IVC Filter Retrieval Emil I Cohen MD Vascular
























- Slides: 24
IVC Filter Retrieval Emil I. Cohen, MD Vascular and Interventional Radiology Medstar Washington Hospital Center
Emil I. Cohen, MD I have no relevant financial relationships
FDA Recommendation Removal of IVC filters as soon as protection from PE is no longer necessary (all caretakers, doctor placing filter has primary responsibility)
IVC Filter Complications ACR/SIR IVC filter appropriateness criteria 2014
IVC filter placed 2009 2010 2011
When Not to Retrieve: • Bedbound • Anticoagulation failure
Recommended Retrieval Period • • Optease Tulip Celect Option 2 weeks >90% success at 12 weeks 24 weeks
Pre-Retrieval Workup • • • Is the problem solved? Duplex study of existing DVT Discussion with PMD Activity level Discussion of risk/benefit CT/MR if necessary ▫ IVC patency ▫ Filter penetration ▫ Filter tilt and adherence
Procedure • Access ▫ Internal jugular (Right>Left) ▫ Femoral (Optease) • IVC venogram ▫ Use injector ▫ 60 m. L syringe; 20 ml Contrast + 40 ml Saline ▫ Carbon Dioxide
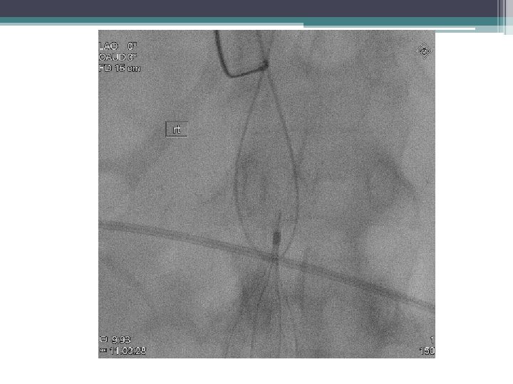
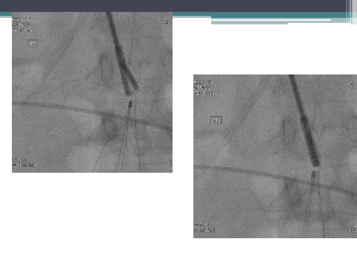
Retrieval Technique Standard • Snare • Large sheath Complex • Filter Specific • Can be adapted to retrieve permanent filters
Embedded • • Pass nitinol wire around apex snare Pass wire Balloon inflate Endobronchial forceps Excimer Laser
Migrate Tilt 11/2012 12/2012
Tilt
Excimer laser-assisted removal 98% success rate in filter retrieval, also reduced force required to retrieve filter (mean implantation time 2 -3 years; range 1 month to 18 years Kuo, W. T. , Odegaard, J. I. , Rosenberg, J. K. & Hofmann, L. V. Excimer Laser–Assisted Removal of Embedded Inferior Vena Cava Filters A Single-Center Prospective Study. Circ Cardiovasc Interv 6, 560– 566 (2013).
Excimer Laser–Assisted Removal Kuo, W. T. , Odegaard, J. I. , Rosenberg, J. K. & Hofmann, L. V. Excimer Laser–Assisted Removal of Embedded Inferior Vena Cava Filters A Single-Center Prospective Study. Circ Cardiovasc Interv 6, 560– 566 (2013). Figure used with permission.
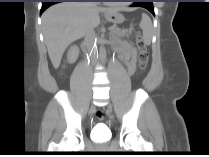
57 YO male with chronic abdominal pain radiating to the back; Greenfield filter placed over 5 years prior
Final Words If it is getting hard to get out leave it in and anticoagulate the patient. 2012 study showed that low dose (100 mg daily); halves relative risk for recurrent clot from 11% to 5. 9% (c/w coumadin 2%) without increased risk of bleeding. Becattini, C. et al. Aspirin for Preventing the Recurrence of Venous Thromboembolism. New England Journal of Medicine 366, 1959– 1967 (2012).