Liver Gall Bladder Salivary Glands and Pancreas Liver
Liver, Gall Bladder, Salivary Glands, and Pancreas
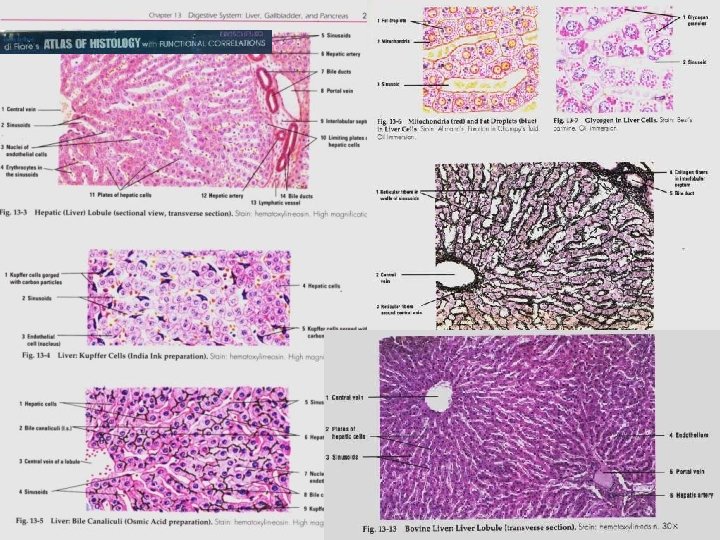
Liver
HSC histo 067 Pig liver 155
454 Liver
454 Liver
155 Gall bladder & liver, monkey – Triad with bile duct in Liver
Hepatic sinusoids 1. Hepatic sinusoid 2. Hepatocyte
118 Triad with bile duct and central vein Liver & spleen with colloidal carbon, rat
118 Triad with bile duct in Liver & spleen with colloidal carbon, rat
155 Liver of Gall bladder & liver, monkey
EM 2 Liver hepatocyte 1. Glycogen 2. Autophagosome 3. Mitochondria 4. Image 155
1. Hepatic sinusoid 2. Bile canaliculi 3. Space of Disse Image 155 EM 18
48
155 Gall bladder & liver, monkey
155 Plasma cells in gall bladder of Gall bladder & liver, monkey
126 Bile duct with portal vein, monkey
Salivary Glands
Salivary Glands
130
130 Submandibular gland - intercalated duct runs into Striated duct of salivary gland
Intercalated ducts 1. Serous gland 2. Demilume 3. Serous gland
440 salivary gland
19758 salivary gland
19758 salivary gland
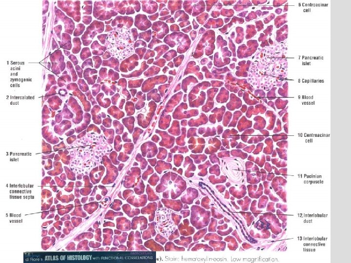
Pancreas
146 pancreas and Duodenum, monkey
157 Pancreas, monkey
158 Pancreas - Islets of Langerhans and maybe an islet cell within an anus?
36723
Intercalated ducts 36723
36723
Pancreatic acinar cell (EM 1) 1. Lumen 2. Zymogen granule 3. Vesicles 4. Central acinar cell EM 1 Image 36723
Liver, Gall Bladder, Salivary Glands, and Pancreas
Liver, Gall Bladder, Salivary Glands, and Pancreas
Digestive System esophagus stomach small intestine large intestine
- Slides: 40