KYSTE HYDATIQUE Module de pneumologie 2014 2015 PR



























































- Slides: 59
KYSTE HYDATIQUE Module de pneumologie 2014 -2015 PR LELLOU Salah EHUO
Définition Echinococcose ou Echinococcose kyste hydatique C’est une collection liquidienne habituellement « eau de roche » résultant du développement chez l’homme (poumon, foie) de la forme larvaire du ténia parasite habituel du chien et de la plupart des carnivores : Echinococcus granulosus La localisation humaine est une impasse parasitaire. Echinococcus multilocularis
Cycle Le Taenia adulte vit dans l’intestin du chien qui adulte chien est donc l’hôte définitif, définitif d’autres canidés sauvages (loup, chacal, coyote…) peuvent héberger le ténia adulte. Parvenu à maturité le dernier anneau se détache et est rejeté avec les déjections du chien, puis lysé sur le sol, libérant les embryophores qui embryophores sont hautement résistants aux facteurs physiques et peuvent rester longtemps infectieux. (18 mois au moins sur le sol entre +25°C et – 25°C beaucoup moins dans l’eau par privation d’O 2 11 jours à la surface des sols secs).
Cycle Le mouton (et plus rarement un autre herbivore) se Le mouton contamine en broutant l’herbe souillée. Lorsque l’œuf arrive dans l’estomac de l’animal sa coque est dissoute libérant ainsi l’embryon hexacanthe. Ce dernier grâce à ses l’embryon hexacanthe crochets et ses sécrétions enzymatiques va traverser la paroi du tube digestif au niveau des premiers segments de l’intestin grêle, gagner le foie, plus rarement d’autres organes. A ce niveau, il se transforme en larve hydatique qui n’atteint son complet développement quelques mois voire quelques années après son installation dans l’organisme. Cependant la larve peut shunter le foie en évitant le système veineux porte et d’être transporter soit par les canaux lymphatiques, soit par une veine du système cave, directement dans la petite circulation pulmonaire
Cycle Le chien s’infeste en dévorant les viscères Le chien s’infeste hydatifères du mouton ou autre herbivore hydatifères du mouton contaminé. Les scolex ingérés donneront des ténias adultes 6 semaines après la contamination.
Cycle CYCLE CHEZ L’HOMME , HOTE ACCIDENTEL • L’homme se contamine directement en ingérant des embryophores après avoir été en contact avec un chien parasité. L’infestation du chien entraîne chez ce dernier un prurit anal qui oblige l’animal à lécher la zone irritée et par là même disséminer les embryophores sur son pelage. embryophores pelage • La contamination indirecte par l’intermédiaire d’eau, d’aliments souillés par les déjections de chien parasité est également possible. L’évolution larvaire est comparable à celle observée chez le mouton. larvaire L’œuf éclot dans l’estomac, libère un embryon hexacanthe L’œuf hexacanthe qui franchit la paroi intestinale et passe dans la circulation porte qui le véhiculera jusqu’au foie où généralement il s’arrête. (6 à 7 fois sur 10) • S’il franchit ce premier barrage viscéral, il poursuit sa migration et viscéral par voie sanguine peut atteindre le poumon ou n’importe quel organe, (cœur, rate, rein, os. . ). • L’embryon hexacanthe se transforme lentement en larve hydatique, qui en quelques années peut atteindre une taille plus ou hydatique moins considérable.
Morphologie du KH • Au terme de son évolution le kyste hydatique va se trouver constitué de hydatique constitué l’extérieur vers l’intérieur par : – Une membrane « adventice » due à une réaction fibreuse périkystique variable selon les viscères et qui n’appartient pas à l’hydatide, ce n’est pas une structure parasitaire. Elle est constituée par le parenchyme de l’organe hôte refoulé par la croissance de l’hydatide, plus ou moins remanié et fibro-scléreux. – Une membrane cuticulaire (externe), anhyste jouant le rôle de filtre cuticulaire sélectif pour les échanges hôte-parasite. C’est une membrane blanche nacrée ou ivoire, quelquefois épaisse (1 à 2 mm ); Constituée de couches concentriques d’une substance proche de la chitine, elle ne contient pas de cellules. – Une membrane proligère (interne) qui représente l’élément noble du proligère parasite, c’est la membrane fertile de l’hydatide, elle est unicellulaire et granuleuse, fine, fragile, molle et très blanche
Morphologie du KH • A l’intérieur de l’hydatide on retrouve : – Le liquide hydatique sous tension, clair « eau de roche » renfermant hydatique des sels minéraux, sucres, lipides et protéines (notamment enzymes et déchets azotés), 2 protéines ont été définies chimiquement car elles comportent des antigènes majeurs, d’importance diagnostique : - une lipoprotéine thermolabile, ou antigène A, plus connue sous le nom d’antigène 5, et une lipoprotéine thermostable, l’antigène B. – Les vésicules filles endogènes et exogènes qui bourgeonnent à partir filles de la face interne. Elle peuvent être expulsée et se répandre dans l’organisme ce qui constitue un grave danger: echinococcose secondaire – Les vésicules proligères qui naissent par bourgeonnement de la membrane proligère. Ce bourgeon se vésiculise, grandit et donne naissance à des scolex et ultérieurement un ténia – Le sable hydatique: culot de décantation du kyste; très riche en scolex
Répartition géographique • C’EST UNE AFFECTION COSMOPOLITE AVEC DES ZONES PLUS TOUCHÉES « L’HYDATIDOSE SUIT LE MOUTON COMME SON OMBRE » . • Principaux foyers : • Afrique : Maghreb, Egypte, Kenya. Afrique • En Algérie, Algérie la maladie existe sur l’ensemble du territoire national, plus particulièrement au niveau des hauts plateaux, zone d’élevage traditionnel où l’incidence opératoire est élevée. L’index hydatique se situe à 7 pour 100 000 habitants, l’affection touche aussi bien l’homme que le bétail occasionnant ainsi des dégâts considérables devenant « un véritable fléau » posant un grand problème de santé publique. • Europe : URSS, Yougoslavie, Grèce, Sicile, Italie, Chypre, Espagne, Portugal Europe et France. • Australie, Australie Amérique du Sud (Argentine en particulier). Amérique du Sud
Diagnostic positif • • • Découverte fortuite Interrogatoire Clinique Radiologie biologie
Clinique L’hydatidose touche surtout les enfants et les personnels des professions exposées (bergers, bouchers. . ). Plusieurs tableaux bouchers. . ). cliniques peuvent se présenter selon la localisation
§ Homme est un hôte intermédiaire accidentel § Poumon, 2ème localisation après le foie possibilité d’une atteinte multiviscérale § Souvent asymptomatique , de découverte radiologique fortuite
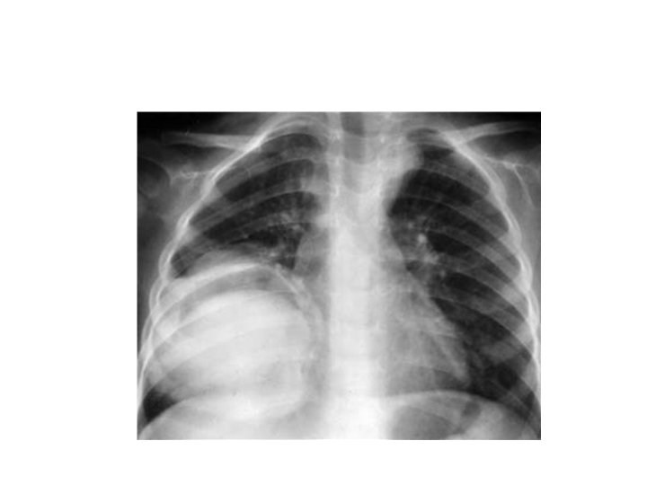
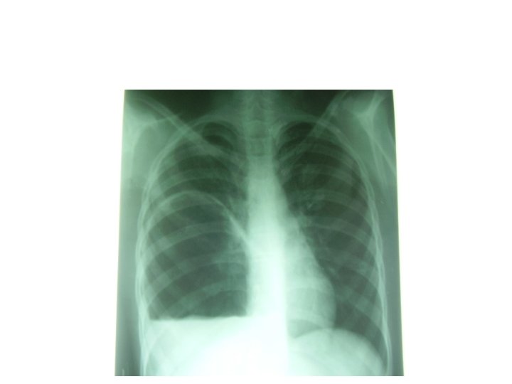
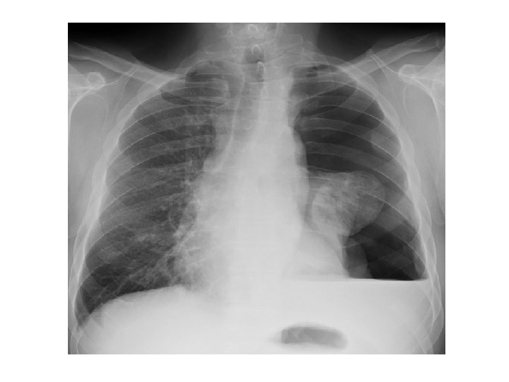
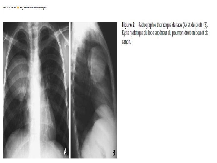
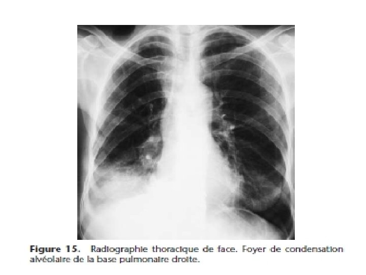
Kyste hydatique du poumon • Evolution radio-clinique 06 stades successifs: 1) Kyste sain. Asymptomatique de découverte fortuite (stade exclusivement radiologique)= opacité ronde, nettement limitée, en « boulet de canon » , dans un parenchyme sain, profil, opacité ovalaire « en ballon de rugby » , signe de NEMENOFF en radioscopie
2) Kyste malade ou kyste flétri. Stade clinique= expectoration hémoptoïque, peu abondante; et RX= opacité ronde, surmontée à son pôle supérieur du classique ménisque gazeux 3) Vomique: stade exclusivement clinique; rejet brutal de la vomique (parfois dramatique s’accompagnant de choc anaphylactique) ou vomique fractionnée
4) Pyopneumokyste : stade à la fois clinique et radiologique Clinique= signes fonctionnels et signes généraux Radiologique= images hydroaériques - Rarement à niveau rectiligne de l’abcès du poumon - Image de membrane ondulée plus fréquemment - Ainsi qu’image en nénuphar ou en coucher de soleil - Exceptionnellement image en double arc d’Ivassinévitch
5) Kyste vomiqué: exclusivement radiologique (3 cas) - Image en grelot: opacité ronde au sein d’une cavité ronde - Image en cocarde: opacité ronde entourée d’une clarté en anneau - Image de membrane pelotonnée ou d’incarcération de membranes Lorsque le kyste est évacué en totalité, liquide et membrane, on peut avoir un aspect de guérison, avec ou sans cavité résiduelle; éventualité exceptionnelle.
6) Rupture dans les séreuses: - hydatido-pneumothorax se transformant rapidement en hydatido-pyopneumothorax (parfois choc pleural et choc anaphylactique) RX= épanchement mixte liquidien et aérien, avec un niveau liquide généralement ondulé par les vésicules filles qui surnagent à la surface du liquide - Kyste hydatique rompu dans la cavité péricardique (mort brutale par choc anaphylactique et par tamponade)
Kystes hydatiques multiples • Infestation itérative : opacités de dimension variée • Hydatidose secondaire: rupture d’un kyste hydatique préexistant (cycle court) RX= kyste primitif rompu et kystes secondaires en nombre varié et de dimensions variées Rupture du KH du foie dans la VC ou du KH du myocarde dans le cœur droit entraine une « miliaire » hydatique qui évolue inexorablement vers la mort
AUTRES LOCALISATIONS - KYSTE HYDATIQUE DU FOIE - AUTRES: • Les localisations les plus diverses ont été signalées : cerveau, rein, rate, muscles, œil, thyroïde, cœur • Les atteintes osseuses sont des localisations rares osseuses (1 à 2 %) de la maladie hydatique. L’atteinte rachidienne est plus fréquente (44% des atteintes rachidienne osseuses) mais plus grave. La symptomatologie varie bien sûr en fonction de l’organe atteint.
ECHINOCOCCOSE HYDATIQUE : Clinique : KYSTE HYDATIQUE DU FOIE Forme non compliquée : hépatomégalie bien tolérée, isolée, indolore Manifestations allergiques (urticaire, œdème de Quincke) Voussure abdominale Complications : fissuration ds les voies biliaires (angiocholite), infection (abcès), rupture avec dissémination ou atteinte secondaire d’un autre organe (péritoine, plèvre, bronches), compression VB, Vsus. Hép • Radio de l’abdo : déformation du diaphragme en regard du kyste, calcifications du kyste • Écho ou scanner : nombre, contenu, localisation • ATTENTION : la ponction biopsie hépatique est contre-indiquée ! Risque de dissémination ! • •
Imagerie médicale
Kyste hydatique du foie calcification en coquille d'œuf
Biologie • L’hémogramme au stade de kyste avéré montre une L’hémogramme éosinophilie (non spécifique) de 7 à 15%, qui est éosinophilie (non spécifique) augmentée lors des ruptures de kystes. • La mise en évidence directe d’éléments parasitaires (protoscolex, fragments membranaires, crochets) est possible dans les crachats, dans le liquide de vomique ou d’aspiration bronchique en cas de rupture du KH dans les bronches, • Le diagnostic immunologique peut être basé sur la détection des réponses immunitaires (humorales et cellulaires) de l’hôte vis à vis du parasite. Les réactions sérologiques sont nombreuses, leur sensibilité et leur spécificité dépendent de la valeur de l’antigène utilisé
Biologie • EXPLORATION DE L’IMMUNITE CELLULAIRE ére • Intradermo-réaction de Casoni : pratiquée pour la 1 Casoni : fois avec succès par Casoni en 1912, elle n’est plus utilisée de nos jours car peu sensible et peu spécifique. Elle a un intérêt du point de vue épidémiologique, cependant elle présente des réactions faussement négatives et ne permet pas de suivre l’évolution de la maladie. • Le test de dégranulation des basophiles (TDBH) : est significatif lorsque l’index de dégranulation des basophiles est > à 35 %, sensible et spécifique, il semble intéressant dans les localisations pulmonaires où la sérologie est parfois prise en défaut.
Biologie • EXPLORATION DE L’IMMUNITE HUMORALE Les réactions sérologiques sont nombreuses: ü Réaction d’agglutination et d’hémagglutination (quantitative) • test d’agglutination au latex (seuil de positivité 1/4 ), • hémaglutination indirecte (seuil de positivité entre 1/160° et 1/320°, rapide et très utilisée, même valeur que IE 1/320°, ü Tests de précipitation (qualitative) • immunoélectrophorèse, Réaction de précipitation sur gélose ou immunoélectrophorèse, d’Ouchterlony le complexe Ag – Ac révélé sous forme d’arcs de précipitation. L’arc n° 5 semble parfaitement spécifique pour poser à coup sûr le diagnostic • test de fixation au complément, • test d’immunofluorescence indirecte
Diagnostic différentiel Essentiellement radiologique • Opacité ronde unique: cancer bronchiolaire, tuberculome, tumeur bénigne • Pyopneumokyste: abcès du poumon, cancer excavée • Kyste vomiqué: aspergillome, tuberculose pulmonaire
TRAITEMENT • Des essais avec des Carbamates de Benzo-Imidazolés ont été intéressants. Provoquer l’apparition d’AC succeptibles de détruire le parasite • Avec l’Albendazole (Zentel®) administré per os en plusieurs cures : Avec l’Albendazole (Zentel®) – Adulte 800 mg par jour, 1 comprimé de 400 mg deux fois par jour – Enfant 11 mg/kg en prise unique le matin (au total 6 cures de 28 jours chacune espacées de 15 jours). – Des résultats favorables ont été obtenus , même si l’effet est loin d’être constant. – Parmi les éléments favorables jouent la jeunesse du kyste et sa localisation. • La tolérance de ces médicaments n’est pas parfaite. Une surveillance clinique, biologique et radiologique hebdomadaire puis mensuelle, visant à évaluer l’efficacité thérapeutique et à recher les signes éventuels de toxicité médicamenteuse est pratiquée. • EN FAIT LE TRAITEMENT DE LA MALADIE HYDATIQUE RESTE CHIRURGICAL après bilan préopératoire
PROPHYLAXIE • • Intervenir sur l’un des nombreux maillons de la chaîne de transmission. Au niveau du chien (et autres canidés): Au niveau du chien – Lui interdire l’accès aux abattoirs. – Législation rigoureuse sur le chien (abattage des chiens errants et traitement des chiens parasités). – ESSAI DE VACCINATION EN COURS antiparasitaire des chiens domestiques • Au niveau du mouton ( ou autre herbivores). Au niveau du mouton – Réglementation de l’abattage par création d’abattoirs surveillés. – Saisie et destruction par incinération des viscères parasités. – Transformation du type d’élevage, favoriser l’élevage en pâturage gardée par les clôtures et sans chiens. • Au niveau de l’homme – L’éducation sanitaire doit jouer un grand rôle et doit commencer très tôt à l’école. – La prévention de l’hydatidose reste une affaire de tous. Tous les secteurs de la vie publique doivent intervenir. – Sensibiliser les parents d’enfants à risque – Instaurer un programme de lutte et de surveillance contre l’hydatidose. – Veiller à construire des abattoirs qui répondent aux normes sanitaires établies et lutter contre les abattoirs clandestins.
Merci pour votre attention