Lecture 2 Diagnosis Contd Pretreatment and Emergency Treatment






























- Slides: 30
Lecture #2 Diagnosis- Cont’d Pretreatment and Emergency Treatment ENDODONTOLOGY II 102. 305 Robert Kaufmann DMD CAGS MS(Endo) rmk@endoexperience. com www. endoexperience. com 3/3/2021 Fac. Dentistry - Univ. MB
Fractures in Teeth Two Forms: 1. Cusp Fractures 2. Cracked teeth
Fractured Teeth Cracked Tooth Syndrome (CTS) An incomplete fracture of a vital posterior tooth that occasionally extends into the pulp. n Cusp Fractures • Cusp restore vs. Endo/Crown
Fractured Teeth Cracked Tooth Syndrome (CTS) Tools 1. Clenching on a Cotton Roll • Pain upon release – automatically indicates cracks From the Text “Endodontics Vol. 1 Dr. Arnaldo Castellucci
Occlusal Pressure: Tooth Slooth � Helps isolate biting sensitive areas via biting on each cusp � Sharp pain on Pressure OR Release may indicate a fracture � Combine these findings with pulp tests to determine whether endo is needed Reversible? OR Irreversible Pulpitis
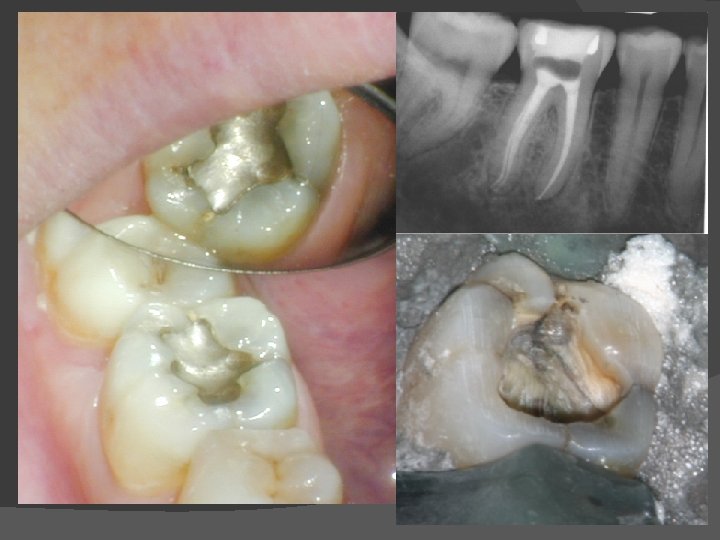
2. Equipment : Transillumination � Examine Tooth Color � Can use Fibreoptic handpiece as alternative
Transillumination � Helps identify crown fracture Virgin Tooth ! � Fractured Segments of a crown DO NOT transmit light similarly Difficult to use with restored teeth n. Document What You SEE! u. Inconclusive, Possible, Probable, Definitive u. Cuspal Fracture +/or Cracked Tooth n
Cracked Teeth • Need for immediate cuspal protection • Pulpal status (Reversible vs. Irreversible symptoms) determines whether endo is needed or not. Maybe elective endo? • Deep pocketing associated with crack –->POOR PROGNOSIS !
Vertical split root diagnosis Coronal fractures extending into PDL � Perio probing into sulcus depth � Epithelium follows root crack � Frequently cause pulp death � May be result of restorative procedures and/or occlusal stress (Bruxism) � 3/3/2021 Fac. Dentistry - Univ. MB
Photo Dr. Uziel Blumenkrantz
Diagnosis – Cont’d Hard tissue exam External Resorption Pink tooth � Asymptomatic until resorption perforates � Resorption starts in PDL and perforates enamel or root dentine � � Read – Heithersay -Endo Topics 2004 Invasive cervical resorption in the Diagnosis and Treatment Planning section of the Endo File Cabinet on my site www. endoexperience. com 3/3/2021 Fac. Dentistry - Univ. MB
External Resorption – Etiology in PDL Resorption starts in PDL and perforates enamel or root dentine � Often associated with history of trauma � Resorptive cells found � Pulp tissue is most often vital � Prognosis depends on extent and restorability � TX- Elective Endo due to restoration proximity to pulp � 3/3/2021 Fac. Dentistry - Univ. MB
Internal Resorption • Origin is in the PULP NOT the PDL! • Relatively RARE in comparison to EXT resorption • Treatment is RCT • May need SRCT if the side of the root is perforated. Tx by Dr. G. Carr
Pulpal tests / indirect � � � Tooth colour Use natural light to judge shade darkening May be more yellow Grey/blue indicates haem. in dentinal tubules May be rusty in early stages Trans-illumination is helpful 3/3/2021 Fac. Dentistry - Univ. MB
Pulpal Tests - L. A. Block Anesthetic test to isolate quadrant � Careful maxillary infiltration 1 -2 teeth � Intra-ligamental injection to isolate one tooth in mandible � Referred pain disappears when pulp anaesthetized fully. � MAKE THIS YOUR FINAL DIAGNOSTIC TEST – WHY? 3/3/2021 Fac. Dentistry - Univ. MB
Endodontic Examination Review medical history Listen to chief complaint & history Record subjective symptoms of pain Examine from peripheral to internal tooth Record periodontal tests Perform pulpal tests Interpret radiograph - crown to periapex � Formulate ENDODONTIC DIAGNOSIS of pulp/periapical pathology from positive results. � � � � 3/3/2021 Fac. Dentistry - Univ. MB
Non. Surgical Root Canal Therapy � STAGES of TREATMENT for ENDO : �Examination & Diagnosis �Endodontic Access Opening �Canal System Instrumentation in 3 D ○ Biomechanical preparation ○ Chemical disinfection & preparation for seal � 3 D Canal System Obturation �Coronal Restoration ALL CASES REQUIRE DIAGNOSIS on the day you start comprehensive Endodontic Treatment 3/3/2021 Fac. Dentistry - Univ. MB
Endodontic Examination Record findings on ENDODONTIC RECORD SHEET � INSTRUCTOR must sign-out your Diagnosis & Tx Plan. � 3/3/2021 Fac. Dentistry - Univ. MB
Endodontic Pretreatment – Why? 1. To facilitate placement of rubber dam 2. To allow proper access cavity form 3. Prevent leakage of saliva into access during treatment 4. Prevents cusp fracture ( loss of landmarks) between appointments. ALL BANDS MUST BE CEMENTED 5. Prevent recontamination of canals and leakage of medicaments between appointments 6. To make room for placement of medicaments Wednesday, March 3, 2021 Fac. of Dentistry, Univ. MB, WHC copywrite
Pre. Tx - Anterior teeth No Endodontic treatment can proceed without marginal seal � ALL caries must be removed before entering pulp space � Defective & suspect restorations should be replaced with IRM or restorative filling. � Wednesday, March 3, 2021 Fac. of Dentistry, Univ. MB, WHC copywrite
Pre. Tx - Posterior teeth First requirement is a stable clamp � Large IRM or composite filling may add seal to chamber � Chamber should be located & protected before restoration � Copper band or Ortho band may have to be cemented for seal � Wednesday, March 3, 2021 Fac. of Dentistry, Univ. MB, WHC copywrite
Copper Band pretreatment Depends upon remaining tooth enamel � Remove all caries and unsupported enamel � Assess stability of clamp and marginal seal � Locate pulp chamber, protect with small cotton pellet & layer of Cavit � Wednesday, March 3, 2021 Fac. of Dentistry, Univ. MB, WHC copywrite
Copper Band pretreatment Contour correct size copper band � Contour & crimp for 1 mm+ gingival margin � Dry crown & enamel with air syringe � Cement band with Polycarboxylate cement & stabilize until fully set. � Polish and check for sharp edges � Wednesday, March 3, 2021 Fac. of Dentistry, Univ. MB, WHC copywrite
Copper Band pretreatment Place IRM in central portion of band to rebuild crown shape � Reduce any projecting enamel cusps � Check occlusion with rubber dam off � Normal access can be made through occlusal � Wednesday, March 3, 2021 Fac. of Dentistry, Univ. MB, WHC copywrite
Copper Band pretreatment Band should NOT have overhanging margins � 1 -2 mm cement layer necessary to replace missing coronal substance � Saliva must NOT leak under margin � Perio irritant develops � Wednesday, March 3, 2021 Fac. of Dentistry, Univ. MB, WHC copywrite
Copper Band errors Band MUST be cemented to crown � Contouring and sizing very important � Never remove band between appointments � Crown should be restored with more permanent restoration as soon as Tx done. � Wednesday, March 3, 2021 Fac. of Dentistry, Univ. MB, WHC copywrite
S. S. (Ortho) Band pretreatment Ortho SS band may fit some cases if margin level � When cemented, normal clamp should be stable � Band should not move or impinge on gingival tissues � Sometimes, gingival soft tissue contouring may be needed before pretreatment � Wednesday, March 3, 2021 Fac. of Dentistry, Univ. MB, WHC copywrite
Questions?