KARIN ENFEKSYONLAR Do Dr Reat ZARAS C T































































































- Slides: 95
KARIN İÇİ ENFEKSİYONLAR Doç. Dr. Reşat ÖZARAS İ. Ü C. T. F Enfeksiyon Hastalıkları A. D.
n n n Peritonitler Karın içi apseler Karaciğer ve safra yolu enfeksiyonları Pankreas enfeksiyonları Dalak enfeksiyonları Apandisit ve divertikülit komplikasyonları
Karın içi enfeksiyonlara genel yaklaşım n n n Karın ağrısı, ateş, karın hassasiyeti, lökositoz karın içi enfeksiyon? ? Öykü ve fizik muayene yol gösterici Cerrahi değerlendirme Ampirik antibiyoterapi Kültür ( kan, periton sıvısı. . . ) + gerekli tetkikler istenir
Peritonitlerin sınıflandırılması n n n Primer peritonit Sekonder peritonit Tersiyer peritonit
Primer peritonit 1. Çocuklarda spontan peritonit (< % 1 -2) postnekrotik siroz, nefrotik sendrom 2. Erişkinlerde spontan peritonit (siroz ve asit nedeniyle hospitalize edilen hastaların % 1030’u) alkolik siroz, postnekrotik siroz, kronik aktif hepatit, akut viral hepatit, konjestif kalp yetmezliği, metastatik malinite, SLE, lenfödem 3. Tüberküloz peritoniti
Mikrobiyoloji % 69 enterik patojenler n Escherichia coli n Klebsiella pneumoniae n Streptococcus pneumoniae n Enterokoklar n Staphylococcus aureus (nadir, umblikal herni erozyonu) n Anaeroplar ve mikroaerofilik bakteriler n Polimkirobiyal (sıklıkla anaerobik) Aerop bakterilerin yol açtığı peritonitlerde % 75 bakteremi
Patogenez n n Hematojen Lenfatik GİS kanalından transmural migrasyon Vajinadan Fallopian tüpler yoluyla Alkolizm ve siroz n n n monosit ve nötrofillerde bozulmuş fagositoz bozulmuş opsonizasyon ↓ kompleman, immünoglobulin
Klinik semptom ve bulgular n n n Akut ateş Karın ağrısı Bulantı, kusma, diyare Yaygın karın hassasiyeti, rebound Hipoaktif barsak sesleri
n n n Bazı hastalarda klinik atipik seyirli olabilir Sinsi başlangıç Asitli hastada periton irritasyon bulguları olmayabilir Ateş >37, 8˚C
n n n Sirotik hastalarda primer peritonit Hepatorenal sendrom Progressif ensefalopati Viseral kanamalar ile ilişkili olabilir Kronik karaciğer hastalığı dekompanse olan bir hastada primer peritonit mutlaka ayırıcı tanıda düşünülmelidir.
n n n Tüberküloz peritonitinde Ateş Kilo kaybı Halsizlik Gece terlemeleri Karında distansiyon Laparaskopide periton yüzeyi ve omentumda multipl nodüller
Laboratuvar n Parasentez sıvısında hücre sayımı (>250 PMN/mm 3, > 500 lökosit/mm 3) protein (serum asit albumin farkı <1, 1) (düşük olabilir) LDH (asit/serum >0, 4) Gram boyama (% 60 -80 negatif) Kültür (% 40 negatif)
Tanı n n Primer karın içi enfeksiyon odağını dışlamaya dayanır (kontrastlı BT) Ampirik antibiyoterapiye 48 -72 saatte yanıt alınır (lökosit sayısı)
Tedavi n Ampirik tedavi ampisilin+aminoglikozid 3. kuşak sefalosporin piperasilin-tazobaktam, ampisilinsulbaktam karbapenemler levofloksasin, moksifloksasin
n n n Kültür ve duyarlılık sonuçlarına göre antibiyoterapi yeniden düzenlenir. Primer bakteriyel peritonit düşünülen ancak kültür steril olan olgularda klinik yanıt yanında antibiyoterapi ile 24 -48 saat içinde >% 25 lökosit sayısında azalma tanıyı destekler 10 -14 gün I. V ( komplike olmayan olgularda oral) antibiyoterapi (5 gün)
Prognoz n n v v Sirotik hastalarda tedavi % 50 hastada başarılı ancak mortalite % 95 Kötü prognostik faktörler Renal yetmezlik Hipotermi Hiperbilirubinemi Hipoalbuminemi
Korunma n n 1 primer peritonit atağı 1 yıl içinde diğer atak geçirme riski artar Transplant bekleyen hastalar selektif dekontaminasyon ( 1 x 400 mg norfloksasin veya ko-trimoksazol 1 x 160 mg/5 gün/hafta)
Sekonder peritonit n n Enfeksiyonun gelişmesine en fazla GİS bütünlüğünün bozulmasına neden olan tablolar yol açar. Etiyolojide rol alan etken mikroorganizmalar defektin olduğu bölge florasına göre değişiklik gösterir. Polimikrobiyal E. coli erken mortaliteden, B. fragilis geç apse oluşumundan sorumludur.
Sekonder peritonit Gastrointestinal perforasyon (apandisit, gastroduodenal ülser perforasyonu, kanser perforasyonu, safra kesesi perforasyonu, diğerleri) 2. İntestinal iskemiye bağlı perforasyon (mezenterik oklüzyon, fıtıkta strangülasyon) 3. Postoperatif peritonit (anastomoz kaçağı, sütür ayrışması, kör ans kaçağı, gözden kaçan iyatrojenik yaralanmalar) 1.
4. Posttravmatik peritonit (penetran, künt travma sonrası) 5. Pelvik peritonit (septik abortus, püerperal sepsis, salpenjit, pürülan prostatit)
Mikrobiyoloji n Aeroplar Escherichia coli %65 Proteus spp. %25 Klebsiella spp. %20 Pseudomonas spp. %15 Enterokoklar %15 Streptokoklar %10 (grup A ve D dışında) n Anaeroplar Bacteroides fragilis %80 Bacteroides spp. %30 Clostridium spp. %65 Peptostreptococcus spp. %25 Peptococcus spp. %15 Fusobacterium spp. %20
Klinik n n n Karın ağrısı (periton irritasyonunun en fazla olduğu yerde en şiddetlidir, hareketle artar), iştahsızlık, bulantı, kusma, hipovolemiye bağlı dehidratasyon, titreme, ateş. Hipotansiyon, taşikardi, oligüri, hızlı ve yüzeyel solunum; hipovolemi, hipoksi ve asidoza bağlı olarak gelişir Gelişen enflamasyon ile birlikte barsaklarda adinamik ileus görülür.
n n n Hassasiyet, defans, doğrudan ve dolaylı rebound tanı ve lokalizasyonda yardımcıdır. Başlangıçta hiperaktif olan barsak sesleri sonrasında kaybolur. Bazen peritona ait sistemik bulgular şiddetli olmayabilir, barsak seslerinin alınmayışı tek bulgudur.
Tanı n n n Lökositoz, göreceli lenfopeni ve sola kayma Hemokonsantrasyon ve dehidratasyona bağlı hematokrit ve üre yüksekliği Transaminazlarda yükseklik, trombositopeni, respiratuvar ve metabolik asidoz, fibrin yıkım ürünlerinde artış Ayakta ve yatarak çekilen düz karın grafileri, Akc filmi Karın USG, BT BT eşliğinde periton boşluğundan alınan sıvının gram ve kültürü, kan kültürü (% 20 -30 bakteremi)
Prognoz n n n Yaş Komorbidite Periton kontaminasyon süresi Yabancı madde varlığı (safra, pankreas sekresyonları) Mikroorganizma Mortalite: % 3, 5 -60
Tedavi n n Cerrahi yaklaşım + destek tedavi + antibiyoterapi (lökosit sayısının normale dönmesi, ateş düştükten sonra 48 saat geçmesi, barsak seslerinin normale dönmesi) Yeterli cerrahi sonrası 5 - 7 gün antibiyoterapi
Ampirik antibiyoterapi n n Toplum kökenli hafif-orta sefazolin+metronidazol sefoksitin ağır piperasilin-tazobaktam seftriakson+metronidazol klindamisin+gentamisin imipenem Hastane kökenli piperasilin+metronidazol +aminoglikozid imipenem+/-aminoglikozid Enterokoklar, Candida ? ?
Treatment Guidelines for Intra-abdominal Infections • CID 2003: 37 (15 October)
Sürekli ayaktan periton diyalizli hastalarda peritonit n n n En önemli komplikasyon 1 atak/hasta-yıl Tekrarlayan ataklar %20 -30 hasta
Etiyoloji n n n Kateterin deri florası ile kontaminasyonu Kateter çıkış yeri, subkutan tünel yoluyla periton kontaminasyonu Geçici bakteremi Torba değişimi sırasında kontaminasyon Bütünlüğü bozulmamış barsak duvarından transmural migrasyon (hipertonik solüsyon)
Mikrobiyoloji Gram (+) m. org (%60 -80) n S. epidermidis n S. aureus n Streptokoklar n Difteroidler Gram (-) m. org (%15 -30) n E. coli n Klebsiella spp. n Enterobacter spp. n Proteus spp. n Pseudomonas spp. Polimikrobiyal Nadir patojenler n Acinetobacter spp. n Candida albicans n Anaeroplar n Atipik mikobakteriler n M. tuberculosis n Nocardia asteroides n Aspergillus fumigatus n Fusarium spp. n Candida parapsilosis
Tanı n n n Karın ağrısı ve hassasiyet (%60 -80) Bulantı ve kusma (%30) Ateş (%10 -20) Diyare (%10) Dializat görünüm: bulanık lökosit: >100/mm 3 (%85 >500/mm 3) n n Lökositoz belirleyici değil Peritoneal eozinofili mantar peritoniti Gram boyama %9 -50 olguda pozitif % 5 -10 olguda kültür negati, kan kültürü nadiren pozitif
Tedavi n n ü ü ü ü İntravenöz, intraperitoneal, 10 gün-3 hafta (96 saat içinde yanıt) Tedavi Gram boyamaya göre yönlendirilir. Ampirik ilk seçenek tedavi vankomisin+ aminoglikozid Kateterin çekilme endikasyonları: süreğen kateter çıkış bölgesi veya tünel enfeksiyonu mantar, fekal, mikobakteri peritoniti P. aeruginasa peritoniti süreğen peritonit aynı m. org ile tekrarlayan peritonit atakları kateterin çalışmaması intraperitoneal apse
Prognoz n n n < %1 mortalite Antibiyoterapi sonrası hastalık ve kültür pozitiflik süresi 1 -4 gün S. aureus İyileşme yavaş, relaps oranı yüksek Pseudomonas spp. Mantar }
n 1. 2. 3. 4. 5. 6. Tersiyer peritonit Patojensiz peritonit Patojenitesi düşük bakterilerin yaptığı peritonit Diğer peritonitler Periyodik peritonit Kurşun zehirlenmesine bağlı peritonit Porfiri peritoniti Talk peritoniti Yabancı cisim peritoniti İlaca bağlı peritonit
Karın içi apseler n n n İntraperitoneal Retroperitoneal Viseral
İntraperitoneal apseler n n n Primer ya da sekonder peritonit komplikasyonu Apandisit, divertikülit, safra yolları hastalığı, pankreatit, perfore peptik ülser, enflamatuvar barsak hastalığı, travma, karın içi cerrahi Sağ alt kadran, sol alt kadran, pelvik, perihepatik (subfrenik, subhepatik), parakolik, interloop. . .
n n n Polimikrobiyal enfeksiyon (% 60 -70 anaeroplar (B. fragilis), E. coli, enterobakterler, Klebsiella spp. , Proteus spp, P. aeruginosa, S. aureus, enterokoklar. . . ) Akut intermittan ateş, lökositoz, karın ağrısı, karında hassasiyet (ameliyat geçirmiş bir hastada) Lokal semptom ve belirtiler apse lokalizasyon ve kaynağına göre değişir
Patogenez n n n Peritonitin lokalizasyonu (pelvik, perihepatik, parakolik) Hastalıklı organ çevresi (periappendiks, perikolesistik) Travma ya da cerrahi sonrası
Subhepatik apse v En sık olarak duodenum ülseri komplikasyonlarına bağlı acil girişimlerden sonra v Üst kadranda spontan ve öksürükle artan ağrı
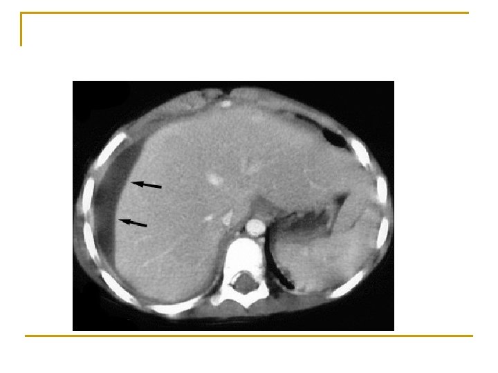
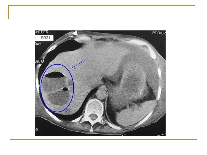
Subfrenik apseler v Sağ subfrenik apse en sık karaciğer apselerin perforasyonu ile daha az oranda da mide, duodenum ve safra ameliyatlarından sonra da gelişir. v Sol subfrenik apse mide, dalak ameliyatlarından sonra postoperatif anastomoz kaçaklarına bağlı olarak gelişir. v Akciğer semptomları (öksürük, atelektazi, plevral effüzyon), alt torakal veya subkostal veya omuzda ağrı görülebilir.
Pelvik apse v En sık divertikül ve apandiks perforasyonu sonrasında v Kolon ve appendiks ameliyatlarından sonra ya da karın içi bir apsenin drenajından ya da jeneralize peritonitten sonra gelişebilir. v Künt, iyi lokalize edilemeyen ağrı v Rektum irritasyonu ishal ve tenesmusa, mesane irritasyonu idrar sorunlarına yol açabilir.
Retroperitoneal apseler n n n Ameliyat ve primer organ hastalığı sonucu En sık sebepler: böbrek ve pankreas hastalıkları Appendiks veya kolonun retroperitoneal perforasyonu ya da anastomoz kaçaklarını takiben, akut kolesistit sonrası, vertebral osteomiyelitinin retroperitoneuma rüptürü sonrası
n n % 80 olguda ateş, lokalize edilemeyen karın ağrısı, farklı GİS belirtileri, karın hassasiyeti Çok büyük olabildikleri ve sepsis belirtileri verdikleri halde klinik bulgular az tanı geç konur
Tanı ve tedavi n n Düz grafi Sintigrafi USG BT Drenaj n Cerrahi n Perkutan ulaşılabilir uniloküler avasküler cerrahi koşullar hazır Antibiyoterapi (genellikle drenaj öncesi)
Viseral apseler n v v v Bakteremi, asandan biliyer enfeksiyon ve nekrotizan pankreatitlerde olduğu gibi primer organ hastalığı sonucunda da oluşurlar. Karaciğer apseleri diğer organ apselerine göre daha sık görülür. Karaciğer apseleri Dalak apseleri Pankreas apseleri
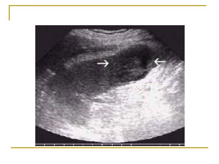
Karaciğer apseleri n n Genellikle piyojenik bakterilere bağlı gelişir. İnsidansı düşüktür (% 0. 013 -0. 035) Karaciğer apsesi soliter (%50) ya da multipl (biliyer kaynaklı) olabilir. Sağ, sol, kaudat lob
Piyojenik apseler n n n biliyer sistemden asandan yolla (multipl apse, aneroplar nadir) (%40 -50) hepatik arter yoluyla (üriner sistem, pnömoni, endokardit) (%5 -10) portal ven yoluyla (divertikülit, pankreatit, postop enfeksiyon, inflamatuvar barsak hastalığı) (%5 -15) karın içi bir kaynaktan komşuluk yoluyla (kolesistit, subfrenik apse, perinefrik apse) (%5 -10) travma (penetran, künt) (%0 -5) kriptojenik (%20 -40)
n n n DM Kardiyopulmoner hastalık Malinite Siroz Kronik granülomatöz hastalık
Semptom ve bulgular n n Semptomlar spesifik değildir veya primer kaynağa bağlıdır. ateş anoreksi bulantı kusma kilo kaybı Hepatomegali, sağ üst kadran hassasiyeti, ikter ve sağda plevral effüzyon görülebilir (% 10 hasta).
Polimikrobiyal enfeksiyon n E. coli n Klebsiella pneumoniae n Enterobacter spp. n Enterokoklar n Viridans grup streptokoklar n S. aureus (monomikrobiyal) n Fusobacterium spp. n Bacteroides spp.
Tanı n n n Lökositoz (% 84 -88), ALP yüksekliği (% 60); diğer karaciğer fonksiyon testleri belirleyici değildir. Karın USG ve BT, kan kültürü (% 60 pozitif), apse kültürü. . . Multipl küçük apseler soliter apselerden daha mortal seyreder.
Tedavi Kaynak İlk Tercih Seçenek Biliyer Ampisilin + gentamisin +/-metronidazol Vankomisin + gentamisin +/metronidazol Karbapenem Kolon 3. Kuşak sefalosporin + metronidazol Karbapenem Antipseudomonal penisilin (betalaktamaz inhibitörlü) Metronidazol + gentamisin Drenaj + antibiyoterapi (2 -3 hafta perenteral, 2 -4 hafta oral)
Amip apsesi n n E/K: 10/1 Trofozoitler kolonda mukus ve epitel hücrelerine galaktoz Nasetilgalaktozamin (Gal/Gal. NAc) lektin aracılığıyla bağlanır Hastaların % 1’inde karaciğere portal ven yoluyla transfer Hepatosit ve nötrofillerde apoptoz
Klinik n n n Ateş Sağ üst kadranda künt ağrı Sarılık (nadir) Bulantı, kusma, karın ağrısı, diyare (%15 -35) Semptomlar hastaların 2/3’ünde akut, aylar - yıllar
Tanı n n n Sıklıkla sağ lobta tek apse Antiamip antikorları % 95 duyarlı ve özgül Dışkıda kist tanıtıcı değil (E. dispar)
Tedavi n n n Metronidazol (7 -10 gün), 3 -5 günde ateş düşer, karın ağrısı geriler Komplike olmayan abselerde drenaja gerek yok Antibiyoterapiye yanıtsız, tanının kesin olmadığı ya da rüptür olasılığı olan büyük abselerde drenaj uygulanır
Akut kolesistit n n n Semptomatik kolelitiazizli hastaların %1 -3’ü Akut sağ üst kadran ağrısı (infraskapüler bölgeye yayılan), bulantı, kusma, ateş, sağ üst kadran hassasiyeti, Murphy pozitifliği Lökositoz, bozulmuş karaciğer fonksiyon testleri
Patogenez taş (%85 -95) sistik kanal obstrüksiyonu intraluminal basınç artar, mukozaya basınç venöz dönüş bozulması safra stazı inflamasyon ve iskemik nekroz ülserasyon, gangren, perforasyon
Mikrobiyoloji n n n Akut kolesisitlerin % 50 -70’inde kültürde bakteri üretilir. Enfeksiyon polimikrobiyal seyirlidir. E. coli Klebsiella spp. Enterokoklar en sık izole edilen bakterilerdir. Anaeroplar daha çok koledok veya kompleks biliyer cerrahi (biliyer-intestinal anastomoz) sonrasında ve yaşlılarda izole edilir.
n n n Tanı: Tanı USG (safra kesesi duvarında >2 mm’lik kalınlaşma, perikolesistik sıvı, intramural gaz, kanallarda dilatasyon; sonografik Murphy pozitifliği) HIDA sintigrafisi, BT Tedavi: Tedavi I. V sıvı + GİS istirahati + parenteral analjezik + antibiyoterapi (komplike olgular, ağır seyir, immünsüpresyon, yaşlı, sarılık) + kolesistektomi/kolesistotomi Komplikasyon (%10 -15): hepatik, karın içi apse, safra kesesi nekrozu, gangreni, perforasyonu
Kolanjit n n Etiyoloji: Koledok obstrüksiyonu (koledokolitiyaziz, pankreas ca, papilla vater kanseri, biliyer striktürler, pankreatit, A. lumbricoides) Patogenez: Patogenez barsaklardan ya da kan yoluyla gelen bakteriler basınç altındaki safra içeriğini enfekte eder Klinik: Klinik karın ağrısı, ateş, sarılık. Ateş, sağ üst kadran ağrısı ve sarılıktan oluşan Charcot triadı hastaların % 50 -100’ünde görülür. Tedavi gecikirse septik şok gelişir.
n n Tanı: Tanı lökositoz, karaciğer enzimlerinde yükselme, ALP ve GGT yüksekliği, bilirübinemi, kan kültürü (%30 -40 olguda pozitif), radyoloji Tedavi: Tedavi destek tedavi+ antibiyoterapi (% 8590 hasta yanıt verir). Medikal tedaviye yanıtsız veya durumu kötüye giden hastalarda biliyer dekompresyon uygulanır (PTBD, endoskopik sfinkterotomi, cerrahi dekompresyon)
Biliyer sistem enfeksiyonlarında ampirik antibiyoterapi Hafif- orta Ciddi sefazolin sefoksitin ampisilin+gentamisin piperasilin-tazobaktam seftriakson +metronidazol piperasilin-tazobaktam+ gentamisin imipenem Komplike nozokomiyal piperasilin+aminoglikozid+metronidazol/klindamisin imipenem+aminoglikozid
Splenik apseler n n n Nadiren görülür (otopsi serilerinde %0. 2 -0. 7) 30 -60 yaş Bakteremi ile ilişkili metastatik enfeksiyonlar (enfektif endokardit), immün yetmezlik, hematom enfeksiyonu ile sonuçlanan travma, komşuluk yoluyla yayılan enfeksiyon, iskemiye ve süperenfeksiyonlara yol açan embolik hastalıklar (orak hücreli anemi)
Klinik n n Ateş (%93), yaygın karın ağrısı (% 58), sol hipokondriyumda plöritik tarzda ağrı (% 40), bulantı, kusma, anoreksi Splenomegali ve karında hassasiyet % 50 hastada görülür. Çoğu hastada sol alt Akc alanında matite ve ral vardır. Yoğun bakım ünitesinde yatmakta olan septik bir hastada persiste eden sol plevral efüzyon + açıklanamayan trombositoz splenik apse
Tanı ve mikrobiyoloji n n n Lökositoz genellikle vardır ama spesifik değildir. Akciğer grafisi (sol plevral effüzyon, sol hemidiyafragma yükselmesi, sol üst kadranda kitle , sol alt lobda infiltrasyon), kan kültürü (% 24 -60 pozitif), karın USG, BT Stafilokoklar, streptokoklar (%30), gram(-) bakteriler özellikle Salmonella spp. (%30), anaerop bakteriler (% 7), mantar özellikle Candida spp. (% 7), M. tuberculosis, MAK. .
Tedavi n n n Mortalite % 0 -14 En sık karşılan komplikasyon rüptür sonrası gelişen akut peritonit Splenektomi + antibiyoterapi (tanı konduğunda ampirik tedavi; vankomisin+aminoglikozid; 3. kuşak sefalosporin; kinolon) Tek, uniloküler, < 3 cm apse drenaj (kısıtlı deneyim) Antibiyotik süresi?
Akut pankreatit (AP) sonrası gelişen enfeksiyonlar n n Pankreas enfeksiyonlarının çoğu AP sonrası görülen komplikasyonlardır. Ödematöz/interstisiyel pankreatit (%80) Nekrotizan pankreatit (%20) Hafif pankreatitte enfeksiyon oranı düşük ağır pankreatitte yüksek (%70)
Ağır pankreatit n n APACHE II >8 BT’de >%30 nekroz Akc grafisinde plevral effüzyon CRP >150 mg/L
n n Erken evre AP (ilk 3 hafta) nekrotik pankreatik ve peripankreatik dokuda enfeksiyon (%50 ilk 2 hafta içinde % 71 ilk 3 hafta içinde) Geç evre pankreatit (4 - 7 hafta) steril nekroz pseudokiste, enfekte nekroze doku apseye, ya da pseudokistler enfekte olup apseye dönüşür (pankreatiti iyileşmiş hastada ateş, karın ağrısı, lökositoz)
n n n Steril pankreatit veya peripankreatik nekroz lökositoza ve ateşe yol açar. Klinik olarak enfeksiyonu tanımak zordur. Hastaların % 50’sinde aktif enfeksiyon belirtileri bulunmayabilir. Kontrastlı karın BT’de nekroz, nekroz alanında veya çevresinde gaz görülür. BT altında alınan ince iğne aspirasyonda etken üretilir (nekrotizan AP ve sistemik toksisite veya ilk 1 - 2 hafta içinde organ yetmezliği).
Mikrobiyoloji Bakteri Escherichia coli Klebsiella pneumoniae Enterococcus spp. Stafilokoklar Pseudomonas spp. Proteus spp. Enterobacter spp. Anaerop bakteriler Candida spp.
Tedavi n n n Debridman, drenaj Antibiyoterapi Pankreatik dokuya iyi penetre olan antibiyotikler: piperasilin, sefotaksim, seftazidim, sefepim, imipenem, kinolonlar, metronidazol, klindamisin
Pankreatik apseler n n Enfekte nekroz ve erken apsenin ayırıcı tanısı zor olabilir. Gerçek pankreatik apse durumunda pü ve nekrotik pankreatik doku bir kapsülle sınırlandırılmıştır. Pankreatik parenkimde olabileceği gibi retroperitonael ya da küçük omentum boşluğuna uzanabilir. Sık görülmemekle birlikte mortalite oranı yüksektir (%2 -5).
n n Etiyoloji: Etiyoloji apseye yol açan pankreatit nedenleri arasında alkol kullanımı (%32), kolelitiyaziz (%25), postoperatif nedenler (%19). . peptik ülser penetrasyonu, pankreatik psödokist enfeksiyonu Pankreatik apselerin % 54’ü polimikrobiyal seyreder.
n n Klinik: Klinik Pankreatit atağı takiben klinik düzelme sonrası kötüye gidiş olabilir. % 80 -90 hastada karın ağrısı, bulantı, kusma vardır. Ateş ve abdominal hassasiyet genellikle mevcuttur. Daha nadiren ikter, abdominal distansiyon veya abdominal kitle görülebilir. Akut veya iyileşen pankreatit seyrinde ilk atağın 3. -4. haftasında düşmeyen ateş, karın ağrısı, lökositoz görüldüğünde pankreas apsesi mutlaka akla gelmelidir.
n n n Tanı: Tanı Karın BT, BT eşliğinde ince iğne aspirasyonuyla alınan sıvının kültürü, kan kültürü Tedavi: Tedavi Drenaj+destek tedavi+uygun antibiyoterapi Uygun tedaviye rağmen mortalite: %20
Enfekte pankreatik psödokist n n n Pankreatik psödokistler akut ve kronik pankreatit seyrinde gelişen epitelize olmayan kapsülle çevrili, intrapankreatik veya peripankreatik yerleşimli sıvı kolleksiyonlarıdır. % 8 - 43’ü 6 hafta içinde spontan olarak rezolüsyona uğrar. Psödokistlerin %0 -25’i enfekte olur (polimikrobiyal).
n n Patogenez: Patogenez hematojen barsaktan bakterinin transmural geçişi ERCP sonrası Klinik: Klinik psödokisti olduğu bilinen hastada ateş, karın ağrısı, karında kitle Tanı: Tanı Karın BT, BT eşliğinde ince iğne aspirasyonuyla alınan sıvının kültürü Tedavi: Tedavi eksternal drenaj+ antibiyoterapi
Enfeksiyöz komplikasyonları önleme amaçlı profilaktik antibiyotik kullanımı n n Orta ve ağır seyirli pankreatitler nekroz ile gider. Yapılan randomize çok merkezli bir çalışmada (74 hasta) imipenem profilaksi alan hastalarda pankreatit ile ilişkili enfeksiyon ve pankreas dışı sepsis oranı anlamlı şekilde düşük bulunmuştur. 5 randomize prospektiv çalışma 3 sepsis oranında↓ 2 pankreatik enfeksiyon oranında ↓ Randomize kontrollü çalışmaların metaanalizi (160 hasta) imipenem, sefuroksim ve ofloksasin verilen hasta grubunda lokal enfeksiyon oranında anlamlı olmayan↓ sepsis insidansında ve mortalitede anlamlı↓
Rehberler American College of Gastroenterology guidelines 1997 Organ yetmezliği ile giden nekrotizan pankreatit Aerop ve anaerop bakterileri kapsayan geniş spektrumlu antibiyotik Spanish Consensus Conference 1997 Nekrotizan pankreatit İmipenem Santorini Consensus Conference 1999 Ağır AP Kinolon+ klindamisin Bangkok World Congress of Gastroenterology 2002 Pankreas nekrozu karbapenem En az 14 gün
Apandisit perforasyonu n n n Appendiks lümeninin obstrüksyonu mukus birikimi gangren ve rüptür (%20 -30) Eğer inflamasyon ve rüptür sınırlandırılamazsa yaygın peritonit gelişir. Sağ subhepatik alan ve pelvik boşlukta apse gelişebilir. Piyelofilebit ve karaciğer apsesi tabloyu komplike edebilir.
n n Polimikrobiyal: B. fragilis, E. coli en sık rastlanılan bakterilerdir. Pseudomonas türleri kültürlerin % 40’ ında üretilebilir. Tanı: Ateş ve ağrının şiddetinde ani azalma perforasyonu, sağ alt kadranda kitle abse ya flegmonu düşündürür. Tedavi: Appendiks çevresinde yerleşimli apsenin perkutan yolla drenajı + appendektomi Perforasyon durumunda hasta operasyona hazırlanırken uygun antibiyoterapi başlanır (ateş, lökosit, barsak hareketleri, 5 -10 gün)
Transversal view of the appendiceal basis - lumen (a) and symetrically thickened wall (arrowheads), cf - creeping fat (inflamed omentum and mesenterium), ab - fluid of periappendiceal abscess
Divertikülit ile ilişkili komplikasyonlar n n n Divertikülozlu hastaların %10 -25’i Tekrarlayan ve ciddi sol alt kadranda ağrı, ateş, bulantı, kusma, üriner sistem yakınmaları, lökositoz (% 69 -93), ESH yüksekliği Sol alt kadranda hassasiyet, rektal tuşede hassasiyet, rebound, defans, dışkıda gizli kan, apse oluşmuşsa hassas ele gelen kitle
Komplikasyonlar: Komplikasyonlar fistül (tekrarlayan ataklar, barsak, mesane, pelvik taban ve vajina arasında fistüller) obstrüksiyon, mukus birikimi, bakteriyel proliferasyon, barsak duvarı enflamasyonu perforasyon (peritonite yol açar) apse (24 -48 saat içinde medikal tedaviye yanıt yoksa veya palpabl abdominal kitle varsa BT) n Mikroperforasyon sınırlı kolon inflamasyonu, küçük apse n Makroperforasyon büyük apse
Tanı ve mikrobiyoloji n n n Tanı: Tanı Karın BT, USG, kan kültürü Polimikrobiyal enfeksiyon Bacteroides spp. , Peptostreptococcus spp. , Enterobakterler, viridans grup streptokoklar, enterokoklar
Tedavi hafif şiddette divertikülit, apse < 5 cm: oral antibiyoterapi; TMP-SXT+ metronidazol veya ciprofloksasin+metronidazol, amoksisilin kalvulanik asit; 7 -10 gün orta ve ciddi seyirli divertikülit: hospitalizasyon, I. V sıvı+GİS istirahati+antibiyoterapi (sekonder peritonit) medikal tedaviye 48 - 72 saat içinde klinik yanıt alınmaz veya klinik durum bozulursa, komplikasyon gelişirse, ataklar tekrarlarsa cerrahi