IRM mammaire M BoisserieLacroix Unit de Snologie Service
IRM mammaire M Boisserie-Lacroix Unité de Sénologie Service d’Imagerie médicale Pr Trillaud CHU Saint-André
• Très performante pour détection et évaluation des masses mammaires • Mais manque de spécificité, faux-positifs • Prescription raisonnée
• Progrès technologiques acquisition des images en moins de 2 mn avec résolution spatiale élevée • D’où amélioration des performances diagnostiques
• Limites des produits de contraste IRM dans la caractérisation tumorale: - Impossibilité de différencier les vaisseaux tumoraux et le compartiment interstitiel extra cellulaire tumoral - Mauvaise prédiction du grade SBR - Molécules trop petites pour différencier vaisseaux bénins de malins
Interprétation • Lexique BI-RADS et sa terminologie masse, focus < 5 mm, rehaussement sans masse • Mêmes termes si possible que lexique mammographie et échographie • Etude cinétique
S progressive intense plateau +modérée faible Phase initiale 2 min washout Phase tardive 8 min t
Masse échographique ovale IRM : masse ronde Prise de contraste suspecte Exérèse: papillome
CLI, bilan d’extension
Adénose sclérosante
• Cas où la spécificité augmente après radiothérapie • Cas où on utilise la sensibilité élevée détection dans certaines situations évaluation sous chimiothérapie • Cas où on utilise la bonne VPN exclure une pathologie
Indication « historique » • Augmentation de la SP = SE • Différenciation fibrose/ récidive après traitement conservateur
Injection - soustraction
• Préférer microbiopsie sous échographie quand lésion visible et accessible • Préférer macrobiopsies devant microcalcifications (risque de FN)
Indications validées • American College of Radiology • HAS • Propositions de la Société Française de Mastologie et d’Imagerie du Sein (SOFMIS) – groupe IRM « Recommandations professionnelles sur les indications et la réalisation d’une IRM mammaire » 1 er accord favorable du service puis de la commission d’évaluation des actes professionnels, mais non définitif
• Cas où la spécificité augmente après radiothérapie • Cas où on utilise la sensibilité élevée détection dans certaines situations évaluation sous chimiothérapie • Cas où on utilise la bonne VPN exclure une pathologie
Indications / excellente sensibilité • Dépistage des femmes à haut risque car la VPP de malignité d’une image est élevée • Bilan d’extension d’un CLI car multifocalité et multicentricité fréquentes • Détection d’un cancer occulte • Evaluation sous chimiothérapie
Dépistage – risque génétique Kulh 2000 192 12 patientes cancers SE IRM 100 % Mammo 33 % Kriege 2004 Leach 2005 Kulh 2005 Sardanelli 2007 1909 45 71 % 40 % 649 35 77 % 40 % 529 43 91 % 33 % 278 18 94 % 59 %
• Conditions au dépistage chez les femmes à haut risque génétique: - Équipe spécialisée, expérimentée - Numérisation mammographique - Double lecture des examens de dépistage (mammographie, IRM) - Antenne interventionnelle IRM
(dia P Taourel) Sardanelli F et al. Multicenter comparative multimodality surveillance of women at genetic familial high risk for breast cancer (HIBCRIT study) : interim results. Radiology 2007; 242: 698 -715. Kriege M, Brekelmans CTM, Peterse H et al. Tumor characteristics and detection method in the MRISC screening program for the early detection of hereditary breast cancer. Breast Cancer Res Treat 2007; 102: 357 -63.
Mais… • • • Nombre de FP (jusqu’à 20 % au 1 er tour) Rythme des 3 examens annuels? Jusqu’à quel âge? En fonction de la densité? Effet sur la survie?
Recommandations d'une IRM mammaire annuelle (fondée sur des évidences à partir de résultats d'études de dépistage non randomisées) - Mutation BRCA 1 ou 2 - Patiente non testée apparentée au 1 er degré avec une mutation BRCA - Risque cumulé au cours de la vie 20 - 25 % tel que défini par des modèles tenant compte des facteurs de risque familiaux Recommandations d'une IRM annuelle en dépistage (basées sur un consensus d'opinion d'expert) - Irradiation thoracique entre 10 et 30 ans - Syndrome de Li-Fraumeni et apparentée du 1 er degré - Syndrome de Cowden et apparentée du 1 er degré
Absence de recommandations pour ou contre un dépistage IRM - Risque au cours de la vie = 15 -20 % - Carcinome lobulaire in situ ou hyperplasie lobulaire atypique, hyperplasie épithéliale atypique - Seins hétérogènes ou très denses en mammographie - Histoire personnelle de cancer du sein, incluant un carcinome canalaire in situ les décisions de dépistage devront être prises au cas par cas Recommandations de ne pas réaliser une IRM mammaire de dépistage (basées sur un consensus d'opinion d'expert) - Patientes ayant un risque cumulé au cours de la vie < 15 % (Recommandations de l’ACR)
Carcinome lobulaire infiltrant • 32 cas. Modification de la stratégie thérapeutique 16 fois (50 %) en montrant une tumeur plus extensive que la radiologie conventionnelle Weinstein S et al. MR Imaging of the breast in patients with invasive lobular carcinoma. AJR 2001, 176: 399 -406
Sensibilité CCI CLI CIC Mammo 81 34 55 Echo 94 86 47 IRM 95 96 89 Berg 2004
Boetes 2004 • IRM : meilleure estimation en taille Breast Cancer Res Treat. 2004 Mx Radiologue 1 Echographie Mx Radiologue 2 IRM
• Bilan d'extension locale – Détection de lésions additionnelles : 10 - 50% des cas – Modification de la prise en charge : 20% des cas Quan 2003, Boetes 2004, Schelfout 2004, Berg 2004
55 ans QSE G Rétro-aréolaire D
D face ext 46 ans, placard QSE droit de 4 cm palpé par la gynécologue
U Q Sup droits Biopsie : CLI
Détection d’un cancer occulte • Ganglion axillaire métastatique • Métastases osseuses, … • Maladie de Paget sans signe mammographique/ ou discordance
34 ans, métastases osseuses Mammographie et échographie normales
– Traitement conservateur si IRM + – Série de 31 patientes N+ mammo négative: cancer à l’IRM dans 11 cas (16 mm) Obdeijn IM et al. MRI guided sonography followed by fine -needle aspiration cytology in occult carcinoma of the breast. Radiology 2000, 174: 1079 -1084. – Si IRM négative: pas de mastectomie
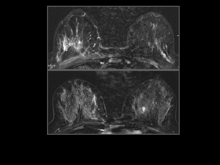
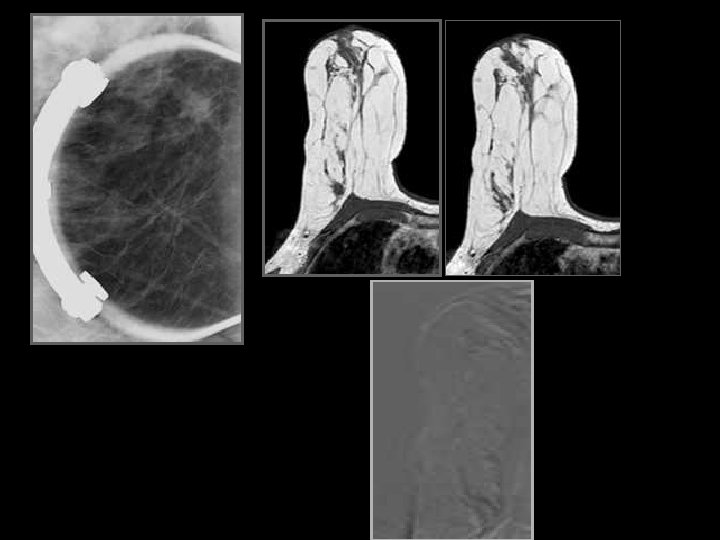
Poi. Ma. 59 ans Métastases osseuses Mammographie : distorsion sus-aréolaire droite?
Surveillance sous chimiothérapie • Taille du résidu tumoral IRM > imagerie standard (mais sous-estime dans 20 %) • Fonte tumorale Unicentrique = bonne indication de conservateur Fragmentation = risque d’exérèse incomplète • Facteurs prédictifs de la réponse histologique: Diminution de l’intensité du rehaussement (2 cycles) Disparition du wash out (2 cycles) Absence de prise de contraste (4 cycles)
L. Fr. 54 ans CLI Après 4 cures de chimiothérapie
Clichés Dr Vanessa Conri Svce Pr Hocké
Ecoulement mamelonnaire • “IRM = examen spécialisé (C). Peut donner des informations complémentaires dans certains cas d’écoulement où il y a une présomption de lésion proliférance intragalactophorique” (HAS) • Nakahara Breast Cancer 2003 - 55 cas (sanglant) - rehaussement segmentaire: VPP de 100%
52 ans Écoulement sanglant Pyramidectomie: papillome
• Cas où la spécificité augmente après radiothérapie • Cas où on utilise la sensibilité élevée détection dans certains cas • Cas où on utilise la bonne VPN exclure une pathologie
Indications / excellente VPN • Devant une hyperdensité ou une distorsion difficiles à affirmer • Quel rythme de surveillance si IRM négative?
• Caractérisation d’une image anormale : non… Sauf distorsion vue sur 1 incidence Sauf placard ambigu à l’écho On utilise la bonne VPN de l’IRM (98 %) Mais si foyer de micros: non Si image nette biopsie
Indications émergentes • Bilan pré-thérapeutique (ACR 6) dans les seins denses • Bilan d’extension d’un CIC
35 ans mastodynies 2 foyers de micros internes gauches
Lehman CD et al. MRI evaluation of the contralateral breast in women with recently diagnosed breast cancer. N Engl J Med 2007; 356: 1295 -303. 969 patientes 33 cancers controlatéraux détectés 30 vus à l’IRM (CIC et CCI)
Kuhl CK et al. MRI for diagnosis of pure ductal carcinoma in situ: a prospective observational study Lancet 2007; 370: 459 -60 7319 patientes, période de 5 ans 193 CIC SE supérieure de l’IRM : 92 vs 56 % haut et bas grade
Pour/contre IRM systématique? • Contre : diminution des traitements conservateurs … or survie identique / mastectomies • Mais faut-il surtraiter? Tous les cancers additionnels détectés sont-ils à prendre en compte? Oui si on les voit en mammographie, et non si foci?
• Rôle possible dans la détection et le bilan d’extension • Il n’est pas éthique de refuser une IRM préthérapeutique à une patiente informée • Préciser les inconvenients: faux-positifs, gestes interventionnels sous IRM difficiles à programmer et réaliser, surveillance inutile Kuhl CK. Current status of breast MRI. Clinical applications. Radiology 2007; 244: 672 -91
Autres indications • Prothèses rupture intracapsulaire rupture extracapsulaire mammographie et échographie limitées
• Foyer de microcalcifications • Métastase ganglionnaire à mammo normale • Anomalie architecturale • Discordance mammo-écho-ponction • Seins denses en mammographie • Evaluation de chimiothérapie néoadjuvante • Surveillance de seins opérés • Complications de prothèses • Risque génétique prouvé non oui oui
- Slides: 55