Karyotypes Karyotypes Definition A picture of chromosomes cut

  • Slides: 33
Download presentation
Karyotypes

Karyotypes

Karyotypes • Definition - A picture of chromosomes cut out and grouped together. •

Karyotypes • Definition - A picture of chromosomes cut out and grouped together. • Typical human karyotype would look like…

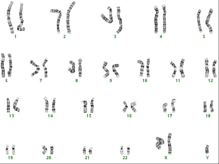
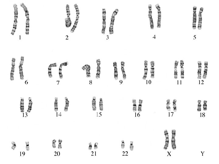
Is the following individual male or female?

Is the following individual male or female?

“Normal” Human Female Why? Because she lacks a “Y” chromosome.

“Normal” Human Female Why? Because she lacks a “Y” chromosome.

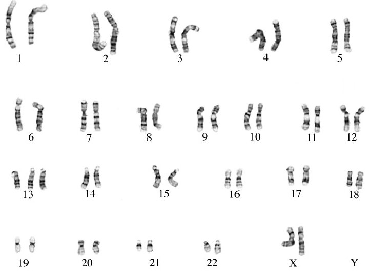
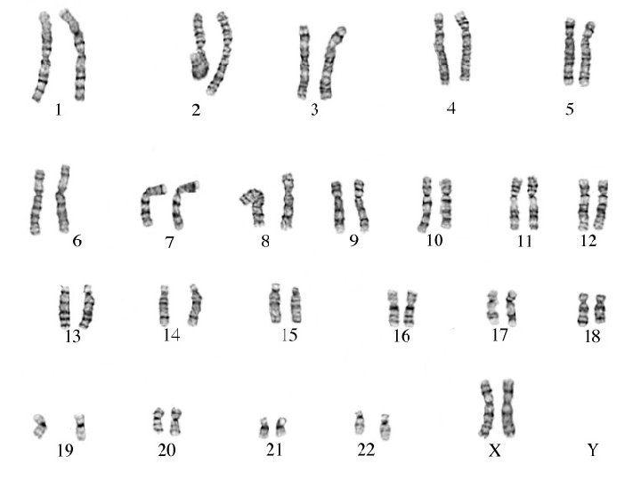
Is the following individual male or female?

Is the following individual male or female?

“Normal” Human Male Why? Because he has a “Y” chromosome.

“Normal” Human Male Why? Because he has a “Y” chromosome.

Karyotypes • Definition - A picture of chromosomes cut out and grouped together. •

Karyotypes • Definition - A picture of chromosomes cut out and grouped together. • Typical human karyotype: – 46 total chromosomes – 23 total pairs – 44 autosomes – 2 sex chromosomes (XX or XY) An embryo without an X chromosome is incapable of survival

What appears abnormal about the following karyotype?

What appears abnormal about the following karyotype?

Monosomy X Female Turner Syndrome • Pectus excavatum (picture) • Short stature • Webbed

Monosomy X Female Turner Syndrome • Pectus excavatum (picture) • Short stature • Webbed neck • Abnormal eye features (drooping eyelids) • Absent or retarded development of secondary sexual characteristics that normally appear at puberty • Infertility • Dry eyes

What appears abnormal about the following karyotype?

What appears abnormal about the following karyotype?

Trisomy 21 Down Syndrome Female

Trisomy 21 Down Syndrome Female

What appears abnormal about the following karyotype?

What appears abnormal about the following karyotype?

Trisomy 13 They usually do not live past age one.

Trisomy 13 They usually do not live past age one.

What appears abnormal about the following karyotype?

What appears abnormal about the following karyotype?

XXY Klinefelter Syndrome Tall (around six feet) Hypogonadism (small testes) Unable to produce sperm

XXY Klinefelter Syndrome Tall (around six feet) Hypogonadism (small testes) Unable to produce sperm (infertile) Sparse facial and body hair Gynecomastia (male breast disorder)

What appears abnormal about the following karyotype?

What appears abnormal about the following karyotype?

XYY Jacob’s Syndrome Tend to have a wiry-build Severe acne Minor birth defects Minor

XYY Jacob’s Syndrome Tend to have a wiry-build Severe acne Minor birth defects Minor outturning of the elbows Fertility is not affected