (28 of 31; 90%) intraglandular pattern (21 of 31; 68%) prominent cytoplasmic eosinophilia (16 of 31; 52%) micropapillary architecture (5 of 31; 16%).
Individual cells, clusters of cells, and simple papillae
Individual Cells, Clusters of Cells, and Simple Papillae ¡ ¡ ¡ The most common pattern of LNI by S-LMP(28/31) 5 of these patients had stromal microinvasion and 4 had micropapillary architecture in the primary ovarian tumor. 16 patients with this pattern of LNI had noninvasive peritoneal implants, whereas 6 had invasive implants and 2 had implants that were indeterminate for invasion. Follow-up information : 2 DOD at 8 and 74 months, 3 AWD (11, 61, and 230 months), 15 NED, and 8 with no available follow-up data Disease-free survival versus LNI without this pattern : 75% and 50%, respectively (P=0. 42).
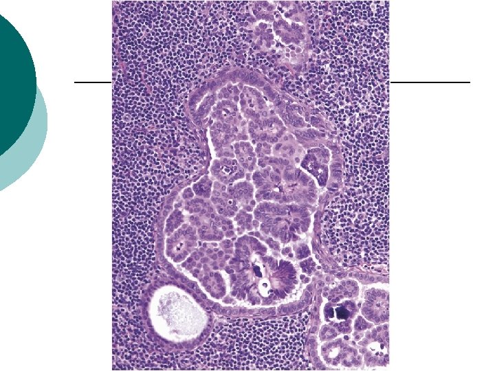
Intraglandular pattern
Intraglandular Pattern ¡ ¡ ¡ 21/31 3 cases consisted entirely of the intraglandular pattern, one of which formed nodular aggregates with associated stromal reaction. 3 patients with intraglandular LNI had stromal microinvasion in the primary ovarian tumor and 3 had micropapillary architecture. All patients with intraglandular LNI had intraperitoneal implants (3 invasive and 18 noninvasive). Follow-up information : 11 NED and 3 AWD at 11, 38, and 230 months Disease-free survival versus LNI without this pattern : 79% and 71% respectively
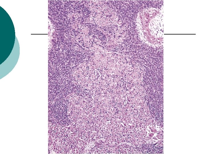
Prominent Cytoplasmic Eosinophilia
Prominent Cytoplasmic Eosinophilia 16/31 3 patients had lymph nodes diffusely infiltrated by eosinophilic cells with a sinus and parenchymal distribution, one with nodular aggregates. 5 patients with LNI featuring eosinophilic cells had stromal microinvasion in the primary ovarian tumor 11 patients with eosinophilic cell LNI had peritoneal implants. 2 had invasive peritoneal implants (no significance) Follow-up information : 6 NED ; 2 NED following recurrence at 12 and 74 months, 1 AWD at 11 months, and 1 DOD. Disease-free survival versus LNI without this pattern : No significant difference
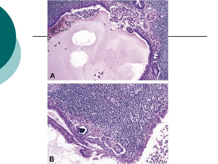
Micropapillary Architecture
Micropapillary Architecture ¡ ¡ ¡ 5/31 The number of nodes involved: 2 to 11 (mean, 4. 6), others : mean of 2. 1 (range, 1– 12) 3 of the 5 (60%) lymph nodes with micropapillary architecture also had an associated stromal reaction, compared with 2 of 26 (8%) without micropapillary architecture (P=0. 02). 4 of the 5 (80%) micropapillary cases had nodular aggregates (size from 2 to 8 mm), whereas only 2 of the 26 (8%) nonmicropapillary cases formed a nodular aggregate (1 mm in size) (P<0. 001). 3 (60%) were associated with endosalpingiosis, compared with 16 of 26 (62%) nonmicropapillary cases.
Micropapillary Architecture ¡ ¡ ¡ All 5 patients with micropapillary LNI had peritoneal implants. (2/5 invasive) Follow-up information: 2 AWD , 1 NED at 87 months following an abdominal wall recurrence at 74 months, and 1 was NED with no evidence of recurrent disease at 77 months, 1 LFU Disease-free survival versus LNI without this pattern : 50% vs. 82% not reach statistical significance (P=0. 22).
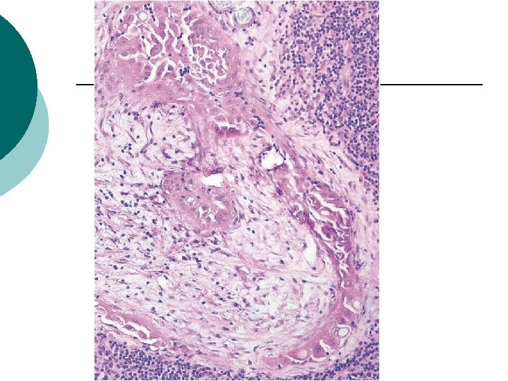
Stromal Response
Stromal Response in Lymph Node Involvement ¡ ¡ ¡ 5/31 (16%) cases with LNI had an associated stromal reaction. Each of the 5 cases with intranodal stromal reaction had nodular aggregates (P=0. 0001) 3 had micropapillary architecture (P=0. 02), and 1 had a diffuse “eosinophilic cell” pattern Follow-up information: 2 AWD, and 1 NED, 3 LFU Disease-free survival versus LNI without this pattern : 33% versus 68%(not significant? )
Extent and Location of Lymph Node Involvement ¡ ¡ ¡ Disease-free survival for patients with only one involved node versus patients with greater than one involved node was 73% and 80%, respectively. (one vs many) There was no significant difference in overall survival or disease-free survival in patients with diffuse LNI versus patients without diffuse LNI. Disease-free survival for LNI with parenchymal involvement compared with no parenchymal involvement was 69% and 77%, respectively (P=0. 61).
Nodular aggregate
Extent and Location of Lymph Node Involvement Nodular aggregate:was defined as a collection of epithelium without intervening lymphoid tissue measuring greater than 1 mm in linear dimension Ps: diffuse LNI was characterized by epithelial cells of any morphologic pattern scattered throughout the lymph node (ie, not focal), but with intervening lymphoid tissue. ¡ Nodular aggregates were strongly associated with desmoplastic fibrous stromal reaction (P=0. 001) and micropapillary architecture (P=0. 02). ¡ Disease-free survival versus LNI without this pattern : 25% versus 87% (P=0. 02) significience ¡
Endosalpingiosis
Association of Lymph Node Involvement With Endosalpingiosis ¡ ¡ 18/31(58%) versus 15/43(35%) (P=0. 06) 4 mild cytologic atypia; 1 moderate cytologic atypia no significant difference in overall survival for patients with and without LNI there was a trend for improved survival among patients with endosalpingiosis only (93%) compared with patients with LNI and endosalpingiosis (85%) and patients with LNI but no associated endosalpingiosis (56%).
YOKOHAMA COSMO WORLD
Disscussion ¡ ¡ ¡ lymph node status does not appear to be an independent prognostic factor for patient survival in patients with S-LMP. the presence of nodular aggregates is associated with a statistically significant adverse prognosis independent of histologic pattern. The relatively high incidence of LNI in this study (42%) ? LNI was commonly associated with peritoneal implants (87% of cases): (Leake et al) LNI was also associated with a higher incidence of disease recurrence ? not meet statistical significance.
Histologic Patterns of S-LMP Lymph Node Involvement ¡ ¡ 1. 2. 3. admixture of individual epithelial cells, clusters of l cells, and simple papillae frequently coexisted with an intraglandular pattern Distinguished from LNI by metastatic low grade carcinoma Comparaticely low volume of epithelium Minimal to at most moderate cytologic atypia Rare mitotic figures
Histologic Patterns of S-LMP Lymph Node Involvement ¡ ¡ Primary ovarian S-LMP with micropapillary epithelial overgrowth are more often bilateral, exophytic, and associated with extraovarian implants than S-LMP without this appearance micropapillary architecture was strongly associated with disease progression over time and decreased overall survival on univariate analysis. Longacre et al the micropapillary pattern was more frequently associated with several other histologic features Ex: stromal reaction (60% vs. 12%), diffuse nodal involvement (60% vs. 38%), nodular aggregates (33% vs. 12%), and extranodal extension (20% vs. 0%). ¡
Histologic Patterns of S-LMP Lymph Node Involvement This eosinophilic cell pattern of LNI was associated with stromal microinvasion in the primary ovarian tumor in almost one third of the cases in this series. ¡ the association between eosinophilic cell LNI and adverse outcome is not statistically significant ¡ Differential diagnosis:intranodal hyperplastic mesothelial cells Immunohistochemistery:BER-EP 4;calretinin P. S. S-LMP is characterized by cytoplasmic reactivity with Ber-EP 4 but no nuclear calretinin expression ¡
Nodular Aggregates of LNI Are Associated With Adverse Prognosis, Regardless of Histologic Pattern ¡ 1. 2. 3. ¡ nodular aggregates of epithelium greater than 1 mm, without intervening lymphoid tissue , predicted a statistically significant : decreased disease-free survival strongly associated with micropapillary architecture and nodal stromal reaction invasive peritoneal implants in 3 of 6 cases should probably be classified separately from other patterns of LNI ? Nodular aggregates did not occur in association with any specific lymph node group in this study
Nodular Aggregates of LNI Are Associated With Adverse Prognosis, Regardless of Histologic Pattern ¡ ¡ In our experience, the presence of nodular aggregates is more commonly encountered in recurrent disease and delayed lymph node involvement than at initial presentation Nodular Aggregates should be regarded as a highrisk lesion ? transformation to low-grade serous carcinoma ?
At Least Some S-LMP May Arise Primarily in Foci of Endosalpingiosis ¡ ¡ ¡ 1. 2. 3. identical K-ras mutations in S-LMP and adjacent benign müllerian inclusions. (Alvarez et al) support the concept that S-LMP may arise in endosalpingiosis in at least a subset of cases. a trend for decreased survival among patients without associated endosalpingiosis (not meet statistical significance) endosalpingiosis only (93%) LNI and endosalpingiosis (85%) LNI but no associated endosalpingiosis (56%).
Conclusion ¡ ¡ no single histologic pattern of LNI is entirely predictive of adverse outcome nodular aggregates of S-LMP is associated with decreased disease-free survival independent of implant type. nodular aggregates more common in cases with a micropapillary pattern and an associated stromal reaction in the intranodal tumor. This high-risk pattern of LNI may be analogous to invasive peritoneal implants in terms of prognostic significance and deserves independent assessment in future studies of S-LMP.