Les surcharges Accumulation de matriel intra etou extracellulaire

  • Slides: 30
Download presentation
Les surcharges Accumulation de matériel intra et/ou extracellulaire. Matériel d’origine exogène ou endogène

Les surcharges Accumulation de matériel intra et/ou extracellulaire. Matériel d’origine exogène ou endogène

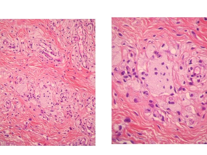
Substances d’origine exogène Réaction à corps étrangers

Substances d’origine exogène Réaction à corps étrangers

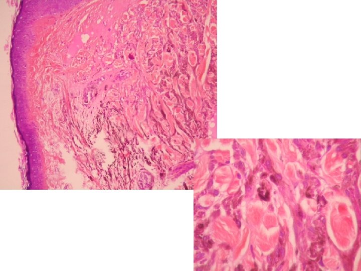
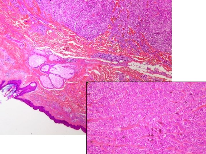
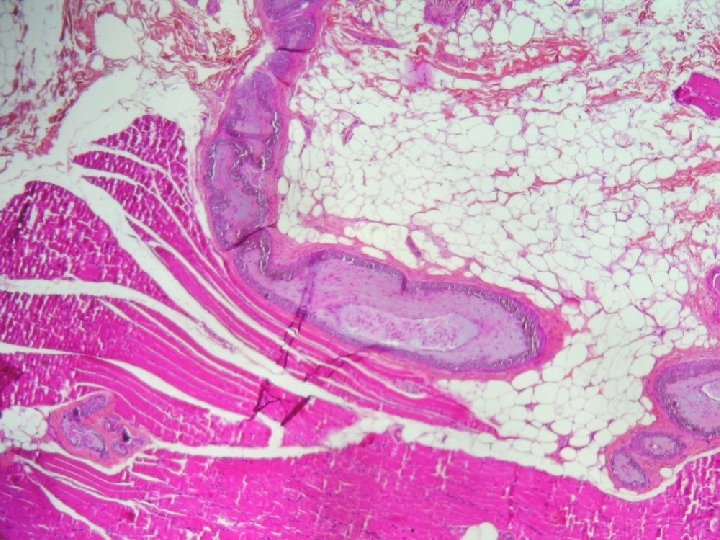
Prélevement cutané avec des lésions pseudo tumorales. epiderme

Prélevement cutané avec des lésions pseudo tumorales. epiderme

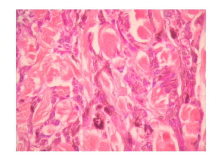
En profondeur du derme on retrouve le granulome. Au contact des particules blanches (corps

En profondeur du derme on retrouve le granulome. Au contact des particules blanches (corps étrangers), on retrouve des éléments faisant penser à plus fort grossissement que les corps étrangers ont été phagocytés par des macrophages.

Matériel d’origine endogène La mélanine

Matériel d’origine endogène La mélanine

Naevus bleu- lésion dermiqu

Naevus bleu- lésion dermiqu

Mélanome

Mélanome

HES Fontana

HES Fontana

Surcharges endogènes pseudo tumorales ex : accumulation de cholestérol

Surcharges endogènes pseudo tumorales ex : accumulation de cholestérol

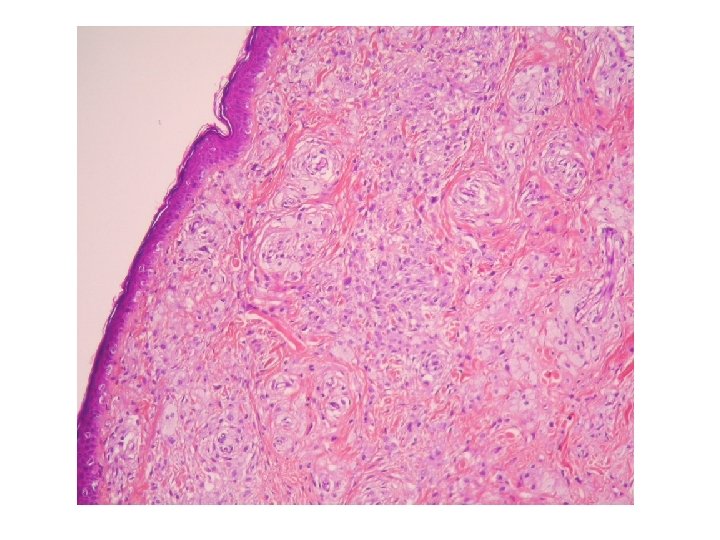
Xanthome cutané

Xanthome cutané

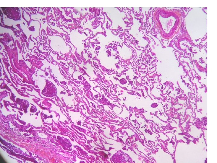
Surcharge en fer: hémosidérose • Hémosidérose localisée: hématome, poumon cardiaque • Hémosidérose généralisée primitive:

Surcharge en fer: hémosidérose • Hémosidérose localisée: hématome, poumon cardiaque • Hémosidérose généralisée primitive: génétique : hémochromatose • Hémosidérose généralisée secondaire

Hémosidérose localisée: poumon cardiaque

Hémosidérose localisée: poumon cardiaque

HES Perls

HES Perls

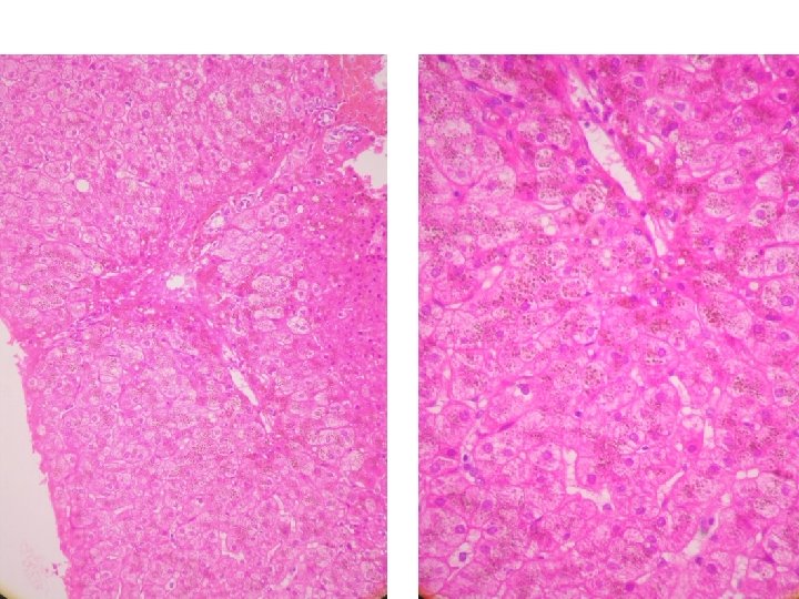
Hémochromatose hépatique

Hémochromatose hépatique

HES Perls

HES Perls

Les calcifications • Liées à une hypercalcémie: diffuses sur des tissus sains , médiacalcose

Les calcifications • Liées à une hypercalcémie: diffuses sur des tissus sains , médiacalcose des artères • Calcification dystrophiques , localisées: nécrose tissulaire lésions des substances intercellulaires

médiacalcose

médiacalcose

HES Von Kossa

HES Von Kossa

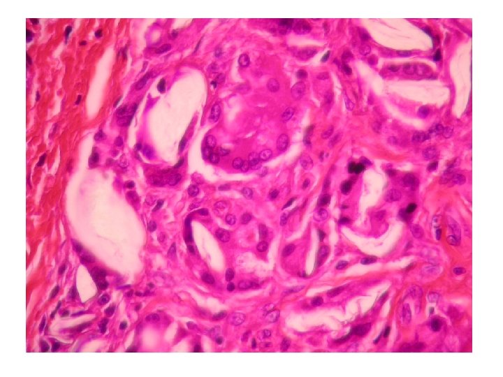
Calcifications dystrophiques: cancer papillaire du poumon

Calcifications dystrophiques: cancer papillaire du poumon

HES Bleu Alcian

HES Bleu Alcian

HES VON KOSSA

HES VON KOSSA