Les malformations vasculaires spinales Evelyne EMERY DES Avril

























































- Slides: 57
Les malformations vasculaires spinales Evelyne EMERY DES – Avril 2003
Malformations vasculaires spinales • MAV spinales • Cavernomes • exclusion : hémangiome vertébral Kyste anévrysmal
Rappel anatomique • Vascularisation de la moelle épinière
Vascularisation de la ME
Epidémiologie - classification • Fréquence: rare – incidence : 2% à 11% – Malf Vasculaire Spinale/ MAV cérébrale: 1/4 – MAV im : 1/1 Million d ’habitants • Classification de Spetzler : concept du nidus – analyse angiographique – 4 types : I à IV
Classification
Classification
Classification • Type I : MAV durale = fistule durale AV – la plus fréquente – a. afférente durale radiculaire – jonction avec un micronidus intradural – drainage veineux à la surface dorsale de la ME – Type IA : 1 branche a. afférente – Type IB : pls branches a. afférentes
Fistule AV durale
Classification (2) • Type II : MAV intra-médullaire ( idem MAV cérébrale) – nidus compact dans le parenchyme médullaire – alimentée par pls branches en provenance de l ’a. spinale antérieure – drainage veineux périmédullaire
Classification (3) • Type III : MAV intramédullaire à extension extramédullaire – rare, patient jeune – malformations volumineuses, complexes avec pls axes nourriciers provenant de pls niveaux vertébraux
Classification (4) • Type IV : FAV intradurales périmédullaires – à la partie antérieure de la ME – alimentée par l ’a. spinale antérieure – drainage veineux direct dans une veine périmédullaire • IV A • IV B • IV C IVA
Physiopathologie Mécanismes potentiels pour la révélation clinique – hyperpression veineuse avec congestion veineuse ischémie médullaire – hémorragie – compression médullaire par anévrismes ou varices – vol vasculaire ischémie – thrombose veineuse Myélopathie et/ou symptomatologie radiculaire
Diagnostic radiologique • Myélographie? A éviter • IRM médullaire ++++ • Angiographie médullaire sélective +++ • Angio. MR ?
Fistules durales AV • 70% de toutes les malformations vasculaires spinales • région thoracique basse et cône médullaire • bas débit - hyperpression veineuse intramédullaire • sexe et age : H > 40 ans (50 -70 ans), H/F : 5/1 • origine acquise (trauma? )
Fistule durale AV • Physiopath – nidus situé dans la DM en regard du foramen intervertébral – alimenté par a. radiculaire (sans composante d ’a. médullaire) – un pédicule afférent (le + svt) – shunt à vitesse de flux basse
Fistule durale AV • Physiopath: – du gradient de pression artérioveineuse – chronique de la pression veineuse – vasodilatation des veines intramédullaires – engorgement médullaire démyélinisation – perte ç dans les cornes antérieures dans la ME caudale Myélopathie + s. radiculaires
Fistule AV durale • Clinique : durée des symptômes 2 à 3 ans – myélopathie progressive • • • douleurs, fatigabilité à la marche +++ faiblesse motrice troubles sensitifs syndrôme pyramidal troubles sphinctériens – Aggravation à l ’effort – tableau subaigu rare
Fistule AV durale • Diagnostic: Place de l ’angio MR ? – IRM : • Vx dilatés périmédullaires • hyper T 2 intramédullaire (oédème) • pas de visualisation de la fistule – Artério sélective: • • localiser la fistule (nidus intradural) un pédicule afférent veine de drainage dilatée périmédullaire vérifier afférence médullaire
Fistule AV durale
Fistule AV durale
Fistule AV durale • Diagnostic différentiel: – Vx dilatés à l ’IRM et A° négative • compression tumorale • CLE • obstruction veine cave – Hyper signal T 2 • tumeur médullaire • myélite • SEP
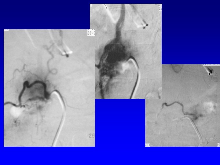
Fistule Durale AV • Artériographie – localisation précise de la fistule – cher 1 ou pls afférences artérielles – le plus souvent fistule postérolatérale – le plus souvent pas d ’artère médullaire conjointe
Fistule AV durale
Fistule AV durale
Fistule AV durale
Fistule durale AV • Traitement – Chirurgie ou Embolisation
Fistule durale AV • Chirurgie : – coagulation et section de la Veine de drainage – coagulation du nidus dural (+/-) – geste simple, facile, définitif – repérage artériographique précis – morbidité très faible
Fistule durale AV • Résultats de la littérature – Symon et al. (1995): 55 patients dont 50 opérés • 65% d ’amélioration si gravement atteints • 80% d ’amélioration si atteinte modérée – Sleiman et al. (1999) : 10 patients dont 9 opérés • amélioration dans tous les cas La récupération neurologique dépend du déficit neuro pré -op et de la durée des symptômes
Fistule AV Durale • Eskander et al, J. Neurosurg, 2002 – 26 patients : 23 E°, 3 Chir • 9 échecs d ’E° (39%)
Fistule AV durale • Embolisation: – injection d ’histoacryl après KT super sélectif de l ’a. radiculaire – occlure le segment initial de la veine – occlure la région de la fistule et la partie finale de l ’artère afférente – pas d ’occlusion de la veine ascendante de drainage ++++
Fistule AV durale Après E°
Fistule AV durale • Embolisation: – peut être faite pendant l ’A° Dc – Informer le patient – succès dans 70% des cas – risque de reperméabilisation chirurgie – morbidité faible
Fistule durale AV • Quel traitement choisir? – Terrain fragile : E° – Fistule antérieure : E° – Fistule conjointe à une artère radiculomédullaire : Chirurgie – Chirurgie simple, traitement définitif, morbidité faible
Type II MAV intramédullaire • Rare, haut débit, sujet jeune (20 - 40 ans), • congénitale • alimentée par pls branches en provenance de l ’a. spinale antérieure (+/- post) et drainage veineux périmédullaire Il peut y avoir 1 apport artériel à la fois pour la MAV et la ME
MAV intramédullaire
MAV intramédullaire
Type II • Symptomatologie brutale : – hémorragie sous arachnoidienne ou intramédullaire déficit neurologique brutal • Traitement : E° +/- Chirurgie – chirurgie difficile (Vx fragiles, ht débit, coagulation difficile) – technique idem à MAV cérébrale
Type II
Type II
2 afférences
MAV im
Type III « Juvenile MAV » • Très Rare, sujet jeune, ht débit • MAV intramédullaire et extramédullaire • symptomatologie brutale • Traitement : E° • pronostic grave
Type IV Fistules Périmédullaires IVA IVB IVC Située à la surface piale, topo ventrale ou latérale, ne pénètre pas la moelle, drainage veineux périmédullaire
Type IV • Type IV A : petite fistule, bas débit • Type IV C : grosse fistule, Ht débit • symptomatologie : myélopathie hémorragie possible type IVA : chirurgie (coagulation - section) type IVB : Chir ou E° type IVC : E°
Résumé MAV spinales
Conclusion
Cavernomes intramédullaires • • Très rare, F>H, cavernomatose familiale ou sporadique, topo cervicale ou thoracique 3 tableaux cliniques révélateurs – accès de déficit neurologique régressif – aggravation neurologique lente – déficit brutal Hémorragie, croissance lésionnelle, modifications de la microcirculation périlésionnelle
Cavernomes intramédullaires • Diagnostic IRM • TTT : Chirurgie si symptomatique • exérèse complète
cavernome spinal
Cas clinique • H, 88 ans • ATCD : – Tachycardie supraventriculaire – K colique opéré • HDM: – gêne progressive à la marche depuis 2 mois – marche devenue impossible
Cas Clinique (suite) • Examen: – Paraparésie 3/5 stt à Drte – Niveau sensitif D 11 – Troubles sphinctériens • quelle(s) hypothèse(s) Dc? • Examen Radio?
Cas clinique (suite)
Cas clinique (suite)
Cas clinique
Cas clinique