KAFA TRAVMASI Dr Fatma zlen Epidemiyoloji 200 100

































































- Slides: 65
KAFA TRAVMASI Dr. Fatma Özlen
Epidemiyoloji • 200 / 100. 000/ yıl ABD’de • Yılda 500. 000 olgu (? ) • Minör (hafif şiddette) Kafa Travması (KT) tam olarak bildirilmiyor • 1. 9 milyon olgu / yıl • 15 -24 yaş erkek • > 65 yaş
Epidemiyoloji • Mortalite 14 -30/100. 000 kişi / yıl • • • Son 30 yılda mortalitede belirgin azalma BT yaygın-efektif kullanımı Nöroşirürjiyen sayısındaki artma Periferde erken müdahele şansı Yoğun bakımların özelleşmesi Algoritmlere uygun tedavi
Epidemiyoloji Türkiye’de • • Pediatrik Travma Okulların kapanması Yaz ayları Önlem eksikliği
Sınıflandırma • Mekanizmaya göre: Künt: -Yüksek ivmeli (trafik kazası) -Düşük ivmeli (düşme, bayılma) Penetran: -Ateşli silah yaralanması -Diğer penetran yaralanmalar
Sınıflandırma • Şiddetine göre: Hafif KT Orta KT Ağır KT GCS : 15 - 14 GCS: 9 -13 GCS < 8
Stein Sınıflandırması (1995) • Minimal…GCS 15 + amnezi ve şuur kaybı yok • Hafif. . GCS 14 veya GCS 15 + kısa süreli (< 5 dak. ) şuur kaybı veya amnezi • Orta…. GCS 9 -13 veya > 5 dak. Şuur kaybı veya fokal nörolojik defisit • Ağır……GCS 5 -8 • Kritik. . . GCS 3 -4
Hafif Şiddette Kafa Travması Hafif şiddete kafa travması BASİT kafa travması anlamına gelmez.
Hafif Şiddette Kafa Travması • Geçici şuur kaybı olabilir ( < 5 dak. ) • • Retrograd veya anterograd amnezi Travmadan hemen sonra oluşmuş olan somnolans, konfüzyon veya dezorientasyon Başlangıç GCS 14 veya 15 Fokal nörolojik defisit olmaması Posttravmatik amnezi 24 saatten uzun olmamalı. • • •
Hafif Şiddette Kafa Travması • Kranial BT endikasyonu • GCS 14 olan her olguya • GCS 15 ve geçici şuur kaybı, amnezi, fraktür olan olgular • BT’de Kontüzyon, hematoma veya fraktür olan olgular yüksek riskli hafif KT grubu • İyi klinik takip ve tedavi ile mortalite < %1
Hastane gözlemi veya yatışı • • • BT çekileme imkanın olmaması Anormal BT bulgusu Bilincini yitirme hikayesi Bozulan bilinç durumu Orta /ağır başağrısı Belirgin alkolik/ ilaç intoksikasyonu Kranial fraktür Likör fistülü Eşlik eden ciddi yaralanmalar Evde gözleyebilecek kimsenin olmaması Amnezi
Hafif Şiddette Kafa Travması • Eve gönderirken bilgilendirme ve basılı form verebilme • Evde muhakkak güvenilecek birinin olması • Hastayı hastaya emanet etmeme • Bir hafta sonra kontrole çağır • MRG ile ortaya konabilen aksonal hasar belirlenmiş: Kognitif sekeller
Orta Şiddette Kafa Travması • GCS……. 9 -13 veya > 5 dak şuur kaybı • Tüm hastalara kranial BT çekilmeli • Gözlem için hastaneye yatırılmalı • Şuurları kapalı olamayıp genellikle konfüzedir ve basit emirlere uyarlar • % 40 olguda fraktür veya intrakranial lezyon (+)
Orta Şiddette Kafa Travması • % 8 olguda nöroşirürjikal girişim gerekir • % 10 - 20 olguda klinik tablo kötüleşir • Dikkatli bir şekilde klinik takip ve kontrol BT • Kognitif sekel ve post-travmatik epilepsi • Mortalite < % 5
Ağır Şiddette Kafa Travması • GCS < 8 olan tüm olgular • GCS 5 -8 olan grupta prognoz daha iyi • Mortalite % 20 - 30 • Ağır Kafa Travması tedavisi olay yerinde başlar
Ağır Kafa Travması • Acil servise başvuru sırasında – % 30 olguda hipoksi ( PO 2 < 65 mm. Hg) – % 13 hipotansiyon ( sistolik KB < 95 mm. Hg) – % 12 anemi ( Htc < % 30)
Ağır Kafa Travması Hipotansiyon (+) Mortalite % 60 Hipotansiyon (-) Mortalite % 27
Ağır Kafa Travması Hipotansiyon ve Hipoksi Mortalite % 75
Olay Yerinde Yaklaşım • İlk değerlendirme: ABC (D) – Hava yolu – Solunum – Dolaşım – GCS – Pupiller ve IR
Olay Yerinde Yaklaşım Acil Entübasyon: GCS < 8 Maksillofasyal travma ve üst solunum yolu obstrüksiyonu olan olgular Yeterli sedasyon ve analjezi (Komada bile olsa kafa içi basıncı artabilir) Kan gazı belirlenene kadar % 100 O 2 ile ventile edilmeli Pa. CO 2 yaklaşık 35 mm. Hg olmalı
Olay Yerinde Yaklaşım İzotonik sıvı replasmanı ile hedef: Sistolik kan basıncı Ortalama kan basıncı > 90 mm. Hg > 70 mm. Hg Hipotansiyon kaybı dışında medulla spinalis yaralanması, kardiyak tamponad, tansiyon pnömotoraks nedeni ile de olabilir
Multitravma hastalarında sık rastlanan kaybı bölgeleri Açık 1. Skalp laserasyonları 2. Maksillofasiyal yaralanmalar 3. Açık fraktürler 4. Diğer yumuşak doku yaralanmaları Kapalı: 1. İntraperitoneal veya retroperitoneal 2. Hemotoraks 3. Pelvik hematom 4. Uzun kemik fraktürlerinin olduğu yerlerde ekstremite kanaması 5. Küçük çocuklarda subgaleal veya ekstradural hematom 6. Travmatik aort yırtığı
Olay Yerinde Yaklaşım • Aksi ispatlanamdığı sürece ağır kafa travmalı tüm olguların spinal travması olduğu kabul edilir • Spinal immolizasyon
Olay Yerinde Yaklaşım • Transport sırasında kafaiçi basınç artışı bulgusu varsa (tek taraflı pupillanın dilatasyonu) • Hiperventilasyon …Pa. CO 2 30 -35 mm. Hg • Normovolemik ve normotansif ise – % 20 Mannitol 0. 25 - 1 g/kg
Hiperventilasyon Serebral vazokostrüksiyon Serebral kan akımının azalması İatrojenik iskemik hasar
• Primer Beyin Hasarı: Hiperakut (Travma sırasında) İrreversibl Mekanik hücre hasarı • Sekonder Beyin Hasarı: Saatler veya günler sonra Reversibl olabilir
Sekonder Beyin Hasarının sistemik nedenleri: - Hipoksi, hiperkarbi - Hipotansiyon - Elektrolit dengesizliği - Anemi - Hipertermi - Hiperkalsemi, hipermagnesemi - Hipoglisemi, hiperglisemi
Sekonder Beyin Hasarı • Sekonder beyin hasarının intrakranial nedenleri: - KİBAS - Geç intraserebral hematom - Beyin ödemi - Hiperemi - Epileptik nöbet - Vazospazm
Acil Servis • Multitravma değerlendirmesi • Yaşamsal önceliği olan travmanın belirlenmesi • Hızlı ve doğru karar verme • Travma ekibinin yönlendirilmesi ve görev paylaşımı • Transport sırasında eksik kalmış olan işlemlerin tamamlanması
Acil Servis • • Intravenöz, santral venöz, arteriyel kateter Rutin Lab. + Kan Grubu + Arter kan gazı İdrar sondası Diagnostik peritoneal lavaj, Ultrason Toraks, lateral servikal ve pelvik grafiler Gerekli görülen BT’ler Hemorajik şok tablosunda ACİL OPERASYON
Acil Servis • Anamnez –Transportu yapan ekip – Kazayı-olayı görenler – Olay yerinde müdahale edenler – Hasta yakınları
Acil Servis • Anamnez – Geçirmiş olduğu veya geçirmekte olduğu hastalıklar ve kullandığı ilaçlar – Antikoagülan kullanımı , kanama diyatezi, – Uzun süreli steroid kullanımı …. . – Travma öncesi şuur kaybı olup olmadığı: • Subaraknoid kanama • Epilepsi • Senkop…
Acil Servis • Pediatrik olgularda anamnez daha da önemli • Travma sonrası çocuğun ağlayıp ağlamadığı • Anneden alınacak bilgiler • Çocuk Koma Skalası: Çevre ilgilenmesi, obje takibi, ağlaması, inlemesi, huzursuzluğu
Nöroşirürjinin Değerlendirmesi • Saçlı deri inspeksiyonu • Tedavi edilmemiş veya fark edilmemiş skalp kesileri hemorajik şoka neden olabilir • Pediatrik grupta skalp hematomları hipovolemi nedeni olabilir • Kesinin palpasyonu …. Fraktür, BOS, glial doku • Penetran travmalar…yabancı cisimler
Nöroşirürjinin Değerlendirmesi • Kafa tabanı kırığı indirekt bulgusu – Bilateral periorbital ekimoz (rakun gözleri) – Postauriküler ekimoz (battle bulgusu) – Otore, rinore, otoraji, rinoraji – Hemotimpanium – Fasyal asimetri – Hipoakuzi
Nöroşirürjinin Değerlendirmesi • Anterior fossada kafa tabanı fraktürü olan olgularda nazogastrik sonda takılmamalı • Mandibula ve Le Fort kırıkları entübasyon öncesi değerlendirilmeli • Periorbital hematom-ödem olan olgularda erken nöro-oftalmolojik muayene
Nöroşirürjinin Değerlendirmesi • Servikal bölge oskültasyonu - Üfürüm (+)……. Karotis disseksiyonu • Göz Oskültasyonu - Üfürüm (+)…… Karotiko-kavernöz fistül Masif ve tekrarlayan epistaksis ve kafa tabanı kırığı - Psödoanevrizma
Nöroşirürjinin Değerlendirmesi • Şuuru açık – koopere olabilen hastada tüm nörolojik muayeneyi yapmak gerekir • Omurga üzerine perküsyon…ağrı. . fraktür • Şuuru kapalı hastada spinal immobilizasyon – Kafa travmalarının % 6’sına spinal travma eşlik eder
Glasgow Koma Skalası Göz Açma (E) Spontan Ses ile Ağrı ile Yok En iyi motor cevap (M) Emirlere uyar Ağrıyı lokalize eder Normal fleksiyon Anormal fleksiyon Ekstansiyon Yok Sesli cevap (V) Oriyente Konfüze Uygunsuz, anlamsız kelimeler Anlaşılmaz ses çıkarma Yok GKS: E+M+V (Max: 15 Min: 3) 4 3 2 1 6 5 4 3 2 1
Glasgow Koma Skalası (1974) Olay yerinde değerlendirilmesi Takipte kullanımı Çocuklarda kullanımı (< 4 yaş verbal cevap farklı) • • Kardiyopulmoner resüstitasyon Hemorajik şok Sedatif-hipnotik, kas gevşetici kullanımı Periorbital ödem
Kafa travmalı hastalarda pupilla bulguları Pupil büyüklüğü Işık refleksi Yorum Unilateral dilatasyon Yavaş veya fikse Tentoryal herniasyona bağlı 3. sinir kompresyonu Bilateral dilatasyon Yavaş veya fikse Yetersiz beyin perfüzyonu Bilateral 3. sinir paralizisi Unilateral veya eşit dilatasyon Krosreaktif(Markus Optik sinir hasarı Gunn) Bilateral konstriksiyon Belirlemek olabilir Unilateral konstriksiyon Korunmuş zor İlaçlar(narkotikler) Metabolik ensefalopati Pontin lezyon Sempatik yol hasarı(örn. Karotid kılıf hasarı)
Nöroşirürjinin Değerlendirmesi • Beyin sapı refleksleri mutlaka değerlendirilmeli – Kornea refleksi, – Okülosefalik refleks (servikal travma yoksa) – Okülovestibüler refleks – Bilateral labirent difonksiyonu ve ilaç etkileşimlerinde de alınamayabilir
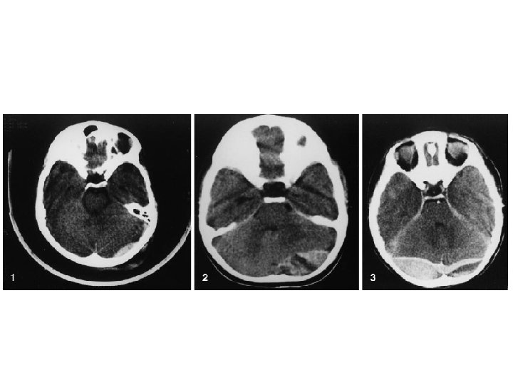
Sınıflandırma Morfolojik yapıya göre Kranial Fraktürler: Konveksite: - Linear/ parçalı - Deprese /nondeprese - Açık/kapalı Kafa tabanı: - Likör fistülü var /yok - Yedinci sinir hasarı var/ yok İntrakranial lezyonlar: Fokal: - Epidural - Subdural - İntraserebral Yaygın: - Konküzyon - Diffüz aksonal hasar
Epidural Hematom: Patogenez • Duranın periosteal tabakasının kafatasının iç tabulasından disseke olması sonucu • Meningeal arter, ven veya venöz sinüsleri çaprazlayan fraktürler • > 60 yaş ve < 2 yaş nadir görülür : Duranın periosteal tabakası sıkı bir şekilde yapışık • Linear, çökme ve diastatik fraktürler • Fraktür olmadan da EDH olabilir
EDH: Lokalizasyon ve Klinik Tablo • Temporal veya Temporoparietal – En sık görülenler – Klasik olarak: A. Meningica Media’nın kesilmesi – Bu bölgede kemik incedir …For. Spinosum – Hızlı unkal herniasyon, progresif şuur etklenmesi, kontralateral hemipleji ve N. Occulomotorius parezisi – Karşı pedinküle bası: ipsilateral hemiparezi (Kernohan bulgusu)
EDH ‘da BT’de bikonveks ( lentiküler ) görünüm
EDH Klinik Tabloları • • Şuuru hep açık Şuuru hep kapalı Başlangıçta şuuru açık daha sonra kapalı Başlangıçta şuuru kapalı ve daha sonra lucid interval • Başlangıçta şuur kapalı ve takiben lucid interval ve tekrar şuuru kapalı • Lucid interval. . . . % 10 -30…. . non-spesifik
EDH : Mortalite • BT sonrası dönemde mortalite ve morbidite belirgin olarak gerilemiştir • Tüm olgularda mortalite – 1940……. . % 50 – 1950 -60…. . % 25 – 1980………% 10 • Tüm Kafa Travmalarının % 2 -6
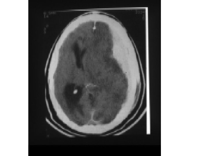
Subdural Hematom (SDH) • • Travma sonrası parenkim laserasyonu Yüzeyel veya asıcı venlerin kopması BT’de konkav görüntü Başvuru sırasında nörolojik tablo EDH’a göre daha kötü • Mortalite çok daha yüksek % 50 -60’lara kadar çıkabilir
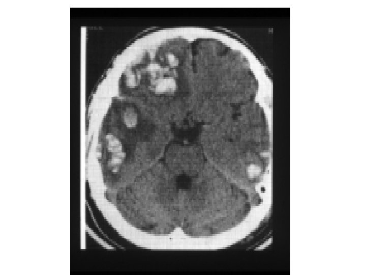
Hızlı büyüyen kontüzyon
Unkal (Transtentorial) Herniasyon • • • İpsilateral Okulomotor sinir paralizisi IR zayıflaması Pupilla dilatasyonu Şuur etkilenmesi Kontralateral hemiparezi İpsilateral hemiparezi (Kernohan bulgusu)
Tonsiller herniasyon • Bilatateral üst ekstremitede dizestezi (Lhermitte bulgusu) • Uyuklama hali • Solunum etkilenmesi • Ani solunum durması ve ölüm
Ağır Kafa Travması Tedavisi • Kranial BT’de cerrahi olarak tedavi edilmesi endikasyonu olan lezyonlarda cerrahi tedavi • Intrakranial basıncın monitörizasyonu • Yoğun bakım ünitesinde takip • Sekonder beyin hasarından korumak
Sekonder Beyin Hasarının sistemik nedenleri: - Hipoksi, hiperkarbi - Hipotansiyon - Elektrolit dengesizliği - Anemi - Hipertermi - Hiperkalsemi, hipermagnesemi - Hipoglisemi, hiperglisemi
Sekonder Beyin Hasarı • Sekonder beyin hasarının intrakranial nedenleri: - KİBAS - Geç intraserebral hematom - Beyin ödemi - Hiperemi - Epileptik nöbet - Vazospazm
SPB = OAB – KİB SPB > 60 - 80 mm. Hg olmalı SPB=Serebral perfüzyon basıncı OAB=Ortalama arter basıncı KİB=Kafaiçi basıncı
Acil cerrahi op. Intraop. değerlendirme ve tedavi OP
Ağır Kafa Travmalı Olgularda Mortaliteye Etkili Faktörler Travmanın Şiddeti ve Çeşidi Hastanın Yaşı GCS Hipotansiyon ve Hipoksi Artmış ICP