KEY CONCEPT Eukaryotic cells share many similarities Microscope














































































- Slides: 78
KEY CONCEPT Eukaryotic cells share many similarities.
Microscope- tool used to enlarge images that are small like bacteria • Lead to the discovery of cells • Robert Hooke used the microscope to identify and name cells
A. Organisms are made up of one or more cells
B. The cell is the smallest unit of life.
C. New cells come from other living cells by the process of cell division
A. How the first cells arise? There is no explanation B. Viruses: are not true cells and they are not alive. They do not have all life functions C. Viruses need other cells to reproduce
Remember: Unicellularone cell: bacteria Multicellular- Many cells- Most organisms
General Characteristics of Cells: All Cells Have… Cell membrane Gate keeper Cytoplasm Metabolism Nuclear material Instructions (DNA)
Prokaryotic vs. Eukaryotic Bacteria Animals Plants
Prokaryotic vs. Eukaryotic • Small cells • No nuclear membrane • No nucleus • Large cells • Many membranebound organelles. • Have a nucleus
Cells come in a variety of shapes!
Cells come in a variety of shapes!
Shape of cell determines its function.
(Plasma Membrane) A. Structure: A lipid bilayer with a variety of proteins
Proteins Lipid molecule
(Plasma Membrane) B. Function: -Homeostasis(balance) -Selective Permeability: controls what enters and exits the cell
(Plasma Membrane) C. Protein Function: Channels for the passage of materials
Cell walls
Cell Wall– Only found in plant cells • Made of Cellulose (carbohydrate) • Function: provides the plant cell with a rigid structure and support.
Nucleus • Controls cell activities & stores DNA material • Nuclear Envelope: Protects the nucleus Nuclear Pores: Openings on the surface of the nucleus
Nucleolus • Inside of the nucleus • Makes ribosomes
Cytoplasm • Jelly-like substance made of water • All of the organelles are suspended in it. • Function: is the center for most of the cells metabolic activity. It is where metabolism takes place.
Endoplasmic Reticulum • Production of lipids • Highly folded membranes Rough vs Smooth • Can be rough: With Ribosomes • Smooth: Without Ribosomes
Vesicles • Small membrane-bound sacs that transports them within the cell
Vesicles are membrane-bound sacs that hold materials.
ribosome new protein endoplasmic reticulum
Rough Vs. Smooth ER
Ribosomes • Are sites where the cell produces proteins • Some float freely in cytoplasm • Some are attached to the Endoplasmic Reticulum
Golgi Apparatus( Body) • After proteins are made by the Ribosomes • They are transferred to Golgi Apparatus, where proteins are sorted and packaged and sent out where they are needed • Mail office
How organelles work together • • Nucleolus – makes ribosomes Ribosomes- make proteins ER- Transports Proteins Golgi apparatus- sorts & packa ges & ships proteins to where they are needed • Mitochondria- provides energy for the entire process. • ENDOMEMBRANE SYSTEM
THE MIGHTY--Mitochondria • Produce energy (ATP) using enzymes • Power house of the cell • Breaks down nutrients (glucose) during the process of cellular respiration to make energy
Mitochondrion cristae inner membrane outer membrane
• Cristae- folds designed to increase surface area to increase energy (ATP) release • They are located inside the Inner Membrane
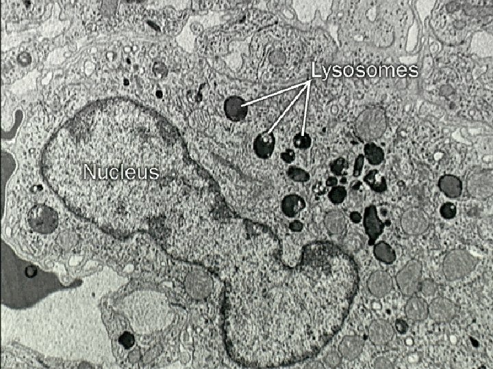
Lysosomes • Takes out Trash • Contains digestives enzymes • Digest worn out organelles, food particles, viruses and bacteria • Animal cell only
Centrioles • Structure that produces Microtubules to form Flagella and Cilia • ASSIST in CELL DIVISION (mitosis) **Animal Cell ONLY
Cytoskeleton
Movement Filaments • Both Assist in cell Movement • Cilia- short hair like projections • Flagella- long projectionssperm • Common in single celled organisms like bacteria
Microtubules & Cytoskeleton • They make up the cell’s support and movement system • Similar to the bones in our body
Bacteria with flagella
Vacuole • Sacs for temporary storage of materials • It stores: food, enzymes, and even wastes • Central Vacuole in plant cells only (large).
Chloroplast • Only found in plant cells • Contains Chlorophyll- green pigment • Location of the process of photosynthesis • Capture and covert Light energy into usable energy (glucose)
The end…. . Next Topic: Cell transport