Kazuistika 1 ena 1945 Leu 18 gigal lymfocyty

  • Slides: 22
Download presentation
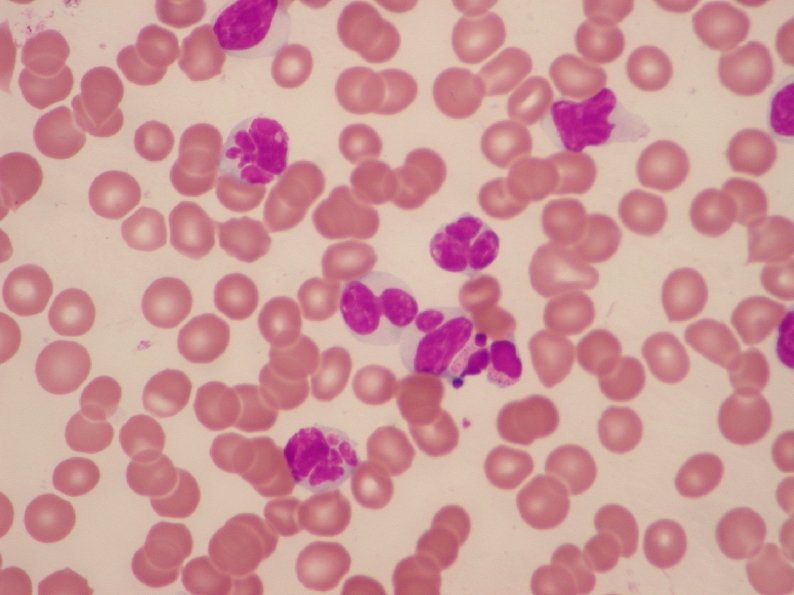
Kazuistika č. 1 Žena, 1945 Leu 18 giga/l, lymfocyty 0, 81 numfr. Absence anémie

Kazuistika č. 1 Žena, 1945 Leu 18 giga/l, lymfocyty 0, 81 numfr. Absence anémie a trombocytopenie Splenomegalie Bratr nemocné zemřel na agresivní LPL s t(11; 14)

Trisomie 12 Nemutovaný status Ig. VH genu Histologie KD: B-CLL (2. čtení FN Motol)

Trisomie 12 Nemutovaný status Ig. VH genu Histologie KD: B-CLL (2. čtení FN Motol) Cyklin D 1 a t(11; 14) negat.

A) Mantle-cell lymfom B) B-prolymfocytární leukémie C) Lymfom z marginální zóny D) B-CLL

A) Mantle-cell lymfom B) B-prolymfocytární leukémie C) Lymfom z marginální zóny D) B-CLL

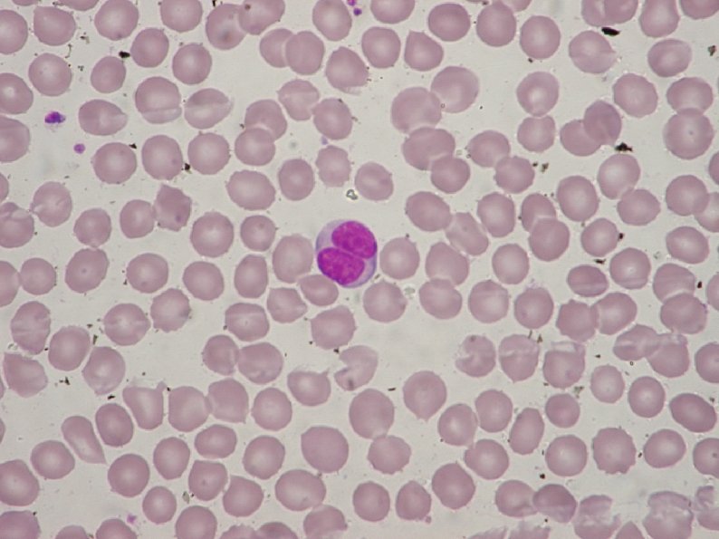
Kazuistika č. 2 Žena, 63 let Hepatosplenomegalie, mírná adenomegalie, kožní infiltráty • Krevní obraz:

Kazuistika č. 2 Žena, 63 let Hepatosplenomegalie, mírná adenomegalie, kožní infiltráty • Krevní obraz: Leukocyty 180 x 109/l Hemoglobin 102 g/l Hematokrit 0. 31 Trombocyty 75 x 109/l diff. : neutrofilní segmenty 0. 05 numfr. lymfocyty 0. 92 numfr monocyty 0. 02 numfr. eosinofily 0. 01 numfr.

Imunofenotyp

Imunofenotyp

A) Sézary-like varianta T-LGL leukémie B) Varianta T-prolymfocytové leukémie C) ATLL D) Sézaryho syndrom

A) Sézary-like varianta T-LGL leukémie B) Varianta T-prolymfocytové leukémie C) ATLL D) Sézaryho syndrom

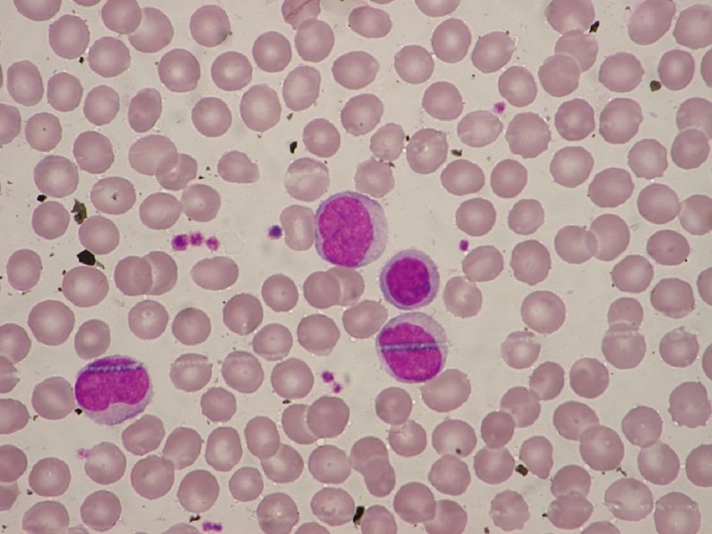
Kazuistika č. 3 • Žena, 48 let • Váhový úbytek, dyspepsie, soor jícnu, splenomegalie

Kazuistika č. 3 • Žena, 48 let • Váhový úbytek, dyspepsie, soor jícnu, splenomegalie • Krevní obraz: Leukocyty 1. 8 x 109/l Hemoglobin 102 g/l Hematokrit 0. 31 Trombocyty 189 x 109/l diff. : neutrofilní segmenty 0. 02 numfr. neutrofilní tyče 0. 03 numfr. . lymfocyty 0. 92 numfr monocyty 0. 02 numfr. eosinofily 0. 01 numfr.

Imunofenotyp

Imunofenotyp

A) Hepatosplenický γ/δ T-lymfom B) Agresivní leukémie z NK-buněk C) Mikrogranulární varianta T-LGL leukémie

A) Hepatosplenický γ/δ T-lymfom B) Agresivní leukémie z NK-buněk C) Mikrogranulární varianta T-LGL leukémie D) Angioimunoblastický T-lymfom

Kazuistika č. 4 Žena, 43 let Sjögrenův syndrom Sérový paraprotein Ig. M s nízkou

Kazuistika č. 4 Žena, 43 let Sjögrenův syndrom Sérový paraprotein Ig. M s nízkou kvantitou Hospitalizace pro bronchopneumonii Isolovaná cervikální lymfadenopatie Exstirpace uzliny Vyšetření kostní dřeně neprokazuje lymfoproliferaci Histologie lymfatické uzliny: extramedulární nediferencovaný plasmocytom uzliny

Imprint lymfatické uzliny

Imprint lymfatické uzliny

Imunofenotypizace lymfatické uzliny

Imunofenotypizace lymfatické uzliny

A) Reaktivní lymfadenitida v rámci SS B) Extramedulární plazmocytom C) Lymfom z marginální zóny

A) Reaktivní lymfadenitida v rámci SS B) Extramedulární plazmocytom C) Lymfom z marginální zóny D) Lymfoplazmocytární lymfom