Les traumatismes de la main Gnralits n 1
































































































- Slides: 96
Les traumatismes de la main
Généralités n 1 400 000 blessés par an n 620 000 sérieux ou graves
Répartition
IPP n n n 16, 5% des traumatismes de la main ont une IPP contre 9, 5% de l’ensemble des traumatismes Coût moyen: 13488 F 9063 F si IPP<10% 448373 F si IPP>10% Opération secondaire = surcoût de 100000 F
Bilan lésionnel et stratégie n Examen primaire difficile, doit déceler : n n n Lésion vasculaire majeure=dévascularisation Lésion tendineuse Plaie nerveuse Atteinte du squelette Tout traiter en urgence vraie permet : n n Diminution de la durée d’arrêt de travail Moins d’interventions secondaires
Classification des plaies de la main n Plaies nettes : n n Piqûre ou coupure Simple = tégument Complexes = os, peau, nerf, tendon Attention aux plaies punctiformes ou par verre
Classification des plaies de la main n n Ecrasement, arrachement, dilacération Accident de travail : n n n Artisans Ouvriers Evaluer : n n n Heure Mécanisme Contamination (morsures)
Classification des plaies de la main n Certains mécanismes ont des lésions spécifiques : n n Armes à feu et explosifs Injection sous pression Ecrasement par presse brûlures
Bilan au urgences n n Avant anesthésie et sans garrot Patient allongé et pansement humidifié Inspection = plaie Bilan moteur : n n Difficile car douleur et fractures Bilan sensitif : n n Sensibilité pulpaire Tester les 3 territoires
Bilan aux urgences n Bilan vasculaire : n n Recoloration du lit unguéale Remplissage pulpaire
Au terme du bilan il faut expliquer au patient : n n La stratégie chirurgicale et son but Expliquer si des amputations sont nécessaires Expliquer les possibilités de reconstruction Expliquer que sa participation post opératoire est fondamentale pour la fonction de sa main
Bilan chirurgical n n Lavage et brossage +++ Exploration : n Plan par plan et tissu par tissu : Revêtement cutanée n Muscles n Vaisseaux n Nerfs n Os et articulations n tendon n
Stratégie chirurgicale n Stabilisation du squelette : n n n solide pour une mobilisation précoce Revascularisation Couverture cutanée Réparation tendineuse Lésions musculaires Réparation nerveuse
Entorses et luxations des doigts Pouce Doigts longs
Pourquoi différencier pouce et doigts longs n Pour tout traumatisme du pouce il faut toujours prévilégier la stabilité n Pour tout traumatisme des doigts longs il faut toujours prévilégier la mobilité
Entorse de la MP du pouce n n n LLI = stabilité latérale en opposition Lésion fréquente Sport : ski et ballon AVP : moto En cas de négligence : risque de séquelle grâves par instabilité de la pince
Les particularité du LLI n n n Effet STENER Pas de cicatrisation spontanée Chirurgie indispensable en cas d’effet Stener
Tableau clinique n n Mécanisme Douleur diffuse ou interne sur la MP Oedème, hématome Impotence fonctionnelle pouce
Radiographie n n n Face et profil de la MP Arrachement articulaire Subluxation palmaire
Radiographie : subluxation palmaire
Le problème : n n n Évaluer la grâvité de l’entorse : Pas grave = Tt orthopédique Grave = Tt chirurgical n. Clichés dynamiques
Clichés dynamiques n Sous AL +++ MP fléchie n + si > 30° n
Recherche de laxité
Traitement n Entorse bénigne n Gantelet avec colonne de pouce pendant 1 mois
Traitement n Entorse graves n Réinsertion chirurgicale du ligament
Luxation MP pouce n n n Hématome + œdème Douleurs et impotence Pouce en Z ++
Traitement n Réduction par la manœuvre de Faraboeuf Gantelet avec colonne de pouce 1 mois n Prévilegier la stabilité à la fonction n
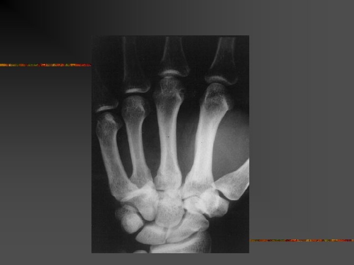
Entorse des doigts longs n n n Entorse IPP palmaire Sport de ballon ++ Clinique : n n n Douleur + impotence Hématome Œdème
Entorses doigts longs n Radiographie : Normale n Arrachement osseux = Désinsertion de la plaque palmaire n
Traitement n n Prévilégier la mobilité à la raideur +++ Syndactylie 3 semaines Reprise du sport à 6 semaines Consultation à 6 semaines et 3 mois
Syndactylie = Tt fonctionnel
Séquelles n n Prévenir le patient aux urgences : Augmentation volume IPP définitif Douleur chronique 1 an Risque de rétraction en flexion
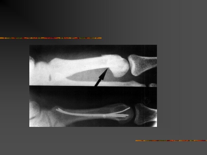
Luxation des doigts longs n 3 déplacements possibles : n n n Dorsal : le plus fréquent (80%) Latéral Palmaire : exceptionnel
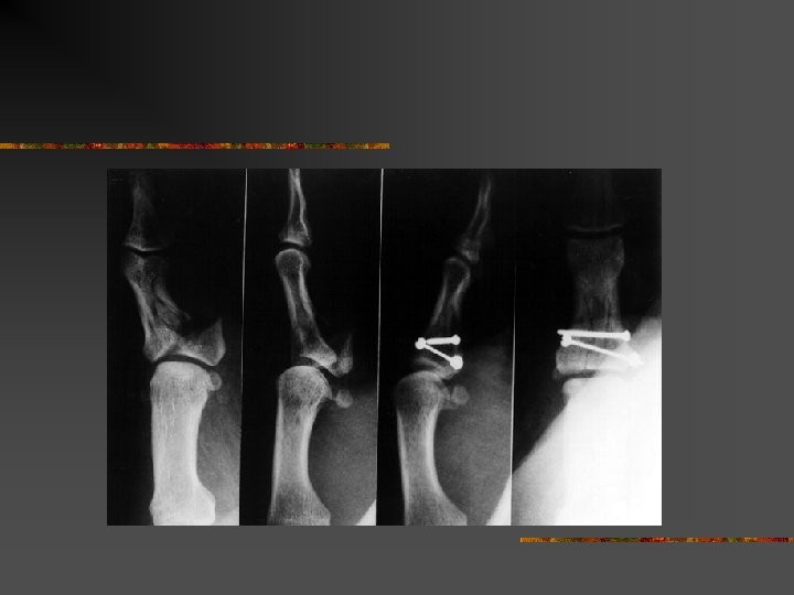
Luxation dorsale n n IPP +++ Traumatisme en hyperextention Tableau radioclinique évident Mais faire radio avant réduction aux urgences
Traitement n n Réduction par traction dans l’axe Testing : n n n Si < 40° = traitement fonctionnel Si > 40° = attelle segmentaire 15 jours puis mobilisation Rarement chirurgicale
Luxation latérale n n Stable après réduction= Tt fonctionnel Instable = Tt chirurgical
Luxation palmaire n n Rare Traumatisme en flexion violent Correspond à une désintertion de la bandelette médiane Traitement chirurgical
Luxation métacarpophalangienne n n Réduction par traction dans l’axe Tt fonctionnel
Luxations et fractures luxations carpométacarpiennes n n n Rare Traumatismes violents (moto, rixe) Diagnostic difficile Le traitement est presque toujours chirurgical Risque de séquelles douloureuses si négligées
Clinique n n n Gros œdème face dorsale de la main Impotence fonctionnelle Palpation de la base des métacarpiens en souscutanée si vu précocement
Radiographie n n Face+profil+3/4 Scanner en cas de doute Profil stricte
Radiographie n Sur la radio de face il faut cher l’interligne carpométacarpien
Luxation M 4 M 5
Radiographie n Sur le profil il faut recher un décalage postérieur
Radiographie n n En cas de clinique évocatrice et de radiographies standards douteuses Faire un scanner avec reconstruction dans le plan sagital
Traitement n Chirurgical : n n n Abord chirurgical de l’articulation Réduction sous contrôle de la vue Stabilisation par broche
Fractures des métacarpiens et des phalanges
Mécanismes déplacements n n Métacarpiens Phalanges : P 1 et P 2 Fracture de Bennet = base de M 1 Fracture de la base du 5 eme métacarpien
Métacarpiens n Déplacement palmaire sous l’effet des interosseux
Première phalange n Déplacement dorsal : n n Interosseux tirent sur la base Extenseurs tirent en dorsal sur le col de P 1
Deuxième phalange n n Fracture avant l’insertion du fléchisseur Déplacement palmaire
Deuxième phalange n n Fracture après l’insertion du fléchisseur Déplacement dorsal
Fracture de Bennet n n Traction du long abducteur du pouce Déplacement inéluctable
Fracture de la base de M 5 n n Traction du cubital postérieur Déplacement inéluctable
Examen clinique : n Evaluer la déformation n Angulation : Palmaire/dorsale n Latérale n n Rotation +++ Trouble de rotation = chirurgie n Difficile à évaluer n
Examen clinique : n Evaluation de la rotation : n Métacarpien : Examen en flexion n Les doigts convergent vers le tubercule du scaphoide n n Phalange : Examen en extension n Orientation des ongles n
radiographie n Incidences : n n Face Profil +/- pronation 30° +/- suppination 30°
Méthode de traitement n n n Mobilisation immédiate = Tt fonctionnel Traitement orthopédique = immobilisation Traitement chirurgical = n n n Broches Vis et plaques Fixateur externe
Indications n Traitement fonctionnel : n n n syndactylie Fractures stables Fractures non déplacées Surveillance hebdomadaire pendant 3 semaines Consolidation en 6 semaines C’est la méthode qui donne les meilleurs résultats
Indications : n Traitement orthopédique : n n n Immobilisation sur attelle Fractures stables après réduction < 3 semaines sinon risque de raideur +++
Indications : n n Traitement chirurgical : Le but : n n Montage solide pour mobilisation précoce Eviter les raideurs
Indications : n Quelles fractures opérer ? Fractures instables ouvertes ou fermées (Fractures qui se déplacent spontanément après réduction) n Fractures articulaires n
Le doigt en maillet n n Désinsertion de l’extenseur sur P 3 Arrachement osseux parfois
Le doigt en maillet
Traitement n n n Orthopédique+++ Attelle en extension pendant 6 semaines nuit et jour Puis 15 jours la nuit
Injection sous pression n n Rare Grave si négligé Huile, peinture, eau Clinique : n n 1 point d’entrée Gros doigt douloureux
Injection sous pression n CAT : n n n Radiographie Urgence chirurgicale Risque de nécrose du doigt
Traitement n n n Toujours chirurgical Dans les 24 heures Excision des tissus infiltrés
Dégantement digital n Arrachement de l’étuie cutané et des pédicules n Ring finger n Toujours grave
Dégantement digital n Avulsion cutanée + 3ème phalange +/- fléchisseur profond
Dégantement digital n Traitement : n n n Replantation Pontage vasculaire Pronostic fonctionnel mauvais
Traumatisme par blast n n Onde de choc forte Blast solide : lésions vasculaires nerveuses et osseuses Blast aérien : lésions viscérales Lésions complexes pluritissulaires
Matériel et méthodes n n n Etude rétrospective de 24 dossiers Entre 1976 ET 2002 Age moyen : 25, 6 ans (13 à 61 ans) 50% < 20 ans Lésions unilatérales : 20 Lésions bilatérales : 4
Résultats n Agents vulnérant : n n n 10 bombes artisanales 5 pétards 3 grenades 3 pétard à taupe 2 dynamites 1 détonateur
Homme 16 ans. Traumatisme des deux mains par bombe artisanale
Homme 16 ans. traumatisme des deux mains par bombe artisanale amputation à gauche et lambeau IOP à droite
Homme de 61 ans. Traumatisme index droit par pétard à taupe. Dévascularisation. Revascularisation par pontage veineux
Au total n n Gravités des lésions Patients jeunes Consolidation moyenne de 28 semaines Sur 24 patients : n n n 1 amputation bilatérale en avant bras 1 amputation de la main 8 mains séquellaires graves : 5 mains sans pouce n 1 pouce sans main n 2 mains figées n
Traitement : n En urgences : n n Entre J 3 et J 5 : n n n Parage Stabilisation des lésions osseuses Revascularisation Parage secondaire Couverture Prévention +++