Kranyal ve Spinal Enfeksiyonlar Dr Ali Metin Kafadar






















































































- Slides: 86
Kranyal ve Spinal Enfeksiyonlar Dr. Ali Metin Kafadar Nöroşirürji Anabilim Dalı
Kranyal Enfeksiyonlar n n Bakteriyel, Viral, Fungal, Paraziter olabilir.
Nöroşirürjide karşılabilecek kranyal bakteriyel enfeksiyonlar n n n n I. Subgaleal abse, II. Subperiostal abse III. Osteomiyelit IV. Epidural abse V. Subdural ampiyem VI. Menenjit VII. Beyin absesi
Cerrahi Enfeksiyonlar n Cilt enfeksiyonundan beyin absesine kadar bütün bu katmanlarda görülebilir.
Etkenin Geliş Yolu n n 1. Kan yoluyla : Uzaktaki bir enfeksiyon odağından (en sık bakteriyel endokarditte, akciğer absesinde) bakteriyemi sonrasında arteriyel septik emboliler gelebileceği gibi komşu perikranyal yapıların venlerinden retrograd yayılım olabilir. 2. Komşuluk yoluyla : Paranazal sinüslerin, orta kulağın veya mastoid hücrelerin enfeksiyonunun intrakranyal bölgeye uzanmasıyla ortaya çıkabilir. n 3. Kongenital bir cilt defektinden : Açık nöral tüp defektleri olan hastalarda görülür. n 4. Penetran travma veya cerrahi yoluyla : Doğrudan bakterilerle kontaminasyon olur.
I. Subgaleal Abse II. Subperiostal Abse n n n En sık rastlanan etkeni stafilokokus aureus’dur. Sistemik enfeksiyon bulgularına ek olarak lokal hassasiyet, ısı artışı ve skalpte ödem görülür. Cerrahi drenaj ve antibiyograma göre antibiyotik verilerek tedavi edilir.
III. Osteomiyelit n n Nedeni kesi, travma ve hematojen yayılım ise en sık rastlanan etkeni stafilokokus aureus, orta kulak ve sinüs enfeksiyonlarıysa pnömokok ve streptokoklardır. Sistemik enfeksiyon bulgularından çok lokal bulgulardan akıntı (fistül) ön plandadır. Erken dönemde kemik sintigrafisi, geç dönemde direkt kraniografi ile tanı konur. Subdural ampiyemden şüpheleniliyorsa bunun tanısı BT veya MR ile konur. Tedavisi osteomiyelitli bölgenin eksizyonu ve kültür sonucuna göre uygun antibiyotik tedavisidir. Enfekte kemik eğer bir kraniotomi flebiyse tümü çıkarılmalı, bazı bölümleri korunmaya çalışılmamalıdır. Fleb çıkarıldıktan sonra geride kalan defektin kenarları da diploik kanama başlayana kadar kürete edilmelidir. Daha sonra cerrahi saha lokal antibiyotikle yıkanmalı ve dren konarak skalp kapatılmalıdır. Duranın açılmaması önemlidir.
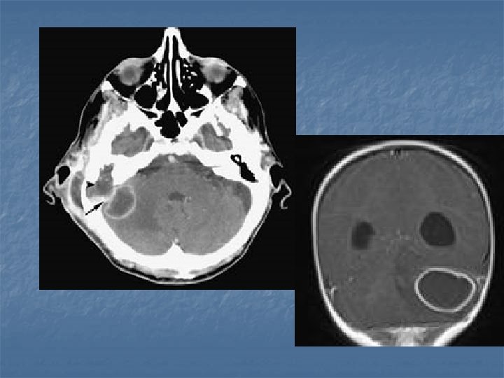
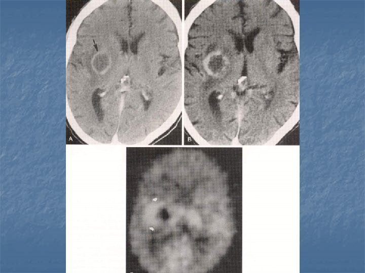
IV. Epidural Abse n n Dura kafatasına sıkıca yapışık olduğu için epidural bölgedeki bir enfeksiyon, duranın bütünlüğünün bozulmamış olması koşuluyla iyi sınırlı kalabilir. Lokal ağrı ve fokal nörolojik bulgular sık görülür. Yüzeyel enfeksiyon bulguları kimi zaman eşlik edebilir.
IV. Epidural Abse n BT ile kolaylıkla tanı konabilir. Duranın kemikten ayrıldığı bikonveks hipodens epidural kitleyi beyin dokusundan ayıran duranın boyandığı görülür
IV. Epidural Abse n Tek delikten veya büyük bir alanı kapsıyorsa kraniotomi yapılarak püs drene edilir. Epidural mesafe antibiyotikli solüsyonla yıkanır, dren ile birkaç gün drenaj sağlanır ve uygun sistemik antibiyotik verilerek tedavi edilir.
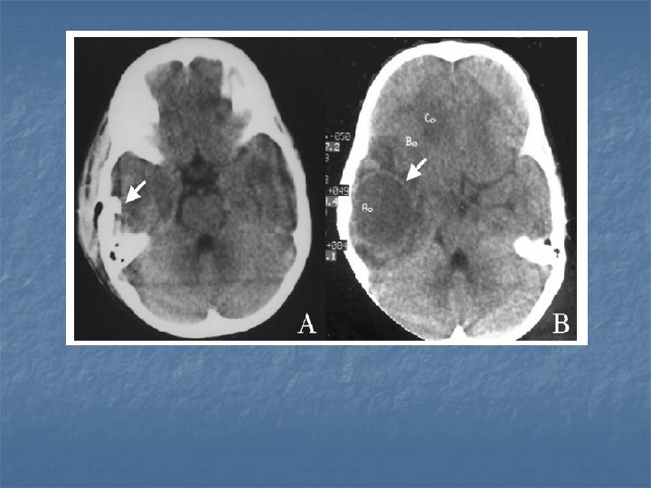
V. Subdural Ampiyem n n Epidural absenin tersine subdural mesafe daha gevşek olduğundan kolaylıkla yayılır. Genellikle ince (0, 5 -2 mm), fibrinöz eksüda şeklindedir. Subdural hematom zemininde de gelişebilir. Semptomları serebral hemisferin bütününü ilgilendirir. Genellikle bilinç hızla kapanır. Epileptik nöbetlere sık rastlanır.
V. Subdural ampiyem n Tanıda BT ve MR en değerli görüntüleme yöntemleridir. Subdural mesafede yaygın hipo/izodens lezyon ve durada boyanma görülür
VI. Menenjit: n n n En sık rastlanan MSS enfeksiyonu akut bakteriyel menenjittir. Enfeksiyon meninkslerin tümünü ilgilendirir , ayrıca ventriküler sisteme yayılıp ventrikülite de neden olabilir. Bakterilerin geliş yolu olarak hematojen yol ön planda olmakla beraber tekrarlayan menenjitlerde konjenital veya edinsel defektlerin olabileceğini unutmamalıyız (Ör: Dermal sinüs traktı, kafa tabanı kırıkları, spontan BOS fistülü vb. )
Bakteriyel Menenjit Etkenleri: n n n Yenidoğan: E. Coli ve diğer gram negatif mikroorganizmalar Beta-hemolitik streptokoklar, 6 ay- 5 yaş: N. Meningitidis, S. Pneumoniae, Hemofilus influenza, 5 -40 yaş: N. Meningitidis (olguların % 45’inde), Pnömokoklar (%20). , >40 yaş : Pnömokoklar (% 50 olguda), Stafilokokus aureus (%13), Meningokoklar. Yaşlılarda ve yenidoğanlarda Gram negatifler ve Listeria Monositogenes de görülebilir. Otit, sinüzit kaynaklıysa Pnömokok, H. İnfluenza ve anaeroblar (staf aureus), penetran travma ve cerrahi sonrası: Staf. Aureus.
n Staf. aureustan salgılanan Teikoik asid veya gram-negatif organizmalardan salgılanan endotoksin “tumor necrosing factor” (TNF) ve “interlökin-2” (İL-2) salgılanmasına neden olur. Bu iki faktör hem kapiller bütünlüğün bozulmasına hem de intravasküler tromboza yol açar. Serebral ödem ve infarkt bu mekanizmayla açıklanmaktadır.
Menenjitin Klinik Bulguları n n n n Başağrısı, İrritabilite, Bulantı, kusma, Fotofobi, Fonofobi, Ense sertliği, Kernig, Brudzinski belirtileri. Ayrıca fokal veya jeneralize epileptik nöbetler, hemiparezi, hemianopsi, disfazi gibi fokal nörolojik defisitler (% 10) ve kranyal sinir felçleri görülebilir (% 15 -20, en sık VII. ve VIII. Kafa çifti). Fontaneli açık olan bebeklerde fontanelin bombe ve pülsatil olması önemli bir bulgudur.
n Akut bakteriyel menenjitin önceden sağlıklı olan bir kişiyi saatler içerisinde öldürebilecek az sayıda patolojiden biri olduğunu aklımızdan hiç çıkarmamalıyız.
n Tanıda BOS incelemesinin çok önemli yeri vardır. BOS’un bakteriyolojik tetkiki ve kültür-antibiyogramı tedaviyi yönlendiricidir. Bunun yanı sıra BOS’un hücre içeriğinde, biyokimyasal yapısında tanı koydurucu çok önemli değişiklikler olur (Tablo 1).
Menenjitte etyolojiye göre BOS bulguları Bakteriye Tbc Viral l Protein Artmış Çok Artmış Hafif Artmış Fungal Glükoz <Kan şekerinin % 50’si Hücre Polimorf <Kan şekerinin % 50’si Lenfosit Normal Polimorf + Lenfosit <Kan şekerinin % 50’si Lenfosit Artmış
Menenjit Tedavisi n n n 1. Etkene yönelik antibiyotik tedavisi : Kan-beyin bariyerini geçebilen antibiyotikler seçilmelidir. Antibiyotik seçimi kültür+ antibiyograma göre yapılır ama kültür sonucu çıkana kadar muhtemel etkene göre ampirik antibiyotik tedavisine başlanır. 2. Etkene yönelik spesifik tedavinin yanı sıra KİBAS’la da mücadele edilmelidir (steroid, ozmotik diüretikler vb. ). 3. Enfeksiyonun metabolik komplikasyonlarının (septik şok, yaygın damariçi pıhtılaşma, diabet insipid veya uygunsuz ADH salınımı gibi) tedavisi
Menenjitin komplikasyonları cerrahi tedavi gerektirebilir: 1. Hidrosefali : Eksternal drenaj VP shunt 2. Abse veya ampiyem : Bunların boşaltılması 3. Menenjitin nedeni BOS fistülüyse fistülün onarılması !
MSS Tbc. n n n Tüberkülom: % 50 -60 Tbc. Menenjit % 15 -30 Tbc. Absesi % 4 -8 Subdural ampiyem : Nadir Kombine formlar
MSS Tbc. Komplikasyonları n n n Hidrosefali : Pediatrik olguların % 8090’ında gelişir. Kranyal sinir felçleri İnfarkt: % 20 -50. MCA veya ACA veya perforanların beslediği alanlarda görülür. Bazal ganglionlardaki ve talamustaki infarktlar tipiktir
Tüberkülomlar n n İntrensek beyin kitleleri CPA’da, sellar bölgede, kavernöz sinüste, durada da tüberkülomlar tanımlanmıştır. BT’de her türlü lezyonu taklit edebilir. Genellikle izodens kitlelerdir. Çevresel veya homojen kontrast tutarlar. MR’da ise T 1’de hipo veya izointens olup kontrasttan sonra çok iyi boyanırlar. Çok sayıda, yaygın, küçük lezyonlar olarak veya matür tüberkülomlar şeklinde, daha büyük, ortası nekrotik hipointens, çevresi ödemli lezyonlar şeklinde karşımıza çıkabilirler.
Tbc. Tanı n BOS’ta aside dirençli Koch basilinin gösterilmesi % 15 -30 olguda mümkün olmaktadır. Bu nedenle tanı yöntemi olarak PCR tercih edilmektedir. PCR ile sensibilite % 60 -65, sensitivite % 100 civarındadır.
Tbc. Tedavi n n n Tüberküloz menenjitte de akut bakteriyel menenjitte olduğu gibi spesifik tedavi antitüberküloz tedavisidir. Klasik 4’lü tedavide İzoniazid (İNH), Rifampisin, Pirazinamid ve Etambutol yer alır. Bu tedavi 2 ay sürdürüldükten sonra 6 -10 ay kadar İNH, Rifampisinle tamamlanır. Tüberkülomu olan olgularda tedavi süresi 2 yıla kadar uzatılabilir.
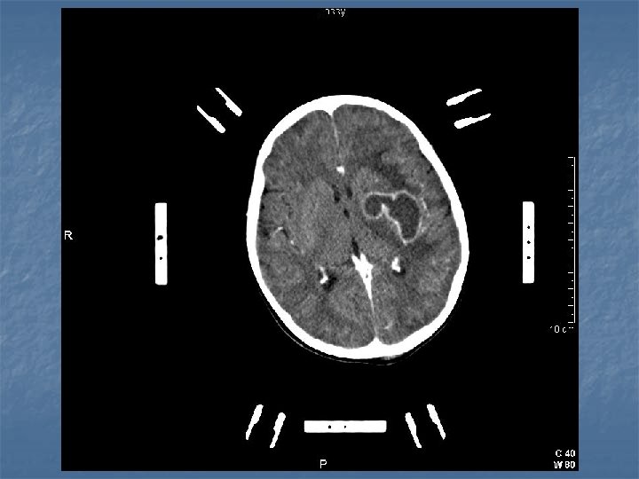
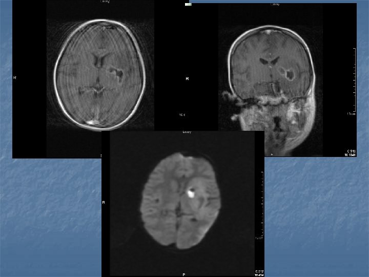
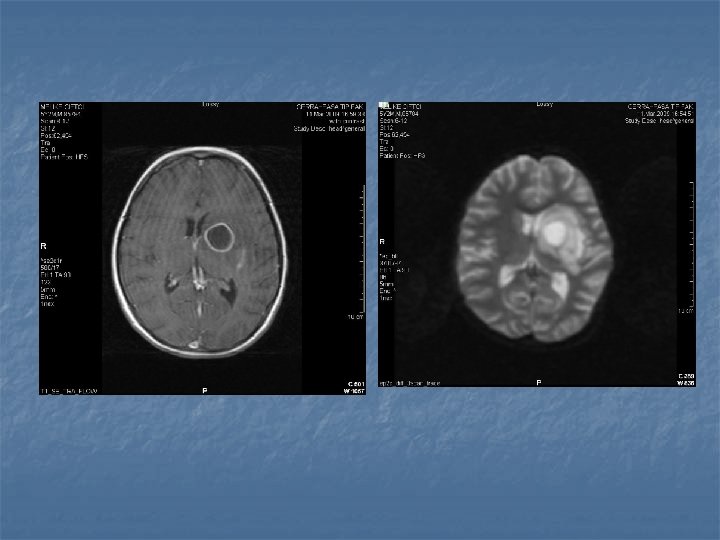
VII. Beyin absesi n n n Septik mikrovasküler yaralanma Fokal enfeksiyon “Serebrit” (septik parenkimal nekroz) Abse formasyonu
KİBAS LP KONTRENDİKEDİR! Tedavi: Abse ponksiyonu + Antibiyotik
Serebral Hidatik Kist Sayıları azalmak ile beraber Türkiye’de halen mevcut
HIV ve Nöroşirürji
HIV ve Nöroepidemiyoloji n n n % 80 -90 postmortem çalışmalarda SSS tutulumu (+) % 40 - 60 tüm yaşamları boyunca SSS tutulumu bulgusu klinik olarak gözlenmekte % 10 nörolojik semptomlar ile tanı konuyor % 10 intrakranial kitle etkisi yapan lezyon % 3. 3 ilk bulgu kitle etkisi yapan lezyon
Sınıflandırma Primer viral (HIV) sendromlar HIV ensefalopati Atipik aseptik menenjit Vakuolar myelopati Oportunistik viral enfeksiyonlar CMV ensefalit/myelit/radikülit Progresif multifokal lökoenseolati
Sınıflandırma Non- viral enfeksiyonlar Toxoplasma gondii ensefalit Cryptococcus neoformans menenjit Mycobacteriel menejit/ ensefalit Trepanoma pallidum Nocardia. . .
Sınıflandırma Neoplazmlar Primer SSS lenfoması Metastatik lenfoma Serebrovasküler Enfarkt Hemoraji AIDS tedavisine bağlı komplikasyonlar
Cryptococcus n n En sık görülen mantar enf. % 7 -13 Başka mantar enf çok nadir görülmekte (patojene özel değişmiş fagositik yanıt? ? ? ) n n Tipik klinik: menenjit Cryptococ ve mukoid madde kongromelat oluşturur. . jelatinöz pseudokist (cryptococcoma)
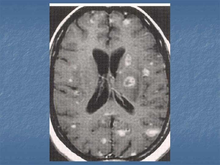
Toxoplasmosis n n n Yer kaplayan lezyonların % 60’ı % 30 olguda mevcut Kortikomedüller bileşke (? ), basal ganglion ve talamusda sık tutulum BT-MR. . . >5 lezyon, halka tarzında kontrast (+), nodüler, ödem ve kitle etkisi Erken tanı önemli. . . tedavi edilebilir 2 hafta primethamine+sulfadiazine
Biopsi n n n % 96 olguda tanı koydurucu Mortalite % 0 Majör morbidite % 2 Minör morbidite % 3 -4 Farklı çalışmalarda. . . farklı algoritmler Genel yaklaşım: Radyolojik olarak tanı konulabilen olgularda antitoxo ted. . . .
SHUNT ENFEKSİYONLARI SHUNT ÇIKARILIR EKSTERNAL DRENAJA ALINIP ANTİBİOTERAPİ BAŞLANIR 3 STERİL KÜLTÜRDEN SONRA TEKRAR SHUNT TAKILIR.
SPİNAL İNFEKSİYONLAR
SPİNAL İNFEKSİYONLAR è Medüller abse è Epidural / Subdural ampiyem è Piyojenik spondilit è Kronik granülamatöz infeksiyon è Paraziter infeksiyon
Medüller abse- 1 è Hart JA è Dublin Hospital Report 1830 è Cavazanni è Rivista è 77 G Veneta Scientifico Medicale 1889 olgu ( 1997 yılına değin) è Torakal > Lomber > servikal è Akut < 1 hafta (kötü prognoz) è Subakut < 6 hafta (intramedüller tm kliniği) è Kronik >6 hafta
Medüller abse- 2 è Primer è kökeni belirsiz è Sekonder è sepsis, travmatik, iatrojenik, dermal sinüs, komşuluk è İntraabdominal veya intratorasik venalardan septik emboliler è Lemfatiklerle subaraknoid mesafeden
Medüller abse- 3 è Akut dönemde; merkezi nekrozun çevresinde pürülan myelit è Kronik dönemde; merkezde püy birikimi çevrede kapsül formasyonu, aksonlar boyunca diseksiyon yaparak ilerler è Etkenler: è Streptokok, Stafilakok, Aktinomces, Pnömokok, Listeria, Proteus, Micobakterium tuberkülosis
Medüller abse- 4 è Klinik è Akut è infeksiyon bulguları, ense sertliği, lokal ağrı, transvers myelite bağlı nörolojik bulgular è Kronik è İntramedüller tümörü taklid eden bulgular è Tanı è Direkt grafi, likor incelemesi, Lökositoz è MRI è T 1 periferik kontrast tutulumu è T 2 periferik hipointansite + santral hiperintansite
Medüller abse- 5 è Tedavi è Drenaj + Antibiyotik + Kortikosteroid è Kapsül formasyonu sonrası drenaj è MRSA olasılığı gözönünde tutularak Vancomycine è Küçük dozlarada dahi etkili
Epidural Ampiyem-1 è Mekanizma è Hematojen è vertebra korpusu, yada disk’de oluşan metastatik absenin yaılımı ile. Diş absesi, parafaringeal abse, otitis media) è Komşuluk è dekubitus ülseri, psoas absesi, mediastinit è Seyir è Akut (epidural mesafede serbest püy) è Subakut (granülasyon dokusu ile sınırlanmış püy dolu boşluklar)
Epidural Ampiyem- 2 è Klinik è lokal ve kompresyon ile şiddetlenen ağrı è radiküler ağrı è nörolojik defisit (akut olgularda saatler içerisinde) è Ateş , lökositoz, sedimantasyon hızlanması, pozitif kan kültürü elde edilebilir LP yapma
Epidural Ampiyem- 3 è Tanı è Direkt grafi è Pott gibi kronik infeksiyonlarda osteomyelite bağlı deformiteler görülür è Radyonükleid è Ga 67 scanning (met, dejeneratif hast. karışabilir) è CT è kemikdestüksiyonu è MR è T 1 è hipo , T 2 Hiper + yumuşak doku tutulumu Myleografi è Demode ve tehlikeli
Epidural Ampiyem- 4 è Etkenler è Akut è Staph aureus, E. coli, Pseudomonas aeroginosa, Fusobacterium necroforum è Kronik è Micobakterium tüberkülosis, Brusella, Aktinomices è Fizyoptoloji è Mekanik kompresyon (yüzen disk, vertebra korpusunun çökmesi, püy birikimi) è Tromboflebit (venöz infarktlara yol açar)
Epidural Ampiyem- 5 è Tedavi è Drenaj + uygun antibiyotik è anterior yaklaşım ile debridman + drenaj + grefonaj è Vancomycine + ceftazidim + aminoglikozid è Tüberküloz: è Streptomycine (45 gr total 1 gr/gün ilk 30 gün) è INH 300 mg/gün (9 ay) è Rifampisin 600 mg/gün (9 ay) è Morfozinamid 300 mg/gün (3 -6 ay)
Subdural Ampiyem è Epidural ampiyem ile aynı klinik bulgular è Çok daha ender (anekdotal bildiriler) è İnfekte dermal sinüs’e bağlı è Subdural mesafenin drenaj + irigasyonu +antibiyotik uygulaması ile tedavi
Osteomyelit-1 è Mısır mumyaları (ilk olgu) è Gibbus nedeni (Galen - Hipokrat) è Patolojinin tanımlanması ( Sir Percival Pott 19 yy sonu) è Posterior füzyon ile deformite tedavisi (Hibbs Albee 1911) è 102 olgu - ilk seri - %50 mortalite laminektomi +drenaj (Kulowski 1936) è Laminektomi Kontrendike (Seddon 1936) è Anterior debridman + grefonaj (Hodgson
Osteomyelit- 2 è Antibiyotik döneminde görülme sıklığı pediatrik grubtan erişkin gruba kaymıştır è İnsidens 1 / 250 000 è Günümüzde Tbc spondilit azalırken , pyojenik spondilit artmakta è İV madde bağımlılığı è metalik implantlar + vasküler protezler (nasokomial infeksiyonlar) è Erkek > Kadın
Osteomyelit- 3 è Patoloji è Erişkin è Batson venaları ile retrograd olarak è posterior spinal arter ile korpus vertebranın ALL yakınında ki metafizinden giren besleyici terminal erterlerde septik emboliye bağlı nekroza yol açarak è Çoçuk è <30 yaş altında diskin kanlanması devam etmesi nedeniyle disk mesafesinde başlar kemik ikincil olarak infekte olur è Sıklıkla è İV lomber vertebralarda görülür madde bağımlılarda servikal tutulum daha sık
Osteomyelit- 4 è Patoloji è Predispozan faktörler è ileriyaş è alkolizm è diabetes mellitus è steroid kullanımı è Romatoid artrit è AİDS è Organ transplantasyonu è Klinik è Akut dönemde infeksiyon bulguları, hareketle artan ağrı
Osteomyelit- 5 è Kronik dönemde deformite ortaya çıkar è Tanı è Direkt grafi è 3 -6 haftada ilk bulgular (endplate erozyonu, disk mesafesi daralması, korpus vertebrada rarefaksiyon, kifoz eğilimi) è Radyonükleid è Tc 99 scanning pirofosfat ile %80 spesifisite è CT è MR è Etkenler è Staph aureus, pseudomonas (İV madde bağımlıları) , Tbc
Osteomyelit- 6 è Tedavi è erken dönemde saptanan olgularda è mutlak yatak istirahati (ağrı geçinceye değin) è antibiyoterapi ( 8 hafta) è eksternal destek è debridman è ardışık + grefonaj + antibiyoterapi 2 korpus tutulumu è abse formasyonu è korpus vertebrada > %50 yükseklik kaybı
Tüberküloma Mikobakterium tüberkülosis infeksiyonunun medulla spinalis’i tutan kronik granülomatöz seyirli formu è Sistemik Tbc’da MSS tutulumu % 0. 5 - 2 è Medulla / intrakraniyal = 1/ 42 è Medulla tuberkulomu/ beyin tuberkülomu = 2/1000 è Literatürde 109 olgu (1830 -1996) è Kronik progresif seyirli, intramedüller tümör ile ayrıcı tanı yapılmalı è Cerrahi doku tanısı ve tedavinin parçası è è Antitbc + kortikoterapi
Hidatidosis è Ekinokokus granülosus - multilokülaris infestasyonu è Ekinokok infestasyonlarının % 2’si è Kronik progresif seyirli, destrüksiyon ve deformitelere yol açar è Geniş rezeksiyon + grefonaj + stabilizasyon + Albendazole (10 mg/kg/gün minimum 3 ay)