La gonarthrose La gonarthrose statique Concerne 1 sujet



















































































































- Slides: 115
La gonarthrose
La gonarthrose statique Concerne 1 sujet sur cent entre 55 et 64 ans 2 % des hommes 6, 6 % des femmes entre 65 et 75 ans
La gonarthrose est avant tout un problème mécanique favorisé par : – – – Des Des Des déformations fémoro-tibiales altérations des surfaces articulaires séquelles traumatiques osseuses méniscectomies ruptures ligamentaires (LCA) Parallèlement, il y a des altérations biochimiques dans le cartilage et une perte de ses propriétés mécaniques (réversibles selon Berman ? ? )
La conformation ou le morphotype explique souvent l’arthrose latéralisée
La gonarthrose interne sur genu varum Elle peut potentialiser et aggraver toutes les causes précédentes, avec en plus la surcharge pondérale et la faiblesse du hauban externe • Un défaut d’axe favorise l’usure d’un compartiment • L’usure accentue la déviation
La gonarthrose externe sur genu valgum est moins fréquente : 10 % La déviation est fémorale le plus souvent
Déformation en coup de vent : genu varum à droite et genu valgum à gauche
L’arthrose fémoro-patellaire évolue souvent avec l’arthrose F-T latéralisée
Il faut examiner les patients lors de la marche Décompensation ligamentaire externe lors de l’appui
Symptômes habituels • Douleurs • Hydarthrose • Instabilité
Il y a plusieurs manières de classer les lésions du cartilage Selon le type d’investigation : – Radiographie conventionnelle – Arthroscopie – Histologie – IRM, arthroscanner
Classification des lésions des cartilages vues en arthroscopie – Cartilage ramolli (dépressible au palpateur) – Fissures linéaires – Fissures en étoile – Lambeaux, clapets (aspect chair de crabe) – Ulcérations profondes – Os sous-chondral à nu sur une large surface
Il y a plusieurs classifications radiologiques (Kellgreen Lawrence) Stade 1 Ostéophytes mineurs Stade 2 Ostéophytes sans pincement articulaire Stade 3 Pincement articulaire modéré Stade 4 Pincement articulaire avec condensation sous chondrale Kellgreen JH, Lawrence JS : Radiological assessment of ostoearthrosis. Ann Rheum Dis 1957.
Classification de Ahlbäck 1 2 3 4 Usure < 50% 50 à 100% Cupule < 5 mm Cupule > 5 mm Plateaux coupés pour une prothèse
Classification des lésions vues en IRM Stade O Cartilage normal Stade 1 Gonflement et ramollissement Stade 2 Perte de substance < 50% Stade 3 Perte de substance > 50% Stade 4 Os sous chondral à nu
Classification IRM Stade 1 Stade 2 Stade 3 Stade 4 Documents Y Carillon
L’IRM peut permettre grâce à des artifices techniques de mesurer le volume du cartilage fémoro-tibial Documents Y Carillon
Autres apports de l’IRM en plus des lésions des cartilages, l’IRM montre : Lésions méniscales Œdème Epanchement Documents Y Carillon
L’IRM permet de déterminer précisément la topographie de l'arthrose fémoro-tibiale Documents Y Carillon
Evaluation des lésions du cartilage Localisation dans le genou (quadrants) Surface - En pourcentage - En cm 2 - Par compartiment
Evolution de l’arthrose fémoro-tibiale interne L’usure débute au centre du plateau interne Hernigou : étude de 250 genoux avec arthrose fem-tib interne Ant Coupe du tibia pour prothèse Siège des cupules : Cupule post. : 12 Cupule centrale : 32 Cupule ant. : 4 Ant
Usure très antérieure du plateau interne au cours d’une PTG
Les ostéophytes sont les premiers signes de l’arthrose Boegard T. Correlation between radiographically diagnosed osteophytes and magnetic resonance detected cartilage defects in the tibiofemoral joint. Ann Rheum Dis 1998
La gonarthrose entraîne la rupture du LCA Les ostéophytes ferment l’échancrure et usent le LCA Inversement, la rupture du LCA provoque l’arthrose (la section du LCA est un modèle expérimental de l’arthrose chez l’animal)
Gonarthrose globale LCA disparu LCA encore présent
Les ostéophytes Noter les ostéophytes périphériques et aussi les ostéophytes tibiaux développés sur la surface préspinale responsables de flexum en venant buter contre le fémur en extension
Les radiographies qui montrent l’usure Appui bipodal Schuss Profil en appui
Analyser la laxité Du côté du compartiment usé apparaît une laxité, liée à la perte de substance cartilagineuse puis osseuse “laxité d’usure” mise en évidence par un cliché en valgus forcé
Quand la déformation s’accentue, il apparaît une laxité dans la convexité laxité de distension • Cette laxité est visible à la marche, lors de l’appui monopodal : décompensation Baîllement Subluxation
Laxité interne d’usure Stress en valgus ± Laxité externe de distension Stress en varus
Il y a des décompensations complexes avec des laxités globales qui rendent très difficiles la rééquilibration avec des prothèses Valgus réductible mais il persistera une laxité interne Varus réductible
La déformation peut provenir du tibia et/ou du fémur mesurer l’angle F et l’angle T Telégoniométrie debout • • Angle HKA Angle F Angle T Bâillement F T
Dans la gonarthrose en varus la déformation siège au tibia contrairement à la gonarthrose en valgus où elle siège le plus souvent au fémur
Mesures chez des gonarthrosiques avec genu valgum (thèse de David DESME) Angle HKA Angle F et T Angle F Le valgus est majoritairement d’origine fémorale
La gonarthrose entraîne des modifications du contrôle de l’équilibre et du mouvement – La phase d’appui monopodal est raccourcie par esquive d’appui, douleur, déficience musculaire. – La phase de réception stabilisation et la durée totale du mouvement sont allongées.
C’est pour retrouver cet équilibre que les ostéotomies ont été proposées • • Merle d’Aubigné (1948) Judet (1957) Debeyre, Cauchoix et Duparc Jackson et Waugh (1961) (ostéotomie en dôme) Blaimont (curviplane) Maquet Coventry - Gariepy
Traitement de la gonarthrose Le traitement médical ne peut actuellement supprimer la douleur que de façon temporaire – – médicaments infiltrations physiothérapie diminution du poids et de l’activité n’ont qu’une action symptomatique
La chirurgie • • • Les résultats des nettoyages articulaires par arthrotomie ou par arthroscopie sont variables et ne font que repousser de quelques mois ou années l’échéance de l’arthroplastie Les prothèses sont utilisées chez les sujets âgés, leurs performances à l’effort ne sont pas suffisantes pour que l’on propose cette solution à des sujets jeunes et actifs L’ostéotomie a pour but de supprimer la douleur durablement et peut être proposée à tout âge
La rééquilibration est obtenue par 3 types principaux d’ostéotomies Ouverture interne Fermeture externe Le but est d’obtenir l’équilibre Curviplane
Charge du compartiment interne : (Waugh et Johnson : marche sur plateau de force) = 74 % du poids = 100 % pour 1 genu varum de 10° Faillite du hauban externe
Équilibre (Blaimont) TFL Biceps L’électromyographie des muscles stabilisateurs externes a montré le rôle essentiel du biceps et du tenseur du fascia lata
Équilibre Moment musculaire/moment gravitaire P. A=M. B
Démonstration de la nécessité d’équilibrer en créant une hypercorrection (Blaimont) Patient de 70 kg, son axe gravitaire et les distances du genou par rapport à cet axe Une hypercorrection en valgus est donc nécessaire pour que l’équilibre soit réalisé : MP = MM
« Hypercorrection » ne signifie pas de créer une déformation excessive de ce genre
Une hypercorrection en valgus est nécessaire • Elle est confirmée par toutes les analyses de résultats publiées dans la littérature. Elle doit se situer dans une fourchette de 3 à 6 degrés • moduler en fonction de l’âge, du poids, de la taille, de l’usure, de l’état ligamentaire et musculaire Mais ! • L’hypercorrection fait craindre une dégradation possible du compartiment opposé (5 à 13 % après 10 ans) • Difficultés lors de la mise en place de prothèses ultérieures
préop Postop Correction correcte : 3 à 4° Valgus excessif : 12° Il n’est pas utile de dépasser 6 degrés : limite supérieure tolérable sur le plan esthétique et fonctionnel et pour préserver le compartiment externe
1 - Ostéotomie d’ouverture • Autogreffe (iliaque) • Allogreffe (tête fémorale • Substitut osseux
Contrôle opératoire Contrôle radioscopique Une tige matérialisant le tibia doit passer en dedans de la tête fémorale (30 à 40 mm) 1° = 7 à 8 mm 1 - Appliquer les 2 compartiments 2 – contrôler en faisant du varus forcé
Contrôle opératoire de la correction 35 mm 5° = 35 mm On peut matérialiser le centre du fémur par un répère métallique placé sur la peau sous radioscopie, ainsi qu’un autre répère correspondant au but à réaliser Préop On peut les percevoir sous les champs opératoires Postop
Correction correcte Hypercorrection excessive
Ostéotomie d’ouverture interne Avantages – – – Simplicité Pas d’ostéotomie du péroné Pas de paralysie du SPE (aucune sur 428 ouvertures) Mobilisation précoce du genou 12 ans
Ostéotomie d’ouverture interne Inconvénients – – – Nécessité d’interposer un greffon Consolidation lente L’appui est retardé Pertes angulaires par tassement Allongement du membre Abaissement relatif de la rotule
Post-op 1 an 3 ans Ostéotomie d’ouverture avec un substitut osseux (Biosorb ®) Valgus 4°
1 an 2 ans
Flexion complète possiblea près ostéotomie
2 - Ostéotomie de fermeture externe Trait sus-tubérositaire Charnière interne stable Ostéotomie du péroné
Ostéotomie de fermeture externe Lame-plaque “col-de-cygne”(Descamps)
Ostéotomie de fermeture externe Inconvénients Péroné - SPE Détente du tendon rotulien Détente du LLE Fragilité - appui différé Effet d’extériorisation de la diaphyse (complique pose PTG) Syndrome des loges, rare (Kirgis)
Ostéotomie de fermeture externe Avantages • • Simplicité Correction possible dans plusieurs plans Pseudarthroses rares : 1, 5 à 3, 5 % Transposition de la tubérosité tibiale possible Les limites sont liées au capital osseux situé au-dessus de la tubérosité tibiale Au-delà de 15°, il faut éviter les ostéotomies de fermeture
3 - Ostéotomie “curviplane” (Blaimont)
Ostéotomie “curviplane” Inconvénients – – – Technique un peu complexe Présence de 6 incisions près de l’articulation Infections sur broches (1, 5 à 7 %) Pertes angulaires après ablation du cadre Pseudarthroses (2 à 5 %) SPE (1, 5 à 7 %)
Ostéotomie “curviplane” Avantages – – – Résection moindre du péroné Pas de perte de longueur Réajustement secondaire possible Seule technique pour les déviations majeures Centrage fémoro-patellaire Avancement de la TTA (Maquet)
Gestes associés aux ostéotomies • Arthroscopies : 3 % • Arthrotomies : 28 % – – – Méniscectomies Transposition de la tubérosité tibiale Ostéophytes Greffes en mosaïque Ligamentoplasties du LCA
Gestes associés aux ostéotomies Transposition de la tubérosité tibiale ± régularisation de la rotule
Gestes associés aux ostéotomies En cas de flexum : Majoration de la force appliquée à la rotule • La solution la plus logique serait de Le flexum prive la rotule de sa position de repos faire une libération ligamentaire postérieure • On se contente plutôt de corriger au niveau de l’ostéotomie
Parfois le flexum s’améliore en supprimant les ostéophytes antérieurs Flexum en rapport avec un ostéophyte tibial antérieur
Une ouverture allonge le membre Une fermeture le raccoucit Il ne faut associer ouverture et fermeture qu’en cas d’inégalité
Les résultats fonctionnels sont bons • Langlais Vielpeau : 81 % après 5 ans • Bouharras Hoet et Watillon : 74 % après 5 ans et 64 % après 10 ans • Lootvoet : 71 % après 8 ans (193 cas) • Coventry : 60 % après 10 ans et 15 ans (Yasuda, Rinonapoli, Odenbring) • Hernigou : sur 93 genoux, il y avait 45 % de bons résultats à 10 ans et 13 % après 20 ans. Parmi les échecs, il y a eu 31 cas non réopérés, 28 réopérés dont 15 par prothèses et 13 par ostéotomies itératives (12 perdus de vue)
Indications des ostéotomies Profil du bon candidat à une ostéotomie • • • un sujet jeune un varus tibial un bon interligne externe un LCA et un LLI normaux un pincement de l’interligne de stade 1 ou 2 Pas de surcharge pondérale
Indications On peut néanmoins faire une ostéotomie avec succès chez un sujet âgé Obèse avec une arthrose de stade 3 et 4 à condition que la réalisation technique soit correcte 1 an 18 ans
Arthrose fémoro-tibiale interne 1 84 % 2 60 % de bons résultats 3 (Ahlbäck) 4
Limites de l’ostéotomie État du compartiment interne et externe
Limites de l’ostéotomie +12 ans Le compartiment externe doit être correct car il va reprendre en charge une partie des contraintes
En cas de varus résiduel On peut refaire une ostéotomie (SOFCOT 1991) (soit ouverture, soit fermeture) 3 mois Ostéotomie d’ouverture en jouant avec le matériel restant
Le traitement de la gonarthrose externe sur genu valgum Origine fémorale le plus souvent
Gonarthrose externe sur genu valgum Dans le genu valgum une normocorrection suffit (180°) (La laxité interne est peu sollicitée lorsque le membre est normo-axé)
Dans les stades 3 et 4, l’ostéotomie est dépassée
Plusieurs types d’ostéotomies possibles Ostéotomie de fermeture interne du fémur
Ostéotomie d’ouverture externe du fémur
Résultats des ostéotomies fémorales • Les résultats sont très bons pour Healy et Krackow dans 93 % des cas, avec un recul de 4 ans pour 15 cas (valgus de 1 à 5°) • Mc Dermott : 22 améliorations sur 24 cas • Tjornstrand : 18 cas, 6 reprises en 7 ans • Mathews : 57 % de complications pour 21 cas et 19 % des patients ont été repris par prothèse
Ostéotomie de fermeture interne du tibia Simplicité
Risques de l’interligne oblique
Arthrose fémoro-patellaire associée à une AFTE L’arthrose rutulienne est majeure chez une femme de 55 ans : indication possible de Prothèse FP + ostéotomie de varisation
L’ostéotomie, tient encore une place importante malgré les progrès des prothèses du genou (Les prothèses sont limitées par l’usure du métal et du polyéthylène) Expérience personnelle PTG Ostéotomies PUC Bilan fin 2004: - 2346 Prothèses totales - 1844 Ostéotomies - 388 Prothèses uni
Les ostéotomies ont encore une place importante, isolément ou, dans l’avenir, en association avec les resurfaçages cartilagineux Exemple de greffe ostéo-cartilagineuse en mosaïque susceptible de traiter des lésions de surface modérées
Rééducation du genou arthrosique Les muscles doivent redevenir protecteurs des cartilages et des ligaments Comment renforcer les haubans externes Travail contre résistance en décubitus latéral • Réduire les contraintes chondrales générées par la faiblesse musculaire • Supprimer les douleurs par traction • • Renforcer le hauban externe Étirer les muscles courts (les antéverseurs ++) Tonifier les rétroverseurs du bassin “gestionnaire de l’équilibre du squelette” Corriger le flexum • •
Dans les stades 3 et 4, surtout après 70 ans, on doit proposer des prothèses du genou. (Voir chapitre spécial)
Fin
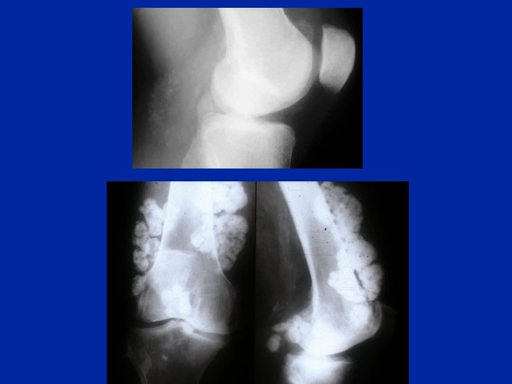
En marge de la gonarthrose Gonarthrose et ostéochondromatose
Ostéochondromatose synoviale
Chondrocalcinose
PR
Une femme de 58 ans est traitée depuis 2 ans pour des douleurs internes des 2 genoux par des AINS Elle pèse 80 kg pour 1 m 63 et elle présente un genu varum avec un écart entre les genoux net malgré le volume important de ses cuisses. Elle apporte une radio faite il y a un an qui montre un léger pincement de l’interligne interne Q 1: Quels sont les signes cliniques utiles à recher pour la décision thérapeutique? Q 2: Quelles radiographies demandez-vous? Q 3: Quels sont les démarches à conseiller ? Q 4: Quelle va être l’évolution spontanée? Q 5: Quelles sont les options chirurgicales possibles en fonction de l’examen?
Une femme de 58 ans est traitée depuis 2 ans pour des douleurs internes des 2 genoux par des AINS Elle pèse 80 kg pour 1 m 63 et elle présente un genu varum avec un écart entre les genoux net malgré le volume important de ses cuisses. Elle apporte une radio faite il y a un an qui montre un léger pincement de l’interligne interne Q 1: Quels sont les signes cliniques utiles à recher pour la décision thérapeutique?
Une femme de 58 ans est traitée depuis 2 ans pour des douleurs internes des 2 genoux par des AINS Elle pèse 80 kg pour 1 m 63 et elle présente un genu varum avec un écart entre les genoux net malgré le volume important de ses cuisses. Elle apporte une radio faite il y a un an qui montre un léger pincement de l’interligne interne Q 1: Quels sont les signes cliniques utiles à recher pour la décision thérapeutique? Recher la présence d’un épanchement articulaire et d’un kyste poplité Recher l’existence d’un flexum passif et mesurer le déficit de flexion Recher la présence de craquements sur l’interligne interne, d’une instabilité qui pourraient signifier l’existence d’une dilacération méniscale Recher l’existence d’une laxité externe à l’examen et surtout à la marche signifiant la décompensation du varus Recher l’absence de tiroir antérieur qui prouve le bon état du LCA Recher l’absence de participation rotulienne (rabot, douleur FP, subluxation)
Une femme de 58 ans est traitée depuis 2 ans pour des douleurs internes des 2 genoux par des AINS Elle pèse 80 kg pour 1 m 63 et elle présente un genu varum avec un écart entre les genoux net malgré le volume important de ses cuisses. Elle apporte une radio faite il y a un an qui montre un léger pincement de l’interligne interne Q 2: Quelles radiographies demandez-vous?
Une femme de 58 ans est traitée depuis 2 ans pour des douleurs internes des 2 genoux par des AINS Elle pèse 80 kg pour 1 m 63 et elle présente un genu varum avec un écart entre les genoux net malgré le volume important de ses cuisses. Elle apporte une radio faite il y a un an qui montre un léger pincement de l’interligne interne Q 2: Quelles radiographies demandez-vous? Radios en schuss D et G : pincement plus net que sur la radio debout Radios de face en appui unipodal à la recherche du baîllement externe Radio de la FP à 30° de flexion Telégonométrie des membres inférieurs pour mesurer l’anomalie d’axe Une radio de profil en tiroir antérieur rarement, si l’on veut être sûr de la présence du LCA Une IRM si l’on a un doute sur une dilacération du ménisque interne
Une femme de 58 ans est traitée depuis 2 ans pour des douleurs internes des 2 genoux par des AINS Elle pèse 80 kg pour 1 m 63 et elle présente un genu varum avec un écart entre les genoux net malgré le volume important de ses cuisses. Elle apporte une radio faite il y a un an qui montre un léger pincement de l’interligne interne Q 3: Quels sont les démarches à conseiller ?
Une femme de 58 ans est traitée depuis 2 ans pour des douleurs internes des 2 genoux par des AINS Elle pèse 80 kg pour 1 m 63 et elle présente un genu varum avec un écart entre les genoux net malgré le volume important de ses cuisses. Elle apporte une radio faite il y a un an qui montre un léger pincement de l’interligne interne Q 3: Quels sont les démarches à conseiller ? Un amaigrissement rapide avec une consultation spécialisée en diététique et des conseils plus spécialisés en fonction des résultats obtenus Une rééducation des membres inférieurs afin de renforcer les muscles et parvenir à compenser la tendance au varus (renforcer les haubans externes, tenseur de fascia lata et biceps en priorité). L’exercice physique+++ Les chondroprotecteurs n’auront plus d’effet au stade de pincement net Le traitement médical n’aura plus qu’un effet symptomatique La viscosupplémentation peut améliorer transitoirement les douleurs en attendant les effets bénéfiques du régime et du traitement chirurgical
Une femme de 58 ans est traitée depuis 2 ans pour des douleurs internes des 2 genoux par des AINS Elle pèse 80 kg pour 1 m 63 et elle présente un genu varum avec un écart entre les genoux net malgré le volume important de ses cuisses. Elle apporte une radio faite il y a un an qui montre un léger pincement de l’interligne interne Q 4: Quelle va être l’évolution spontanée?
Une femme de 58 ans est traitée depuis 2 ans pour des douleurs internes des 2 genoux par des AINS Elle pèse 80 kg pour 1 m 63 et elle présente un genu varum avec un écart entre les genoux net malgré le volume important de ses cuisses. Elle apporte une radio faite il y a un an qui montre un léger pincement de l’interligne interne Q 4: Quelle va être l’évolution spontanée? Si l’amaigrissement n’est pas obtenu Si les muscles déficients s’altèrent encore plus avec la sédentarité Le varus va se décompenser avec une faillite ligamentaire externe et un pincement interne. Les ostéophytes vont se développer limitant les amplitudes, fermant l’échancrure intercondylienne et menaçant le LCA La FP va participer douloureusement aussi Un flexum va s’installer L’usure interne va aboutir à une cupule tibiale L’impotence va augmenter
Une femme de 58 ans est traitée depuis 2 ans pour des douleurs internes des 2 genoux par des AINS Elle pèse 80 kg pour 1 m 63 et elle présente un genu varum avec un écart entre les genoux net malgré le volume important de ses cuisses. Elle apporte une radio faite il y a un an qui montre un léger pincement de l’interligne interne Q 5: Quelles sont les options chirurgicales possibles en fonction de l’examen?
Une femme de 58 ans est traitée depuis 2 ans pour des douleurs internes des 2 genoux par des AINS Elle pèse 80 kg pour 1 m 63 et elle présente un genu varum avec un écart entre les genoux net malgré le volume important de ses cuisses. Elle apporte une radio faite il y a un an qui montre un léger pincement de l’interligne interne Q 5: Quelles sont les options chirurgicales possibles en fonction de l’examen? Une ostéotomie palliative de valgisation est à conseiller rapidement tout en continuant toutes les mesures précédentes (techniques variées au tibia : ouverture, fermeture ou curviplane). On peut espérer prolonger ce genou de 10 à 15 ans avant de passer à la prothèse Si l’examen a montré une lésion méniscale et un épanchement, il sera possible de faire une régularisation par arthroscopie en même temps que l’ostéotomie Si des ostéophytes sont particulièrement gênants, on pourra les régulariser Une prothèse du genou est contre indiquée à 58 ans sauf arthrose de stade 4