LE PNEUMOTHORAX Dfinition Effraction dair dans lespace pleural
























- Slides: 24
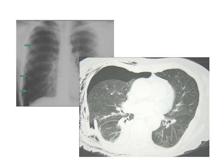
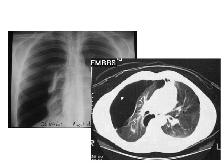
LE PNEUMOTHORAX
Définition Effraction d’air dans l’espace pleural
Pneumothorax suffoquant
Intervention chirurgicale - Vidéo - Thoracoscopie
Intervention chirurgicale - résection des bulles percées
Intervention chirurgicale - résection des bulles percées
Intervention chirurgicale - résection des bulles percées
Intervention chirurgicale – PONÇAGE
PRISE EN CHARGE POST OPERATOIRE EN SALLE - PNEUMOTHORAX • Surveillance hémodynamique 1 fois par équipe : pouls, TA, T°, SPO 2, EVA, diurèse • Surveillance du pansement J 2 : • Ablation de la perfusion • Ablation sonde urinaire si présente • Radiographie pulmonaire au lit J 3 : • Ablation du drain pleural postérieur • Repos 1 h au lit J 4 : • Ablation du drain pleural antérieur • Repos 1 h au lit J 5 : • Radiographie pulmonaire face et les deux profils, dans le Service de Radiologie • Ablation du pansement ; les cicatrices restent à l’air • Sortie fin matinée, début d’après-midi, après confirmation du médecin CONSIGNES DE SORTIES • Arrêt de travail 30 jours • Bon de transport si besoin • Ordonnance avec Doliprane 1 gx 3/j et Contramal 100 mg LP x 2/j si douleurs et traitement habituel • Ordonnance d’ablation des fils précisant la date qui correspond à J 14 de l’intervention • Lui prendre un RDV dans 7 à 10 jours avec le chirurgien ; • prévoir radiographie pulmonaire face et les deux profils à faire juste avant la consult
LES PLEURESIES
Formation des épanchements liquidiens
Pleurésie modérée
Pleurésie abondante
Pleurésie massive
Rôle de l’échographie Repérage du liquide Repérage du diaphragme
Etiologie - Tumorale: Primitive : Mésothéliome Secondaire : Métastatique Infectieuse : L’empyème
Mésothéliome
Mésothéliome
Métastases pleurales
Intervention chirurgicale – TALCAGE
L’empyème
PRISE EN CHARGE POST OPERATOIRE EN SALLE – TALCAGE PLEURAL • Surveillance hémodynamique 1 fois par équipe : pouls, TA, T°, SPO 2, EVA, diurèse • Surveillance du pansement J 2 : • Ablation de la perfusion • Ablation sonde urinaire si présente J 3 : • Drain? J 4 : • Ablation du drain pleural si drainage < 100 ml/24 h J 5 : • Radiographie pulmonaire face et les deux profils, dans le Service de Radiologie • Ablation du pansement ; les cicatrices restent à l’air • Sortie fin matinée, début d’après-midi, après confirmation du médecin CONSIGNES DE SORTIES • Arrêt de travail 30 jours • Bon de transport si besoin • Ordonnance avec Doliprane 1 gx 3/j et Contramal 100 mg LP x 2/j si douleurs et traitement habituel • Ordonnance d’ablation des fils précisant la date qui correspond à J 14 de l’intervention • Lui prendre un RDV dans 7 à 10 jours avec le pneumologue ou l’oncologue qui le suit