LHAMARTOME DU SEIN W TURKI S HADDAR CH
























- Slides: 24
L’HAMARTOME DU SEIN W. TURKI, S. HADDAR, CH. DABBECHE, KH. FAKH, M. FRIKHA*, M. GUERMAZI**, Z. MNIF, J. MNIF Service de Radiologie. * Service de carcinologie. ** Service de gynecologie CHU DE HBIB BOURGUIBA ET HEDI CHAKER DE SFAX
INTRODUCTION
L’hamartome du sein est une lésion bénigne rare (0. 1 à 0. 7 %) composé d’une mixture de tissu mammaire comprenant du tissu glandulaire, du tissu fibreux et de la graisse. L’identification de ces lésions est importante puisqu’elle permet d’éviter l’exérèse chirurgicale systématique. L’objectif de notre étude est d’illustrer l’apport de l’écho- mammographie dans le diagnostic des hamartomes du sein.
Matériel et méthodes
Matériel et Méthode : Revue rétrospective de 20 dossiers d’échomammographie pour lesquelles le diagnostic d’hamartome du sein a été porté.
Résultats
Résultats Il s’agit de 20 femmes agées de 20 à 70 ans La taille des hamartomes varie de 25 à 100 mm Aucun cas de dégénérescence maligne n’a été noté.
Mammographie La mammographie a montré: une masse circonscrite dans 13 cas, une masse de contours noyée dans le reste du parenchyme dans 4 cas et aucune masse n’a été détectée dans 3 cas (seins denses type IV).
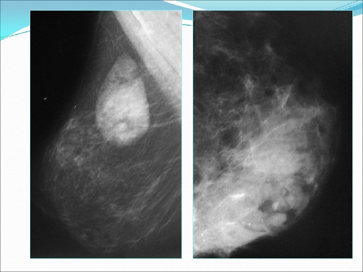
W B 32 ans , nodule du sein gauche
Echographie L’échographie complémentaire a montré dans tous les cas : une masse bien limitée, d’écho-structure hétérogène contenant des zones graisseuse et des zones hyperéchogène de tissu fibroglandulaires mesurant de 25 à 100 mm de grand axe.
DISCUSSION
Décrite initialement par Arrigoni et al en 1971 comme une structure histologique comprenant des structures glandulaires organisée en lobule, un stroma fibreux et de la graisse. L’hamartome a été identifiée en imagerie en 1978 comme une masse bien délimité hétérogène ayant une association variable de tissus mammaire et graisseux.
Il s’agit d’une lésion rare avec une incidence de 0. 1 à 0. 7 %. C’est une lésion bénigne qui ne récidive pas après chirurgie. Toutefois quelques cas de dégénérescence en carcinome in situ ou invasifs ont été reporté. Le diagnostic
Mammographie Typiquement, il s’agit d’une masse de taille variable Des contours bien circonscrit entourée par un liseré hyperdense correspondant à la pseudocapsule. Le contenu est hétérogène par la présence de plages hypodenses dont le volume est corrélé à la quantité de tissu adipeux et des plages hyperdenses correspondant au tissus fibroglandulaire. Cet aspect pathognomonique est propre aux hamartomes mixtes et est suffisant pour porter le diagnostic sans exploration complémentaire.
Echographie L’hamartome présente des aspects variable en échographie. Typiquement, il s’agit d’une masse solide bien limité (66% des cas dans les différentes séries). Cette lésion est compressible sous la sonde comme la majorité des lésions mammaires bénignes. L’échostructure interne de cette masse dépend de la composition relative en graisse et en tissu fibroglandulaire. Elle est hyperéchogène hétérogène dans la majorité des cas, isoéchogène dans 30% des cas.
Echographie L’échostructure interne de cette masse est hyperéchogène hétérogène dans la majorité des cas isoéchogène dans 30% des cas et dépend de la composition relative en graisse et en tissu fibroglandulaire. Un halo entre la masse et le restant du parenchyme mammaire est visualisé dans 40 à 50 % selon les études. Et ne correspond pas à une véritable capsule mais en fait à une compression du tissu graisseux autour de la masse
Echographie La présence de microcalcifications intra tumorale est suggestive de dégénérescence maligne. L’effet sur des échos postérieurs est variable : Une absence d’effet dans 80% des cas. Un renforcement postérieur est visualisé dans 10% selon les séries. Une atténuation postérieure est considéré comme un signe de dégénérescence maligne mais peut être visualisé dans 10% des hamartome.
Apport de la biopsie Elle n’est pas d’un grand intérêt dans le diagnostic d’hamartome si le diagnostic est simple en échomammographie. Du fait qu’il est composé d’éléments glandulaire normaux organisée en lobule, le diagnostic histologique est difficile sur des petits fragments qu’apporte le micro et la macrobiospsie. Ce ci permet d’expliquer l’importante discordance diagnostique en histologie entre la biopsie à aiguille fine et la pièce opératoire.
CONCLUSION
L’hamartome du sein est une tumeur bénigne rare du sein. Il s’agit d’une masse ovalaire bien limitée de contours circonscrit hétérogène sans microcalcifications intra tumorales et qui est compressible sous la sonde en échographie/
Bibliographie 1. 2. 3. 4. 5. Arrigoni MG, Dockerty MB, Judd ES. The identification and treatment of mammary hamartoma. Surg Gynecol Obstet 1971; 133: 577– 582. Fisher CJ, Hanby AM, Robinson L, Millis RR. Mammary hamartoma: a review of 35 cases. Histopathology 1992; 20: 99 – 106 Park SY, Oh KK, Kim E-K, Son EJ, Chung WH. Sonographic findings of breast hamartoma: emphasis on compressibility. Yonsei Med J 2003; 44: 847– 854 Black J, Metcalf C, Wylie EJ. Ultrasonography of breast hamartomas. Australas Radiol 1996; 40: 412– 415 Helvie MA, Adler DD, Rebner M, Oberman HA. Breast hamartomas: variable mammographic appearance. Radiology 1989; 170: 417– 421.