LESIONS BENIGNES DU SEIN PLAN INTRODUCTION RAPPEL ANATOMIQUE
LESIONS BENIGNES DU SEIN
PLAN • • INTRODUCTION RAPPEL ANATOMIQUE ETUDE CLINIQUE EXPLORATION RADIOLOGIQUE �Mammographie �Echographie �IRM �Galagtographie �Radiologie interventionnelle • ETIOLOGIES �Pathologie kystique �Pathologie tumorale � TB intra parenchymateuses � TB intra canalaires � Autres �Pathologie inflammatoire • CONCLUSION
INTRODUCTION
• Lésions bénignes sein: très fréquente • svt découverte fortuite : dépistage • Les tumeurs bénignes du sein sont dominées par: ▫ Adénofibrome: femme jeune. ▫ Kyste du sein : femme en préménopause. • Aspects atypiques Dc # patho maligne • examens complémentaires souvent réalisés : ▫ la mammographie. ▫ l'échographie. ▫ voire une cytoponction à l'aiguille. toute discordance dans les résultats de ces examens/ clinique biopsie-exérèse
RAPPEL ANATOMIQUE
ETUDE CLINIQUE
INTERROGATOIRE • CDD: ▫ Autopalpation d’un nodule ▫ examen clinique ▫ mammographie • caractéristiques : ▫ signes inflammatoires ▫ Douleur ▫ variations avec le cycle • Facteurs de risque: ▫ ATCDs familiaux de Kc du sein, autres (ovaire+++) ▫ mastose histologiquement à risque ▫ risque hormonal : estrogènes ++
Examen physique • Inspection: ▫ ▫ seins : volume, forme, symétrie mamelon : ombilication, symétrie, aspect téguments : rougeur, vascularisation, oedème tuméfaction • Palpation: quadrant par quadrant ▫ Nodule : �siège �Limites, consistance �sensibilité �Mobilité (manoeuvre de Tillaux) ▫ pression mamelonnaire : écoulement sanglant ▫ Signes associés: cutané, ADP
MOYENS D’EXPLORATION • Mammographie • Echographie • IRM • Galagtographie • Radiologie interventionnelle
1/ Mammographie • 3 incidences : F - P – oblique externe • Clichés centrés et agrandis • Résultats : comparaison des 2 seins en opposant les clichés ▫ repérage et analyse d'une masse tumorale : �siège �Taille �Forme �contours �Densité
n. RONDE OVALE IRREGULIERE n. MACROLOBULEE
▫ micro calcifications : �FORME: ▫ classification de Le Gal �REPARTITION: ▫ Diffuses, éparses: Bénin ▫ Canalaires, segmentaires, Amas ( >5): Malin ▫ Les désorganisations architecturales : �Perturbation de l’architecture du sein, sans masse identifiable. ▫ Les signes associés : �rétraction cutanée/ mamelonnaire, �épaississement cutané (focal ou diffus) �adénopathies axillaires.
Classification de Le Gal des microcalcifications: 36% 0% 22% 52% 90%
Classification des anomalies mammographiques BIRADS de l'ACR • Anomalies mammographique� 5 catégories : ▫ ▫ ▫ ACR 1 �mammographie normale ACR 2 �aspect bénin ACR 3 �probablement bénin ACR 4 �suspect ACR 5 �malin
▫ ACR 2 �aspect bénin • • opacités rondes +/- macrocalcifications opacités ovalaires à centre clair image de densité graisseuse ou mixte cicatrices connues macrocalcifications isolées microcalcifications de type 1 selon Le Gal calcifications vasculaires. ▫ ACR 3 �probablement bénin • microcalcifications de type 2 selon Le Gal, en foyers unique ou multiples • nombreuses calcifications dispersées ou groupées au hasard • opacités rondes ou ovales, discrètement polycycliques, non calcifiées, bien circonscrites, non typiquement liquidiennes en échographie • asymétries focales de densité à limites concaves et/ou mélangées à de la graisse.
2/ Echographie • Examen non invasif, peu coûteux • la femme jeune < 30 ans +++ • complément de mammographie Technique: • Sondes de haute fréquence: 7 à 15 MHz. • Patiente en DD, les bras au dessus de la tête • Coupes transversales et longitudinales • Examen des aires gg axillaires, sus et sous clav • Doppler: flux sanguins tumoraux
Résultats: • masse: ▫ ▫ ▫ forme orientation contours Échogénicité ombre (atténuation, renforcement) effet sur les tissus voisins • les calcifications • la vascularisation • Des signes associés
3/ IRM • Non invasif, non irradiant • dérouler le volume mammaire sans compression • Etude multiplanaire avec des coupes fines de haute résolution Indications • Nodule de nature non étiquetée sur echo /mammo et la cytologie • facteurs de risque génétique • Femme porteuse de prothèse mammaire
Technique : • j 7 - j 14 du cycle, arrêt du THS (6 sem). • Procubitus+une antenne sein • Séquences T 1 et T 2 fat sat. • Avant et pendant injection de gado (dynamiques). • épaisseur de coupe: 3 mm. • Soustraction des images obtenues avant et après injection. • Confronter informations morphologiques et dynamiques: Courbes de rehaussement +++
• Critères bénignité en IRM: ▫ ▫ Contours LISSES Hypersignal T 2 HOMOGENE Pas de Rehaussement HOMOGENE • Limites: ▫ faux positif ▫ contre indication à l’IRM
4/ Galagtographie • Technique : ▫ C’est une mammographie associée à l’opacification par voie rétrograde d’un canal galactophore par un PDC iodé. • Indications : ▫ Écoulement unipore, séreux ou sanglant. • Risque infectieux • Tendance à être remplacée par la galacto IRM
5/ Radiologie interventionnelle • cytoponction ▫ guidage échographique ▫ aiguille fine sous cutanée avec aspiration douce + étalement sur lame ▫ Indication: �Kyste douloureux, volumineux, tendu. �Collection. �Ganglion. • Microbiopsies: ▫ ponction sur un nodule palpable avec guidage écho • Macrobiopsie : ▫ sous guidage stéréotaxique ▫ Foyer de micro calcifications suspect +++
ETIOLOGIES • Pathologie kystique • Pathologie tumorale • TB intra parenchymateuses • TB intra canalaires • Autres • Pathologie inflammatoire
PATHOLOGIE KYSTIQUE
KYSTE DU SEIN • femme 40 -50 ans +++ • CLINIQUE: ▫ Nodule unique, souvent située dans le QSE. Il est : �mobile, régulier, rénitent. �d'apparition soudaine en période prémenstruelle. �douloureux �Variable (volume , sensibilité ) /cycle. ▫ Absence de rétraction cutanée, ▫ +/- ADP axillaires homolatérales non suspectes.
KYSTE DU SEIN • MAMMOGRAPHIE: ▫ Opacité ronde ou ovale , +/- dense, homogène, à contours réguliers (pfs polylobés). ▫ Des calcifications pariétales circonférentielles ou partielles ▫ Unique ou multiple, ▫ unilatérale ou bilatérale
KYSTE DU SEIN • ECHOGRAPHIE: examen clé ▫ Aspect typique: �lacune transonore, à limites nettes, sans ou avec paroi fine régulière. �net renforcement postérieur ▫ Aspect atypique: �liquide épais, paroi épaisse, végétations internes, cloisons �diagnostic différentiel avec : �Adénofibrome, hématome, abcès �Cancer du sein
KYSTE DU SEIN • cytoponction ▫ Kyste douloureux ou volumineux ▫ Kyste atypique ▫ Kyste sur sein traité • IRM: ▫ Pas d’indication
Tumeurs bénignes intraparenchymateuses • Adénofibrome • Tumeur phyllode • Formations lipomateuses: • Hamartome • Lipome • cytostéatonecrose •
1. ADENOFIBROME • la plus fréquente des TB intraparenchymateuses. • femme jeune : 20 - 30 ans • hormono-sensible • Hyperplasie du tissu conjonctif lobulaire CLINIQUE • nodule isolé découvert de façon fortuite ▫ ▫ constant quel que soit le moment du cycle. bien limité, ferme, parfois dur. indolore. très mobile.
ADENOFIBROME • MAMMOGRAPHIE: ▫ ▫ Opacité dense, ronde ou ovalaire, bien limitée Contours nets, polylobés halo radio transparent Calcifications �typiques: grossières, confluentes, (pop corn) �atypiques: punctiformes ou linéaire
ADENOFIBROME ECHOGRAPHIE: • Forme typique: ▫ Nodule ovale à grand axe transversal ▫ Contours nets et réguliers. ▫ Hypoéchogène homogène avec renforcement postérieur, cônes d’ombre latéraux ▫ Mobile et compressible sous la sonde • Les formes atypiques sont fréquentes: ▫ lésions solides ne réunissant pas tous les critères de bénignité ▫ atténuation post (composante fibreuse et/ou calcique).
ADENOFIBROME • IRM : ▫ Rarement indiquée ▫ Iso signal en T 1 et iso ou hyper T 2 ▫ Rehaussement modéré et lent ▫ La présence de septa internes hypo-intenses est pathognomonique du diagnostic. • L'attitude pratique : ▫ surveillance rigoureuse, ▫ cytoponction ou microbiopsie.
3. TUMEUR PHYLLODE • Tumeur rare, • bénigne dans 60 à 70% • souvent après 40 ans • Evolution rapide CLINIQUE • Souvent palpables : formation bien limitée, ferme, non spécifique, mais augmentant rapidement de volume.
TUMEUR PHYLLODE • MAMMOGRAPHIE: ▫ Opacité dense, arrondie, hétérogène, ▫ polylobée, bien limitée, ▫ unique et de grande taille • ECHO: ▫ Formation solide bien limitée, de contours lobulés ▫ Echostructure +/- hétérogène, pfs renforcement postérieur ▫ Remaniements kystiques ou micro kystiques: évocateur de la lésion
TUMEUR PHYLLODE • Les arguments en faveur de la malignité sont : ▫ La taille supérieure à 3 cm, ▫ La présence de microcalcifications, ▫ La présence de remaniements microkystiques. • La biopsie-exérèse large++
4. HAMARTOME • Tissu mammaire normal séparé du reste glande par pseudocapsule. • MAMMOGRAPHIE: aspect pathognomonique ▫ Formation bien limitée associant des plages radio opaques et radio transparents entourée d’une pseudo capsule(aspect de sein dans le sein) • ECHOGRAPHIE: ▫ Nodule bien limité ▫ Echostructure hétérogène ( hypo iso et hyper échogène) = tissu normal ▫ Pf s aucune traduction • IRM n’est pas indiquée
HAMARTOME
5. LIPOME • Tumeur molle • Asymptomatique ou palpable • MAMMOGRAPHIE: ▫ Formation radiotransparente finement cerclée par une capsule opaque • ECHOGRAPHIE: ▫ ▫ Formation ovalaire ou arrondie Hypoéchogène parcourue de fines travées Limites nettes et régulières Sans atténuation postérieure du faisceau US
6. CYTOSTEATONECROSE • Dc facile si contexte connu: trauma, chirurgie • MAMMOGRAPHIE: ▫ Formation +/- radiotransparente ▫ Limites +/- épaisses ▫ Calcification progressive • ECHOGRAPHIE: ▫ Lésion kystique atypique: contenant des échos, à paroi interne mamelonnée ▫ Formation solide avec pfs atténuation postérieure • IRM: ▫ absence de prise de contraste des zones de cytostéatonécrose
Tumeurs bénignes intracanalaires • PAPILLOME: unique ou multiple
PAPILLOME • 30 -40 ans, • écoulement mammelonnaire, unipore, unilatéral, spontané ou provoqué, clair ou sanglant • Pfs: nodule, ferme, mobile • MAMMOGRAPHIE: ▫ Papillome+/-: opacité ds un sein peu dense ▫ Ectasie canalaire+++: opacités tubulées rétro aréolaires ▫ +/- Calcifications
PAPILLOME • GALACTOGRAPHIE: ex clé ▫ Défauts de remplissage ou des canaux tronqués ▫ Dic différentiel: bulles d’air, caillots de sang
PAPILLOME • ECHO: ▫ Élément échogène (homo/ hétérogène) au sein d’une ectasie canalaire ▫ +/- Dilatation galactoph pseudo kystique: image de végétation intra kystique ▫ Nodule solide histo
PAPILLOME • IRM: 3 aspects ▫ Petite tumeur, de contours régulièrs, au sein d’une ectasie canalaire, réhaussée selon courbe type 1 ▫ Masse irrégulière, rehaussée de façon précoce ▫ Normale NB: papillomes biopsie-exérèse • Risque accru de malignité • La distinction entre papillome et cancer papillaire est difficile en imagerie
PATHOLOGIE INFLAMMATOIRE • Mastites aigues • Mastites subaigue ou chronique
PATHOLOGIE INFLAMMATOIRE • • Douleur , inflammation locale, fièvre Mammon difficile Écho: performante Deux types : attitude thérapeutique différente • Mastites aigues • Mastites subaigue ou chronique: granulomateuses
1. Mastite aigue: PATHOLOGIE INFLAMMATOIRE • Urgence Dc/ ttt +++ • Deux types: ▫ Lymphangite: �mammo et écho: négatives ▫ Abcès: �mammo: opacité bords flous �écho: lésion liquidienne hétérog, paroi épaisse Pb +++: Dg #: mastite carcinomateuse
Abcès du sein
PATHOLOGIE INFLAMMATOIRE 2. Mastites subaigue et chronique: • Mastite à plasmocytes (galactophorite éctasiante): Signe pathognomonique=macrocalcif , linéaires, régulières, de topographie canalaire, se dirigeant vers aréole. • Tuberculose • Infections parasitaires • Sarcoïdose, Maladies auto-immunes…. • Idiopathique
Mastite à plasmocyte
LESIONS BENIGNES RARES Tumeurs myoépithéliales Tumeurs amyloïdes Adénome lactant Papillomatose juvénile Lésions frontières: cicatrice radiaire Angiomes Mastopathie fibreuse associée au diabète Ganglion intramammaire
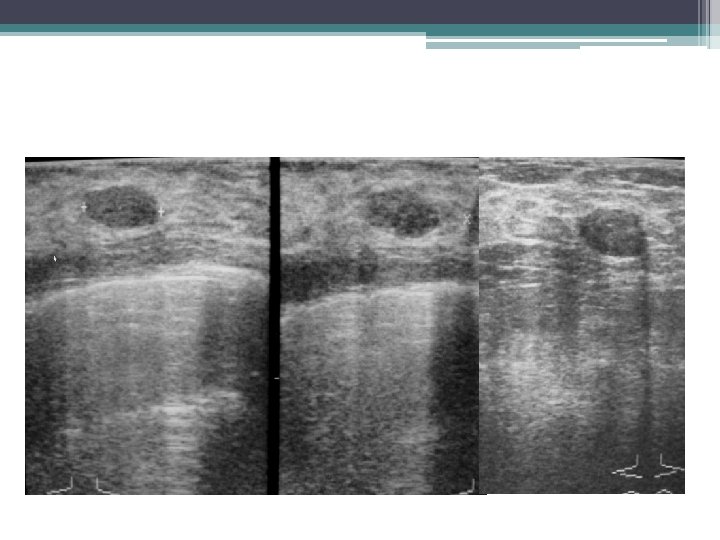
Ganglion intra-mammaire: • Très fréquent • MAMMOGRAPHIE: ▫ Opacité ovalaire bien limitée ▫ siège à la partie basse du prolongement axillaire ▫ avec centre ou encoche latérale transparente • ECHOGRAPHIE: ▫ Nodule hypoéchogène homogène à centre hyper échogène
Cicatrice radiaire ou centre prolifératif d’aschoff: • étio inconnue ( cicatricielle? ) • MAMMO: ▫ opacité stellaire à centre radiotransparent , avec longs spicules ▫ Dc #cancer +++ biopsie exérèse • ECHO: ▫ Normale+++ ▫ Image hétérogène, de contours irréguliers, atténuation post
centre prolifératif d’aschoff
Mastopathie Fibreuse diabétique: • Clinique: masse, dure, peu mobile, suspecte. • Mammo: ▫ normale. ▫ asymétrie de densité ou opacité mal limitée • ECHO: ▫ Image hétérogène, de contours lobulés et flous ▫ atténuation postérieure nette
CONCLUSION
• Pathologie bénigne du sein: lésions diverses • Certaines fréquentes (K et ADF): Dc aisé • D’autres rares, ambiguës autres investigations: cytoponction, biopsies guidées, rarement l’IRM.
- Slides: 69