KARIN ARISI Dr Neslihan Glin Yenidoan dneminden adlesan
































































































- Slides: 96
KARIN AĞRISI Dr. Neslihan Gülçin
Yenidoğan döneminden, adölesan dönemin sonuna kadar olan zaman sürecinde karın ağrısı, karın içi veya başka sistemleri ilgilendiren, çeşitli hastalıkların seyri sırasında sıklıkla karşılan bir semptomdur.
Akut karın ise, daha çok intraperitoneal ancak zaman da ekstraperitoneal bölgedeki inflamatuvar ve cerrahi tedavi gerektiren hastalıkların ortak klinik semptom ve bulgularnı tanımlayan bir terimdir.
Morbidite ve mortalite oranını arttıran en önemli faktörler arasında geç tanı konulması ve hastalığın türü (malignensi, aort anevrizması gibi) yer almaktadır.
İki yaş altında da cocuklar ağrıları lokalize edemezler; ağlama, huzursuzluk ve diğer özgün olmayan belirti ve bulgular ile karşımıza cıkabilir. Daha büyük çocuklar şikayetlerini sözle ifade edebilirler ve ağrıyı gösterebilirler. Bu yaş grubunda ağrıların çoğu geçicidir.
Karın ağrısı ile gelen hastaların yaşı ne olursa olsun, üçte birinin tanısı tam olarak konulamamaktadır. Bu nedenle hastaların değerlendirilmesi sırasında öykü ve fizik muayene çok önemlidir.
< 2 yaş İntestinal anomaliler (genellikle <1 ay) İnvajinasyon Travma (hırpalanmış çocuk? ) Ağır gastroenterit Boğulmuş fıtık Hirschprung’s hastalığı Volvulus Tümörler (Wilms’…) Apandisit Miyokardit, perikardit Doğuştan metabolik hastalığa sekonder metabolik asidoz İlaçlar, toksinler, sepsis Hemolitik üremik sendrom
2 -5 yaş Travma İnvajinasyon Apandisit Boğulmuş fıtık Meckel divertikülü Geçirilmiş cerrahiye bağlı obstrüksiyon Peritonit İlaçlar, toksinler Hemolitik üremik sendrom Diabetik ketoasidoz Sepsis Miyokardit, perikardit
5 -12 yaş Travma Apandisit İnflamatuar barsak hastalığı ve megakolon Peptik ülser ve perforasyon Peritonit (primer ya da sekonder) Aort anevrizması Akut fulminanhepatit İlaçlar, toksinler Sepsis Diabetik ketoasidoz Kollajen vasküler hastalık
>12 yaş Travma Ektopik gebelik Apandisit İntraabdominal abse (PID, kolesistit, apandisit, inflamatuar barsak hastalığı) Peptik ülser ve kanama ya da perforasyon Pankreatit İnflamatuar barsak hastalığı ve megakolon Aort anevrizması Akut fulminan hepatit Kollajen vasküler hastalık Diabetes mellitus (infeksiyon ya da ketoasidoz) İlaçlar, toksinler
KARIN AĞRISI 1. Cerrahi müdahalenin mutlaka gerekli olduğu hastalıklar 2. Akut karın tablosu oluşturan ancak acil ameliyat gerektirmeyen karın içi patolojiler 3. Akut karın tablosu yaratan medikal patolojiler 4. Akut karın tablosu oluşturan karın dışı cerrahi hastalıklar
CERRAHI MÜDAHALENİN GEREKLİ OLDUĞU KARIN İÇİ PATOLOJİLER 1. 2. 3. 4. 5. 6. 7. 8. 9. Akut apandisit Meckel divertiküliti Mekanik intestinal tıkanıklıklar Peptik ülser perforasyonları Lümenli organ perforasyonları Pediküllü organ torsiyonları Karın içi abseler Perfore ya da süpüre kistler Solid organ ya da tümör perforasyonları
AKUT KARIN TABLOSU OLUŞTURAN ANCAK ACİL AMELİYAT GEREKTİRMEYEN KARIN İÇİ PATOLOJİLER 1. 2. 3. 4. Akut gastrit Akut pankreatit Primer peritonit Safra kesesi patolojileri
AKUT KARIN TABLOSU OLUŞTURAN KARIN DIŞI PATOLOJİLER 1. 2. 3. 4. Testis torsiyonu Retroperitoneal iltihabi olaylar Pelvik iltihabi olaylar Akut perikardit, mediastinit
AĞRININ FİZYOPATOLOJİSİ Doku harabiyeti. Mediatörlerin salınımı (seratonin, histamin ve bradikinin sinir uçlarını uyarır ve prostoglandinler salınır. . ) Nosiseptörler (ağrı tonik reseptörleri uyarır)
AĞRININ FİZYOPATOLOJİSİ Karın organlarında kesilme, ezilme, yırtılma ile ağrı oluşmazken, gerilme ve çekilmeye duyarlıdırlar.
AĞRININ FİZYOPATOLOJİSİ Karın ağrıları; visseral, parietal ve yansıyan ağrı
AĞRININ FİZYOPATOLOJİSİ Visseral ağrı : Derin ağrıdır, Lokalize edilemez, Bulantı terleme ve kan basıncında düşme ile sıklıkla beraberdir.
AĞRININ FİZYOPATOLOJİSİ Parietal (somatik) ağrı: Ağrı parietal peritondan kaynaklanır. Çevresel sinirlerle santral sinir sistemine ulaştırılır ve sonlanım KORTEKS’tedir. O nedenle iyi lokalize edilir.
AĞRININ FİZYOPATOLOJİSİ Yansıyan ağrı: Ağrının patolojik olayın geliştiği organ ve bölgeden başka bir yerde hissedilmesidir. Hafif-orta şiddette pariyetovisseral ağrı niteliğindedir. Ağrı taşındığı serebrospinal sinirin vücudu innerve ettiği dermatom üzerinde hissedilir. Defans görülebilir.
FİZİK MUAYENE İnspeksiyon: Karın düz mü? Çökük mü? Yoksa distandü mü? Peristaltizm görülebiliyor mu? Travma izi var mı? Renk değişikliği var mı? Damar genişlemeleri var mı? Yüksek yerleşimli testis ya da boğulmuş fıtık var mı? İnsizyon skarı var mı?
Oskültasyon: Tüm karın kadranları steteskop ile dinlenir. Hipoaktif barsak sesleri peritonit lehine değerlendirilir. Beş dakika boyunca barsak sesi duyulmazsa ileus düşünülmelidir. Barsak seslerinin artması gastroenteriti, Çok tiz ve mekanik olan sesler obstruksiyonu düşündürür.
Palpasyon: Önce çocuğa neresinin ağrıdığı sorulur ve muayeneye ağrının olmadığı yerden başlanacağı söylenir. Eğer mümkünse çocuğun dikkatinin dağıtılması amacıyla karmaşık sorularak muayeneye başlanır.
Muayenede en değerli olan aşamadır!!!! Muayene sırasında eller soğuk olmamalıdır. İşlem sırasında çocuğun yüz görünümü gözlenmeli ve ona göre muayene yönlendirilmelidir. Tüm karın en ince ayrıntıları ile sistematik olarak palpe edilmelidir.
Eğer palpasyonda defans varsa perforasyon düşünülmelidir. Defans ve rebound cerrahi bir patolojinin, yani akut karının göstergesidir. Derin nefes ve ağlama periyotları arasında yapılan palpasyonla tümöral kitleler tespit edilebilir. Çocuğun öksürtülmesi, pelvisinin hafifçe sallanması, topuklarının ayakta iken kaldırılıp yere vurulması sırasında rebound hakkında bilgi sahibi olunabilir.
Perküsyon: Organ büyüklükleri de bu yöntemle tespit edilebilir. Timpanizm içi boş organ perforasyonları ve intestinal obstruksiyonda görülebilir.
KARIN AĞRISI İLE GELEN HASTALARIN DEĞERLENDİRİLMESİ Karın içi hacimleri yetişkinlere nazaran daha küçük Normalde pelvis içinde yer alması gereken mesane, uterus, over gibi organlar karın içinde Karın kadranları arası mesafe dar.
KARIN AĞRISI İLE GELEN HASTALARIN DEĞERLENDİRİLMESİ Hastanın yaşı, Ağrının lokalizasyonu, Başlama şekli, Karakteri, Süresi, Artırıp azaltan faktörler
KARIN AĞRISI İLE GELEN HASTALARIN DEĞERLENDİRİLMESİ Bulantı ve kusmanın varlığı, Safralı olup olmadığı, Hastanın iştah durumu, Barsak hareketlerinde değişiklikler, mukuslu veya kanlı gaita çıkışı,
KARIN AĞRISI İLE GELEN HASTALARIN DEĞERLENDİRİLMESİ İdrarla ilgili şikayetler, Kronik bir hastalığını olup olmadığı, immün yetmezlik, travma öyküsü, geçirilmiş hastalıklar ( özellikle boğaz ağrısı, soğuk algınlıkları, öksürük, geçirilmiş ameliyat, vs. ) Büyük kız çocuklarında menstrüel öykü
KARIN AĞRISI İLE GELEN HASTALARIN DEĞERLENDİRİLMESİ Ağrının şekli : Ani başlayan ağrılar; over, testis gibi organlarla, kistik yapı torsiyonlarını; mide, barsak gibi içi boş organ perforasyonu, volvulus veya invaginasyonu Yavaş başlayıp artış gösteren karın ağrıları ise akut apandisit, divertikülit, kolesistit, pankreatit
KARIN AĞRISI İLE GELEN HASTALARIN DEĞERLENDİRİLMESİ Aralıklı zamanlarda ortaya çıkan ve bir süre sonra kendiliğinden kaybolan ağrılarda ise; paraziter enfestasyonları, kabızlık, üriner enfeksiyon, orak hücreli anemi, FMF, akut intermitan porfiria, kistik fibrozis ve inflamatuar barsak hastalıkları
KARIN AĞRISI İLE GELEN HASTALARIN DEĞERLENDİRİLMESİ İlk 24 saat içinde hastaneye başvurulmasını gerektirecek boyutta şiddetli karın ağrılarının altında muhtemel cerrahi bir patoloji aramak gerekir.
KARIN AĞRISI İLE GELEN HASTALARIN DEĞERLENDİRİLMESİ Ağrının yeri; Mide, duodenum, proksimal ince barsak , safra yolları veya pankreasla ilgili hastalıklarda ağrı epigastrik bölgede, apandisitin başlangıç dönemiyle distal ince barsak çekum ve proksimal kolonla ilgili hastalıklarda ise göbek çevresinde. Distal kolon, üriner traktus ve pelvik organlarla ilgili ağrılar genellikle suprapubik ve göbek altorta bölgesinde
KARIN AĞRISI İLE GELEN HASTALARIN DEĞERLENDİRİLMESİ Safra kesesi ve safra yolları ile ilgili hastalıklarda sırta ve sağ skapulaya; diafragma irritasyonlarında omuza; Üreter veya gonadal patolojilerde kasık ve uyluğun iç kısmına; Pankreas, retroperitoneum ve sakrumla ilgili patolojilerde ise sırta
KARIN AĞRISI İLE GELEN HASTALARIN DEĞERLENDİRİLMESİ Ağrının şiddeti; İçi boş organ perforasyonlarında, üriner taş, barsak gazı yada ileusa bağlı koliklerde, bilier peritonitlerde ağrı çok şiddetlidir.
KARIN AĞRISI İLE GELEN HASTALARIN DEĞERLENDİRİLMESİ Eşlik eden semptom ve bulgular, Deri döküntüleri; Henoch- Schönlein purpurası Hematürinin varlığı; üriner sistem taşlarını ve hemolitik üremik sendromu; Öksürüğünün olması, üst solunum yolu infeksiyonuna sekonder mezenter lenfadeniti veya sağ alt lob pnömonisi
KARIN AĞRISI İLE GELEN HASTALARIN DEĞERLENDİRİLMESİ KUSMA Ağrı ile aynı anda başlayan kusma, üriner sistem koliklerini, invajinasyonu ve gastroenteritleri
KARIN AĞRISI İLE GELEN HASTALARIN DEĞERLENDİRİLMESİ Ağrıdan bir süre sonra olan kusmada ise intestinal obstrüksiyon ve akut apandisit, Ağrı ile birlikte kusma, gaz- gaita çıkaramama durumunda ise ileus, Adet gören bir kız çocuğunda karın ağrısının olması; mittelschmerzi, over kisti torsiyonu yada rüptürünü ,
AKUT APANDİSİT Anatomik açıdan 1492 de Leonardo da Vinci 1521 de Berengario Da Carpi tarafından tanımlanmış Mc Burney apandiks vermiformisin nasıl inflame olduğu, etyolojisi ve belirti ve bulgularını ortaya koymuştur.
AKUT APANDİSİT Karın içi yapılan en sık cerrahi operasyon appendektomidir. İnsanlarda yaşam boyu apandisit olma riski %7 dir. Erkeklerde %8. 6, kızlarda % 6. 7 dir. Yaklaşık her 15 kişiden biri yaşamının bir döneminde apandisit olmaktadır.
AKUT APANDİSİT Akut apandisit en sıklıkla erişkinde 20 -30 yaş grubunda görülmektedir. 60 yaşından büyüklerde görülme oranı %5 -10 dur. Çocuklarda en sık görülen yaş grubu 6 -10 yaşlardır ve 2 yaşından küçük çocuklarda görülme oranı %2 dir.
Püberteye kadar erkek/kadın oranı 1/1, 15 -25 yaş grubunda 2/1, 25 yaşından sonra 1/1 dir.
AKUT APANDİSİT Beslenmenin tahıl ve posalı gıdalara dayandığı üçüncü dünya ülkelerinde daha az rastlanır. Ailevi olma özelliği vardır. (%60)
AKUT APANDİSİT Apandiksin çapı 6 mm veya daha incedir. Apandiks ileokolik arterin bir dalıyla kanlanır. Mukozasının altında 200 civarinda lenf folikülü vardır. Çocuklarda apandiksin boyu daha uzun , lümen çapı daha dar, duvar kalınlığı daha incedir. Bu nedenlerle inflame apandiks çocuklarda yetişkinlere nazaran daha kısa sürede perfore olur.
AKUT APANDİSİT Bebek ve küçük çocuklarda apandiks konik bir yapıda olduğundan, lümeni ancak fekalit adı verilen sertleşmiş bir dışkı ile tıkanır. Apandisitin bebek ve küçük çocuklarda nadir görülmesinin nedeni budur.
PATOFİZYOLOJİ Apandiks lümeninin herhangi bir nedenle tıkanması , bu organın inflame olmasında tetiği çeken ilk olaydır.
PATOFİZYOLOJİ Çocuklarda apandiks lümeni daha çok sistemik enfeksiyonlar sırasında oluşan lenfoid hiperplazi nedeni ile tıkanır. Lenfoid hiperplazinin nedeni salmonella, şigella, yersinia enteritleri, kızamık, su çiçeği, sitomegalovirüs
PATOFİZYOLOJİ İkinci sıklıkta fekalittir. Parazitler Yabancı cisimler (iğne, kiraz çekirdeği, v. b), Karsinoid tümörler Kistik fibrozis
PATOFİZYOLOJİ Apandiks lümeninin tıkanması sonucunda, lümen içinde mukoza hücreleri tarafından salgılanan müküsün birikir. Birkaç saat içinde, intralüminal basıncın apandiks duvarındaki kan dolaşımını bozacak kadar artmasına neden olur. Staz lümende bakterilerin prolifere olmasını destekler.
PATOFİZYOLOJİ Apandiksteki inflamasyon Apandiks duvarındaki iskemi nekroz perforasyon Apandiks inflamasyonu her zaman perforasyonla ve generalize peritonitle sonuçlanmayabilir.
PATOFİZYOLOJİ Lümenin tıkanması kolik karakterli olabilen ağrı visseral künt ağrı Hastalığın başlangıcı göbek çevresinde hissedilir. Bu sırada refleks bulantı kusma olur.
PATOFİZYOLOJİ Apandiks bölgesindeki paryetal peritonun inflamasyona katılması, daha önce göbek çevresinde hissedilen ve tam olarak tanımlanamayan ağrının karnın sağ alt kadrana lokalize olmasına neden olur.
PATOFİZYOLOJİ Bu ağrı T 11 -L 1 afferent sinirleriyle taşındığından bu sinirlerin innerve ettiği adale grubunda spazm ve lokalize bir adale defansı ortaya çıkar.
PATOFİZYOLOJİ Apandiksin retroçekal, subseröz veya intrapelvik yerleşiminde, paryetal periton irritasyonu minimal olduğundan, bu hastalarda fizik muayene bulguları atipiktir.
PATOFİZYOLOJİ İdrar şikayetlerinin olması, veya idrar tetkikinde eritosit ve lökosit görülmesi perivezikal yerleşimli bir apandiksi, Hastanın tenezm hissinin veya ishalinin olması, veya rektal tuşede dolgunluk ve hassasiyetinin varlığı ise intrapelvik yerleşimli bir apandiksi,
KLİNİK Apandiksin tanısı, hikaye ve klinik bulgulara dayanır. Karın ağrısı İştahsızlık % 60 Bulantı kusma %80.
KLİNİK Akut apandisitli çocuğun yüz ifadesi sıkıntılıdır.
KLİNİK Sağ üreter, mesane ve testiküler damarların peritoneal inflamasyon sahası içine girdiği durumlarda dizüri, pollakiüri, ve testiküler ağrıdan yakınabilir.
KLİNİK Perforasyonun hemen ardından intralüminal basıncın azalması nedeniyle çocuk geçici bir süre rahatlayabilir. O zamana kadar yüksek olmayan ateş kısa sürede yükselebilir.
KLİNİK Perforasyon , omentum ve ileum segmentleri tarafından sınırlandığı takdirde; periapendiküler apse, veya plastron, Generalize peritonit
KLİNİK Muayeneye sol alt kadrandan başlanmalıdır. Akut apandisitin tipik bulgusu Mc Burney noktasının hassas olmasıdır. Defans Direkt ve indirekt reboundun pozitif olması
KLİNİK Psoas testi Opturator Testi Rovsing işareti
Rovsing belirtisi: Sol kolon gazları proksimale sıvazlandığında sağ tarafa ağrı yayılmasıdır. Obturator testi: 9 O derece fleksiyondaki uyluğun dışa rotasyonunun ağrılı olması iç obturator kasın uyarılması anlamında olup daha çok pelvik apandisit veya sigmoid patolojilerinde görülür.
Psoas testi: Sağ alt kadranın derin palpasyonu sırasında uyluğun fleksiyona getirilmesi ağrı uyandırıyor veya ağrıyı artırıyorsa psoas kasının iltihabi bir olayı (retroçekal apandisit) düşünülmelidir.
KLİNİK Barsak seslerinin başlangıç safhasındaki apandisitlerde tanısal önemi yoktur.
KLİNİK Karın muayenesi rektal tuşe ile tamamlanır.
KLİNİK Karın muayenesi yanında tam bir fizik muayene de yapılmalıdır.
LABORATUVAR Lökositoz (11000 -15000/ mm 3) CRP ve Sedimentasyon hızı TİT
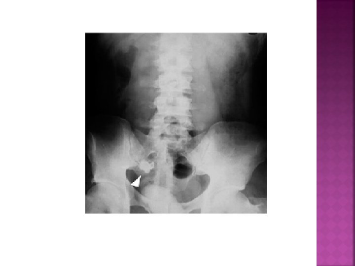
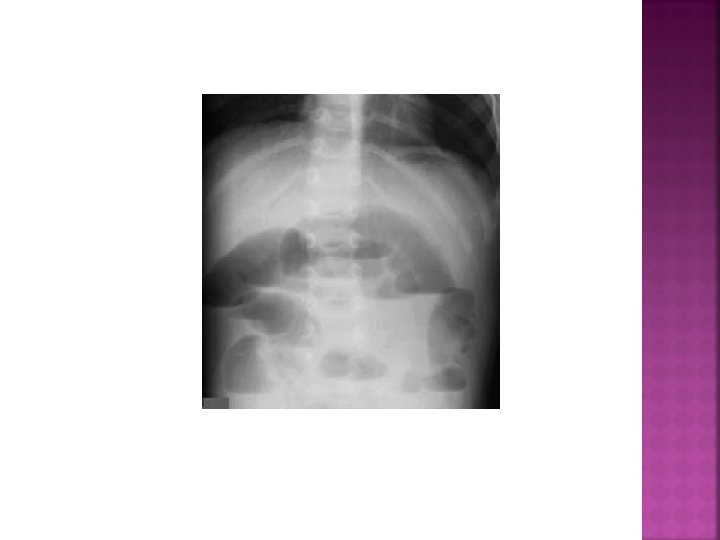
LABORATUVAR Direkt grafi (Fekalit, sağ alt kadranda hava sıvı seviyesi, Psoas gölgesi silinebilir, skolyoz)
LABORATUVAR Ultrasonografi %80 -95 sensitif Bilgisayarlı tomografi Tanısal laparoskopi
LABORATUVAR Akut karın şüphesi: GÖZLEM!!!!
LABORATUVAR Laboratuvar çalışmaları akut apandisit tanısını destekleyebilir ama asla ekarte ettirmez.
AKUT APANDİSİT
AKUT APANDİSİT
AKUT APANDİSİT
TEDAVİ CERRAHİ Açık cerrahi Laparoskopik cerrahi Mc Burney insizyonu Rocy – Davis kesisi
AYIRICI TANI
AYIRICI TANI
AYIRICI TANI
AYIRICI TANI
AYIRICI TANI
AYIRICI TANI
AYIRICI TANI
TEŞEKKÜRLER…