Karotis Arter Stenozlar Hasta Seimi Prof Dr Serdar




























![güncel durum • Medikal tedavi vs cerrahi/endovasküler girişim • • • Meta-analiz [Abbott- Stroke-2009] güncel durum • Medikal tedavi vs cerrahi/endovasküler girişim • • • Meta-analiz [Abbott- Stroke-2009]](https://slidetodoc.com/presentation_image_h/7f09f616c8a83cd5345b29f461893ca9/image-29.jpg)























































- Slides: 84
Karotis Arter Stenozları: Hasta Seçimi Prof. Dr. Serdar Geyik Memorial Sağlık Grubu İstanbul
STROKE-İNME • Beyine giden kan akımında azalma, oksijen ve beslenme eksikliği, hızlı hücre ölümü • İnme önlenebilir bir hastalıktır • Re-vaskülarizasyon koruyucu bir işlemdir
STROKE NEDENLERİ diğer 5% laküner 25% 0% kriptojenik 30% kardiyak 20% 150’den fazla bilinen nedeni var Stroke forum, Cerebrovasc Dis, 2009
TIA mekanizması KOMPLEX 1. Hemodinamik 2. Arter-arter emboli 3. In situ trombüs Plak boyutu Darlığın ilerlemesi TIA/stroke
TIA mekanizmaları
İskemik inmede tekrarlama riski Petty GW, Stroke, 2000
2011 AHA Re-vaskülarizasyon Önerileri • • Son 6 ayda TIA/amarozis fugax Düşük cerrahi risk Non-invaziv %70 DSA %50 re-vaskülarizasyon yapılması önerilir (sınıf I, kanıt B stent, kanıt A cerrahi)
Re-vaskülarizasyon Yüksek Risk • • > 80 yaş ileri kalp yetmezliği, evre 3 -4 EF < %30 Sınıf 3 -4 anjina Sol ana koroner/çoklu koroner arter darlığı Son 4 hf içinde geçirilmiş kalp krizi Kronik akciğer hastalığı 30 gün içinde kalp cerrahisi yapılma gerekliliği
Yüksek cerrahi risk • • Karşı taraf karotis arter oklüzyonu Karşı taraf laringeyal sinir paralizisi Geçirilmiş radikal boyun diseksiyonu Boyun radyoterapi uygulaması Endarterektomi sonrası rekürren darlık Klavikula düzeyinin altında darlık Yüksek bifurkasyon
2011 AHA Re-vaskülarizasyon Önerileri • asemptomatik • Non-invaziz %70 • DSA’da %60 darlık Risk değerlendirilmesi Hasta tercihinin mutlaka gözönüne alınması
risk değerlendirilmesi • • • Yaş (>80) Cinsiyet (K) Plak aktivitesi (aktif) Ek risk faktörü (var) Beklenen yaşam süresi (kısa) peri-operatif komplikasyon <% 3 olmalı
plak morfolojisi • • Ülserasyon USG’de ekolüsen Plak içi kanama Yüksek lipid oranı
Hasta Seçimi Plak aktif mi?
Hasta Seçimi Plak aktif mi? Markus ve ark, Lancet Neurol 2010
Hasta Seçimi Plak aktif mi? Eliasziw ve ark, Stroke 1994
1 - MES saptama - En iyi tanımlanmış metodolojidir. - 1998 Frankfurt Kriterleri -Molloy-Markus-1999 a/semptomatik 111 hastada MES(+) ise IA-inme riski 8 x -Spence-2005: 2000 -5 arasında 319 hasta’nın MES(+) olan %10’unda 1 -yıl inme riski %15, 6 iken olmayanlarda %1. MES(+) ise 1 yıl sonra %34 ve 2 -yıl sonra %9 MES(+). -Asymptomatic Carotid Emboli Study (ACES)2010: n= 467; MES(+) 77 hasta [%16, 5]. İpsilateral stroke 5· 57 x ; -İki yıllık inme+TIA risk: 7, 13%’e 3, 04% -İki yıllık inme risk: 3, 62%’e 0, 70%
2 - Ultrasonografik Plak ekolüsensi -Semptomatik hastalarda ekolusen plak frekansı fazladır. -Ekolusen plak olan ICAS’da yıllık risk %8 iken ekojenik olanlarda %1 kadardır. - MES ile bulunması aditiftir. -Ekolusensi plak selülaritesindeki artışı, MF infiltrasyonunu, inflamasyon ve neovaskülarizasyonu gösterir.
3 - Kontrast ultrasonografide plak neovaskülaritesi -Plak neovaskülarizasyonu intraplak hemoraji ve dolayısıyla plak unstabilitesi için risktir. - Neovaskülarizasyon semptomatik hastalarda fazladır. - Ayrıca operasyonda düşük ama anlamlı bir risk oluşturur. -Kontrast US ile belirlenebilir.
4 - 3 D ultrasonografide ülserasyon - NASCET’te anjio’da ülser olması ile inme riski 3 x. - Anjioya göre 3 -D RDUS ülser tanısı için daha elverişlidir. - 253 asempt ICAS’da: 3 -yıl inme/ölüm R 0 ülser %1, 9 1 ülser %46 %4, 4 2 ülser %16, 6 %7, 1 3 ülser %4, 3%18, 2
5 - MRG’de intraplak kanama - Lipid zengin nekrotik kor, intraplak hemoraji, fibröz kap inceliği, neovaskülarite yüksek rezolüsyon MRG ile görülebilir. -Uptake by macrophages of super-paramagnetic iron oxide (USPIO) USPIO particlesplak inflamasyonu tespiti için yararlı.
6 - PET/CT’de inflame plak -İnflamatuar hücre sayısının VSMC’e göre artması plak kırılganlığının bir ölçüsüdür -. -18 FDG PET’de MF fazlalığı metabolik olarak artmış doku aktivitesini gösterir.
Hasta Seçimi Disabilite NEJM 1998
Hasta Seçimi Zamanlama NEJM 1998
Hasta Seçimi Cinsiyet Rothwell ve ark, Lancet 2004
Hasta Seçimi Gerçekten asemptomatik mi? Kakkos ve ark, J Vasc Surg 2009
AHA Guideline, 2011
Güncel durum • Komplikasyon oran kısıtlaması TEK konu • • • Girişimsel Nöroradyoloji Girişimsel Radyoloji Nöroloji Kardiyoloji Vasküler cerrahi Beyin cerrahisi
güncel durum • Medikal tedavi vs cerrahi/endovasküler girişim • • • Meta-analiz [Abbott- Stroke-2009] Oxfordshire çalışması [Marquardt-2010] Canadian Stroke Prevention Clinic population [Spence-Arch Neurol-2010]
güncel durum, 2015
• Re-vaskülarizasyon işlem riski » Ipsilateral inme » Kalp krizi » Ölüm
CREST eğitim sonuçları • Kalp krizi, inme, ölüm oranları – Asemptomatik %4. 8 – Semptomatik %6. 1 • Uzmanlık alanına göre – Kardiyoloji, %3. 9 – Damar cerrahisi, %7. 7 – Girişimsel radyoloji, %6. 6 – Beyin cerrahisi, %6. 7 – Nöroradyoloji, %1. 6
Sorun • İpsilateral emboli riski • Stentlemede altın standart olmaması • EVA-3 S, SPACE, ICSS standart teknik, antiagregan kullanımı ve deneyim sorgulanmaması, hasta grubunun heterojen olması
Neden stent? • • Distal emboli koruma şansı Tandem lezyon Komplikasyon idaresi Minimal invaziv İşlemde beyin perfüzyonu devam Sedasyon altında hızlı, kolay uygulanabilir Düşük kalp krizi riski
Seçim? 1. Semptomatik • >%50 semptomatik darlıklarda revaskülarizasyon faydalı, ERKEN DÖNEM • peri-operatif komplikasyon <%6 olmalı 2. Asemptomatik • > %60 asemptomatik darlıklarda risk faktör değerlendirilmesi • Hasta tabanlı karar verilmesi • Yaş • Cinsiyet • Plak aktivitesi • Ek risk faktörü • Beklenen yaşam süresi • peri-operatif komplikasyon <% 3 olmalı
Sonuç Karotis stentleme uygun endikasyonda, eğitimli ellerde, güvenle uygulanabilir bir tedavi metodur
Teşekkürler…
Neden stent? TANDEM lezyon
Neden stent? Distal emboli koruma
Neden stent? Eş zmanlı komplikasyon idaresi
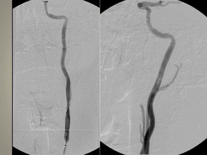
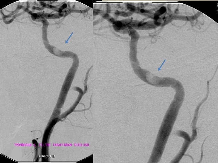
Ülsere plak olgu
pre-op • • • Karotis stentleme için uygun hazırlık önemli Anti-agregan kullanımı Hassasiyet ölçümü diffüzyon MR: yeni lezyon? İşlem sırasında sedasyon ağrı duyulmasın Kan basıncı monitorizasyonu
Vasküler erişim • Kateterizasyon: uzun re-inforced sheats (terumo, arrow, cook) uzun diagnostik kateter 120/125 cm Hidrofilik (Terumo 0. 035 -38 stiff or roadrunner-Cook) teller Hidrofilik olmayan (amplatz) teller
Uzun kılıf • Standard kılavuz kateterlere oranla artmış stabilite • Geniş lümen • Bükülmeye direnç • Hidorfilik kayganlık, ilerletilebilme
Uzun kılıf • Terumo Destination 6 F, 90 cm, iç lümen • Cook Shuttle, 5 F 90 -110 cm, 0. 074 inch 6 F 80 -110 cm, 0. 087 inch • Arrow…….
Koruma şemsiyesi • Spider (ev 3) • Filter. Wire (boston) • Angioguard (cordis)
stent • • Açık yarı-açık kapalı hücreli Çok katmanlı
Hangi Yöntem? ? Liu ve ark, Annals of Vasc Surgery 2012
Randomize Çalışmalar • • EVA-3 S: 527 hasta, %9. 4 vs %6. 2 ICSS: 1710 hasta, %8. 5 vs %5. 2 SPACE: 1200 hasta, %6. 84 vs %6. 34 CREST: 2502 hasta, %5. 2 vs %4. 5
CREST
CREST • • • 2502 hasta 117 merkez 477 cerrah 224 girişimsel %80 hasta > %70 darlık
CREST • Cerrahi • >12/yıl hasta sayısı • Asemptomatik hasta <%3 komplikasyon • Semptomatik hasta <%5 komplikasyon
CREST Endovasküler: girişimsel değerlendirme komite başvurusu • • • 427 aday %17 ilk basvuruda kabul %56 egitim programına kabul %27 red Toplamda 224 aday randomizasyon için kabul edildi
Egitim aşaması • CREST, kullanılan materyal, hayvan model egitimi • Deneyimli (≥ 30 olgu), 5 -10 prosedür eğitim • Az deneyimli (≤ 30 olgu), 10 -20 prosedür eğitim
Eğitim sonuçları • Kalp krizi, inme, ölüm oranları – Asemptomatik %4. 8 – Semptomatik %6. 1 • Uzmanlık alanına göre – Kardiyoloji, %3. 9 – Damar cerrahisi, %7. 7 – Girişimsel radyoloji, %6. 6 – Beyin cerrahisi, %6. 7 – Nöroradyoloji, %1. 6
Sorun • İpsilateral emboli riski • Stentlemede altın standart olmaması • EVA-3 S, SPACE, ICSS standart teknik, antiagregan kullanımı ve deneyim sorgulanmaması, hasta grubunun heterojen olması
Neden stent? • • Distal emboli koruma şansı Tandem lezyon Komplikasyon idaresi Minimal invaziv İşlemde beyin perfüzyonu devam Sedasyon altında hızlı, kolay uygulanabilir Düşük kalp krizi riski
Ne yapmalı ? 1. Semptomatik • >%70 semptomatik darlıklarda revaskülarizasyon faydalı • peri-operatif komplikasyon <%6 olmalı 2. Asemptomatik • > %60 asemptomatik darlıklarda risk faktör değerlendirilmesi • Hasta tabanlı karar verilmesi • Yaş • Cinsiyet • Plak aktivitesi • Ek risk faktörü • Beklenen yaşam süresi • peri-operatif komplikasyon <% 3 olmalı
Sonuç Karotis stentleme uygun endikasyonda, eğitimli ellerde, güvenle uygulanabilir bir tedavi metodur
Teşekkürler…