Le syndrome du carrefour postrieur de la cheville


























































- Slides: 58
Le syndrome du carrefour postérieur de la cheville J-M Annaert
Syndrome du carrefour postérieur Introduction n D+ mécanique située face postérieure cheville provoquée par la flexion plantaire n Pathologie fréquente en pratique sportive n Svt confondue avec souffrance du tendon Achille n Diagnostic clinique très aisé… n Diagnostic étiologique nécessite une imagerie soigneuse et une bonne connaissance de l’anatomie locale cf nbreux DD
Les acteurs du conflit n n Structures osseuses Structures capsulo-ligamentaires Structures cartilagineuses Tendon du long fléchisseur de l’hallux
SCP : Rappel anatomique Les os
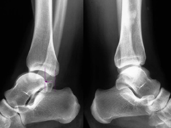
SCP : Rappel anatomique n Les os Processus postéro-latéral du talus (queue de l’astragale, proc. de Stieda) -Parfois volumineux -Parfois « os trigone » -Enthèse lig. talo-fib. post. et lig. talo-calc. post. -Parfois face inf. proc. lat. voire de OT forme artic. avec le calca
SCP : Rappel anatomique n Les os : L’os trigone
SCP : Rappel anatomique n Les os Processus postéro-latéral du talus : Os trigone - appar. noyau d’ossification 2 aire entre 7 et 13 ans - fusion au noyau ossif. 1 aire en +/- 1 an (10 ans chez fille ; 13 ans chez garçon) - pas de fusion chez environ 10% pop. sédentaire (…jusqu’à 80% ds série footballeur) - bilatéral ds 1, 4 % des cas - forme alors une synchondrose avec le talus - parfois bi ou multipartite… - taille habituelle <10 mm - Etiologie : - excès de traction par enthèse lig. (talo-fib. post. ou talo-calc. ) en flexion dorsale répétée - excès de compression en flexion plantaire
SCP : Rappel anatomique n Les os Le processus postéro-médial du talus - tjrs bcp moins prononcé - enthèse du faisc. prof. LCM post. - berge médiale du canal du tendon LFH
SCP : Rappel anatomique n Les os : Rebord postérieur de l’épiphyse distale du tibia
SCP : Rappel anatomique n Les os La région rétro-thalamique du calcanéum : trop convexe
SCP : Rappel anatomique Les acteurs du conflit: Les tissus mous capsulo-ligamentaires n Cul-de-sac capsulo-synoviaux postérieurs artic. talocrurale et sous-talienne (parfois communicants) D. Richarme - Cochin
SCP : Rappel anatomique Les acteurs du conflit: Les tissus mous capsulo-ligamentaires -Lig. tibio-fibulaire post. - inférieur -Lig. talo-fibulaire post. (1) ( ex. LLE post. ) -Lig. tibio-talien post. (2) (ex. LLI post. ) { entre (1) et (2) coulisse du tendon LFH } -Lig. talo-calcanéen postérieur -Lig. intermalléolaire postérieur (renforcement de la capsule post. )
Ligament intermalléolaire postérieur « Marsupial meniscus » Existe chez 20 à 30 % de la population n Bilatéral ds 20% des cas n Tendu entre faces post. malléoles lat. et médiale n « Pseudo-ménisque » n Pathologies : -fissures -luxation (cf anse de seau) ds interligne talo-crural n Diagnostic : AG , arthro-CT , IRM n J. Borne et coll. – J. de Radiologie 83(1)-janv. 2002 -pp 27 -38
Ligament intermalléolaire postérieur n Collection J. Borne
Ligament intermalléolaire postérieur ( coll. J. Borne)
SCP : Rappel anatomique Les acteurs du conflit: Le cartilage n La synchondrose talus – os trigone Les interlignes articulaires - talo-crural postérieur n - sous-talien postérieur (parfois face inf. processus lat. post voire de OT recouvert de cartilage)
SCP : Rappel anatomique Les acteurs du conflit: Le tendon du m. long fléchisseur de l’hallux
SCP : Etiopathogénie n Traumatique n Microtraumatique
Le SCP traumatique : Mécanismes Trauma en flexion plantaire forcée n Très fréquent… n Origine : Shoot contré, tacles, irrégularité du sol, … Lésions : - contusion « postérieure » chondrales, caps. -ligamentaire - # processus post. lat. du talus (# de SHEPHERD) - # malléole tibiale postérieure - # os trigone ou de la synchondrose n Difficultés : - DD # ou os trigone… - Arguments : - # : trait net et non corticalisé - scintigraphie n
Fracture du processus postéro-latéral
# malléole postérieure
# de l’os trigone (Collection D. Richarme - Cochin)
(Coll. Daniel – 2002)
Le SCP traumatique : Mécanismes Trauma en varus-équin Fréquent n Lésions : - lésions « post » cf supra - lésion lig. talo-fib. ant. (LLE ant. ) . Entraîne laxité antérieure du talus . Augmente la flexion plantaire . Favorisant impaction postérieure n
Le SCP traumatique : Mécanismes Trauma en varus neutre ou en flexion dorsale n Rare Lésions : - # -arrachement du processus postéro-latéral du talus - lésion du ligament talo-fibulaire postérieur n
Le SCP traumatique : Mécanismes Trauma en rotation interne appuyée ( tacle) Rare… n Origine : tacle n Lésions : ligament tibio-fibulaire postérieur n Difficultés : - visualisation difficille…Svt RX – - CT +++ n
Le SCP traumatique : Mécanismes Trauma en flexion dorsale et valgus (ou RE) n Encore plus rare… n Origine : réception de saut sur terrain irrégulier Lésions : - ligament collatéral médial postérieur ( talo-tibial post. ) - # processus postéro-médial du talus ( # de CEDELL) - associées : - lig. tibio-fibulaire antérieur ( < Rext. ) - # fibula ( < valgus) n
Fracture de Cedell ( Cial-Bordeaux)
SCP microtraumatique n n Mécanisme : répétition de contraintes en flexion plantaire sur les éls. du complexe tibio-talo-calca postérieur Sports : football, danse classique, rugby, athlétisme, volley, …
SCP microtraumatique : Facteurs favorisants n Processus postéro-latéral talus exhubérant Os trigone volumineux n (Malléole postérieure trop descendante , calcaneum bossu) n Perte mobilité antéro-postérieure du talus Laxité antérieure excessive (séq. lésion lig. talo-fibulaire antérieur) n n
SCP microtraumatique : Lésions n n n Inflammation récessus capsulo-ligamentaires postérieurs Arthrose talo-crurale ou sous-talienne postérieure # de stress tibio-talienne postérieure Lésion ostéo-chondrale dôme talien postérieur Tendinopathie Fléchisseur Propre de l’Hallux (TS > fissures IT)
Bilan clinique Anamnèse SCP traumatique Apparition douleur postérieure en flexion plantaire - immédiate posttraumatique - ds les semaines ou mois suivant un trauma . cf lésions associées + sympto au départ (entorse varus équin) . cf laxité antérieure séquellaire . cf fibrose capsulo-lig. postérieure ( raideur) . cf arthrose post-trauma . cf lésion OD talus post. T n
Bilan clinique Anamnèse SCP microtraumatique Apparition douleur postérieure en flexion plantaire - ds le cadre d’une hypersollicitation en flexion plantaire ( foot, danse classique, …) - sans raison évidente ( svt « blocage talien » ) - apparition svt progressive, parfois brutale mais sans T - appréhension +++ - marche le plus svt normale n
Bilan clinique : Testing Inspection - en décubitus ventral - le plus svt : SP - parfois œdème gouttière para-achilléenne (ds les suites trauma) n
Bilan clinique : Testing n Passif - provocation D+ reconnue en flexion plantaire + ou - appuyée . percussion talon…svt inutile . décubitus dorsal . Test xylo si nécessaire - raideur / laxité mobilité tibio-talienne - parfois provoc. D+ en posture étirement max. tendon FPH ( flexion dorsale cheville + flexion dorsale hallux) DD: lésion tendon… - parfois D+ post. Ds mvt particulier responsable du trauma ( valgus, Rint, …)
Bilan clinique : Testing Isométrique - parfois D+ en contraction FPH (DD : lésion tendon FPH) n Palpation - svt peu contributive - parfois D+ srt processus post. -latéral n
SCP : Diagnostic = Clinique Mais le diagnostic « lésionnel » = imagerie But : Préciser : - anatomie - définir lésion n Moyens : - RX - Echo (tendon FPH) - CT , arthro. CT, IRM , scinti n (surtout si trauma pour exclure # méconnue)
SCP – Imagerie : Remarques n Sans une douleur en flexion plantaire… « Les images de fragmentation ou d’hypertrophie du tubercule postéro-lat. du talus n’ont aucune signification pathologique » n Parfois difficulté DD # processus postérolatéral / os trigone
SCP traumatique : Traitement # récente PPLTalus , peu ou pas déplacée : - immobilisation 6 à 12 semaines - décharge 3 semaines # récente PPLT déplacée - gros volume (extension dôme T ) : chirurgie - limitée : . patience… . infiltration si D+ persistantes . chirurgie si trop symptomatique # ancienne douloureuse : - infiltration - rééducation - ( chirurgie ) Trauma sans # : patience, rééducation, infiltration
SCP non traumatique : Traitement Arrêt geste toxique… n Si perte mobilité talus : rééducation n Si mobilité talus « normale » : infiltration (svt très efficace) n Si échec T. conservateur : chirurgie à ciel ouvert ou AS : - excision osseuse ( OT, PPLT ) - ténolyse LFH n
SCP : Diagnostics différentiels Avec flexion plantaire douloureuse - Tendinopathies du Long Fléchisseur de l’Hallux . Situation : gouttière du processus post. Du talus ( tunnel ostéo-fibreux non extensible) . Facteur favorisant : jonction MT basse - jonction N = niv. Art. tibio-talienne - jonction basse = niv. Talus ou face médiale calca. n (néanmoins anomalies le plus svt asymptomatiques) - Lésion ostéochondrale dôme talus ou du pilon tibial (séq. T , kyste , …)
SCP : Diagnostics différentiels n Avec flexion plantaire indolore - Pathologies achilléennes - Kyste synovial pré-achilééen volumineux (orig. Caps. Post. ) - Volumineuse bursite pré-achilléenne ( conflit pré-ach. ) - # stress du calcanéum - Muscle soléaire accessoire ( 10 % pop. ; le plus svt asympto. ) - Sciatalgie tronquée
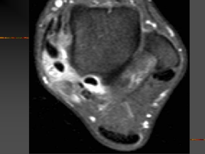
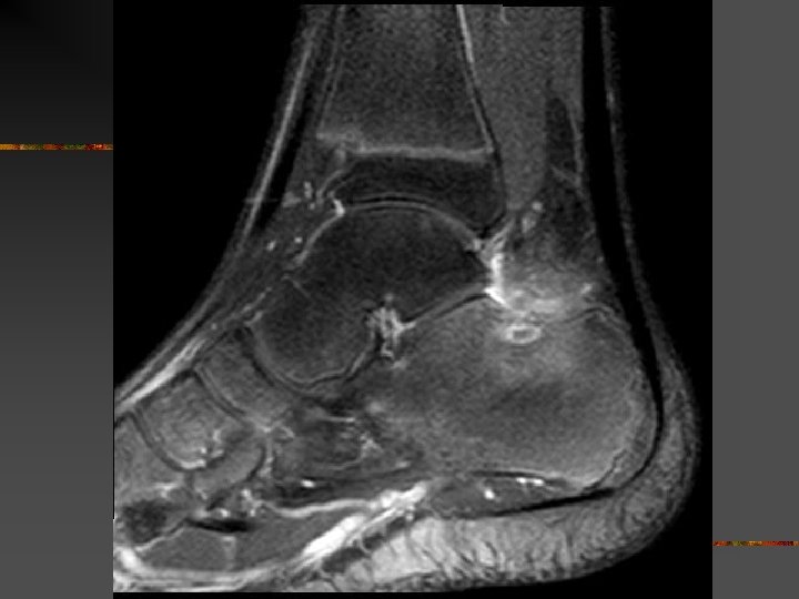
Hémangiome rétromalléolaire
Kyste anévrysmal calcanéen
SCP : Conclusions n Pathologie fréquente Origine posttraumatique ou microtraumatique n Svt non diagnostiquée et confondue avec patho. Achilléenne n Diagnostic clinique aisé : un signe commun aux différentes entités pathologiques : D+ en flexion plantaire Démembrement étiologique par imagerie Traitement en général simple et efficace n n n