Les Lymphomes H NH Le systme lymphatique est










































































- Slides: 74
Les Lymphomes (H & NH)
Le système lymphatique est constitué de vaisseaux et de tissus lymphoïdes (ganglions et autres organes). La lymphe transporte les déchets produits par l'organisme. Par l'intermédiaire de canaux de diamètre de plus en plus important, ce liquide tissulaire rejoint finalement la circulation sanguine. Avant que la lymphe ne parvienne dans le sang, elle traverse au moins un ganglion lymphatique.
Les ganglions lymphatiques sont les stations d’épuration du système lymphatique: ils rendent inoffensifs les agents pathogènes, notamment les bactéries et les virus. Les ganglions lymphatiques se trouvent en divers endroits du corps: par exemple dans le cou (A), au niveau des aisselles (B), le long de la trachée (C), à proximité des poumons (D), près de l'intestin et derrière la cavité abdominale (E), dans la région du bassin (F) et au niveau de l’aine (G).
Rappel sur la structure ganglionnaire normale Capsule Région Follicule s primaires sous-capsulaire Follicules corticale secondaires Medullaire Centrocytes Centroblates D. Bordessoule 2013
Outre les ganglions lymphatiques, du tissu lymphoïde est également présent dans d’autres organes, notamment au niveau de l'arrière-gorge (pharynx), des voies respiratoires, de la rate, de la paroi intestinale et de la moelle osseuse. Dans le tissu lymphoïde, on trouve un certain type de globules blancs, dont les lymphocytes. Les lymphocytes sont produits dans la moelle osseuse, les ganglions lymphatiques et la rate. Ils circulent dans la lymphe et dans le sang. Ils jouent un rôle important dans la lutte contre les microbes et dans la production de substances de défense.
La maladie de Hodgkin
DEFINITION La maladie de Hodgkin est une forme de cancer du système lymphatique. Elle est anatomo-pathologique : Lymphome malin qui se distingue des autres lymphomes appelés non-hodgkiniens (LNH) par la présence de grandes cellules à noyau polylobés et multinucléolés (les cellules de Sternberg ou cellules de Reed-Sternberg).
HISTORIQUE Description clinique en 1832 par Thomas Hodgkin qui l'a reconnu comme étant une atteinte primitivement ganglionnaire par opposition aux atteintes ganglionnaires secondaires aux infections ou aux cancers. Les descriptions anatomopathologiques datent de 40 ans plus tard (Langhans puis Sternberg et Reed). La maladie de Hodgkin est actuellement incluse dans la classification des syndromes lymphoprolifératifs. Ceci explique la tendance actuelle à l'appeler lymphome de Hodgkin.
EPIDEMIOLOGIE Incidence - Aux USA : 41000 nouveaux cas de LNH par an, 7400 nouveaux cas de MH par an - Environ 3 nouveaux cas de MH par an pour 100 000 habitants. - Larges variations géographiques (0, 5 à 4 pour 100 000) - Diminution progressive de l'incidence (- 12 % aux USA entre 1973 et 1991) - Prédominance masculine (ratio de 1, 4 : 1) - Quelques cas familiaux
Distribution bimodale en fonction de l'âge - Age médian : 27 ans - Pic pour adolescents et adultes jeunes (15 à 35 ans) - Pic pour sujets plus âgés (> 50 ans) - Cette distribution bimodale tend à s'estomper progressivement
Facteurs de risque associés Facteur infectieux - EBV (Virus d'Epstein-Barr) : Des antécédents de mononucléose infectieuse augmentent le risque d'apparition de 2 à 13 fois. Le génome d'EBV est retrouvé dans 20 à 80 % des cellules de Sternberg avec une fréquence maximale pour les sujets jeunes, les sous-types à cellularité mixte et les cas familiaux. La relation de cause à effet entre EBV et MH reste cependant encore difficile à affirmer formellement. - HHV-6 (Human Herpesvirus-6) : Ce virus a été isolé initialement chez des patients immunodéprimés ou atteints de syndrome lymphoprolifératif. Il est par ailleurs responsable de l'exanthème subit. La relation de cause à effet est incertaine. - VIH (Virus de l'Immunodéficience Humaine) : Le risque de MH est majoré de 5 à 8 fois chez les sujets positifs pour le VIH. Au cours du sida, l'incidence des LNH est supérieure à celle des MH
Facteurs environnementaux Quelques hypothèses mais aucun argument formel Prédisposition génétique Les facteurs génétiques existent certainement mais sont insuffisants isolément : - Existence de cas familiaux (environ 1 % des cas ) - Risque nettement augmenté mais néanmoins très inconstant (< 5 %) pour les jumeaux homozygotes
* Les progrès thérapeutiques sont les plus anciens ++ en 1832 décrite à Londres par Thomas Hodgkin • • > maladie spontanément mortelle. en 2006 • > 90 % guérison formes localisées. • > 50 % guérison formes disséminées. D. Bordessoule 2013
IHISTOPATHOLOGIE 1) Définition: Destruction partielle ou totale de l’architecture normale du ganglion : par une prolifération de cellules tumorales de type Reed-Sternberg : volumineuses cellules à noyaux irréguliers bi ou multilobés, à cytoplasme abondant avec un ou plusieurs nucléoles ( CD 30+) avec parfois un aspect en miroir: 2 lobes nucléolés se faisant face des réactions tissulaires qui permettent de définir plusieurs types histologiques hyperplasie lymphoïde majoritairement T (CD 4) et B avec plasmocytes granulome avec des éosinophiles sclérose. : D. Bordessoule 2013
2) 4 variétés histologiques de Hodgkin : Classification Lukes-Rye. type 1 : prédominance lymphocytaire (5%) type 2 : sclérosante nodulaire (60%) = larges lames de collagène découpant le parenchyme ggl en nodules. type 3 : cellularité mixte (30%). type 4 : déplétion lymphoïde (5%). Valeur pronostique de cette classification 3) Origine de la cellule Reed-Sternberg origine B pas pathognomonique maladies inflammatoires (PR), MNI, carcinomes étastatiques. D. Bordessoule 2013
ASPECTS CLINIQUES Histoire naturelle L'atteinte initialement ganglionnaire unifocale se propage par voie lymphatique aux territoires adjacents avant de disséminer éventuellement par voie hématogène à des organes non lymphoïdes. Par ordre de fréquence, l'atteinte anatomique primitive est d'abord intrathoracique puis cervicale puis inguino-crurale puis lombaire ou axillaire. A partir des territoires intrathoraciques ou cervicaux, l'extension se fait vers les creux sus -claviculaires et les aisselles ; à partir des territoires sousdiaphragmatiques, elle se fait vers les creux sus-claviculaires principalement gauche en respectant habituellement le médiastin. A partir d'un creux axillaire l'extension se fait vers le creux sus-claviculaire homolatéral. Les lésions viscérales peuvent résulter d'une dissémination hématogène mais aussi d'une extension par contiguïté à partir d'une zone ganglionnaire. Selon le mécanisme d'extension viscérale, le pronostic en est fondamentalement différent (ceci explique les classification en stade IE ou IIE si l'atteinte résulte d'un envahissement de contiguïté).
Mode de découverte L'un des aspects les plus fréquents est la découverte d'une adénopathie chez un adulte jeune lors d'un examen médical systématique ou par le patient lui-même. La localisation ganglionnaire la plus fréquente est alors cervicale ou sus-claviculaire, moins souvent axillaire et rarement inguinale. La découverte d'une masse médiastinale antérieure sur un thorax de routine n'est pas inhabituelle. Le deuxième mode de révélation fréquent est l'apparition de symptômes dont aucun n'est spécifique mais dont la persistance ou leur association doit faire évoquer cette hypothèse diagnostique : - asthénie - fièvre surtout vespérale, quelquefois entrecoupée de quelques jours d'apyrexie - hypersudation nocturne - perte de poids (> 10 % du poids dans les 6 derniers mois) - prurit qui peut précéder les autres signes de plusieurs semaines
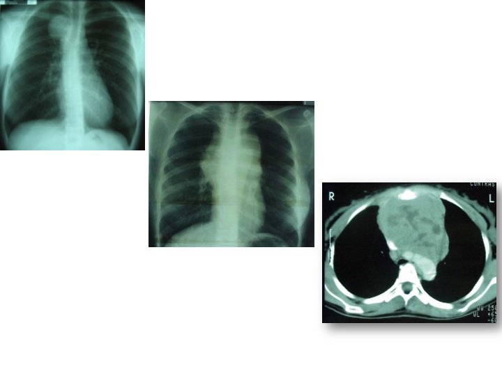
découverte sur la radio du thorax dans le cadre de la médecine scolaired’une hypertrophie médiastinale : opacité polycyclique, asymétique. siège médiastin antéro-supérieur. non compressive D. Bordessoule 2013
LE DIAGNOSTIC DE CERTITUDE est histologique d’un ganglion superficiel ou profond par abord médiastinal par thoracolaparotomie ou la BOM Classification en 4 stades (Lukes-Rye). La ponction ne remplacera jamais la biopsie. D. Bordessoule 2013
BILAN D’EXTENSION But : faire l’inventaire des territoires atteints des signes généraux du performans status du patient. d’où découlent pronostic et indications thérapeutiques. D. Bordessoule 2013
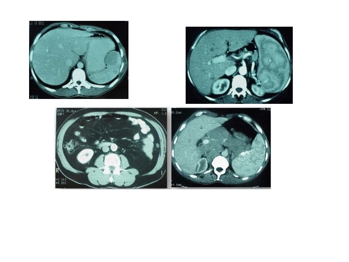
Examen clinique L'examen clinique mettra en évidence certaines localisations de la maladie. Les ganglions lymphatiques restent le site privilégié de l'atteinte. Les adénopathies sont plutôt fermes et peuvent être volumineuses, devenant confluentes et formant de grosses masses tumorales. Les principales aires concernées sont le cou, les creux axillaires, le médiastin antérieur et la région lombo-aortique. La rate est souvent envahie (environ 40 % des cas). L'atteinte médiastinale peut mener à un syndrome cave supérieur. L'extension peut se faire vers la plèvre, le péricarde, le poumon et la paroi thoracique. Rate, poumon, moelle osseuse, foie et os sont les sites extraganglionnaires les plus fréquemment envahis.
BILAN PARACLINIQUE biologie - Hémogramme : souvent normal, mais sont possibles hyperleucocytose, anémie, hyperplaquettose, éosinophilie, lymphopénie. Les cytopénies sont rares et sont le plus souvent consécutives à un envahissement médullaire sévère ou plus rarement à des atteintes auto-immunes. - Bilan biologique standard incluant un bilan hépatique et rénal ainsi que le dosage de l'albumine (dont la baisse semble être un facteur pronostic défavorable), tests hépatiques. - Recherche d'un éventuel syndrome inflammatoire (VS augmentée, hyperleucocytose, hyperplaquettose, CRP, hyperfibrinogénémie, hyper, α 2 globulinémie, baisse du fer sérique) - Dosage des LDH dont l'augmentation, plus rare que dans les LNH, est le témoin d'une grande évolutivité. - Une augmentation des phosphatases alcalines oriente si elle est importante vers une atteinte hépatique - Envahissement de la moelle osseuse (rare en phase initiale de la maladie) à - Sérologie HIV
Imagerie - L'exploration du thorax et de l'abdomen par radiographie thoracique standard et scanner thoraco-abdominal et pet-scan est réalisée quelle que soit la présentation clinique initiale - L'échographie abdominale peut être utile notamment pour un suivi rapproché ou en cas de lésions nodulaires hépatiques. Sa sensibilité est cependant inférieure à celle du scanner pour les adénopathies abdominales et l'échographie ne dispense donc pas du scanner. - L'échographie cervicale est une méthode simple et fiable pour la mesure et le précis des adénopathies à l'étage cervical. Le scanner cervical est également un bon examen pour bien apprécier l'atteinte ganglionnaire cervicale. Un examen ORL spécialisé s'impose lorsque existent des localisations cervicales hautes ou spinales. -Histologie -recher par biopsie (non systématique de nos jour pour les Stades précoces si le pet-scan est négatif)
Autres investigations Elles découlent du tableau clinique : - Scintigraphie osseuse si point d'appel clinique - Biopsie hépatique si point d'appel clinique ou biologique - Endoscopies digestives et ponction lombaire ne sont pas utiles (rareté de telles localisations)
4) Classification Ann Arbor (1971) A absence / B présence de signe(s) clinique(s) A absence / b présence de signe(s) biologique(s) I 1 seul groupe ganglionnaire II pls groupes ganglionnaires du même côté du diaphragme III pls groupes ganglionnaires des 2 côtés du diaphragme IV atteinte viscérale (MO comprise) D. Bordessoule 2013
Selon une base de données internationale portant sur 14 000 patients, la répartition est la suivante : - Stade I : 21 % - Stade II : 43 %, - Stade III : 23 % - Stade IV : 13 %. Les symptômes B sont plus fréquents dans les stades avancés : 8 % dans les stades I, 23 % dans les stades II, 37 % dans les stades III, 68 % dans les stades IV (sur 2421 malades de Stanford).
Les principaux facteurs de bons pronostiques pour les formes localisées (stade I ou II): (EORTC) Age <50 ans, VS<50 si A ou <30 si signes B, Moins de 4 aires ganglionnaires atteintes, Rapport médiastin thorax à hauteur de T 5 <0, 35 (radiographie pulmonaire > au TDM). (GHS : German Hodgkin Study Group) VS<50 si A ou <30 si signes B, Moins de 3 aires ganglionnaires atteintes, Rapport médiastin thorax à hauteur de T 5 <0, 33 (radiographie pulmonaire > au TDM, notion de site bulky). Absence d’atteinte extra-ganglionnaire. .
Les principaux facteurs de mauvais pronostiques pour les formes localisées (stade III ou IV): (Hasenclever) Age >45 ans, Sexe M, Stade IV, Hémoglobine <10, 5 g/dl, Albumine <40 g/l, Lymphocytes <600/mm 3 ou 8%, GB>15000/mm 3
EVOLUTION autrefois mortelle après plus poussées (6 -18 mois). actuellement sous traitement 95 % I-II => guérison 5 % résistance => changement de protocole surinfections fréquentes varicelle, zona, mycose, bacilloses. “ prix de la guérison ” : fertilité / fécondité LA secondaires et tumeurs solides - sein , poumon, thyroïde, tissus mous Pathologies cardiaques tardives - valvulopathies et infarctus du myocarde D. Bordessoule 2013
LES MOYENS THERAPEUTIQUES La polychimiothérapie Le protocole MOPP associant mechloréthamine (Caryolysine), Oncovin, procarbazine (Natulan) et prednisone date de 1964. Administré de façon cyclique sur 6 mois, il a permis des taux de rémissions complète de 80 %. La toxicité importante (hématotoxicité, intolérance digestive, stérilité et risque leucémogène) a fait recher des alternatives : COPP (remplacement de la Caryolysine par du cyclophosphamide (Endoxan), ABVD (Adriamycine, bléomycine, Velbé, Déticène), alternance MOPP et ABVD ou hybride MOPP/ABV. Les résultats obtenus avec l'ABVD sont égaux ou supérieurs à ceux du MOPP avec une moindre toxicité à long terme. De fait les standards actuels sont l'ABVD, l'alternance MOPPABVD ou l'hybride MOPP/ABV. Le MOPP exclusif est déconseillé. Des protocoles plus intenses, allant jusqu'à des conditionnements lourds avec autogreffe de moelle osseuse, ont été proposés pour les formes de mauvais pronostic et les rechutes.
La radiothérapie Historiquement la radiothérapie a été utilisée dès 1902 mais les rechutes étaient nombreuses dans les territoires irradiés et adjacents. Les progrès sont venus de la mise en oeuvre d'irradiations segmentaires traitants en même temps toutes les aires soit au-dessus soit au dessous du diaphragme. En sus-diaphragmatique, l'irradiation en mantelet inclut dans sa forme complète les deux régions cervico-sus-claviculaires, les deux régions axillaires, le médiastin et les hiles pulmonaires. Le mantelet peut être modulé : extension à l'anneau de Waldeyer (atteinte rare dans la MH), suppression du médiastin, inclusion d'un volume pulmonaire adjacent en cas d'envahissement du poumon par contiguïté, protection partielle du médiastin inférieur (cœur et péricarde), . . . En sous-diaphragmatique, l'irradiation dite en Y renversé vise la région lombaire, les chaînes iliaques et inguinales. Il est habituel d'y associer une barre splénique concernant la rate et le hile splénique. L'irradiation peut être limitée à la barre verticale du Y et à la loge splénique, épargnant ainsi les ovaires et la moelle hématopoïétique du bassin.
Formes localisées de bon pronostic (0 facteurs sur 4) : 3 C ABVD et IFRT 20 Gys si pas de facteurs de risque du GHS. Formes localisées de mauvais pronostic (1 facteur ou plus) : 4 C ABVD et IFRT cible 30 à 36 Gys si ganglions significatifs. Formes étendues de bon pronostic (0 à 3 facteurs) : 6 à 8 C ABVD si PET-SCAN négatif à 4 C. Formes étendues de mauvais pronostic (3 facteurs ou plus) : BEACOPP (4 cycles renforcés puis 4 cycles standards) avec adaptation posologique de la corticothérapie (7 j au lieu de 15). Patients âgés (> 75 ans) : on proposera préférentiellement soit le schéma COP-ABV soit le protocole EBVP moins toxiques que l’ABVD (voir section protocoles).
Evaluation de la réponse au traitement et surveillance L'obtention d'une rémission complète est l'objectif thérapeutique. La réponse au traitement sera évaluée sur les données cliniques l'imagerie (pet-scan +++). Après arrêt thérapeutique la surveillance ultérieure se fera tous les 3 mois pendant 2 ans, 6 mois pendant 5 ans, puis tous les ans compte tenu de complications tardives possibles.
Complications du traitement Aux effets classiques immédiat de la chimiothérapie et de la radiothérapie s'ajoutent des complications tardives - Infections : il persiste une lymphopénie durant plusieurs années (en particulier après irradiation des aires ganglionnaires) associée à une baisse des fonctions des lymphocytes restant. Une éventuelle splénectomie (ou l'irradiation splénique) est également un grand facteur de risque infectieux (pneumocoque en particulier imposant une vaccination systématique avant l'intervention). - Insuffisance thyroïdienne : d'installation progressive, elle est extrêmement fréquente après irradiation cervicale (incidence cumulée de 50 % à 20 ans dans la série de Stanford). Sa recherche doit être systématique par un dosage de la TSH, une à deux fois par an.
Complications cardio-vasculaires tardives : · péricardite post-radique · insuffisance coronarienne pouvant aller jusqu'à un infarctus du myocarde (incidence cumulée d'IDM de 5 % à 15 ans) après radiothérapie médiastinale (action favorisante de l'athérosclérose par la radiothérapie) · myocardiopathie toxique à l'adriamycine rare dans la MH car les doses cumulées restent habituellement modérées.
Cancers secondaires : le taux d'incidence cumulée de leucémies et myélodysplasies secondaires peut atteindre 10 % à 10 ans dans certaines séries. Il est plus élevé pour les patients traités par chimiothérapie seule ou par association chimiothérapie + radiothérapie que pour les patients traités par radiothérapie seule. Le risque est dépendant des doses de chimiothérapie administrées et des agents utilisés. Des lymphomes non hodgkiniens et d'autres cancers secondaires (pour lesquels la radiothérapie est certainement en cause : sein, thyroïde, os, mélanome, poumon, . . . ) ont été observés avec une fréquence accrue.
Troubles de la croissance : consécutifs à une radiothérapie dans le jeune âge, ils peuvent être responsables de séquelles importantes (cyphose, thorax étroit, . . . ) - Stérilité : les conséquences sur la fonction reproductrice dépendent de l'âge, du sexe, de l'état pubertaire, des cytostatiques et des doses utilisés. Plus de quatre cycles de MOPP administrés avant la puberté entraînent de façon constante une stérilité chez le garçon. Le risque lié à la chimio est moindre chez la femme. La radiothérapie pelvienne augmente le risque en particulier chez la femme. Une congélation de sperme doit être proposé aux adolescents et adultes jeunes. Le rôle protecteur des analogues de la LHRH chez la femme est encore controversé. - fibrose pulmonaire : secondaire à la radiothérapie elle reste limité au champ d'irradiation. Elle apparaît 1 à 6 mois après la radiothérapie et peut être symptomatique (fièvre, toux, dyspnée).
EDUCATION des PATIENTS ++++ D. Bordessoule 2013
LYMPHOMES NON-HODGKINIENS
DEFINITION Les lymphomes non hodgkiniens (LNH) représentent un groupe hétérogène de proliférations malignes du système lymphoïde dont le point de départ est extramédullaire. Cette hétérogénéité se traduit par des présentations cliniques, anatomopathologiques, immunologiques et cytogénétiques variées et, de ce fait, par un pronostic très différent d'une forme à l'autre. Les lymphomes font partie des syndromes lymphoprolifératifs au même titre que la leucémie lymphocytaire chronique, la leucémie lymphoblastique aiguë, le myélome multiple et la maladie de Hodgkin
EPIDEMIOLOGIE Incidence - augmente de façon régulière avec l'âge - est plus fréquente chez l'homme que chez la femme (sexe ratio d'environ 2: 1) - chez l'enfant les LNH représentent 10 % de l'ensemble des cancers et se situent ainsi en 3ème place derrière les leucémies aiguës et les tumeurs cérébrales. - les LNH les plus agressifs se rencontrent davantage chez l'enfant et l'adulte jeune. - en France, le nombre de nouveaux cas de LNH estimé entre 3000 et 8000 par an. - l'augmentation de l'incidence constatée depuis quelques années (X 2 en 20 ans) n'est expliquée que partiellement par l'association de certains lymphomes à des états d'immunosuppression sévères (SIDA et transplantation d'organe).
Facteurs de risque associés Facteurs infectieux -Virus d'Epstein-Barr (EBV) : Le virus est retrouvé dans 95 % des lymphomes de Burkitt endémiques africains et dans 15 % des formes non endémiques. Il est également associé aux LNH des immunodéprimés (présence dans 50 à 70 % des lymphomes après transplantation d'organe ou au cours du SIDA). Les LNH liés à l'EBV sont le plus souvent des lymphomes B. Il peut être détecté dans le tissu tumoral par immunomarquage par l'anticorps anti LMP-1 (antigène de latence membranaire de l'EBV) ou l'anticorps anti-EBNA-2 (antigène nucléaire de l'EBV). -- HTLV-1 (Human T lymphoma/leukemia virus) : Le HTLV-1 est associé à la leucémie/lymphome de l'adulte à cellules T survenant avec prédilection dans le sudouest du Japon, aux Caraïbes, en Afrique noire et en Amérique Centrale. Un à 5 % des sujets séropositifs pour le HLTV-1 développent une leucémie/lymphome de l'adulte à cellules T - VIH (virus de l'immunodéficience humaine) : L'incidence des LNH est augmentée chez les sujets VIH +. Le déficit de l'immunité à médiation cellulaire réduit les capacités d'immunosurveillance des cellules infectées par l'EBV ce qui favorise l'apparition de lymphoproliférations.
- Hépatite C : Les hépatites chroniques à virus C peuvent se compliquer de cryoglobulinémie et de lymphomes B de faible malignité. Une association avec des lymphomes primitifs du foie a également été suggérée. - HHV-6 (Human Herpes Virus 6) : Le HHV-6 est un virus lymphotrope. Il a été isolé chez des patients porteurs de lymphoproliférations variées mais la relation de cause à effet reste incertaine. - HHV-8 (Human Herpes Virus 8) : Certains lymphomes de présentation clinique très particulière (atteintes des séreuses) ont été associés au HHV-8, le plus souvent au cours du SIDA. Il s'agit probablement d'une co-infection avec l'EBV et le mécanisme reste inconnu. Le HHV-8, encore appelé KSHV (Kaposi sarcoma-associated herpes virus) est également associé au sarcome de Kaposi. - Helicobacter pylori : Le lien entre Helicobacter pylori et lymphome gastrique du MALT (mucosa-associated lymphoid tissue) est maintenant établi au même titre qu'avec la maladie ulcéreuse. La bactérie est détectée dans 90 % des cas de lymphome gastrique du MALT sur coupes tissulaires. En l'absence d'envahissement ganglionnaire, l'antibiothérapie plus oméprazole (inhibiteur de pompe à proton) peut faire régresser le lymphome.
Facteurs immunologiques Les déficits immunitaires congénitaux ou acquis s'accompagnent d'une incidence accrue de lymphomes : - Déficits congénitaux : ataxie-télangiectasie, syndrome de Wiskott-Aldrich. - Déficits acquis · SIDA : incidence des lymphomes estimée à 5 à 10 % des cas de SIDA. Cette incidence augmente avec la prolongation de la survie. Les lymphomes du SIDA sont caractérisés par leur phénotype B, leur agressivité clinique (les types histologiques les plus fréquents sont les lymphomes de Burkitt et les lymphomes diffus à grandes cellules), leurs localisations extra-ganglionnaires (grande fréquence des lymphomes primitifs du cerveau, atteintes digestives et médullaires). L'apparition d'un lymphome chez un sujet séropositif pour le virus de l'immunodéficience humaine fait passer le patient au stade de SIDA. · Transplantations d'organe : incidence maximale dans les transplantations cœur-poumon et lorsque sont utilisés des protocoles d'immunosuppression forte comme ceux incluant les anticorps monoclonaux anti-lymphocytaires.
- Maladies dysimmunitaires Certaines s'accompagnent d'une incidence plus élevée de LNH : · Syndrome de Gougerot-Sjögren : incidence 40 fois > à la normale (lymphome à cellules B). · Thyroïdite de Hashimoto : principal terrain de survenue des lymphomes thyroïdiens. · Polyarthrite rhumatoïde, lupus érythémateux disséminé, sclérodermie, sarcoïdose et maladie coeliaque sont également associés à un risque accru de LNH. Toxiques de l'environnement Des toxiques de l'environnement ont été accusés de favoriser le développement de LNH : benzène, solvants organiques, dioxine, herbicides contenant des acides phénoxyacétiques. Le relation de cause à effet est cependant difficile à affirmer de façon formelle.
ANATOMIE PATHOLOGIQUE Histologie La classification actuelle des hémopathies lymphoïdes appelée WHO (World Health Organisation = OMS Organisation Mondiale de la Santé) a été proposée en 1994 et complétée en 1997 (Tableau I). Cette classification est très complexe mais discrimine bien les différentes entités. Elle sépare totalement les syndromes lymphoprolifératifs selon leur phénotype immunologique B ou T et inclut l'ensemble des syndromes lymphoprolifératifs dont plusieurs n'étaient pas pris en compte dans les classifications précédentes (leucémies de la lignée lymphocytaire, leucémie à tricholeucocytes, myélome, maladie de Hodgkin). Elle a également le mérite d'individualiser clairement certaines entités fréquentes mais non prises en compte antérieurement [exemple : lymphome du manteau, lymphomes du MALT (mucosaassociated lymphoid tissue)]. Cette classification repose sur la morphologie mais aussi sur l'immunophénotypage, la cytogénétique et la biologie moléculaire.
* Hétérogénéité des lymphomes +++ Histologique: destruction de l'architecture ganglionnaire par une prolifération folliculaire diffuse Cytologique : zz Petites cellules Grandes cellules immunologique : B ou T D. Bordessoule 2013
Distribution des lymphomes non hodgkiniens (adultes) Folliculaire B Diffus à grandes cellules B D. Bordessoule 2013 Petits lymphocytes B
Immunophénotypage C'est un examen essentiel pour le diagnostic précis de la lymphoprolifération. Les leucocytes portent des antigènes de membrane différents selon leur lignée d'origine et leur degré de maturation. La reconnaissance de ces antigènes par l'utilisation d'anticorps monoclonaux permet une identification précise des cellules impliquées. Les anticorps reconnaissant le même antigène sont regroupés en CD (cluster of différenciation = classe de différenciation). Par extension, la définition de CD s'étend à l'antigène leucocytaire reconnu. Il s'agit d'un domaine complexe : plus de 200 CD ont été reconnu, certains étant formés de plusieurs protéines (exemple le CD 1 formé de 5 protéines appelées CD 1 a, CD 1 b, etc…). Ces antigènes leucocytaires sont des protéines qui ont été regroupés en plusieurs familles (superfamille des immunoglobulines, superfamille des récepteurs aux cytokines, superfamille des intégrines, …). La surexpression des onco-protéines (exemples : bcl-2 dans les lymphomes folliculaires, cycline D 1 dans les lymphomes du manteau) peut être mise en évidence en biologie moléculaire ou sur coupes par des anticorps et apporte une aide précieuse au diagnostic.
Cytogénétique et biologie moléculaire Des anomalies cytogénétiques sont retrouvées dans plus de 90% des LNH. Les modifications cytogénétiques impliquent presque toujours un gène des immunoglobulines dans les lymphomes B ou un gène des récepteurs des cellules T dans les lymphomes T. Deux d'entre-elles méritent, de par leur fréquence particulière, d'être développées ici : · Translocation réciproque t (8 ; 14) ou plus rarement t (8 ; 22) ou t (8 ; 2) dans les lymphomes de Burkitt. Ces translocations font voisiner l'oncogène cmyc situé sur le bras long du chromosome 8 et soit le gène des chaînes lourdes d'immunoglobulines (chromosome 14) soit le gène des chaînes légères lambda (chromosome 22) ou kappa (chromosome 2). · Translocation t (14 ; 18) dans plus de 80 % des lymphomes folliculaires à petites cellules clivées mais aussi dans certains cas de lymphomes folliculaires mixtes ou à grandes cellules. Cette translocation juxtapose l'oncogène bcl-2 provenant du chromosome 18 et le gène des chaînes lourdes d'immunoglobulines.
L'étude du réarrangement des gènes d'immunoglobulines dans les lymphomes B et des gènes des récepteurs T dans les lymphomes T, techniques réservées à des laboratoires spécialisés, peut permettre de confirmer le caractère clonal d'une prolifération. La biologie moléculaire peut également détecter des anomalies chromosomiques lorsque les séquences nucléotidiques réarrangées sont bien caractérisées sur le plan moléculaire (translocation t(2 ; 5) des lymphomes anaplasiques, translocation t(11 ; 14) des lymphomes du manteau, translocation t(14 ; 18) des lymphomes folliculaires). La biologie moléculaire permet enfin de détecter, après traitement, une maladie résiduelle minime échappant aux méthodes d'investigations morphologiques ou immunologiques conventionnelles.
DIAGNOSTIC ET BILAN D'EXTENSION Présentation clinique La présentation clinique peut être très variable : - Habituellement le diagnostic est posé suite à la découverte d'adénopathies qui peuvent siéger dans toutes les aires ganglionnaires avec cependant une prédominance au niveau cervical et axillaire. Les adénopathies sont souvent multiples et quelquefois très volumineuses. - Les atteintes extra-ganglionnaires sont fréquentes et peuvent concerner tous les tissus avec une prédilection particulière pour la moelle osseuse, la rate, le tube digestif, la sphère ORL, la peau, le poumon, le foie, la plèvre, l'os, les reins, le système nerveux central. Les localisations préférentielles extra-ganglionnaires sont dépendantes du type histologique du LNH. Ainsi les atteintes médullaires sont particulièrement fréquentes, dès le diagnostic initial, dans les lymphomes B de faible malignité (lymphome à petits lymphocytes, lymphomes folliculaires, lymphome lymphoplasmocytoïde) et dans les lymphome de haute malignité (lymphome lymphoblastique ou lymphome de Burkitt). Les atteintes du système nerveux central se rencontrent plus volontiers dans les lymphomes de haute malignité (lymphome lymphoblastique, lymphome de Burkitt). Les localisations abdominales sont essentiellement associées à des lymphomes B.
DIAGNOSTIC BIOPSIE EXERESE GANGLIONNAIRE Biopsie : un ganglion à chaque fois que possible. les localisations extraganglionnaires ORL digestiv e cutanée +/- les localisations profondes uniquement si pas de prélèvement facile. Conditions de biopsie +++ : prélèvement large étude en paraffine (histologie) congélation +++(immuno-histochimie) cytogénétique +++ et biologie moléculaire faire une empreinte cytologique. D. Bordessouleétude 2013
C - BILAN D'EXTENSION, FACTEURS PRONOSTIQUES But : faire un stade de type Ann Arbor. évaluation pronostic décision thérapeutique guider l’évaluation de la réponse thérapeutique: I 1 seul groupe ganglionnaire II plusieurs groupes ggls du même côté du diaphragme III plusieurs groupes ggls des 2 côtés du diaphragme IV atteinte viscérale (MO comprise) Stade IIE : II + 1 territoire extraganglionnaire de contiguité Stade IE: 1 seul territoire extraganglionnaire de contiguité N. B. : la rate et soit un organe soit un « ganglion » varie en fonction du type de LNH
- Hémogramme à la recherche d’excès de lymphocytes ou cellules lymphoïdes anormales, cytopénie, myélémie. … - Biopsie de moelle osseuse (le médullogramme seul est insuffisant) - Phénotypage des lymphocytes et biologie moléculaire au niveau sanguin et médullaire selon le type histologique du lymphome - Radiographie du thorax - Echographie abdominale -Tomodensitométrie thoracique et abdominale -Pet-scan en fonction du type de LNH - Examen ORL - Ponction lombaire (uniquement lorsque la probabilité d'envahissement est réelle : LNH de malignité intermédiaire et élevée). - Selon le contexte, d'autres examens pourront être utiles : endoscopie digestive, scintigraphie osseuse, biopsie hépatique, . .
D'autres examens compléteront le bilan : - Bilan hépatique et rénal - Dosage de l'uricémie augmenté dans les formes à prolifération rapide - Dosage de la calcémie pouvant être augmentée en particulier lorsqu'il existe une atteinte osseuse - LDH (lactate deshydrogénases) et bêta-2 microglobuline sériques qui sont le reflet de la prolifération et de la masse tumorale et qui ont une valeur pronostique indépendante des autres facteurs. - Recherche d'une immunoglobuline monoclonale, en particulier dans les lymphomes de faible malignité - Recherche d'une séropositivité pour le VIH, l'hépatite C (et le HTLV-1 dans les LNH T) -Evaluation de la fonction cardiaque si le traitement prévu inclut une anthracycline
Bilan initial Pet scan: stade IV Hépatique FDG initial D. Bordessoule 2013
FACTEURS PRONOSTIQUES Les facteurs de mauvais pronostic ont été définis pour les lymphomes nodulaires d'une part et pour les lymphomes de malignité intermédiaire ou élevée d'autre part (Tableau IV). De façon générale, quel que soit le type histologique, l'augmentation des LDH, l'augmentation de la bêta-2 microglobuline, un âge > 60 ans, une forte atteinte de l'état général et une atteinte extra-ganglionnaire diffuse ou multiple sont des facteurs indiscutables de mauvais pronostic
L'évolutivité de la maladie: très variable. Ceci a conduit historiquement à une séparation clinique en trois groupes : - les lymphomes de faible malignité (exemples : lymphome à petits lymphocytes, lymphomes folliculaires, lymphome lymphoplasmocytoïde) caractérisés par une évolution lente mais aussi par une moindre sensibilité aux traitements. - les lymphomes de haute malignité (lymphome lymphoblastique ou lymphome de Burkitt) caractérisés par une évolution très agressive avec une forte mortalité précoce mais aussi une grande chimiosensibilité. Les principes thérapeutiques sont identiques à ceux des leucémies aiguës. Il s'agit de réelles urgences thérapeutiques. - les lymphomes de malignité intermédiaires (exemple : lymphome à grandes cellules B) qui se situent entre les deux groupes précédents en terme de génie évolutif. Ils gardent une bonne chimiosensibilité et ont de ce fait le meilleur pronostic à long terme.
Lymphomes de faible malignité Selon le stade et l'évolutivité de la maladie le traitement pourra être : -Abstention thérapeutique dans les formes disséminées mais indolentes de lymphomes à petits lymphocytes ou nodulaires à petites cellules clivées. Cette attitude n'est légitime que chez le sujet âgé ou présentant des pathologies intercurrentes pouvant influencer négativement la tolérance à une chimiothérapie. Le traitement chimiothérapique ne sera introduit que lorsque apparaîtront le lymphome franchement. Dans ces conditions la médiane de survie est élevée (supérieure à 10 ans) et le traitement n'est entrepris qu'avec un intervalle de 3 ans chez plus de la moitié des patients.
Exemple de prise en charge LNH FOLLICULAIRE Faible masse tumorale : • abstention et surveillance • radiothérapie • MABTHERA seul Forte masse tumorale : • Sujet < 70 ans : R-CHOP 6 C + 2 MABTHERA (J 1=21) + entretien 2 ans par MABTHERA tous les 2 mois • Sujet vulnérable : R-CVP pour 8 C + entretien 2 ans par MABTHERA tous les 2 mois. • Alternative chez le patient vulnérable (cardiopathie) BENDAMUSTINE (LEVACT®) 90 mg/m² J 1 J 2 + MABTHERA 375 mg/m² J 1 (J 1=J 21): à la date de rédaction du référentiel, (groupe 3 : hors référentiel). NB �certains LF de faible masse (GELF=0) peuvent être traités par R-chimio si la localisation anatomique représente une menace potentielle.
Lymphomes de malignité intermédiaire et élevée Les exemples type sont les lymphomes à grandes cellules B les lymphomes de Burkitt et les lymphomes lymphoblastiques. Dans ces types histologiques, l'obtention d'une rémission complète est le pré-requis indispensable pour espérer une survie prolongée. Une chimiothérapie intensive est donc indispensable. Trois générations de protocoles ont été utilisées successivement : - Les protocoles de première génération (de type CHOP) datent du début des années 70 et permettaient d'obtenir un taux de rémission complète proche de 60% dans les lymphomes diffus à grandes cellules. Les rechutes restaient cependant fréquentes et la survie à 2 ans n'excédait pas 50%. - Les protocoles de seconde génération (exemple : m. BACOD utilisant les mêmes drogues que le CHOP plus de la bléomycine et du methotrexate) ont porté le taux de rémission à environ 70%. - Les protocoles de troisième génération [exemple : ACVBP (Tableau VI)] appliqués depuis les années 80, permettent d'atteindre 80% de rémission complète. Ces protocoles plus intensifs réduisent le taux de rechute et la survie à 2 ans est proche de 70%. Un plateau de survie en première rémission est obtenu à 5 ans et l'intérêt de ces traitements n'en devient que plus évident avec l'allongement du recul.
Exemple de prise en charge LNH à Grandes Cellules IPI = 0 : RCHOP 21 pour 6 C sans PL. < 60 ans IPI = 1 : R-ACVBP+4 PL (4 C et consolidation type LNH-GELA) sur les résultats du protocole GELA 03 -2 B. < 60 ans, IPI ≥ 2 : 4 R-ACVBP, 2 MTX, autogreffe reste la référence. > 60 -79 ans, IPI ≥ 1 : R-CHOP 21 pour 8 C, PL selon critères de risque. 80 ans : R-mini-CHVP pour 8 C Sujets âgés (>80 ans), OMS 2 -4 : pré-phase de 7 j (cf. LNH 07 -9 B), et à J 8 si OMS 0 -2 chimio (R-mini-CHOP ou LNH 07 -9 B), sinon palliatif (cortisone, HOLOXANVEPESIDE, autre…) :
Lymphomes de l'enfant Il s'agit pratiquement toujours de formes agressives : lymphomes de Burkitt (35 à 45%), lymphomes lymphoblastiques (25 à 35%), lymphomes diffus à grandes cellules B (15 à 25%). Les traitements sont intenses et soutenus, proches des protocoles de leucémies aiguës de l'enfant et donnent d'excellents résultats avec des rémissions de longue durée dans plus de 70% des cas. Lymphomes au cours du SIDA Leur traitement est également basé sur la chimiothérapie intensive mais il faut tenir compte du risque infectieux accru du fait de l'immunodéficience. Ce risque accru justifie le recours systématique aux facteurs de croissance hématopoïétique. L'anticorps monoclonal anti CD 20 semble intéressant dans les formes B.