Introduction to Cardiovascular Pathology Fred Clayton Systemic Pathology































































- Slides: 63
Introduction to Cardiovascular Pathology - Fred Clayton • Systemic Pathology of Congestive Heart Failure • Pathology of Myocarditis • Pathology of Cardiomyopathy – Dilated Cardiomyopathy – Hypertrophic Cardiomyopathy – Restrictive Cardiomyopathy
Congestive Heart Failure • Cardiac output insufficient for metabolic requirements of the body • Systolic dysfunction – decreased myocardial contractility • Diastolic dysfunction – insufficient expansion for ventricular volume • Problems are accentuated by increased demand – high output heart failure
CHF – Body’s Compensation • Tachycardia • Frank-Starling – increased End Diastolic Volume • Myocardial hypertrophy • Renin-angiotensin-aldosterone system • Catecholamines – positive inotropic effect • Adrenergic redistribution of blood flow • Increase oxygen extraction from hemoglobin
Left-sided Heart Failure • • Ischemic heart disease Hypertension Aortic and mitral valve disease Myocardial disease
Lungs – Pulmonary edema • Dyspnea – breathlessness • Orthopnea – dyspnea lying down • Paroxysmal nocturnal dyspnea – extreme dyspnea
Lung – Pulmonary Edema – pale pink edema fluid filling alveoli
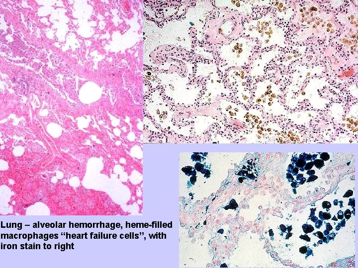
Lung – alveolar hemorrhage, heme-filled macrophages “heart failure cells”, with iron stain to right
Kidneys – reduced perfusion • Ischemic tubular necrosis / ATN • Prerenal azotemia
Kidney -ATN
Brain in CHF – cerebral hypoxia • • • Irritability Loss of attention span Restlessness Stupor Coma
Right-sided heart failure • Pure cor pulmonale • Consequence of left-sided failure • Myocardial – myocarditis, cardiomyopathy, constrictive pericarditis
Right failure - systemic effects • • Liver – chronic passive congestion Spleen – congestive splenomegaly Kidneys – congestion and hypoxia Sub-Q – peripheral edema and anasarca Pleural space – effusions Brain – venous congestion and hypoxia Portal - ascites
Liver – chronic passive congestion – blood pools near the central veins
Liver – chronic passive congestion
Liver – chronic passive congestion – blood pools near the central veins
Liver – chronic passive congestion – red cell pooling near central veins and pericentral necrosis of the hepatocytes
CHF – final pathway to death • • • Ischemic heart disease Hypertensive heart disease Valvular heart disease Cardiomyopathy Myocarditis Specific heart muscle diseases
Myocarditis Etiology • • Viral – Coxsackie A, ECHO, Influenza Chlamydia and Rickettsia – psittaci & typhi Bacteria – diphtheria, TB, Strep Fungal & Protozoa – Trypanosomes, Toxo Hypersensitivity – SLE, RHD, drugs Physical Agents – Radiation Idiopathic – Giant cell myocarditis
Myocarditis Morphology • Gross –dilated, flabby heart, pale patches with hemorrhage • Microscopic – interstitial inflammatory infiltrate with myocyte necrosis, fibrosis • Mononuclear cells – idiopathic or viral • Neutrophils – bacterial • Eosinophils –hypersensitivity or protozoa • Granulomatous – TB or sarcoid
Dilated, globoid heart in myocarditis
Myocarditis – meets Dallas criteria of a T lymphocyte infiltrate and myocyte necrosis or dropout. This is usually either viral or of unknown cause.
Diphtheria myocarditis – due to a toxin rather than bacterial invasion. There is some inflammation, myocyte changes (see the big nucleolus). Myocyte necrosis (not shown) also happens.
Bacterial colony in myocarditis
Toxoplasmosis
Chagas disease
Giant Cell Myocarditis • Myocyte necrosis • Multinucleated giant cells • Lymphocytes, plasma cells, macrophages, eosinophils, and neutrophils • Often fulminant, rapid progression to death • Differential diagnosis – cardiac sarcoidosis
Giant Cell Myocarditis
Giant Cell Myocarditis
Cardiomyopathies
Dilated Cardiomyopathy • Gross – increased weight, dilatation, endocardial fibrosis, normal valves and coronary arteries • Microscopic – myocyte hypertrophy, myofibrillar loss and interstitial fibrosis • Etiology – viral, genetic, toxins • Clinical significance – heart failure & death
Dilated cardiomyopathy
Cardiomyopathy – loss of myofibrils
Cardiomyopathy – trichrome stain showing extensive fibrosis (blue) between the myocytes. The myocytes also vary in size, and some have partial loss of myofibrils.
Normal Heart - EM
Loss of fibrils in cardiomyopathy. The myocyte at lower left is about normal; the others have an extensive loss of myofibrils.
Cardiomyopathy – loss of fibrils and a small contraction band in the top center.
Hypertrophic Cardiomyopathy • • Hypertrophy of ventricular septum (95%) Disarray of myofibers (100%) Volume reduction of ventricles (90%) Endocardial thickening of LV (75%) Mitral valve leaflet thickening (75%) Dilated atria (100%) Abnormal intramural coronaries (50%)
Hypertrophic cardiomyopathy
Hypertrophic cardiomyopathy
Hypertrophic cardiomyopathy
Hypertrophic cardiomyopathy – myofiber dysarray – not all fibers are pulling the same direction. Thus the contraction is ineffective. However, the cardiac conduction system can have these same problems, which might cause the arrhythmias and sudden death these patients tend to die of.
Hypertrophic Cardiomyopathy • Etiology – hereditary, mostly autosomal dominant, can appear sporadically • Clinical significance – syncope, arrhythmias and sudden death with a risk of 2 -6% per year • Cannot equate with hypertrophy alone! There is variation in heart size without disease. Large hearts correlate with endurance (Secretariat, Lance Armstrong).
Restrictive Cardiomyopathy • Amyloidosis • Endomyocardial fibrosis – subendocardial fibrosis • Loeffler’s endocarditis – eosinophilic infiltrate • Endocardial fibroelastosis
Amyloidosis – notice the pink material between the myocytes.
Amyloidosis – Congo Red is very, very positive.
Amyloidosis – this heart is thickened, pale, and has a rubbery consistency that interferes with cardiac expansion during diastole.
Endomyocardial fibrosis – fibrosis under the endocardium and in the inner third of the myocardium.
Endomyocardial fibrosis of a ventricular wall. When extensive, this would cause restrictive heart failure too.
Specific Heart Muscle Diseases • Toxic – alcohol, catecholamines, cocaine, Adriamycin • Metabolic – hemochromatosis, hyperthyroidism • Neuromuscular – muscular dystrophy • Storage disease – glycogen, Fabry’s disease • Infiltrative - sarcoidosis
Heart - Becker’s muscular dystrophy – looks like idiopathic dilated cardiomyopathy
Note the fibrosis and loss of myofibrils in some cells.
By electron microscopy, this was Adriamycin toxicity. See the clear vacuoles (they are dilated sarcoplastic reticulum) and severe loss of myofibrils.
Cocaine heart – necrosis with contraction bands. This could happen with any severe chronic stimulation such as too much pressors in a failing heart or a pheochromocytoma.
Cardiac Sarcoidosis – well defined granuloma with giant cells. Dosen’t infiltrate & destroy myocardium like giant cell myocarditis. Eosinophils are less common in sarcoidosis than in giant cell myocarditis.
Hemochromatosis - note the brown perinuclear deposits of hemosiderin. It is, however, the soluble iron, not the hemosiderin, that is considered toxic.
Hemochromatosis – iron stain (iron is blue).
Rheumatic fever – Aschoff body – A collection of cells, often near a vessel, with a few multinucleate cells and some vesicular nuclei with big nucleoli (Aschoff cells). Anichkov myocytes (not shown) are myocytes with very elongated big nucleoli. This is a marker for rheumatic fever, but the serious damage is to the valves.