Isquemia crnica segmentaria de Intestino Delgado Slo se




































- Slides: 36
Isquemia crónica segmentaria de Intestino Delgado Sólo se diagnostica lo que se sospecha
Hospital General Universitario de Valencia Alfonso González-Cruz Soler, Josep Asensi Pérez, Melchor Flores De La Torre, Salvador Ferrer Mengual, Rebeca Ortiz Estévez, Julián Celma Marín
Introducción (I) • La isquemia intestinal es la condición clínica que aparece cuando el flujo sanguíneo del territorio mesentérico resulta insuficiente para satisfacer los requerimientos del intestino.
Introducción (II) • A diferencia de las formas de instauración aguda, en las formas crónicas el desarrollo progresivo de flujo colateral impide la necrosis intestinal.
Introducción (III) • La isquemia crónica intestinal es una patología de diagnóstico difícil, debido a una sintomatología inespecífica, a la larga evolución de los síntomas y a la coexistencia con otras patologías. Sólo un elevado nivel de sospecha puede orientar el diagnóstico.
Introducción (IV) • En ocasiones se solicita un estudio baritado o una TC (no angio-TC), atribuyendo el cuadro a otra entidad. • La falta de sopecha diagnóstica en las peticiones remitidas a los radiólogos, así como la pobreza de datos clínicos, hacen que las imágenes obtenidas sean frecuentemente atribuidas a otros procesos. No obstante, hay algunas pistas que ayudan al diagnóstico.
Anatomía (I) • La vascularización delgado depende de la arteria mesentérica superior. • La arteria mesentérica superior irriga la parte distal del duodeno, el intestino delgado y el hemicolon derecho. • Su flujo es de 500 ml/min, pero se incrementa tras una comida, alcanzando volúmenes de 1. 400 ml/min.
Anatomía (II) • La arteria mesentérica superior tiene múltiples ramas. • Según el lugar de asiento del trombo, tendremos la patología localizada en un territorio determinado.
Anatomía (III) • En el caso de las arterias destinadas al delgado, éstas tienen anastomosis distales que pueden suplir parcialmente el flujo. • Salen por la izquierda de la mesentérica.
Anatomía (IV) • El íleon terminal tiene una vascularización típica. • Es la llamada arteria ileobicecoapendiculocólica. • A diferencia del resto, sale por la derecha.
Anatomía (V) • Por lo tanto, deberemos sospechar esta etiología: – en aquellos casos en que la afectación corresponda a un territorio vascular concreto; – cuando encontremos preservado el íleon terminal.
Clínica (I) • Ya hemos dicho que el flujo de la arteria mesentérica superior se incrementa tras la comida. • La isquemia crónica aparece cuando en el curso de la digestión hay una desproporción entre las demandas del intestino y el flujo real proporcionado por el sistema vascular.
Clínica (II) • La isquemia intestinal aparece en personas con marcada arterioesclerosis. • Es más frecuente en personas ancianas.
Clínica (III) • Los pacientes con IMC desarrollan un cuadro clínico característico denominado “angina abdominal”, consistente en dolor abdominal que aparece precozmente tras la ingesta, incrementándose de modo gradual hasta llegar a desaparecer en el plazo de 2 -3 horas.
Clínica (IV) • Por lo tanto, deberemos sospechar esta etiología: – en pacientes de edad avanzada; – en pacientes con síntomas de dolor postprandial inmediato; – en pacientes con síntomas isquémicos de otros territorios; – en pacientes con factores de riesgo de isquemia;
Lo ilustraremos con un caso clínico Real como la vida misma
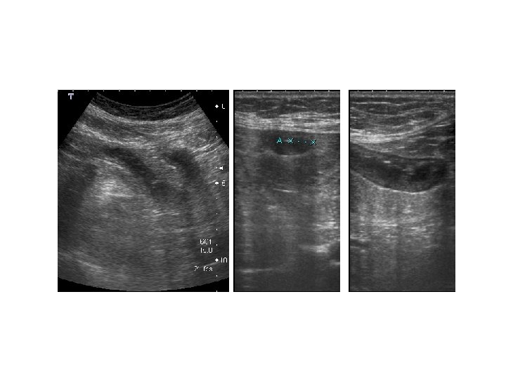
Caso Clínico • Mujer de 82 años, que ingresa de urgencias con el diagnóstico de dolor abdominal, de predominio en FID. • Antecedentes: hipertensión, diabetes, dislipemia. • Se solicita ecografía abdominal. • La solicitud no incluye datos clínicos relevantes, antecedentes ni sospecha diagnóstica.
Informe ecográfico • Largo segmento de asa intestinal de delgado, aperistáltica, edematosa y con engrosamiento transmural, que pudiera corresponder a enfermedad inflamatoria intestinal. • Se aconseja completar estudio ecográfico con TC abdomino-pélvico y tránsito intestinal.
De momento… • El solicitante debería haber sospechado la etiología isquémica (82 años, HTA, DM, dislipemia). • El solicitante debería haber incluido datos clínicos y antecedentes en su petición. • Con 82 años, el radiólogo no debería haber propuesto la E. I. I. como primera sospecha. • Se debería haber aconsejado un estudio vascular.
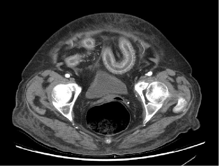
Siguiendo el consejo del radiólogo de guardia, se practica TC (NO angio-TC) Y los datos aportados no son los clínicos, sino el informe ecográfico
Informe TC • Segmento largo de asa ileal en FID-hipogastrio con engrosamiento transmural concéntrico. • Íleon terminal respetado. • Sin afectación de grasa mesentérica adyacente. • No se aprecia líquido libre, colecciones abdominales ni aire ectópico. • Calcificaciones ateromatosas aortoilíacas y en arterias viscerales. • Se plantea diagnóstico diferencial entre enteropatía inflamatoria e isquemia intestinal.
Sobre este informe… • Había suficientes datos CONTRA la E. I. I. : – la edad (la EII de inicio en ancianos es extremadamente rara) – la afectación segmentaria continua; – la preservación del íleon terminal; – la no afectación de grasa mesentérica
Sigamos… • Había datos a favor de la isquemia: – nuevamente la edad (somos médicos, no fotógrafos); – las calcificaciones en aorta; – y, sobre todo, las calcificaciones en arterias viscerales. • Al menos, se sugirió el diagnóstico.
Y se procede al alta con diagnóstico de enfermedad inflamatoria y sin programar un estudio vascular
Un mes después acude de nuevo a Urgencias por ictus. Una vez más, nadie se plantea un origen isquémico de sus síntomas abdominales.
A los dos meses, por fin, alguien piensa que puede ser un cuadro isquémico y se solicita estudio baritado y angio-TC
ESTUDIO BARITADO
Estudio baritado (I) • La distribución segmentaria coincidiendo con territorios vasculares concretos, con indemnidad de otros territorios, y el aspecto "en asa" (literalmente) en el caso delgado, con extensión de concavidad a concavidad, orientan al diagnóstico de isquemia crónica segmentaria cuando se realiza un estudio baritado.
Estudio baritado (I) • En nuestra paciente se daban estos hallazgos: – distribución segmentaria y única; – aspecto "en asa" con extensión de concavidad a concavidad; – preservación del íleon terminal.
ANGIO-TC • Importante ateromatosis, ya conocida. • Demuestra la oclusión del tercio medio de la arteria mesentérica superior. • Revascularización a expensas de colaterales. • Permite establecer, por fin, el diagnóstico de isquemia.
Evolución posterior • Se planteó tratamiento conservador • A los tres meses del diagnóstico, cinco del episodio, ingresaba de nuevo por isquemia de miembros inferiores. Falleció durante la estancia.