LUNG NODULE LUNG NODULE AAH p GGN 5

  • Slides: 59
Download presentation

LUNG NODULE

LUNG NODULE

LUNG NODULE AAH: ü p. GGN; ü <5 mm; ü 形态规则。

LUNG NODULE AAH: ü p. GGN; ü <5 mm; ü 形态规则。

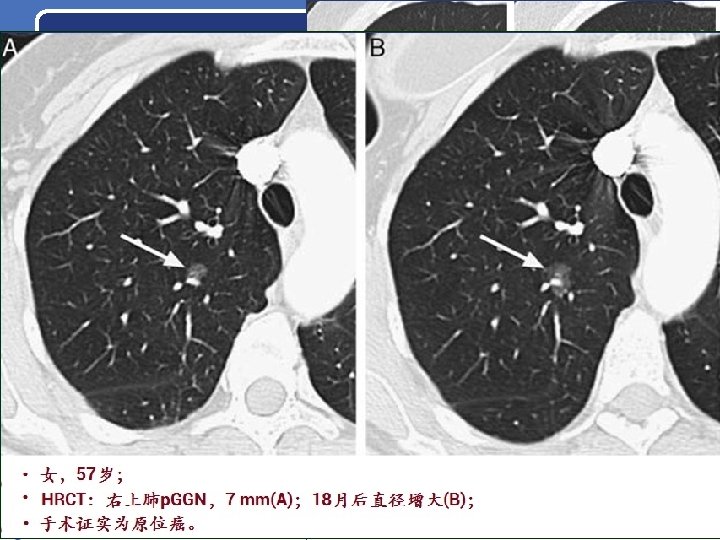
原位腺癌(AIS) LUNG NODULE v 原位腺癌(AIS)多为非粘液性,HRCT上表现为: • p. GGN,密度较AAH略高; • 直径一般> 5 mm; • 少部分AIS因肺泡壁塌陷而呈m.

原位腺癌(AIS) LUNG NODULE v 原位腺癌(AIS)多为非粘液性,HRCT上表现为: • p. GGN,密度较AAH略高; • 直径一般> 5 mm; • 少部分AIS因肺泡壁塌陷而呈m. GGN。 v AIS的预后:很好,手术切除后5年生存率达 100%。 Lee HY, et al. Am J Roentgenol 2014; 202: W 224 -33. Myrna CB, et al. J Thorac Imaging 2012; 27: 240 -6. Travis WD, et al. J Thorac Oncol 2011; 6: 244 -85. Yang ZG, et al. Am J Roentgenol 2001; 175: 1399 -1407. 四川大学华西医院 22

LUNG NODULE

LUNG NODULE

LUNG NODULE

LUNG NODULE