Linfoma de Hodgkin Clsico Clsico rico en Linfocitos

  • Slides: 11
Download presentation
Linfoma de Hodgkin Clásico Ø Clásico rico en Linfocitos Ø Esclerosis Nodular Ø Celularidad

Linfoma de Hodgkin Clásico Ø Clásico rico en Linfocitos Ø Esclerosis Nodular Ø Celularidad Mixta Ø Deplesión Linfocítica

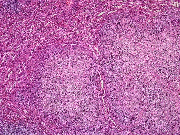
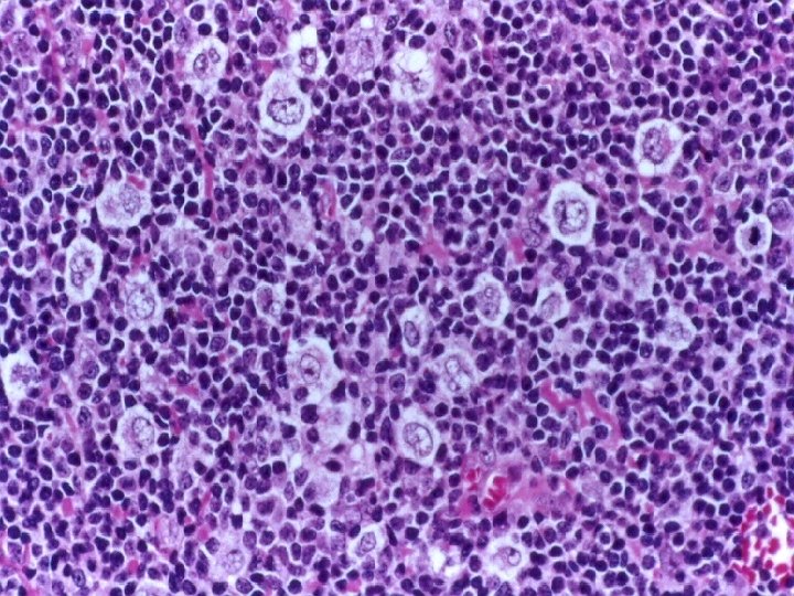
Linfoma de Hodgkin Clásico Rico en Linfocitos Ø Tumor difuso con células de Reed-Sternberg

Linfoma de Hodgkin Clásico Rico en Linfocitos Ø Tumor difuso con células de Reed-Sternberg de tipo clásicas frecuentes, con un trasfondo de linfocitos, escasas células plasmáticas y escasos eosinófilos. Ø Célula de Reed- Sternberg tiene una morfología e inmunofenotipo clásico Ø Patrón nodular con ausencia de CD 21+

Inmunohistoquímica Linfoma de Hodgkin Predominio linfocítico Linfoma de Hodgkin clásico rico en linfocitos CD

Inmunohistoquímica Linfoma de Hodgkin Predominio linfocítico Linfoma de Hodgkin clásico rico en linfocitos CD 20 + CD 20 - LCA + LCA - CD 15 + CD 30 - CD 30 + EMA -

Inmunohistoquímica Ø Grupo Alemán de estudio de Hodgkin LHPL 104 casos LH Clásico 104

Inmunohistoquímica Ø Grupo Alemán de estudio de Hodgkin LHPL 104 casos LH Clásico 104 casos 24% 12% Am J Pathol 1997; 150: 793 -803

Inmunohistoquímica 51% LHPL Ø 426 casos 27% LHCRL J Clic Oncol 1999; 17: 776

Inmunohistoquímica 51% LHPL Ø 426 casos 27% LHCRL J Clic Oncol 1999; 17: 776 -783.

Linfoma de Hodgkin Esclerosis Nodular Ø Ø Ø Bandas de colágena birrefringente Variante lacunar

Linfoma de Hodgkin Esclerosis Nodular Ø Ø Ø Bandas de colágena birrefringente Variante lacunar de células de Reed- Sternberg ( artefacto de fijación ) Trasfondo celular heterogéneo Patrón focal de esclerosis predomina en el diagnóstico ante otros patrones Linfoma de Hodgkin interfolicular es un patrón diferente

Linfoma de Hodgkin Esclerosis Nodular Grado I : + 75% de los nódulos tienen

Linfoma de Hodgkin Esclerosis Nodular Grado I : + 75% de los nódulos tienen células de Reed - Sternberg escasas en un trasfondo rico en linfocitos , celularidad mixta. Ø Grado II : más del 25% de áreas nodulares tienen deplesión de linfocitos , células lacunares anaplásicas o bizarras. Más del 80% de nódulos tiene variante fibrohistiocítica. Ø Ø Pobre respuesta a terapia inicial, mayor riesgo de recaida, menor sobrevida.

LHEN

LHEN