Le syndrome interstitiel PLAN I Introduction II Rappel
























































































- Slides: 88
Le syndrome interstitiel
PLAN I/ Introduction II/ Rappel anatomique/ pathogénie III/ Moyens d’exploration A-Radiographie standard B-Tomodensitométrie IV/ Sémiologie radiologique et tomodensitométrique V/ Etiologies du syndrome interstitiel VI/ Conclusion
INTRODUCTION Ø Ø Ø Ensemble des signes radiologiques indiquant une atteinte du secteur interstitiel du poumon. Interstitium pulmonaire = tissu conjonctif de soutien du poumon. Aspects radiologiques + étiologies variables TDM HR +++ : Détection précoce Diagnostic étiologique Ø
OBJECTIFS Diagnostic positif Orientation étiologique Pronostic et évolution
RAPPEL ANATOMIQUE q Secteur axial péribroncho-vasculaire. q Secteur périphérique Tissu conjonctif sous pleural+ septa interlobulaires q Secteur pariétoalvéolaire
Physiopathologie Invisible à l’état normal. q Devient radio-opaque : q Infiltration liquidienne. Prolifération cellulaire anormale Fibrose q Perméabilité alvéolaire de voisinage
Moyens d’exploration
Radiographie standard Technique: Icidence de face en inspiration profonde ± profil. Clichés numérisés +++ n Limites: Superposition des plans. Qualité : mauvaise pénétration/cliché mal inspiré Peut étre normale au stade de début. n
Tomodensitométrie Ø Technique: n DD, apnée inspiratoire. Coupes fines 1 mm en haute résolution. +/- IPDC Ø Avantages: n n Haute résolution en contraste Approche diagnostic : atteinte débutante ou minime. Diagnostic étiologique
SEMIOLOGIE RADIOLOGIQUE
Un signe positif Opacités à limites nettes. Signes négatifs Non confluantes Non systématisées Sans bronchogramme aérien A évolution lente.
Atteinte du secteur périphérique 1 - Les opacités linéaires septales 2 - Les opacités linéaires non septales 2 - Les réticulations
Opacités linéaires septales Radiographie standard Visibilité anormale des septas interlobulaires épaissies n Lignes de Kerley A : Lignes longues + curvilignes de 3 -5 cm. Parties moyennes et supérieures des poumons (au dessus des hiles) n Lignes de Kerley B: +++ Courte de 1 -2 cm horizontal Lobe moyen et lingula, territoires antérieurs et externes (au dessous des hiles). n Lignes de Kerley C: Lignes entrecroisées : superposition des lignes A et B. Parties moyennes n Les lignes de Kerley D: Epaisses de 4 à 6 cm de long (partie antérieure des poumons)
Lignes de kerley B
Lignes de kerley A: direction radiaire vers les hiles
Lignes de Kerley C: Aspect en « mailles de filet » des fibroses pulmonaires
Tomodensitométrie Zones d’hyperatténuation linéaire perpendiculaire à la plévre. Topographie: Zones antérieures/basales et en périphérie. la surface interne de la plévre Plévre médiastinale des bords du cœur (cœur hérissé) 2 cm du cortex sous pleural Au niveau des scissures.
Morphologie : Ø Ø Lignes brisés déssinant des polygones complets ou non , centrés par l’artére centrolobulaire. Épaisissment périlobulaire : régulier, irrégulier nodulaire ou spiculé, calcifié.
Valeur sémiologique Épaississement septal Lisse et régulier Nodulaire Œdème pulm interstitiel Sarcoïdose Stase lymphatique lymphangite carcinomateuse Lymphome, Kaposi Irrégulier Miliaire tuberculeuse Fibrose Collagénose Calcifié Asbestose Microlithiase alvéolaire. � Sarcoïdose
Épaississement septal inter lobulaire Lisse et régulier: Kc de l’estomac Épaississement septal inter lobulaire nodulaire dessinant les polygones septaux: Kc de la thyroide
Épaississement septal inter lobulaire irrégulier avec distorsion. Sarcoïdose PID
Lignes non septales Absence de caractére septal identifiable. Ø Plusieurs centimétres de longeur, orientation variable. Ø Bandes de fibrose, ou atélectasies planes sous segmentaires Ø
Réticulations Épaississement de l'interstitium intra-lobulaire n Petites opacités linéaires entrecroisées en une fine réticulation. n Mettent en connexion les opacités artérielles centrolobulaires avec les septa interlobulaires. n
Epaississement du secteur axial péribrocho-Vasculaire Radiographie standard Opacités linéaires hilifuges , souvent flou des bords des VX et des bronches. ü Effacement des contours vasculaires au niveau hilaire. ü Ces opacités Souligner les lumières bronchiques Clartés tubulées + images en anneaux. ü Dic ≠ : Syndrome bronchique ü
Travées épaisses à disposition hilifuge
Tomodensitométrie n Visualisation des bronches sur un trajet plus long. Epaississement péribroncho-vasculaire: ü Régulier. ü Irrégulier: Nodulaire : Lymphangite carcinomateuse Sarcoïdose Spiculé : Fibrose n
Epaississement régulier Epaississement irrégulier , nodulaire:
Epaississemnt péri broncho-vx absence de visualisat des vx accopagnant les bifurcations bronchiques
Micronodules interstitielles Limites nettes +++ Absence de confluence Radiographie standard Ø Erreurs par excès : opacités réticulées et linéaires pseudonodulation, section. VX, impaction mucoïde… Ø Erreurs par défaut : taille (>3 mm), faible densité, qualité du cliché. Ø Radiographie numérique avec réhaussement des basses fréquences++++
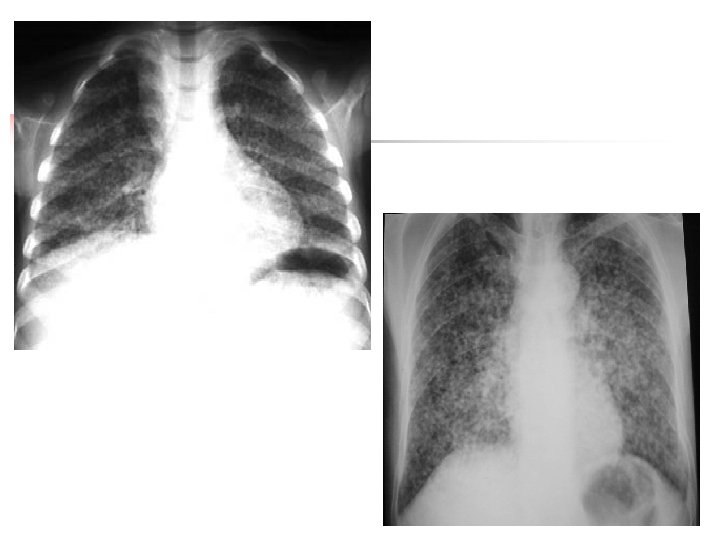
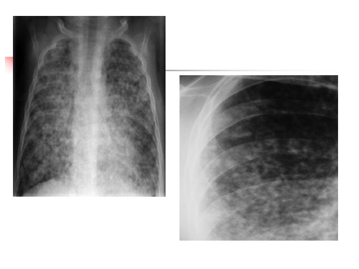
Opacités micronodulaires (miliaires) ♦ Dissémination par voie hématogène d'un processus infectieux ou tumoral. ♦ Leur taille et 1 à 3 mm de diamètre, uniforme et leurs contours sont nets. ♦ Prédominance aux bases vascularisation plus importante.
Tomodensitométrie +++ n Plus sensible + orientation étiologique Images de densité nettement supérieure à celle du parenchyme pulmonaire. n De forme ronde. n Avec un diamètre inférieur à 5 mm.
Valeur sémiologique La distinction entre micronodule interstitiel et micronodule alvéolaire est difficile en pratique courante. Les micronodules centro-lobulaires peuvent étre aussi bien de siége interstitiel que de siége alvéolaire. Donc l’approche diagnostique portant sur l'analyse de la distribution n Lymphatique Hématogène Centrolobulaire Péri broncho-vx MN à contours nets MN à limites Floue péri lobulaires distribution diffuse à distance de la plèvre Centrolobulaire sans prédominance et des septa Inter particulière lobulaires
Micronodules de répartition lymphatique Sarcoïdose Lymphangite carcinomateuse Silicose
Infiltration micronodulaire de type hématogène Miliaire Tuberculose Miliaire carcinomateuse
Infiltration p parenchymateuse faite de micronodules de faible densité à contours mal définis de topographie centro lobulaire sur un fond d’hyperdensité modérée en verre dépoli Tuberculose PHS
Nodules interstitielles n Image de densité nettement supérieure à celle du parenchyme pulmonaire dont la forme est ronde , avec un diamètre > 5 mm n Contours net dense n Nodules interstitiels ≠ nodules alvéolaire. n L' approche diagnostique portant sur : l'analyse de contours et la distribution
Contours lisses et réguliers Métastases Kyste hydatique Lymphome Granulomatose de Wegener Polyarthrite rhumatoïde Tuberculomes multiples Hématomes multiples Contours irréguliers ou spiculés Sarcoïdose Silicose et Pneumoconiose des mineurs de charbon granulomatose de Wegener Sarcome de Kaposi
Nodule +halot en verre dépoli Pathologie infectieuse : aspergillose pulmonaire invasive candidose infection à herpès virus Granulomatose de Wegener Métastases d' angiosarcome Sarcome de Kaposi Nodules excavés Broncho-pneumonies (staphylococcie, tuberculose) Embolie septique Aspergillose pulmonaire Métastases pulmonaires Histiocytose X Polyarthrite rhumatoïde Granulomatose de Wegener
Zones de condensation pseudoalvéolaire n Opacités de plus de 30 mm. Disparition de l’air alvéolaire : remplacement de l’architecture normale des poumons par le processus pathologique interstitiel. n n Infiltration interstitielle suffisamment sévère pour collaber refouler ou remplacer les espaces aériens distaux.
Principales étiologies: n Tumorale : n cancer broncho-pulmonaire lymphome n Infectieuse : n n tuberculome kyste hydatique cryptococcose n Masse de fibrose : n n sarcoidose silicose
Silicose Pneumonie lymphocytaire interstitielle
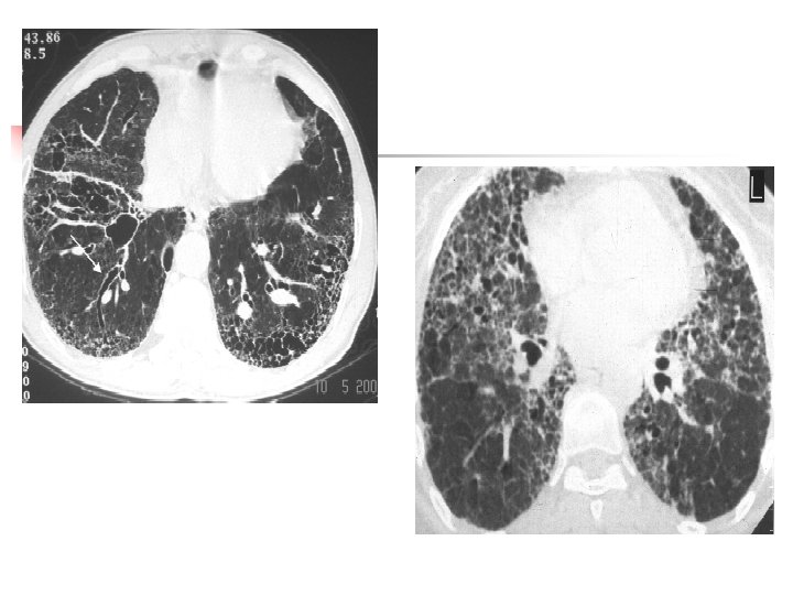
Rayon de miel micro et macro kystique Destruction irréversible du parenchyme pulmonaire Stade évolutif ultime de la fibrose. Radiographie standard Ø Lésions à contenu aérique de quelques mm de diamètre. Ø Jointives, limitées par des parois de 1à 3 mm d'épaisseur. Ø Sur plusieurs couches. Ø Territoires sous pleuraux.
Images en rayon de miel lobaires supérieurs droites avec hyperatténuation en verre dépolie
TDM Cavités < 1 cm juxtaposées(pas d’intervalle de poumon sain) Ø Paroi réguliére et épaisse. Ø Taille variable(petites ou grandes mailles). Ø Associées à des signes de distorsion pulmonaire: Déformation + déplacement des scissures Déformation des polygones septaux Déplacement des bronches et des vaisseaux Réticulation intralobulaire Distorsion des bronches, bronchectasie par traction. Ø Dic différentiel : Emphysème paraseptal Absence de paroi ou paroi fine Répartition Ø
Images en rayon de miel avec nombreuses cavités kystiques Bilatérales(fibrose interstitielle primitive)
Déplacement avec déformation. De la grande scissure Réticulation à très fines mailles sur un fond de verre dépoli Distorsion bronchique avec bronchiéctasie par traction
Les kystes pulmonaires n Cavités à conten aérique à parois fines séparées par du parenchyme sein. Histiocytose X. Lymphangioléiomyomatose Dic différentiel: Emphysème bulleux Pneumatocèle Gangrène pulmonaire. Nodule excavé n
Histiocytose X
Opacités en verre dépolie Zones d’hyeratténuation n’effaçant pas les contours des structures bronchiques ou vasculaires n Diffuses, multifocales ou localisées. n Syndrome alvéolaire+interstitiel débutant. Ü RX Diminution discrète de la transparence pulmonaire. Ü TDM+++ Densité élevée du parenchyme n’effaçant pas les contours des VX et des bronches n
Valeur sémiologique ü Epaississement de l’interstitium pulmonaire intralobulaire. ü Stase lymphatique. ü Augmentation du flux sanguin. ü Comblement partiel des alvéoles.
Hyperdensité en verre dépoli bilatérale, cardiomégalie, veines pulmonaires élargies : OAP Pneumopathie Interstitielle aiguë
Images en dallage irrégulier Fond d’images en verre dépoli+petites opacités linéaires non septales formant une réticulation intralobulaire visibles à l’intérieur des lobules eux mémes limités par des lignes septales Épaissies Fibrose intralobulaire
. Reconnaître le Sd interstitiel Diagnostic étiologique Clinique TDM Biologie LBA
En aval de l’imagerie Interrogatoire + Examen clinique ü Dyspnée d'effort / altération de l'état général Exposition aux poussières organiques ou anorganiques Processus néoplasique primitif Contage tuberculeux. Profession exposée (poumons de fermier, éleveur d'oiseaux) ü Maladie de système. ü ü
Etiologies du syndrome interstitiel
Les causes connues Malignes Lymphangite carcinomateuse *, lymphome Infectieuse TBK*, toxoplasmose, P. carini, CMV, candidose… Pneumoconiose Asbestose*, silicose*, anthracose… Hypersensibilité Alvéolité allergique extrinséque* Hémodynamiques Oedème pulm*, stase lymphatiqu Iatrogène RTH, medc
Idiopathiques La sarcoïdose* Fibrose interstitielle idiopathique* Collagénoses et vascularites Sclérodermie, lupus, PR, maladie de Wegener, PAN, … Histiocytose X Lymphangioléiomyomatose Microlithiase alvéolaire
Les lymphangites pulmonaires métastatiques Cancer connu + Symptomatologie respiratoire n Origine : Pancréatique/Gastrique/Mammaire colon, poumon, rarement des lymphomes. n Tissu de conduction péribroncho-vasculaire+++. n 2 formes: : Ø Forme bilatérale et diffuse dissémination hématogène Ø Forme unilatérale ou localisée diffusion lymphangitique péritumorale d’un adénocarcinome bronchique n
Radiographie standard Travées opaques hilifuges à disposition « rayon de roue »
TDM+++ Ø Ø Épaississement septal inter lobulaire Épaississement péribronchovasculaire nodulaire Ø Ø Épaississement scissural Micronodules (distribution lymphatique) Hyperdensité en verre dépoli. *Lésions associés : Epanchements pleuraux intarissables/Adénopathies hilaires et médiastinales.
Grosses bandes linéaires, Prédominantes dans les territoires postéro-inférieurs.
Lymphangite carcinomateuse Epaississement périlobulaire+épaississement scissural
Les Pneumoconioses Silicose Inhalation chronique de particule de silice cristalline Radiographie standard ü Opacités nodulaires ou micronodulaires , bien limitées , homogène ü Prédominants dans les régions supérieures et moyenne des poumons ü Opacités réticulée. ü Masses pseudo-tumorales (périhilaire). ü Adénopathies hilaires parfois calcifiées en coquille d'œuf ü Emphysème paracicatriciel
Silicose: masses parenchymateuses pseudo-tumorales
Tomodensitométrie Prédominance dans les régions supérieures et postérieurs Ø Micronodules Centrolobulaires et/ou sous pleuraux (répartition lymphatique) De 2 à 5 mm de diamétre Ø Nodules bien limités/distribués de façon homogène Ø Masse de fibrose forme ovale contours irréguliers parfois calcifiées, et/ou excavées Ø Distorsion Ø Adénopathies médiastinales/parfois calcifiées en coquille d ' oeuf
Silicose Micronodules centrolobulaireet sous pleuraux Masses de fibrose de siége central périhilaire, englobant les bronches Proximales.
ASBESTOSE Inhalation des fibres la fibre d ' amiante Radiographie standard Anomalies parenchymateuses : ü Predominant dans les régions inférieures et en sous pleural ü Opacitées réticulées irréguliéres ü Opacités réticulo-micronodulaires ü Opacités nodulaires ou micronodulaires (rares) ü Images en rayon de miel Anomalies pleurales associées: ü plaques pleurales : souvent unilaterales , à gauche ou bilaterales asymetriques/predominant sans la moitiée inférieure du thorax ü Epaississement pleural diffus ü Calcifications pleurales/épanchement pleuraux
Des opacités allongées de contours irréguliers Calcifiées: plaques pleurales
Tomodensitométrie n n Opacités lineaires curvilignes sous pleurales(F. débutante) Opacités micronodulaires sous pleurales(F. péribronchiolaire) Epaississement lineaire septal Images en rayon de miel. Anomalies pleurales Plaques pleurales Opacités linéaires "en pied de corneille"venant au contact de la plévre Atelectasie ronde Pleurésie asbestosique
Opacités curvilignes sous pleurales Opacités en pied de corneille
Les Alvéolites allergiques extrinsèques Pneumopathies d’hypersensibilité ou pneumopathie interstielle granulomateuse. n Réaction pulmonaire à des antigénes spécifiques soit : Organique d’origine professionnelle « poumon de fermier » ou « poumon d’éleveur d’oiseaux » ), Soit d’origine médicamenteuse « poumon à la cordarone » n Image en « verre dépoli » , à topographie péri hilaire, en « ailes de papillon » . n
poumon d'éleveurs d'oiseaux Plages hétérogéne de verre dépoli poumon de fermier Micronodules centrolobulaires
PID Idiopathiques Sarcoïdose Radiographie standard Type 1 Adénopathies mediastinales isolées Type 2 Adénopathies mediastinales + infiltration pulmonaire diffuse
Type 3 Infiltration pulmonaire isolée sans adénopathies Type 4 Infiltration pulmonaire avec fibrose
Tomodensitométrie lésions parenchymateuses : n n Régions supérieures et moyennes (60 %) et postérieures (30 %). Opacités nodulaires: ü nodules (41 %)et micronodules (77%). ü à contours nets. ü à distribution perilymphatique ü prédominant en péri hilaire et dans les régions moyennes et supérieures des poumons Rarement excavés condensation pseudoalvéolaire Verre dépoli résulte Infiltration de l'interstitium par des granulomes plutôt que d'une alvéolite. ü n n
Micronodules à répartition périlymphatique Verre dépoli Condensation pseudoalveolaire Epaississement péribroncho-vx
Déformation scissurale Masse de fibrose rétractile épaississement septal nodulaire ou distordu Images en rayons de miel
La fibrose pulmonaire idiopathique n n L'interrogatoire élimine un éventuel agent causal: inhalation d'aerocontaminants mineraux ou organique, prise de médicaments connu pour pouvoir donner une pneumopathie interstitielles. A l'examen clinique, il n'ya aucun signe de connectivite. Radiographie n n n Prédominance basale et périphérique Opacités réticulées ou réticulo-nodulaires Destruction en rayon de miel Hyperdensité en verre dépoli localisées Diminution du volume pulmonaire Effacement des contours du coeur et du diaphragme
Tomodensitométrie Lésions prédominantes en périphérie et en sous pleura+Régions inférieures et postérieures des poumons. n Rayon de miel n Réticulations fines intra- lobulaires n Verre dépoli (n'est jamais le signe dominant): n les hyperdensités en verre dépoli n épaississement pleuraux et sous pleuraux irréguliers n épaississements péribronchovasculaires irréguliers
Rayon de miel basal bilatéral, distorsion bronchopulmonaire : fibrose débutante
CONCLUSION La TDM HR permet le diagnostic positif ainsi que l’approche étiologique de L’atteinterstitielle pulmonaire localisée et diffuse.