INTRODUCCIN A LA ECOGRAFA Aristegi Sanchez Irati R






































- Slides: 38
INTRODUCCIÓN A LA ECOGRAFÍA Aristegi Sanchez, Irati R 2 MFy. C 04/11/2015
PRINCIPIOS FÍSICOS ONDAS: Longitud de ondas (λ): Distancia en la cual la onda realiza un ciclo completo. Frecuencia: Inversamente proporcional a la λ. Se mide en hertzios (Hz), número de ciclos por segundo. Amplitud: “Tamaño” de la onda.
PROCESO DE FORMACIÓN DE IMÁGENES EN ECOGRAFÍA: El transductor consiste básicamente en pequeños cristales que al someterse a la electricidad genera pulsos de ultrasonidos (efecto piezoeléctrico). Los ultrasonidos “chocan” con diferentes estructuras y vuelven al ecógrafo, que interpreta las ondas formando imágenes. Amplitud de la onda: Tamaño de la estructura contra el que choca. El ecógrafo interpreta asignando un color mas o menos blanco. Tiempo que tarda en volver la onda: Distancia a la que se encuentra la estructura. Ultrasonidos Electricidad Interpretación
TIPOS DE SONDAS según la frecuencia: ALTA frecuencia ( >5 MHz ) – Sondas LINEALES: Elevada resolución, imagen ecográfica más nítida. Baja penetración en los tejidos. Estructuras superficiales. BAJA frecuencia ( hasta 5 MHz ) – Sonda CONVEX y sonda SECTORIAL: Menor resolución. Mayor penetración. Sonda CONVEX: Exploraciones Abdominales. Sonda SECTORIAL: Ecocardiografía. LINEA L CONVEX SECTORIA L
A MAYOR FRECUENCIA, MAYOR RESOLUCIÓN Y MENOR PENETRACIÓN. A MENOR FRECUENCIA, MENOR RESOLUCIÓN Y MAYOR PENETRACIÓN.
ECOGENICIDAD
ARTEFACTOS 1. SOMBRA ACÚSTICA: Zona hipoecogénica/anecóica que se proyecta más allá de una estructura que “obstaculiza” la transmisión de los ultrasonidos (hueso, calcio, litiasis, metal). 2. REFUERZO POSTERIOR: Falso aumento de la ecogenicidad más allá de estructuras anecoicas (llenas de líquido) por una “aceleración” de los ultrasonidos.
3. IMAGEN EN ESPEJO: Cuando los ultrasonidos atraviesan una superficie altamente reflectante ( Diafragma, pericardio…), los ultrasonidos rebotan, recogen información de la zona circundante y, cuando vuelven hacia la sonda, el ecógrafo interpreta que esta información se encuentra en la dirección original del haz enviado, más allá de la superficie reflectante. Hemangioma hepático cerca del diafragma que da una imagen igual extradiafragmática que es la imagen en espejo.
4. REVERBERACIÓN: Tras el paso de los ultrasonidos que atraviesan estructuras con doble pared altamente reflectantes (pleura, peritoneao).
MANEJO DEL ECOGRAFO MARCADOR del TRANSDUCTOR: Indica situación espacial.
PLANOS DE EXPLORACIÓN Plano TRANSVERSAL: Transductor: Perpendicularmente al eje mayor del paciente. Marcador : Derecha del paciente
Plano SAGITAL: Transductor: Paralelo al eje mayor del paciente. Marcador: Orientación cefálica.
MODOS EN ECOGRAFIA MODO B: Imagen bidimensional a tiempo real. MODO M: Se selecciona uno de os haces de ultrasonidos en modo B y se observa que sucede con él a lo largo de una línea de tiempo. Demostración de movimiento.
MODO DOPPLER: Movimiento de los tejidos (fundamentalmente el de la sangre de los vasos sanguíneos). Se registra de dos maneras: DOPPLER COLOR: Flujo que se aleja del transducor: Azul / Se acerca: Rojo (BART). DOPPLER PULSADO: Flujo se aleja: Onda negativa / Se acerca: Onda positiva. Tamaño de la onda depende de la “cantidad” del flujo analizado.
PROTOCOLO FAST Focused Assessment with Sonography in Trauma
APLICACIONES POLITRAUMATISMO Traumatismo toracoabdominal abierto/cerrado Hipotensión sin causa objetivada Sospecha de tamponamiento pericárdico de cualquier causa. Traumatismo en embarazadas
PREGUNTAS CLAVE ¿Existe líquido libre …. En el receso hepatorrenal (fosa de Morrinson)? En el receso esplenorrenal? En la pelvis? En el saco pericárico?
1. - RECESO HEPATORRENAL (Fosa de Morrison) Plano SAGITAL, línea media axilar derecha 10ª-11ª costilla. CRANEAL CAUDAL
Evaluar 1. Liquido en fosa de Morrison Coagulo = Ecogénico
TRANSVERSA L SAGITA L CRANEAL CAUDAL DERECHA IZQUIERD A
2. Liquido en polo renal inferior 3. Liquido debajo del diafragma
4. Liquido/aire supradiafragmático (hemo o neumotórax) E-FAST (FAST EXTENDIDO)
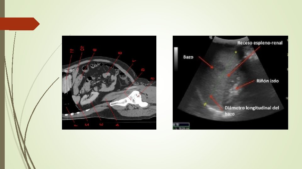
2. - RECESO ESPLENORRENAL Plano SAGITAL, línea axilar posterior izquierda 8ª-10ª costilla. CRANEAL CAUDAL
Evaluar 1. Liquido subdiafragmático/ supraesplenico (localización más frecuente)
2. Liquido en receso esplenorrenal 3. Liquido polo inferior riñón izquierdo
3. - PELVIS Vejiga repleccionada. Plano TRANSVERSAL, por encima de la sínfisis del pubis angulando el transductor hacia zona cauda para evitar la sombra acústica de la sínfisis. DERECHA IZQUIERDA
Plano SAGITAL para visión longitudinal y visualizar pequeños paquetes de líquido libre. CRANEAL CAUDAL
EVALUAR 1. Liquido saco recto-uterino (saco de Douglas)
2. Líquido posterior a la vejiga 3. Líquido entre asas delgado. Distensión de asas de delgado con líquido libre entre asas (flecha). Pared de grosor normal
4. - SUBCOSTAL Visualizar el corazón desde el hipocondrio derecho/epigastrio utilizando el hígado como ventana acústica. Plano TRANSVERSAL, hipocondrio derecho/Epigastrio, angulación cefálica del transductor. DERECHA IZQUIERDA
EVALUAR Visualización 4 cámaras. Valorar líquido pericárdico (Derrame pericárdico)
ALGORITMO CLÍNICO ¿Inestable? S I POLITRAUMA ECO FAS T S I Cirugía NO TAC ¿Líquido libre? NO ¿Inestable? S I Considerar otra causa Observar NO FAST seriados TAC
ERRORES FRECUENTES No realizar las cuatro vistas No realizar la visualizaciones de forma dinámica Ojo, la sangre coagulada tiene cierta ecogenicidad. No realizar FAST seriados. No visualizar correctamente el poli inferior especialmente del riñon derecho, el espacio subdiafragmático izquierdo, o no realizar la vista longitudinal de la vejiga. Ojo, no detecta lesiones del órgano sólido.