Karcinosarkom dlonho hrdla MUDr Martin Michal GPO Nemocnice






















- Slides: 22
Karcinosarkom děložního hrdla MUDr. Martin Michal GPO, Nemocnice České Budějovice
KARCINOSARKOM – maligní smíšený Mülleriánský tumor bifázický tumor – maligní epitelovou a mezenchymální komponenta podle typu mezenchymální komponenty: -homologní – leiomyosarkom, LG ESS, nedif. sarkom -heterologní – chondrosarkom, rhabdomyosarkom. . (horší prognosa)
INCIDENCE < 0, 8 / 100 000 žen PRIMÁRNÍ VÝSKYT V DĚLOŽNÍM HRDLE 35 popsaných případů Abidi A. 1, Menn K, Sherman A, Konia T, Azodi M. Cervical carcinosarcoma: a case report. J. Reprod. Med. 2008 Feb; 53(2): 138 -40.
BIOLOGICKÉ CHOVÁNÍ A STAGING považován za metaplastickou, agresivnější formu high grade karcinomu endometria staging platný pro karcinom endometria RF- iradiace pánve, nulliparita, obezita šíření – lymfogenně i hematogenně
PROGNOSTICKÉ FAKTORY stadium onemocnění postižení lymfatických uzlin histologický typ – heterologní varianta a grading lymfangio, angioinvaze – vyšší pravděpodobnost metastázování
PŘEŽITÍ 5 LET Karcinosarkom Stadium I – II Karcinom endometria Typ I 85% Typ II 58% 27 -76% Macasaet MA, Vaxman M, Fruchter RG, et al: Prognostic factors in malignant mesodermal mixed tumors of the uterus. Gynecol Oncol 1985; 20: 32 -42 Cibula D, Petruželka L a kol. Onkogynekologie. Praha: Grada Publishing a. s; 2009: 465 -466
66 let odeslána OG k abtorzi myoma nascens a PC Vyšetření v CA: tuhé objemné hrdlo, semifixované, vyplněné tumorosními hmotami, kontaktně krvácející, děloha v AVF myomatozní, parametria p. r. bez susp. infiltrace Vzhledem k nálezu provedena pouze biopsie nádoru děložního hrdla
HISTOLOGIE: Materiál o objemu 4 ml, mikroskopicky tvořen karcinosarkomem, kdy karcinomová složka charakter méně diferencovaného endometroidního adenokarcinomu (M-8980/32). , sarkomová složka je tvořena chondrosarkomem
STAGINGOVÁ VYŠETŘENÍ
CT hrudník + břicho + pánev expandovaná děloha, bez známek generalizace onemocnění, bez lymfadenopathie Onkogynekologický UZ hrdlo CC 31 mm, AP 40 mm, LL 45 mm, vyplněno hypoechogenním nehomogenním útvarem AP 33 mm, CC 31 mm, zasahuje těsně k vesicouterinní plice, susp. infiltrace postranních parametrií vpravo. Ve fundu děl. více vpravo intramurální myom 27 mm, další intramurální myom v PS 48 mm, na PS submukosní myom 14 mm
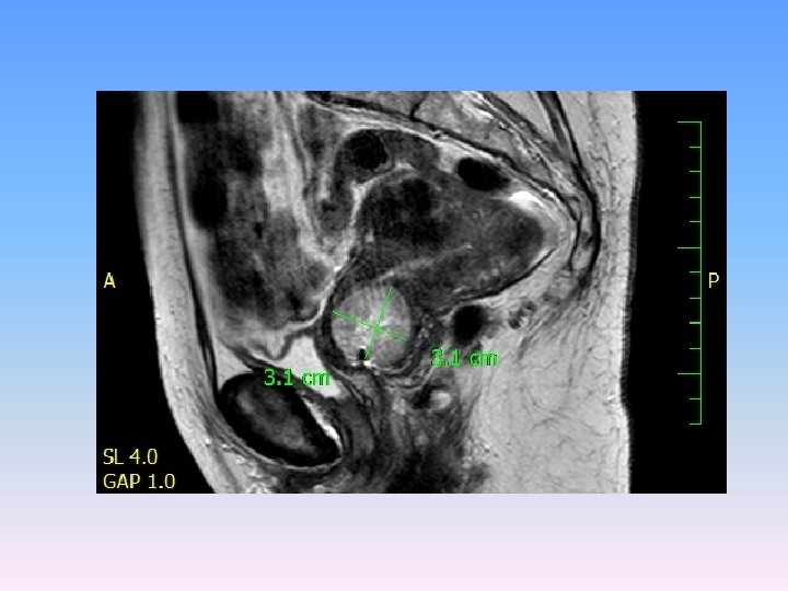
MRI V oblasti cervixu expanzivní útvar 3 cm v průměru s odlišným signálem oproti okolní děloze a vlastním myomům, expanze má vyšší obsah vody. Zaujímá celý vnitřní prostor cervixu, podél expanze zůstává tenký lem tkáně šíře 3 mm. Nikde nepřechází expanze z cervixu na okolní struktury.
radikální HY typ C 1 cum AE bilat. + PLN + PALN + OME infracolica + APPE + lavage
Děložní tělo, parametria a poševní manžeta bez nádorové infiltrace Téměř celé děložní hrdlo infiltrované strukturami Karcinosarkomu (M 8990/32), kdy přibližně z poloviny je novotvar tvořen strukturami sarkomovými, z poloviny strukturami méně diferencovaného endometroidního adenokarcinomu. Intaktní tkáň na povrchu cervixu šíře 3 mm. Invaze do krevních ani lymfatických cév nezastižena. Omentum, appendix, pánevní a paraaortální lymfatické uzliny (36) bez maligní infiltrace
ADJUVANTNÍ TERAPIE RT tele + brachy - X záření energie 18 MV BOX technikou na oblast lůžka po HYE + spádových uzlin d. l. d. 1, 8 Gy do min. d. 45 Gy - vag aplikace BRT Chemoterapie karboplatina 5 -6 AUC + paklitaxel 175 mg/m² v plánu 6 serií a 21 dní 1. serie podána 25. 2. 2016
TERAPEUTICKÁ ROZVAHA
LOKALIZACE NÁDORU A STAGING C 53 T 1 b 1 C 54 T 2 - Zobrazovací vyšetření - Častější výskyt Nádor lokalizován v cervixu, tělo děložní bez jednoznačného postižení - Epitelová komponenta Endometroidní adenokarcinom
KARCINOM DĚLOŽNÍHO HRDLA T 1 b 1 guidelines ČR 2013 pro C 53 radikální hysterectomie typ C 1 + SLNM / C 2
KARCINOM ENDOMETRIA T 2 guidelines ČR 2013 kontroverzní, není paušálně doporučena guidelines ESGO-ESMO-ESTRO pro karcinom endometria 2015 stadium II – provedení radikální hysterectomie není doporučeno, není li to nutné pro dosažení volných okrajů preparátu radical surgery in stage II endometrial cancer did not result in any survival benefit compared with simple hysterectomy but was associated with more peri-operative and late adverse. Takano M, Ochi H, Takei Y, et al. Surgery for endometrial cancers with suspected cervical involvement: Is radical hysterectomy needed (a GOTIC study)? Br J Cancer. 2013; 109: 1760 Y 1765.
DOSTUPNÝ CASE REPORT velikost 2, 7 x 2, 5 mm ( T 1 b 1) RH III dle Pivera ( C 2 ) , AE bill. , OME, PLN, PALN adjuvantní chemoradioterapie Abidi A. 1, Menn K, Sherman A, Konia T, Azodi M. Cervical carcinosarcoma: a case report. J. Reprod. Med. 2008 Feb; 53(2): 138 -40. Bridgeport hospital, University of California, USA