Ke a kon adnexa plocha 1 5 2







![u u u str. corneum [str. lucidum] str. granulosum u str. spinosum u str. u u u str. corneum [str. lucidum] str. granulosum u str. spinosum u str.](https://slidetodoc.com/presentation_image_h2/f7e411ffd610809cfc4c36d31560d3c0/image-8.jpg)













































- Slides: 53
Kůže a kožní adnexa plocha 1, 5 – 2, 5 m 2 Hmotnost – 16% t. h. tloušťka 1 – 5 mm
Funkce kůže u Ochranná (chrání před vysoušením, termickými a chemickými vlivy, UV zářením, imunologická ochrana) u Metabolická (H 2 O, ionty, plyny – perspirace, tvorba D vit. ) u Termoregulační (vaskularizace) u Recepční (receptory – tlak, dotyk, bolest, teplo) u Sekreční a exkreční (žlázy)
Kůže (cutis, derma) u Pokožka (epidermis) u Škára (corium, dermis) u Podkožní vazivo (hypodermis, tela subcutanea) u Kožní adnexa: vlas a nehet; žlázy – potní, mazové, mléčná
Kůže s vlasy
Kůže z bříška prstu
Epidermis vrstevnatý dlaždicový epitel rohovatějíci 1. Stratum basale (cylindricum) bazální vrstva str. germinativum ostnitá vrstva 2. Stratum spinosum zárodečná vrstva zrnitá vrstva 3. Stratum granulosum lesklá vrstva 4. Stratum lucidum rohová vrstva rohovatějící vrstva str. corneum
u u u str. corneum [str. lucidum] str. granulosum u str. spinosum u str. basale keratin; disjunkce desmosomů keratohyalinová a lamelární granula spina = trn, osten cytopl. výběžky + tonofilamenta; desmosomy mitózy
Epidermis melanocyty Dermis
Epidermis – typy buněk u A) keratinocyty u B) melanocyty u C) Langerhansovy buňky u D) Merkelovy buňky
kůže - keratinocyty
Další buňky v epidermis u A = melanocyty „supranuklear cap“ - granula melaninu u u B = Langerhansovy bb. antigen prezentující bb. monocytomakrofágového systému C = Merkelovy bb. mechanoreceptory – tlak
Melanin v keratinocytech – „supranukleární čepičky“ melanocyty
Škára (dermis, corium) pars papillaris řídké kolag. vazivo + cévy, nervová zakončení a tělíska (receptory) pars reticularis husté neuspořádané kolag. vazivo + adnexa, cévy, nervová vlákna
Podkožní vazivo hypoderm(is) tela subcutanea Potní žlázy tukové bb. , místy panniculus adiposus
Typy kůže u Tenký 0, 5 -5, 0 mm epidermis 70– 100 m 4 vrstvy (chybí str. lucidum), + všechna adnexa u Tlustý 0, 8 -1, 5 mm 400– 800 m, 5 vrstev, bez vlas. folikulů. u výskyt: celý povvrch těla, vyjma u výskyt: - dlaně - chodidla
Tenká kůže <> Tlustá kůže
Kůže tlustého a tenkého typu
Kůže z bříška prstu Tlustá kůže – epidermis: Potní žlázy Cristae et sulci cutis - papilární linie (dermatoglyfy) cévy subpapilární pleteně Nerv. vlákna dermal papillae crista intermedia
Kožní adnexa Kožní žlázy: - potní - mazové - mléčná Adnexa rohového typu: - vlas - nehet
Kožní žlázy potní mazové ekrinní tubulózní apokrinní tubulózní až tuboalveolární holokrinní alveolární mléčná žláza tuboalveolární proteiny lipidy
Kožní žlázy - stavba: -Vývodní oddíl -Sekreční oddíl tubulus a/nebo alveolus -žlázové bb. -myoepitelové bb.
Malé potní žlázy, ekrinní u u sekreční oddíl – tubulus stočený do klubíčka – sekreční buňky – myoepitelové buňky vývod – vlastní vývod /2 -vrstevný kubický epitel – tmavší buňky/ – intraepidermální chodbička
Velké potní žlázy, apokrinní u sekreční oddíl – Tubuly-alveoly s širokým luminem, uloženy hluboko ve škáře, – sekreční buňky – myoepitelové buňky, u vývod – 2 -vrstevný kubický epitel – ústí do vlasového folikulu těsně nad vývodem mazové žlázy
Žlázy mazové u rozvětvené alveolární žlázky – sekreční oddíl u alveolus vyplněný buňkami u bazofilní bb. - mitózy – vývod u krátký, vystlaný vrstevnatým dlaždicovým epitelem u holokrinní sekrece
Kůže – mazová žláza (HEŠ) m. arrector pili ul folik ový vlas
Kůže – mazová žláza (HE)
Mléčná žláza gl. mammae 15 -20 samostatných tubolaveol. žlázek (vývody + sekreční oddíly Vazivo řídké a husté kolagenní, tuková tkáň Vývody: ductus lactiferi, sinus lactiferi, (pori lactiferi)
Mléčná žláza a funkční stav u novorozenecké období dětství puberta dospělost – v klidu – v těhotenství – během laktace – v regresi senium u mužská mléčná žláza u u
Mléčná žláza po pubertě (non lactans) u Převaha u Vývody vaziva - větvené, částečně luminizované oddíly – tubuly a alveoly; bb. žlázové a myoepitelové u Sekreční
Mamma non lactans (HE)
Mamma non lactans (HE)
Mléčná žláza během těhotenství u Převaha žlázek u Proliferace, , větvení a luminizace vývodů (estrogeny) u Proliferace a luminizace sekrečních alveolů (progesteron) u Redukce vaziva = tenká septa
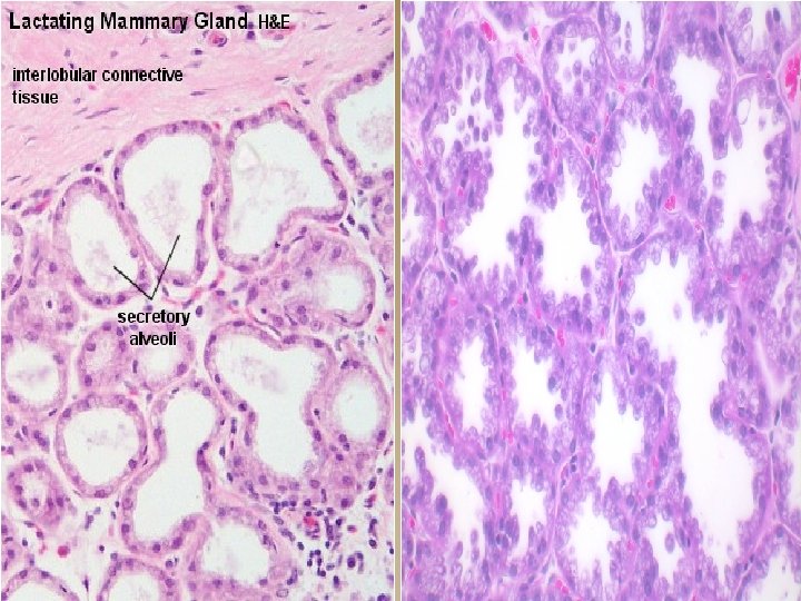
Mléčná žláza v období laktace u Sekreční oddíly se plní sekretem (sekrece tukových kapek = apokrinní, sekrece proteinů = ekrinní) jednovrstevný kubický jednovrstevný cylindrický dvouvrstevný cylindrický (ductus lactiferi) vrstevnatý dlaždicový u Vývody:
Mamma lactans (HE)
Mamma lactans (HE)
Mléčná žláza v involuci u Zánik sekrečních oddílů u Perzistence některých vývodů u Převaha vaziva
Vlas u Volná část (scapus pili) Kořen (radix pili) Cibulka (bulbus pili) u Vlasová papila - papilla pili Vlasový váček – folliculus pili u u Dřeň – substantia medullaris Kůra – substantia corticalis Kutikula – cuticula i
Vlas /chlup/ u Scapus a radix pili – (Medulla) – Cortex – Cuticula pili u Folliculus pili – Vnitřní epitelová pochva Cuticula vaginalis u Huxleyova vrstva u Henleova vrstva u – Zevní epitelová pochva /epidermis/ – Vazivová pochva Lamina vitrea /zesílená basální lamina/ u Vnitřní-cirkulární u Zevní-longitudinální u
Vazivová pochva zevní vnitřní vlas pochva vlasového folikulu
hair spruce-cone kutikula vlasu
Kutikula Vlasu Kutikula pochvy
Kůže s vlasy (HEŠ) m. pili or ect arr
Kůže s vlasy – bulbus pili s melanocyty (HE)
Kůže s vlasy – bulbus pili s melanocyty, papilla pili (HEŠ)
Nehet (unguis, onyx) u Složka epidermální stratum corneum (nehtová ploténka) stratum germinativum (epitelové lůžko nehtu: - distálně hyponychium = lůžkový nehet, - proximálně radix unguis) u Složka dermální – nehtové lůžko (lectulus unguis)
Nehet (unguis) free margin hyponychium bone of distal phalanga longitudinal dermal cristae Nehtová nail plate ploténka nail bed lunula Lunula eponychium Eponychium sulcus unguis Sulcus unguis epidermis sulcus Sulcus unguis Vallum valum unguis epidermal strip okraj eponychia
Nehet – podélně (HE)
Nehet – příčně (HE)